中性粒细胞减少性小肠结肠炎合并急性髓系白血病和白塞病:医学影像学和多学科治疗在一个复杂临床病例中的关键作用。

IF 1.8 4区 医学 Q3 MEDICINE, RESEARCH & EXPERIMENTAL
In vivo Pub Date : 2025-09-01 DOI:10.21873/invivo.14102
Christian A Dascalescu, Alessia Fraccaroli, Erik Gaitzsch, Samixa Pudasaini, Felix L Herr, Jens Ricke, Clemens C Cyran, Karsten Spiekermann, Michael VON Bergwelt-Baildon, Joachim Stemmler, Max Seidensticker, Wolfgang G Kunz
{"title":"中性粒细胞减少性小肠结肠炎合并急性髓系白血病和白塞病:医学影像学和多学科治疗在一个复杂临床病例中的关键作用。","authors":"Christian A Dascalescu, Alessia Fraccaroli, Erik Gaitzsch, Samixa Pudasaini, Felix L Herr, Jens Ricke, Clemens C Cyran, Karsten Spiekermann, Michael VON Bergwelt-Baildon, Joachim Stemmler, Max Seidensticker, Wolfgang G Kunz","doi":"10.21873/invivo.14102","DOIUrl":null,"url":null,"abstract":"<p><strong>Background/aim: </strong>Neutropenic enterocolitis (NE), also known as typhlitis, is a life-threatening gastrointestinal complication primarily affecting immunocompromised patients undergoing intensive chemotherapy. Its management becomes particularly challenging when compounded by comorbidities such as Behçet's disease with gastrointestinal involvement.</p><p><strong>Case report: </strong>We report the case of a 44-year-old male with acute myeloid leukemia (AML) and intestinal Behçet's disease who developed severe NE during induction chemotherapy. Initial conservative management was guided by serial cross-sectional imaging, which revealed progressive bowel wall thickening, pneumatosis intestinalis, and signs of ileus. The clinical course was complicated by septic shock, multiorgan dysfunction, and later, acute gastrointestinal hemorrhage. Active arterial bleeding was identified via computed tomography angiography and successfully treated with interventional radiological coil embolization. Surgical intervention was avoided. Multidisciplinary collaboration, including hematology, radiology, rheumatology, intensive care, and pain management, was essential in navigating this complex clinical scenario.</p><p><strong>Conclusion: </strong>This case highlights the pivotal role of radiological imaging in diagnosing and monitoring NE and demonstrates the value of interventional radiology as a minimally invasive alternative to surgery. In patients with overlapping autoimmune and oncological pathologies, individualized, multidisciplinary management is crucial for optimizing outcomes.</p>","PeriodicalId":13364,"journal":{"name":"In vivo","volume":"39 5","pages":"3008-3013"},"PeriodicalIF":1.8000,"publicationDate":"2025-09-01","publicationTypes":"Journal Article","fieldsOfStudy":null,"isOpenAccess":false,"openAccessPdf":"https://www.ncbi.nlm.nih.gov/pmc/articles/PMC12396032/pdf/","citationCount":"0","resultStr":"{\"title\":\"Neutropenic Enterocolitis in Acute Myeloid Leukemia and Morbus Behcet: Pivotal Role of Medical Imaging and Multidisciplinary Management in a Complex Clinical Case.\",\"authors\":\"Christian A Dascalescu, Alessia Fraccaroli, Erik Gaitzsch, Samixa Pudasaini, Felix L Herr, Jens Ricke, Clemens C Cyran, Karsten Spiekermann, Michael VON Bergwelt-Baildon, Joachim Stemmler, Max Seidensticker, Wolfgang G Kunz\",\"doi\":\"10.21873/invivo.14102\",\"DOIUrl\":null,\"url\":null,\"abstract\":\"<p><strong>Background/aim: </strong>Neutropenic enterocolitis (NE), also known as typhlitis, is a life-threatening gastrointestinal complication primarily affecting immunocompromised patients undergoing intensive chemotherapy. Its management becomes particularly challenging when compounded by comorbidities such as Behçet's disease with gastrointestinal involvement.</p><p><strong>Case report: </strong>We report the case of a 44-year-old male with acute myeloid leukemia (AML) and intestinal Behçet's disease who developed severe NE during induction chemotherapy. Initial conservative management was guided by serial cross-sectional imaging, which revealed progressive bowel wall thickening, pneumatosis intestinalis, and signs of ileus. The clinical course was complicated by septic shock, multiorgan dysfunction, and later, acute gastrointestinal hemorrhage. Active arterial bleeding was identified via computed tomography angiography and successfully treated with interventional radiological coil embolization. Surgical intervention was avoided. Multidisciplinary collaboration, including hematology, radiology, rheumatology, intensive care, and pain management, was essential in navigating this complex clinical scenario.</p><p><strong>Conclusion: </strong>This case highlights the pivotal role of radiological imaging in diagnosing and monitoring NE and demonstrates the value of interventional radiology as a minimally invasive alternative to surgery. In patients with overlapping autoimmune and oncological pathologies, individualized, multidisciplinary management is crucial for optimizing outcomes.</p>\",\"PeriodicalId\":13364,\"journal\":{\"name\":\"In vivo\",\"volume\":\"39 5\",\"pages\":\"3008-3013\"},\"PeriodicalIF\":1.8000,\"publicationDate\":\"2025-09-01\",\"publicationTypes\":\"Journal Article\",\"fieldsOfStudy\":null,\"isOpenAccess\":false,\"openAccessPdf\":\"https://www.ncbi.nlm.nih.gov/pmc/articles/PMC12396032/pdf/\",\"citationCount\":\"0\",\"resultStr\":null,\"platform\":\"Semanticscholar\",\"paperid\":null,\"PeriodicalName\":\"In vivo\",\"FirstCategoryId\":\"3\",\"ListUrlMain\":\"https://doi.org/10.21873/invivo.14102\",\"RegionNum\":4,\"RegionCategory\":\"医学\",\"ArticlePicture\":[],\"TitleCN\":null,\"AbstractTextCN\":null,\"PMCID\":null,\"EPubDate\":\"\",\"PubModel\":\"\",\"JCR\":\"Q3\",\"JCRName\":\"MEDICINE, RESEARCH & EXPERIMENTAL\",\"Score\":null,\"Total\":0}","platform":"Semanticscholar","paperid":null,"PeriodicalName":"In vivo","FirstCategoryId":"3","ListUrlMain":"https://doi.org/10.21873/invivo.14102","RegionNum":4,"RegionCategory":"医学","ArticlePicture":[],"TitleCN":null,"AbstractTextCN":null,"PMCID":null,"EPubDate":"","PubModel":"","JCR":"Q3","JCRName":"MEDICINE, RESEARCH & EXPERIMENTAL","Score":null,"Total":0}
引用次数: 0

