下腔静脉脓毒性血栓性静脉炎:椎管旁类固醇注射导致耐甲氧西林金黄色葡萄球菌传播的严重并发症。

IF 2.9 3区 医学 Q2 INFECTIOUS DISEASES
Infection and Drug Resistance Pub Date : 2025-08-18 eCollection Date: 2025-01-01 DOI:10.2147/IDR.S544358
Shuo-Wen Liang, Ning-Chi Wang, Yung-Chih Wang
{"title":"下腔静脉脓毒性血栓性静脉炎:椎管旁类固醇注射导致耐甲氧西林金黄色葡萄球菌传播的严重并发症。","authors":"Shuo-Wen Liang, Ning-Chi Wang, Yung-Chih Wang","doi":"10.2147/IDR.S544358","DOIUrl":null,"url":null,"abstract":"<p><p>Paraspinal steroid injections, while widely employed for the treatment of back pain, carry risks of serious complications including infection. We describe a 54-year-old immunocompetent woman who developed a disseminated methicillin-resistant <i>Staphylococcus aureus</i> (MRSA) infection following a lumbar paraspinal steroid injection for back pain. She presented with fever, dyspnea, and acute low back pain, progressing to hypoxic respiratory failure requiring intubation. Diagnostic workup revealed MRSA bacteremia complicated by a lumbar spinal epidural abscess, bilateral psoas and quadratus lumborum pyomyositis, inferior vena cava (IVC) septic thrombophlebitis, pulmonary septic emboli, and meningoencephalitis. The patient received intravenous vancomycin and anticoagulation therapy with apixaban. Clinical improvement was observed with resolution of bacteremia and complete radiological resolution of the IVC thrombus after completing an 8-week treatment course. This case underscores the devastating potential of MRSA to transform a localized infection into widespread metastatic disease, driven by its potent virulence factors. It points out the importance of early recognition of systemic complications, including vascular thrombosis and central nervous system involvement, following paraspinal interventions. Moreover, it demonstrates the need for prompt imaging, timely administration of targeted antibiotics, and multidisciplinary management. Given the increasing use of corticosteroid injections and rising concerns about antibiotic-resistant pathogens, this case serves as a reminder of potential iatrogenic complications and the critical importance of infection control and vigilant monitoring. Clinicians should maintain a high index of suspicion for deep-seated infections in patients presenting with systemic symptoms after steroid injection, even in the absence of overt immunosuppression.</p>","PeriodicalId":13577,"journal":{"name":"Infection and Drug Resistance","volume":"18 ","pages":"4157-4164"},"PeriodicalIF":2.9000,"publicationDate":"2025-08-18","publicationTypes":"Journal Article","fieldsOfStudy":null,"isOpenAccess":false,"openAccessPdf":"https://www.ncbi.nlm.nih.gov/pmc/articles/PMC12372810/pdf/","citationCount":"0","resultStr":"{\"title\":\"Inferior Vena Cava Septic Thrombophlebitis: A Severe Complication of Paraspinal Steroid Injection Leading to Methicillin-Resistant <i>Staphylococcus aureus</i> Dissemination.\",\"authors\":\"Shuo-Wen Liang, Ning-Chi Wang, Yung-Chih Wang\",\"doi\":\"10.2147/IDR.S544358\",\"DOIUrl\":null,\"url\":null,\"abstract\":\"<p><p>Paraspinal steroid injections, while widely employed for the treatment of back pain, carry risks of serious complications including infection. We describe a 54-year-old immunocompetent woman who developed a disseminated methicillin-resistant <i>Staphylococcus aureus</i> (MRSA) infection following a lumbar paraspinal steroid injection for back pain. She presented with fever, dyspnea, and acute low back pain, progressing to hypoxic respiratory failure requiring intubation. Diagnostic workup revealed MRSA bacteremia complicated by a lumbar spinal epidural abscess, bilateral psoas and quadratus lumborum pyomyositis, inferior vena cava (IVC) septic thrombophlebitis, pulmonary septic emboli, and meningoencephalitis. The patient received intravenous vancomycin and anticoagulation therapy with apixaban. Clinical improvement was observed with resolution of bacteremia and complete radiological resolution of the IVC thrombus after completing an 8-week treatment course. This case underscores the devastating potential of MRSA to transform a localized infection into widespread metastatic disease, driven by its potent virulence factors. It points out the importance of early recognition of systemic complications, including vascular thrombosis and central nervous system involvement, following paraspinal interventions. Moreover, it demonstrates the need for prompt imaging, timely administration of targeted antibiotics, and multidisciplinary management. Given the increasing use of corticosteroid injections and rising concerns about antibiotic-resistant pathogens, this case serves as a reminder of potential iatrogenic complications and the critical importance of infection control and vigilant monitoring. Clinicians should maintain a high index of suspicion for deep-seated infections in patients presenting with systemic symptoms after steroid injection, even in the absence of overt immunosuppression.</p>\",\"PeriodicalId\":13577,\"journal\":{\"name\":\"Infection and Drug Resistance\",\"volume\":\"18 \",\"pages\":\"4157-4164\"},\"PeriodicalIF\":2.9000,\"publicationDate\":\"2025-08-18\",\"publicationTypes\":\"Journal Article\",\"fieldsOfStudy\":null,\"isOpenAccess\":false,\"openAccessPdf\":\"https://www.ncbi.nlm.nih.gov/pmc/articles/PMC12372810/pdf/\",\"citationCount\":\"0\",\"resultStr\":null,\"platform\":\"Semanticscholar\",\"paperid\":null,\"PeriodicalName\":\"Infection and Drug Resistance\",\"FirstCategoryId\":\"3\",\"ListUrlMain\":\"https://doi.org/10.2147/IDR.S544358\",\"RegionNum\":3,\"RegionCategory\":\"医学\",\"ArticlePicture\":[],\"TitleCN\":null,\"AbstractTextCN\":null,\"PMCID\":null,\"EPubDate\":\"2025/1/1 0:00:00\",\"PubModel\":\"eCollection\",\"JCR\":\"Q2\",\"JCRName\":\"INFECTIOUS DISEASES\",\"Score\":null,\"Total\":0}","platform":"Semanticscholar","paperid":null,"PeriodicalName":"Infection and Drug Resistance","FirstCategoryId":"3","ListUrlMain":"https://doi.org/10.2147/IDR.S544358","RegionNum":3,"RegionCategory":"医学","ArticlePicture":[],"TitleCN":null,"AbstractTextCN":null,"PMCID":null,"EPubDate":"2025/1/1 0:00:00","PubModel":"eCollection","JCR":"Q2","JCRName":"INFECTIOUS DISEASES","Score":null,"Total":0}
引用次数: 0

