产后肾皮质坏死的超声边缘征:在三级保健中心的经验。

IF 0.8 Q4 UROLOGY & NEPHROLOGY
Indian Journal of Nephrology Pub Date : 2025-07-01 Epub Date: 2024-09-05 DOI:10.25259/IJN_244_2024
Adarsh Kumar, Meenakshi Rajput, Rajesh Kumar, Sanjiv Mahajan, Chirag Jain
{"title":"产后肾皮质坏死的超声边缘征:在三级保健中心的经验。","authors":"Adarsh Kumar, Meenakshi Rajput, Rajesh Kumar, Sanjiv Mahajan, Chirag Jain","doi":"10.25259/IJN_244_2024","DOIUrl":null,"url":null,"abstract":"<p><strong>Background: </strong>Kidney biopsy or contrast studies are required to diagnose acute renal cortical necrosis (RCN). Both procedures may be potentially delayed in the postpartum setting. Contrast-enhanced ultrasound (CEUS) is a potential alternative for these patients but remains limited in availability. Due to sparse literature and the rarity of RCN, the role of conventional B-mode ultrasound (USG) in diagnosing RCN remains unexplored.</p><p><strong>Materials and methods: </strong>This retrospective study involved postpartum patients with RCN who underwent kidney biopsy at a tertiary care center. Medical records and B-mode USG kidney images of all 23 patients with postpartum RCN over the past 24 months were retrieved. Gray-scale B-mode USG images of the kidney were assessed for size, presence of sonographic hypoechoic rim, USG kidney timing, echogenicity, and cortico-medullary differentiation.</p><p><strong>Results: </strong>Among the 23 patients, sonographic hypoechoic rim was observed in 6 patients (26.1%). USG kidney timing ranged from 1.1 to 8 weeks, and kidney length varied from 9.0 to 10.8 cm. There were significant differences in mean USG kidney timing and mean kidney length between patients with and without hypoechoic rim (<i>P</i>= 0.020 and <i>P</i>= 0.036, respectively). The mean USG kidney timing was notably earlier in patients with sonographic rim signs than those without sonographic rim signs (2.5 ± 0.77 weeks and 4.81 ± 2.17 weeks, respectively).</p><p><strong>Conclusion: </strong>Despite its lower sensitivity, the sonographic rim sign is an important diagnostic feature of postpartum renal cortical necrosis. In point-of-care ultrasonography, it should be looked for early in the disease course, especially in cases of postpartum anuric acute kidney injury.</p>","PeriodicalId":13359,"journal":{"name":"Indian Journal of Nephrology","volume":"35 4","pages":"520-523"},"PeriodicalIF":0.8000,"publicationDate":"2025-07-01","publicationTypes":"Journal Article","fieldsOfStudy":null,"isOpenAccess":false,"openAccessPdf":"https://www.ncbi.nlm.nih.gov/pmc/articles/PMC12392187/pdf/","citationCount":"0","resultStr":"{\"title\":\"Sono-graphic Rim Sign in Postpartum Renal Cortical Necrosis: Experience at a Tertiary Care Centre.\",\"authors\":\"Adarsh Kumar, Meenakshi Rajput, Rajesh Kumar, Sanjiv Mahajan, Chirag Jain\",\"doi\":\"10.25259/IJN_244_2024\",\"DOIUrl\":null,\"url\":null,\"abstract\":\"<p><strong>Background: </strong>Kidney biopsy or contrast studies are required to diagnose acute renal cortical necrosis (RCN). Both procedures may be potentially delayed in the postpartum setting. Contrast-enhanced ultrasound (CEUS) is a potential alternative for these patients but remains limited in availability. Due to sparse literature and the rarity of RCN, the role of conventional B-mode ultrasound (USG) in diagnosing RCN remains unexplored.</p><p><strong>Materials and methods: </strong>This retrospective study involved postpartum patients with RCN who underwent kidney biopsy at a tertiary care center. Medical records and B-mode USG kidney images of all 23 patients with postpartum RCN over the past 24 months were retrieved. Gray-scale B-mode USG images of the kidney were assessed for size, presence of sonographic hypoechoic rim, USG kidney timing, echogenicity, and cortico-medullary differentiation.</p><p><strong>Results: </strong>Among the 23 patients, sonographic hypoechoic rim was observed in 6 patients (26.1%). USG kidney timing ranged from 1.1 to 8 weeks, and kidney length varied from 9.0 to 10.8 cm. There were significant differences in mean USG kidney timing and mean kidney length between patients with and without hypoechoic rim (<i>P</i>= 0.020 and <i>P</i>= 0.036, respectively). The mean USG kidney timing was notably earlier in patients with sonographic rim signs than those without sonographic rim signs (2.5 ± 0.77 weeks and 4.81 ± 2.17 weeks, respectively).</p><p><strong>Conclusion: </strong>Despite its lower sensitivity, the sonographic rim sign is an important diagnostic feature of postpartum renal cortical necrosis. In point-of-care ultrasonography, it should be looked for early in the disease course, especially in cases of postpartum anuric acute kidney injury.</p>\",\"PeriodicalId\":13359,\"journal\":{\"name\":\"Indian Journal of Nephrology\",\"volume\":\"35 4\",\"pages\":\"520-523\"},\"PeriodicalIF\":0.8000,\"publicationDate\":\"2025-07-01\",\"publicationTypes\":\"Journal Article\",\"fieldsOfStudy\":null,\"isOpenAccess\":false,\"openAccessPdf\":\"https://www.ncbi.nlm.nih.gov/pmc/articles/PMC12392187/pdf/\",\"citationCount\":\"0\",\"resultStr\":null,\"platform\":\"Semanticscholar\",\"paperid\":null,\"PeriodicalName\":\"Indian Journal of Nephrology\",\"FirstCategoryId\":\"1085\",\"ListUrlMain\":\"https://doi.org/10.25259/IJN_244_2024\",\"RegionNum\":0,\"RegionCategory\":null,\"ArticlePicture\":[],\"TitleCN\":null,\"AbstractTextCN\":null,\"PMCID\":null,\"EPubDate\":\"2024/9/5 0:00:00\",\"PubModel\":\"Epub\",\"JCR\":\"Q4\",\"JCRName\":\"UROLOGY & NEPHROLOGY\",\"Score\":null,\"Total\":0}","platform":"Semanticscholar","paperid":null,"PeriodicalName":"Indian Journal of Nephrology","FirstCategoryId":"1085","ListUrlMain":"https://doi.org/10.25259/IJN_244_2024","RegionNum":0,"RegionCategory":null,"ArticlePicture":[],"TitleCN":null,"AbstractTextCN":null,"PMCID":null,"EPubDate":"2024/9/5 0:00:00","PubModel":"Epub","JCR":"Q4","JCRName":"UROLOGY & NEPHROLOGY","Score":null,"Total":0}
引用次数: 0

