移植后膜性肾病:10年单中心经验。

IF 0.8 Q4 UROLOGY & NEPHROLOGY
Indian Journal of Nephrology Pub Date : 2025-07-01 Epub Date: 2025-05-08 DOI:10.25259/IJN_150_2025
Payal Gaggar, Rahul R Nair, Avinash Pratapsingh Thakur, Sree Bhushan Raju
{"title":"移植后膜性肾病:10年单中心经验。","authors":"Payal Gaggar, Rahul R Nair, Avinash Pratapsingh Thakur, Sree Bhushan Raju","doi":"10.25259/IJN_150_2025","DOIUrl":null,"url":null,"abstract":"<p><p>Membranous nephropathy (MN) post-renal transplant can present as a recurrent or <i>de novo</i> disease, often impacting graft outcomes. We retrospectively analyzed 530 allograft biopsies over 10 years, identifying five MN cases (∼1%): four <i>de novo</i> (0.8%) and one recurrent. Among the former, 75% had concurrent antibody-mediated rejection (AMR); serum anti-PLA2R and tissue PLA2R were detected in 25%. All patients received plasmapheresis and low-dose intravenous immunoglobulin, with one requiring rituximab. Two patients stabilized, one experienced graft loss, and one attained complete remission. The recurrent MN case presented 10 years post-transplant and partially responded to rituximab. AMR influenced prognosis, with a 33% graft loss rate in <i>de novo</i> MN. Individualized treatment based on etiology, particularly targeting rejection, may improve outcomes. The study highlights the need for early diagnosis and personalized management in post-transplant MN.</p>","PeriodicalId":13359,"journal":{"name":"Indian Journal of Nephrology","volume":"35 4","pages":"552-554"},"PeriodicalIF":0.8000,"publicationDate":"2025-07-01","publicationTypes":"Journal Article","fieldsOfStudy":null,"isOpenAccess":false,"openAccessPdf":"https://www.ncbi.nlm.nih.gov/pmc/articles/PMC12392203/pdf/","citationCount":"0","resultStr":"{\"title\":\"Post Transplant Membranous Nephropathy: A 10-year Single-Centre Experience.\",\"authors\":\"Payal Gaggar, Rahul R Nair, Avinash Pratapsingh Thakur, Sree Bhushan Raju\",\"doi\":\"10.25259/IJN_150_2025\",\"DOIUrl\":null,\"url\":null,\"abstract\":\"<p><p>Membranous nephropathy (MN) post-renal transplant can present as a recurrent or <i>de novo</i> disease, often impacting graft outcomes. We retrospectively analyzed 530 allograft biopsies over 10 years, identifying five MN cases (∼1%): four <i>de novo</i> (0.8%) and one recurrent. Among the former, 75% had concurrent antibody-mediated rejection (AMR); serum anti-PLA2R and tissue PLA2R were detected in 25%. All patients received plasmapheresis and low-dose intravenous immunoglobulin, with one requiring rituximab. Two patients stabilized, one experienced graft loss, and one attained complete remission. The recurrent MN case presented 10 years post-transplant and partially responded to rituximab. AMR influenced prognosis, with a 33% graft loss rate in <i>de novo</i> MN. Individualized treatment based on etiology, particularly targeting rejection, may improve outcomes. The study highlights the need for early diagnosis and personalized management in post-transplant MN.</p>\",\"PeriodicalId\":13359,\"journal\":{\"name\":\"Indian Journal of Nephrology\",\"volume\":\"35 4\",\"pages\":\"552-554\"},\"PeriodicalIF\":0.8000,\"publicationDate\":\"2025-07-01\",\"publicationTypes\":\"Journal Article\",\"fieldsOfStudy\":null,\"isOpenAccess\":false,\"openAccessPdf\":\"https://www.ncbi.nlm.nih.gov/pmc/articles/PMC12392203/pdf/\",\"citationCount\":\"0\",\"resultStr\":null,\"platform\":\"Semanticscholar\",\"paperid\":null,\"PeriodicalName\":\"Indian Journal of Nephrology\",\"FirstCategoryId\":\"1085\",\"ListUrlMain\":\"https://doi.org/10.25259/IJN_150_2025\",\"RegionNum\":0,\"RegionCategory\":null,\"ArticlePicture\":[],\"TitleCN\":null,\"AbstractTextCN\":null,\"PMCID\":null,\"EPubDate\":\"2025/5/8 0:00:00\",\"PubModel\":\"Epub\",\"JCR\":\"Q4\",\"JCRName\":\"UROLOGY & NEPHROLOGY\",\"Score\":null,\"Total\":0}","platform":"Semanticscholar","paperid":null,"PeriodicalName":"Indian Journal of Nephrology","FirstCategoryId":"1085","ListUrlMain":"https://doi.org/10.25259/IJN_150_2025","RegionNum":0,"RegionCategory":null,"ArticlePicture":[],"TitleCN":null,"AbstractTextCN":null,"PMCID":null,"EPubDate":"2025/5/8 0:00:00","PubModel":"Epub","JCR":"Q4","JCRName":"UROLOGY & NEPHROLOGY","Score":null,"Total":0}
引用次数: 0