摘要

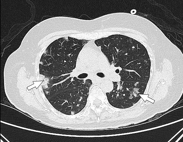
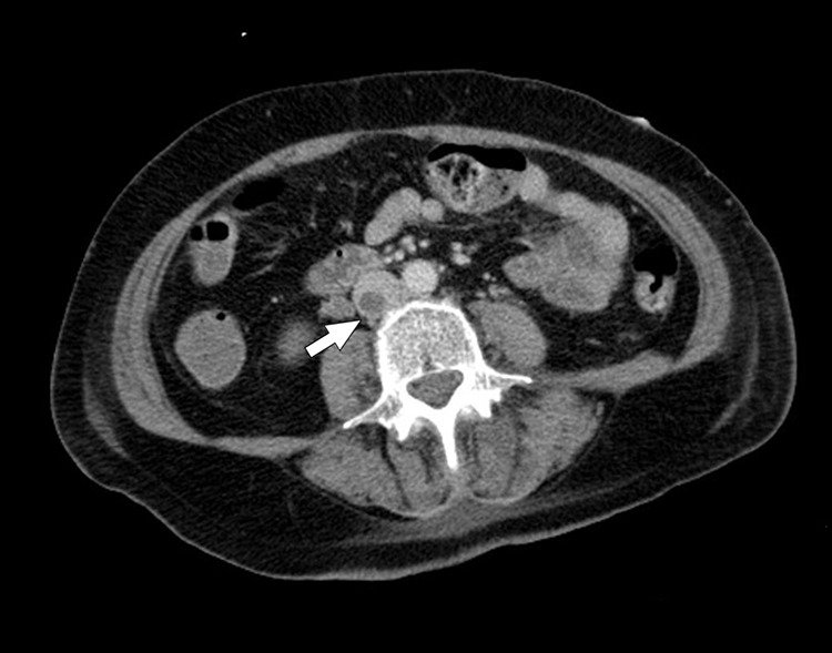
椎管旁类固醇注射,虽然广泛用于治疗背痛,但有严重并发症的风险,包括感染。我们描述了一位54岁的免疫功能正常的女性,她在腰椎棘旁类固醇注射治疗背痛后发生了弥散性耐甲氧西林金黄色葡萄球菌(MRSA)感染。患者表现为发热、呼吸困难和急性腰痛,进展为缺氧性呼吸衰竭,需要插管。诊断结果显示MRSA菌血症并发腰椎硬膜外脓肿、双侧腰肌和腰方肌化脓性炎、下腔静脉(IVC)脓毒性血栓性静脉炎、肺脓毒性栓塞和脑膜脑炎。患者接受静脉注射万古霉素和阿哌沙班抗凝治疗。在完成8周的疗程后,观察到临床改善,菌血症消退,下腔静脉血栓放射学完全消退。该病例强调了MRSA在其强大毒力因素的驱动下,将局部感染转化为广泛转移性疾病的破坏性潜力。它指出了早期识别系统性并发症的重要性,包括血管血栓形成和中枢神经系统受累,在椎管旁干预后。此外,它表明需要及时成像,及时施用靶向抗生素和多学科管理。鉴于越来越多地使用皮质类固醇注射和对抗生素耐药病原体的日益关注,该病例提醒人们注意潜在的医源性并发症以及感染控制和警惕监测的至关重要性。即使没有明显的免疫抑制,临床医生也应该对注射类固醇后出现全身性症状的患者保持高度怀疑。
本文章由计算机程序翻译,如有差异,请以英文原文为准。