摘要

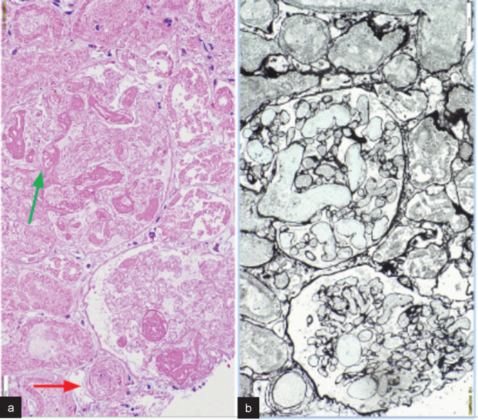
背景:诊断急性肾皮质坏死(RCN)需要肾活检或对比检查。这两种程序都可能在产后被推迟。对比增强超声(CEUS)是这些患者的潜在替代方法,但可用性仍然有限。由于文献稀少和RCN的罕见性,常规b超(USG)在诊断RCN中的作用仍未被探索。材料和方法:本回顾性研究涉及在三级保健中心接受肾活检的产后RCN患者。检索所有23例产后RCN患者过去24个月的医疗记录和b型USG肾脏图像。评估肾脏灰度b型超声心动图的大小、超声低回声边缘的存在、超声心动图肾脏时间、回声性和皮质-髓质分化。结果:23例患者中有6例(26.1%)出现超声低回声边缘。USG肾脏时间范围为1.1 ~ 8周,肾脏长度范围为9.0 ~ 10.8 cm。有无低回声边缘患者的平均USG肾脏时间和平均肾脏长度差异有统计学意义(P= 0.020和P= 0.036)。有超声边缘征象的患者平均USG肾脏时间明显早于无超声边缘征象的患者(分别为2.5±0.77周和4.81±2.17周)。结论:超声边缘征象虽敏感性较低,但仍是产后肾皮质坏死的重要诊断特征。在现场超声检查中,应在病程早期就发现,尤其是产后无尿急性肾损伤的病例。
本文章由计算机程序翻译,如有差异,请以英文原文为准。