摘要

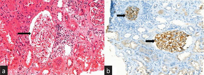
膜性肾病(MN)肾移植后可出现复发或新发疾病,经常影响移植结果。我们回顾性分析了10年来530例同种异体移植活检,确定了5例MN病例(约1%):4例新发病例(0.8%)和1例复发病例。在前者中,75%同时存在抗体介导的排斥反应(AMR);血清抗PLA2R和组织PLA2R阳性率为25%。所有患者均接受血浆置换和低剂量静脉注射免疫球蛋白,其中一人需要美罗华单抗。2例稳定,1例移植物丢失,1例完全缓解。复发的MN病例出现在移植后10年,对利妥昔单抗有部分反应。AMR影响预后,新发MN的移植物损失率为33%。基于病因的个体化治疗,特别是针对排斥反应的个体化治疗,可能会改善预后。该研究强调了移植后MN的早期诊断和个性化管理的必要性。
本文章由计算机程序翻译,如有差异,请以英文原文为准。

Post Transplant Membranous Nephropathy: A 10-year Single-Centre Experience.

Post Transplant Membranous Nephropathy: A 10-year Single-Centre Experience.

Membranous nephropathy (MN) post-renal transplant can present as a recurrent or de novo disease, often impacting graft outcomes. We retrospectively analyzed 530 allograft biopsies over 10 years, identifying five MN cases (∼1%): four de novo (0.8%) and one recurrent. Among the former, 75% had concurrent antibody-mediated rejection (AMR); serum anti-PLA2R and tissue PLA2R were detected in 25%. All patients received plasmapheresis and low-dose intravenous immunoglobulin, with one requiring rituximab. Two patients stabilized, one experienced graft loss, and one attained complete remission. The recurrent MN case presented 10 years post-transplant and partially responded to rituximab. AMR influenced prognosis, with a 33% graft loss rate in de novo MN. Individualized treatment based on etiology, particularly targeting rejection, may improve outcomes. The study highlights the need for early diagnosis and personalized management in post-transplant MN.

求助全文
通过发布文献求助,成功后即可免费获取论文全文。 去求助
来源期刊
Indian Journal of Nephrology
Indian Journal of Nephrology UROLOGY & NEPHROLOGY-
CiteScore
1.40
自引率
0.00%
发文量
128
审稿时长
24 weeks
×
引用
GB/T 7714-2015
复制
MLA
复制
APA
复制
导出至
BibTeX EndNote RefMan NoteFirst NoteExpress
×
提示
您的信息不完整,为了账户安全,请先补充。
现在去补充
×
提示
您因"违规操作"
具体请查看互助需知
我知道了
×
提示
确定
请完成安全验证×
copy
已复制链接
快去分享给好友吧!
我知道了
右上角分享
点击右上角分享
0
联系我们:info@booksci.cn Book学术提供免费学术资源搜索服务,方便国内外学者检索中英文文献。致力于提供最便捷和优质的服务体验。 Copyright © 2023 布克学术 All rights reserved.
京ICP备2023020795号-1
ghs 京公网安备 11010802042870号
Book学术文献互助
Book学术文献互助群
群 号:604180095
Book学术官方微信