Inferior Vena Cava Septic Thrombophlebitis: A Severe Complication of Paraspinal Steroid Injection Leading to Methicillin-Resistant <i>Staphylococcus aureus</i> Dissemination.

Inferior Vena Cava Septic Thrombophlebitis: A Severe Complication of Paraspinal Steroid Injection Leading to Methicillin-Resistant <i>Staphylococcus aureus</i> Dissemination.

Inferior Vena Cava Septic Thrombophlebitis: A Severe Complication of Paraspinal Steroid Injection Leading to Methicillin-Resistant <i>Staphylococcus aureus</i> Dissemination.

Inferior Vena Cava Septic Thrombophlebitis: A Severe Complication of Paraspinal Steroid Injection Leading to Methicillin-Resistant Staphylococcus aureus Dissemination.

Paraspinal steroid injections, while widely employed for the treatment of back pain, carry risks of serious complications including infection. We describe a 54-year-old immunocompetent woman who developed a disseminated methicillin-resistant Staphylococcus aureus (MRSA) infection following a lumbar paraspinal steroid injection for back pain. She presented with fever, dyspnea, and acute low back pain, progressing to hypoxic respiratory failure requiring intubation. Diagnostic workup revealed MRSA bacteremia complicated by a lumbar spinal epidural abscess, bilateral psoas and quadratus lumborum pyomyositis, inferior vena cava (IVC) septic thrombophlebitis, pulmonary septic emboli, and meningoencephalitis. The patient received intravenous vancomycin and anticoagulation therapy with apixaban. Clinical improvement was observed with resolution of bacteremia and complete radiological resolution of the IVC thrombus after completing an 8-week treatment course. This case underscores the devastating potential of MRSA to transform a localized infection into widespread metastatic disease, driven by its potent virulence factors. It points out the importance of early recognition of systemic complications, including vascular thrombosis and central nervous system involvement, following paraspinal interventions. Moreover, it demonstrates the need for prompt imaging, timely administration of targeted antibiotics, and multidisciplinary management. Given the increasing use of corticosteroid injections and rising concerns about antibiotic-resistant pathogens, this case serves as a reminder of potential iatrogenic complications and the critical importance of infection control and vigilant monitoring. Clinicians should maintain a high index of suspicion for deep-seated infections in patients presenting with systemic symptoms after steroid injection, even in the absence of overt immunosuppression.

求助全文
通过发布文献求助,成功后即可免费获取论文全文。 去求助
来源期刊
Infection and Drug Resistance
Infection and Drug Resistance Medicine-Pharmacology (medical)
CiteScore
5.60
自引率
7.70%
发文量
826
审稿时长
16 weeks
期刊介绍: About Journal Editors Peer Reviewers Articles Article Publishing Charges Aims and Scope Call For Papers ISSN: 1178-6973 Editor-in-Chief: Professor Suresh Antony An international, peer-reviewed, open access journal that focuses on the optimal treatment of infection (bacterial, fungal and viral) and the development and institution of preventative strategies to minimize the development and spread of resistance.
×
引用
GB/T 7714-2015
复制
MLA
复制
APA
复制
导出至
BibTeX EndNote RefMan NoteFirst NoteExpress
×
提示
您的信息不完整,为了账户安全,请先补充。
现在去补充
×
提示
您因"违规操作"
具体请查看互助需知
我知道了
×
提示
确定
请完成安全验证×
copy
已复制链接
快去分享给好友吧!
我知道了
右上角分享
点击右上角分享
0
联系我们:info@booksci.cn Book学术提供免费学术资源搜索服务,方便国内外学者检索中英文文献。致力于提供最便捷和优质的服务体验。 Copyright © 2023 布克学术 All rights reserved.
京ICP备2023020795号-1
ghs 京公网安备 11010802042870号
Book学术文献互助
Book学术文献互助群
群 号:604180095
Book学术官方微信