Sono-graphic Rim Sign in Postpartum Renal Cortical Necrosis: Experience at a Tertiary Care Centre.

Sono-graphic Rim Sign in Postpartum Renal Cortical Necrosis: Experience at a Tertiary Care Centre.

Sono-graphic Rim Sign in Postpartum Renal Cortical Necrosis: Experience at a Tertiary Care Centre.

Sono-graphic Rim Sign in Postpartum Renal Cortical Necrosis: Experience at a Tertiary Care Centre.

Background: Kidney biopsy or contrast studies are required to diagnose acute renal cortical necrosis (RCN). Both procedures may be potentially delayed in the postpartum setting. Contrast-enhanced ultrasound (CEUS) is a potential alternative for these patients but remains limited in availability. Due to sparse literature and the rarity of RCN, the role of conventional B-mode ultrasound (USG) in diagnosing RCN remains unexplored.

Materials and methods: This retrospective study involved postpartum patients with RCN who underwent kidney biopsy at a tertiary care center. Medical records and B-mode USG kidney images of all 23 patients with postpartum RCN over the past 24 months were retrieved. Gray-scale B-mode USG images of the kidney were assessed for size, presence of sonographic hypoechoic rim, USG kidney timing, echogenicity, and cortico-medullary differentiation.

Results: Among the 23 patients, sonographic hypoechoic rim was observed in 6 patients (26.1%). USG kidney timing ranged from 1.1 to 8 weeks, and kidney length varied from 9.0 to 10.8 cm. There were significant differences in mean USG kidney timing and mean kidney length between patients with and without hypoechoic rim (P= 0.020 and P= 0.036, respectively). The mean USG kidney timing was notably earlier in patients with sonographic rim signs than those without sonographic rim signs (2.5 ± 0.77 weeks and 4.81 ± 2.17 weeks, respectively).

Conclusion: Despite its lower sensitivity, the sonographic rim sign is an important diagnostic feature of postpartum renal cortical necrosis. In point-of-care ultrasonography, it should be looked for early in the disease course, especially in cases of postpartum anuric acute kidney injury.

求助全文
通过发布文献求助,成功后即可免费获取论文全文。 去求助
来源期刊
Indian Journal of Nephrology
Indian Journal of Nephrology UROLOGY & NEPHROLOGY-
CiteScore
1.40
自引率
0.00%
发文量
128
审稿时长
24 weeks
×
引用
GB/T 7714-2015
复制
MLA
复制
APA
复制
导出至
BibTeX EndNote RefMan NoteFirst NoteExpress
×
提示
您的信息不完整,为了账户安全,请先补充。
现在去补充
×
提示
您因"违规操作"
具体请查看互助需知
我知道了
×
提示
确定
请完成安全验证×
copy
已复制链接
快去分享给好友吧!
我知道了
右上角分享
点击右上角分享
0
联系我们:info@booksci.cn Book学术提供免费学术资源搜索服务,方便国内外学者检索中英文文献。致力于提供最便捷和优质的服务体验。 Copyright © 2023 布克学术 All rights reserved.
京ICP备2023020795号-1
ghs 京公网安备 11010802042870号
Book学术文献互助
Book学术文献互助群
群 号:604180095
Book学术官方微信