用镍钛诺支架重建胸部气管破裂。

IF 1.8 4区 医学 Q3 MEDICINE, RESEARCH & EXPERIMENTAL
In vivo Pub Date : 2025-09-01 DOI:10.21873/invivo.14063
Min-Ho Park, Joong-Hyun Kim, Seok Hwa Choi
{"title":"用镍钛诺支架重建胸部气管破裂。","authors":"Min-Ho Park, Joong-Hyun Kim, Seok Hwa Choi","doi":"10.21873/invivo.14063","DOIUrl":null,"url":null,"abstract":"<p><strong>Background/aim: </strong>Endotracheal tube intubation is required for surgery under inhalation anesthesia. In the present study, after inhalation anesthesia in dogs, the tracheal tube was extubated without deflating the endotracheal tube cuff, resulting in thoracic tracheal rupture, subcutaneous emphysema, and pneumomediastinum. The ruptured thoracic trachea was reconstructed using an endotracheal stent to treat intrathoracic emphysema.</p><p><strong>Materials and methods: </strong>A double-wire woven nitinol stent was handmade using a cross-and-hook knitting method. The fabricated endotracheal stent was 2-3 mm larger than the internal diameter of the ruptured trachea. The clinical signs and respiratory pattern, image diagnoses (radiography and computed tomography), and tracheoscopy results after endotracheal stenting were assessed for six months.</p><p><strong>Results: </strong>The lateral cervical radiographs showed that the intratracheal stent was properly placed without migration or stent fracture at the insertion site. After two to three weeks of tracheal stenting, the coughing and dyspnea signs revolved, and the normal activities in all dogs were resumed.</p><p><strong>Conclusion: </strong>The double-wire braided nitinol stent showed no migration or deformation in the canine trachea. These results suggest that the nitinol stent is compatible with the canine tracheal structure and has flexibility with an adequate radial force.</p>","PeriodicalId":13364,"journal":{"name":"In vivo","volume":"39 5","pages":"2629-2633"},"PeriodicalIF":1.8000,"publicationDate":"2025-09-01","publicationTypes":"Journal Article","fieldsOfStudy":null,"isOpenAccess":false,"openAccessPdf":"https://www.ncbi.nlm.nih.gov/pmc/articles/PMC12396041/pdf/","citationCount":"0","resultStr":"{\"title\":\"Tracheal Reconstruction Using a Nitinol Stent for Thoracic Tracheal Rupture.\",\"authors\":\"Min-Ho Park, Joong-Hyun Kim, Seok Hwa Choi\",\"doi\":\"10.21873/invivo.14063\",\"DOIUrl\":null,\"url\":null,\"abstract\":\"<p><strong>Background/aim: </strong>Endotracheal tube intubation is required for surgery under inhalation anesthesia. In the present study, after inhalation anesthesia in dogs, the tracheal tube was extubated without deflating the endotracheal tube cuff, resulting in thoracic tracheal rupture, subcutaneous emphysema, and pneumomediastinum. The ruptured thoracic trachea was reconstructed using an endotracheal stent to treat intrathoracic emphysema.</p><p><strong>Materials and methods: </strong>A double-wire woven nitinol stent was handmade using a cross-and-hook knitting method. The fabricated endotracheal stent was 2-3 mm larger than the internal diameter of the ruptured trachea. The clinical signs and respiratory pattern, image diagnoses (radiography and computed tomography), and tracheoscopy results after endotracheal stenting were assessed for six months.</p><p><strong>Results: </strong>The lateral cervical radiographs showed that the intratracheal stent was properly placed without migration or stent fracture at the insertion site. After two to three weeks of tracheal stenting, the coughing and dyspnea signs revolved, and the normal activities in all dogs were resumed.</p><p><strong>Conclusion: </strong>The double-wire braided nitinol stent showed no migration or deformation in the canine trachea. These results suggest that the nitinol stent is compatible with the canine tracheal structure and has flexibility with an adequate radial force.</p>\",\"PeriodicalId\":13364,\"journal\":{\"name\":\"In vivo\",\"volume\":\"39 5\",\"pages\":\"2629-2633\"},\"PeriodicalIF\":1.8000,\"publicationDate\":\"2025-09-01\",\"publicationTypes\":\"Journal Article\",\"fieldsOfStudy\":null,\"isOpenAccess\":false,\"openAccessPdf\":\"https://www.ncbi.nlm.nih.gov/pmc/articles/PMC12396041/pdf/\",\"citationCount\":\"0\",\"resultStr\":null,\"platform\":\"Semanticscholar\",\"paperid\":null,\"PeriodicalName\":\"In vivo\",\"FirstCategoryId\":\"3\",\"ListUrlMain\":\"https://doi.org/10.21873/invivo.14063\",\"RegionNum\":4,\"RegionCategory\":\"医学\",\"ArticlePicture\":[],\"TitleCN\":null,\"AbstractTextCN\":null,\"PMCID\":null,\"EPubDate\":\"\",\"PubModel\":\"\",\"JCR\":\"Q3\",\"JCRName\":\"MEDICINE, RESEARCH & EXPERIMENTAL\",\"Score\":null,\"Total\":0}","platform":"Semanticscholar","paperid":null,"PeriodicalName":"In vivo","FirstCategoryId":"3","ListUrlMain":"https://doi.org/10.21873/invivo.14063","RegionNum":4,"RegionCategory":"医学","ArticlePicture":[],"TitleCN":null,"AbstractTextCN":null,"PMCID":null,"EPubDate":"","PubModel":"","JCR":"Q3","JCRName":"MEDICINE, RESEARCH & EXPERIMENTAL","Score":null,"Total":0}
引用次数: 0

