达格列净与瑞舒伐他汀相互作用导致的严重横纹肌溶解:1例报告。

IF 0.8 Q4 UROLOGY & NEPHROLOGY
Indian Journal of Nephrology Pub Date : 2025-07-01 Epub Date: 2024-06-29 DOI:10.25259/IJN_25_2024
Anaghashree Udayashankar, Topoti Mukherjee, Kristin George, Kiran KrishneGowda
{"title":"达格列净与瑞舒伐他汀相互作用导致的严重横纹肌溶解:1例报告。","authors":"Anaghashree Udayashankar, Topoti Mukherjee, Kristin George, Kiran KrishneGowda","doi":"10.25259/IJN_25_2024","DOIUrl":null,"url":null,"abstract":"<p><p>Sodium-glucose-cotransporter-2 inhibitors (SGLT2i) and statins are increasingly used for reduction of cardiovascular mortality in type 2 diabetics. Few case studies reported an enhanced risk of rhabdomyolysis with this combination. A 57-year-old man with normal renal functions, developed fatigue and oliguria within three days of dapagliflozin addition to his preexistent rosuvastatin therapy. Investigations revealed severe acute kidney injury (AKI) with elevated serum creatine-phosphokinase (CPK) and myoglobinuria. Renal biopsy depicted severe acute tubular necrosis with interstitial nephritis and ropy myoglobin casts, which confirmed the diagnosis of rhabdomyolysis. Rosuvastatin and dapagliflozin were discontinued. Hemodialysis and oral steroids were prescribed. The AKI recovered within few weeks. Rosuvastatin was rechallenged after two months and his renal functions and CPK levels remained normal. This case demonstrates the incidence of severe rhabdomyolysis when an SGLT2i was added to an existing statin, emphasizing the importance of identifying drug-drug interactions and potential for myotoxicity.</p>","PeriodicalId":13359,"journal":{"name":"Indian Journal of Nephrology","volume":"35 4","pages":"557-559"},"PeriodicalIF":0.8000,"publicationDate":"2025-07-01","publicationTypes":"Journal Article","fieldsOfStudy":null,"isOpenAccess":false,"openAccessPdf":"https://www.ncbi.nlm.nih.gov/pmc/articles/PMC12392232/pdf/","citationCount":"0","resultStr":"{\"title\":\"Severe Rhabdomyolysis Due to Presumed Drug Interactions of Dapagliflozin with Rosuvastatin: A Case Report.\",\"authors\":\"Anaghashree Udayashankar, Topoti Mukherjee, Kristin George, Kiran KrishneGowda\",\"doi\":\"10.25259/IJN_25_2024\",\"DOIUrl\":null,\"url\":null,\"abstract\":\"<p><p>Sodium-glucose-cotransporter-2 inhibitors (SGLT2i) and statins are increasingly used for reduction of cardiovascular mortality in type 2 diabetics. Few case studies reported an enhanced risk of rhabdomyolysis with this combination. A 57-year-old man with normal renal functions, developed fatigue and oliguria within three days of dapagliflozin addition to his preexistent rosuvastatin therapy. Investigations revealed severe acute kidney injury (AKI) with elevated serum creatine-phosphokinase (CPK) and myoglobinuria. Renal biopsy depicted severe acute tubular necrosis with interstitial nephritis and ropy myoglobin casts, which confirmed the diagnosis of rhabdomyolysis. Rosuvastatin and dapagliflozin were discontinued. Hemodialysis and oral steroids were prescribed. The AKI recovered within few weeks. Rosuvastatin was rechallenged after two months and his renal functions and CPK levels remained normal. This case demonstrates the incidence of severe rhabdomyolysis when an SGLT2i was added to an existing statin, emphasizing the importance of identifying drug-drug interactions and potential for myotoxicity.</p>\",\"PeriodicalId\":13359,\"journal\":{\"name\":\"Indian Journal of Nephrology\",\"volume\":\"35 4\",\"pages\":\"557-559\"},\"PeriodicalIF\":0.8000,\"publicationDate\":\"2025-07-01\",\"publicationTypes\":\"Journal Article\",\"fieldsOfStudy\":null,\"isOpenAccess\":false,\"openAccessPdf\":\"https://www.ncbi.nlm.nih.gov/pmc/articles/PMC12392232/pdf/\",\"citationCount\":\"0\",\"resultStr\":null,\"platform\":\"Semanticscholar\",\"paperid\":null,\"PeriodicalName\":\"Indian Journal of Nephrology\",\"FirstCategoryId\":\"1085\",\"ListUrlMain\":\"https://doi.org/10.25259/IJN_25_2024\",\"RegionNum\":0,\"RegionCategory\":null,\"ArticlePicture\":[],\"TitleCN\":null,\"AbstractTextCN\":null,\"PMCID\":null,\"EPubDate\":\"2024/6/29 0:00:00\",\"PubModel\":\"Epub\",\"JCR\":\"Q4\",\"JCRName\":\"UROLOGY & NEPHROLOGY\",\"Score\":null,\"Total\":0}","platform":"Semanticscholar","paperid":null,"PeriodicalName":"Indian Journal of Nephrology","FirstCategoryId":"1085","ListUrlMain":"https://doi.org/10.25259/IJN_25_2024","RegionNum":0,"RegionCategory":null,"ArticlePicture":[],"TitleCN":null,"AbstractTextCN":null,"PMCID":null,"EPubDate":"2024/6/29 0:00:00","PubModel":"Epub","JCR":"Q4","JCRName":"UROLOGY & NEPHROLOGY","Score":null,"Total":0}
引用次数: 0