摘要

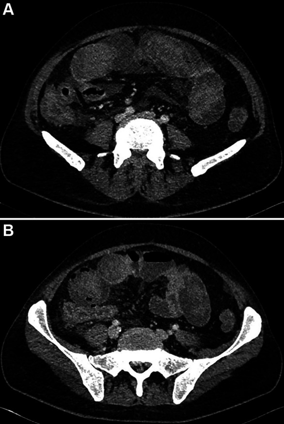
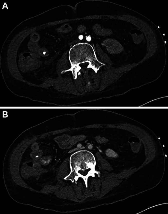
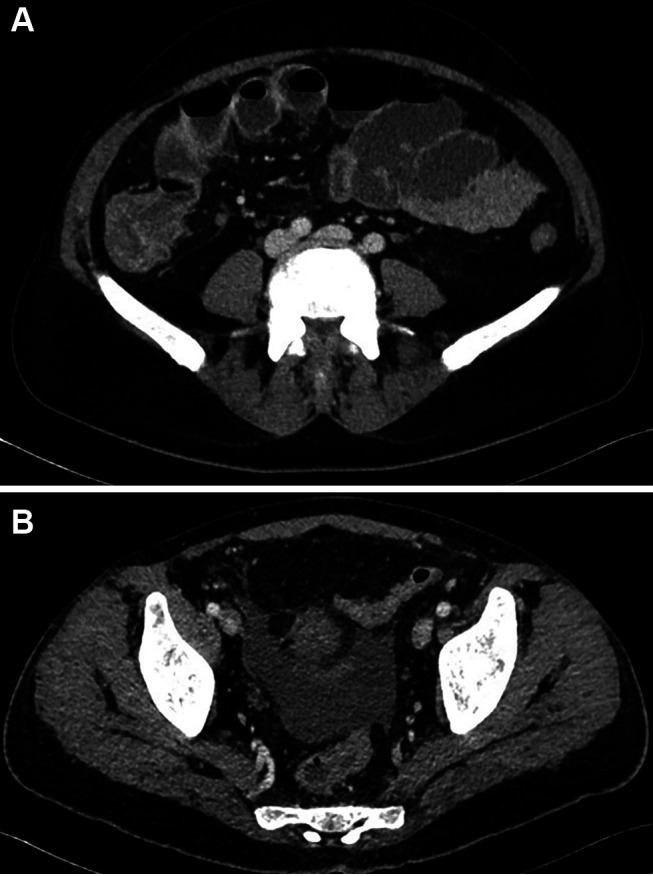
背景/目的:中性粒细胞减少性小肠结肠炎(NE),也称为伤寒,是一种危及生命的胃肠道并发症,主要影响接受强化化疗的免疫功能低下患者。当合并合并症(如behaperet病伴胃肠道受累)时,其治疗变得特别具有挑战性。病例报告:我们报告一例44岁男性急性髓性白血病(AML)和肠behet病,在诱导化疗期间发生严重NE。最初的保守治疗是在连续横断成像的指导下进行的,结果显示进行性肠壁增厚,肠气积症和肠梗阻的迹象。临床表现为感染性休克、多器官功能障碍、急性消化道出血。通过计算机断层血管造影发现活动性动脉出血,并成功地采用介入放射线圈栓塞治疗。避免了手术干预。多学科合作,包括血液学、放射学、风湿病学、重症监护和疼痛管理,对于应对这一复杂的临床情况至关重要。结论:本病例强调了放射成像在诊断和监测NE中的关键作用,并证明了介入放射学作为微创手术替代方案的价值。在自身免疫和肿瘤病理重叠的患者中,个体化、多学科管理对于优化结果至关重要。
本文章由计算机程序翻译,如有差异,请以英文原文为准。