摘要

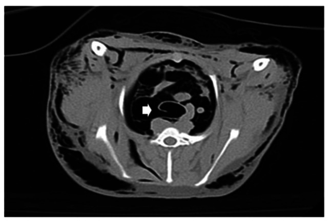
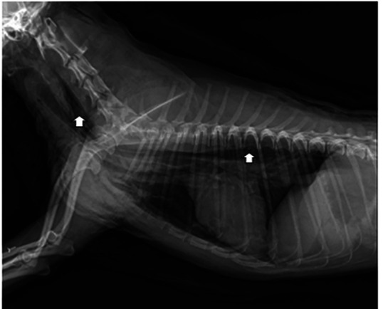
背景/目的:吸入性麻醉下的手术需要气管内插管。在本研究中,犬在吸入性麻醉后,拔管时未将气管内管袖口放气,导致胸段气管破裂、皮下肺气肿、纵隔气肿。使用气管内支架重建破裂的胸气管以治疗胸内肺气肿。材料与方法:采用十字钩织法手工制作双丝编织镍钛诺支架。制作的气管内支架比破裂气管内径大2 ~ 3mm。评估气管内支架植入术后6个月的临床体征和呼吸模式、影像学诊断(x线摄影和计算机断层扫描)和气管镜检查结果。结果:颈椎侧位片显示气管内支架放置正确,置入部位无移位或支架断裂。气管支架置入2 ~ 3周后,所有犬的咳嗽和呼吸困难症状好转,活动恢复正常。结论:双丝编织镍钛诺支架在犬气管内无移位和变形。这些结果表明镍钛诺支架与犬气管结构兼容,具有足够的径向力和柔韧性。
本文章由计算机程序翻译,如有差异,请以英文原文为准。

Tracheal Reconstruction Using a Nitinol Stent for Thoracic Tracheal Rupture.

Tracheal Reconstruction Using a Nitinol Stent for Thoracic Tracheal Rupture.

Tracheal Reconstruction Using a Nitinol Stent for Thoracic Tracheal Rupture.

Tracheal Reconstruction Using a Nitinol Stent for Thoracic Tracheal Rupture.

Background/aim: Endotracheal tube intubation is required for surgery under inhalation anesthesia. In the present study, after inhalation anesthesia in dogs, the tracheal tube was extubated without deflating the endotracheal tube cuff, resulting in thoracic tracheal rupture, subcutaneous emphysema, and pneumomediastinum. The ruptured thoracic trachea was reconstructed using an endotracheal stent to treat intrathoracic emphysema.

Materials and methods: A double-wire woven nitinol stent was handmade using a cross-and-hook knitting method. The fabricated endotracheal stent was 2-3 mm larger than the internal diameter of the ruptured trachea. The clinical signs and respiratory pattern, image diagnoses (radiography and computed tomography), and tracheoscopy results after endotracheal stenting were assessed for six months.

Results: The lateral cervical radiographs showed that the intratracheal stent was properly placed without migration or stent fracture at the insertion site. After two to three weeks of tracheal stenting, the coughing and dyspnea signs revolved, and the normal activities in all dogs were resumed.

Conclusion: The double-wire braided nitinol stent showed no migration or deformation in the canine trachea. These results suggest that the nitinol stent is compatible with the canine tracheal structure and has flexibility with an adequate radial force.

求助全文
通过发布文献求助,成功后即可免费获取论文全文。 去求助
来源期刊
In vivo
In vivo 医学-医学:研究与实验
CiteScore
4.20
自引率
4.30%
发文量
330
审稿时长
3-8 weeks
期刊介绍: IN VIVO is an international peer-reviewed journal designed to bring together original high quality works and reviews on experimental and clinical biomedical research within the frames of physiology, pathology and disease management. The topics of IN VIVO include: 1. Experimental development and application of new diagnostic and therapeutic procedures; 2. Pharmacological and toxicological evaluation of new drugs, drug combinations and drug delivery systems; 3. Clinical trials; 4. Development and characterization of models of biomedical research; 5. Cancer diagnosis and treatment; 6. Immunotherapy and vaccines; 7. Radiotherapy, Imaging; 8. Tissue engineering, Regenerative medicine; 9. Carcinogenesis.
×
引用
GB/T 7714-2015
复制
MLA
复制
APA
复制
导出至
BibTeX EndNote RefMan NoteFirst NoteExpress
×
提示
您的信息不完整,为了账户安全,请先补充。
现在去补充
×
提示
您因"违规操作"
具体请查看互助需知
我知道了
×
提示
确定
请完成安全验证×
copy
已复制链接
快去分享给好友吧!
我知道了
右上角分享
点击右上角分享
0
联系我们:info@booksci.cn Book学术提供免费学术资源搜索服务,方便国内外学者检索中英文文献。致力于提供最便捷和优质的服务体验。 Copyright © 2023 布克学术 All rights reserved.
京ICP备2023020795号-1
ghs 京公网安备 11010802042870号
Book学术文献互助
Book学术文献互助群
群 号:604180095
Book学术官方微信