摘要

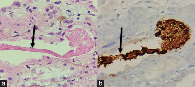
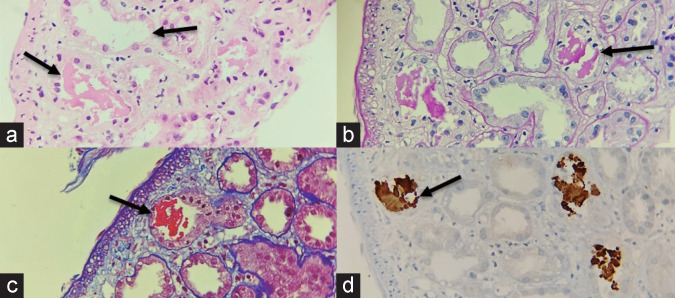
钠-葡萄糖-共转运蛋白-2抑制剂(SGLT2i)和他汀类药物越来越多地用于降低2型糖尿病患者的心血管死亡率。很少有病例研究报道这种组合会增加横纹肌溶解的风险。一名57岁男性,肾功能正常,在服用达格列净和既往瑞舒伐他汀治疗的3天内出现疲劳和少尿。调查显示严重急性肾损伤(AKI)伴有血清肌酸-磷酸激酶(CPK)升高和肌红蛋白尿。肾活检显示严重急性肾小管坏死伴间质性肾炎和粘连肌红蛋白铸型,证实了横纹肌溶解的诊断。瑞舒伐他汀和达格列净停用。开了血液透析和口服类固醇。AKI在几周内就恢复了。2个月后再次服用瑞舒伐他汀,肾功能和CPK水平保持正常。该病例表明,将SGLT2i添加到现有的他汀类药物中时,严重横纹肌溶解的发生率,强调了识别药物-药物相互作用和潜在肌毒性的重要性。
本文章由计算机程序翻译,如有差异,请以英文原文为准。

Severe Rhabdomyolysis Due to Presumed Drug Interactions of Dapagliflozin with Rosuvastatin: A Case Report.

Severe Rhabdomyolysis Due to Presumed Drug Interactions of Dapagliflozin with Rosuvastatin: A Case Report.

Severe Rhabdomyolysis Due to Presumed Drug Interactions of Dapagliflozin with Rosuvastatin: A Case Report.

Sodium-glucose-cotransporter-2 inhibitors (SGLT2i) and statins are increasingly used for reduction of cardiovascular mortality in type 2 diabetics. Few case studies reported an enhanced risk of rhabdomyolysis with this combination. A 57-year-old man with normal renal functions, developed fatigue and oliguria within three days of dapagliflozin addition to his preexistent rosuvastatin therapy. Investigations revealed severe acute kidney injury (AKI) with elevated serum creatine-phosphokinase (CPK) and myoglobinuria. Renal biopsy depicted severe acute tubular necrosis with interstitial nephritis and ropy myoglobin casts, which confirmed the diagnosis of rhabdomyolysis. Rosuvastatin and dapagliflozin were discontinued. Hemodialysis and oral steroids were prescribed. The AKI recovered within few weeks. Rosuvastatin was rechallenged after two months and his renal functions and CPK levels remained normal. This case demonstrates the incidence of severe rhabdomyolysis when an SGLT2i was added to an existing statin, emphasizing the importance of identifying drug-drug interactions and potential for myotoxicity.

求助全文
通过发布文献求助,成功后即可免费获取论文全文。 去求助
来源期刊
Indian Journal of Nephrology
Indian Journal of Nephrology UROLOGY & NEPHROLOGY-
CiteScore
1.40
自引率
0.00%
发文量
128
审稿时长
24 weeks
×
引用
GB/T 7714-2015
复制
MLA
复制
APA
复制
导出至
BibTeX EndNote RefMan NoteFirst NoteExpress
×
提示
您的信息不完整,为了账户安全,请先补充。
现在去补充
×
提示
您因"违规操作"
具体请查看互助需知
我知道了
×
提示
确定
请完成安全验证×
copy
已复制链接
快去分享给好友吧!
我知道了
右上角分享
点击右上角分享
0
联系我们:info@booksci.cn Book学术提供免费学术资源搜索服务,方便国内外学者检索中英文文献。致力于提供最便捷和优质的服务体验。 Copyright © 2023 布克学术 All rights reserved.
京ICP备2023020795号-1
ghs 京公网安备 11010802042870号
Book学术文献互助
Book学术文献互助群
群 号:604180095
Book学术官方微信