Neutropenic Enterocolitis in Acute Myeloid Leukemia and Morbus Behcet: Pivotal Role of Medical Imaging and Multidisciplinary Management in a Complex Clinical Case.

Neutropenic Enterocolitis in Acute Myeloid Leukemia and Morbus Behcet: Pivotal Role of Medical Imaging and Multidisciplinary Management in a Complex Clinical Case.

Neutropenic Enterocolitis in Acute Myeloid Leukemia and Morbus Behcet: Pivotal Role of Medical Imaging and Multidisciplinary Management in a Complex Clinical Case.

Neutropenic Enterocolitis in Acute Myeloid Leukemia and Morbus Behcet: Pivotal Role of Medical Imaging and Multidisciplinary Management in a Complex Clinical Case.

Background/aim: Neutropenic enterocolitis (NE), also known as typhlitis, is a life-threatening gastrointestinal complication primarily affecting immunocompromised patients undergoing intensive chemotherapy. Its management becomes particularly challenging when compounded by comorbidities such as Behçet's disease with gastrointestinal involvement.

Case report: We report the case of a 44-year-old male with acute myeloid leukemia (AML) and intestinal Behçet's disease who developed severe NE during induction chemotherapy. Initial conservative management was guided by serial cross-sectional imaging, which revealed progressive bowel wall thickening, pneumatosis intestinalis, and signs of ileus. The clinical course was complicated by septic shock, multiorgan dysfunction, and later, acute gastrointestinal hemorrhage. Active arterial bleeding was identified via computed tomography angiography and successfully treated with interventional radiological coil embolization. Surgical intervention was avoided. Multidisciplinary collaboration, including hematology, radiology, rheumatology, intensive care, and pain management, was essential in navigating this complex clinical scenario.

Conclusion: This case highlights the pivotal role of radiological imaging in diagnosing and monitoring NE and demonstrates the value of interventional radiology as a minimally invasive alternative to surgery. In patients with overlapping autoimmune and oncological pathologies, individualized, multidisciplinary management is crucial for optimizing outcomes.

求助全文
通过发布文献求助,成功后即可免费获取论文全文。 去求助
来源期刊
In vivo
In vivo 医学-医学:研究与实验
CiteScore
4.20
自引率
4.30%
发文量
330
审稿时长
3-8 weeks
期刊介绍: IN VIVO is an international peer-reviewed journal designed to bring together original high quality works and reviews on experimental and clinical biomedical research within the frames of physiology, pathology and disease management. The topics of IN VIVO include: 1. Experimental development and application of new diagnostic and therapeutic procedures; 2. Pharmacological and toxicological evaluation of new drugs, drug combinations and drug delivery systems; 3. Clinical trials; 4. Development and characterization of models of biomedical research; 5. Cancer diagnosis and treatment; 6. Immunotherapy and vaccines; 7. Radiotherapy, Imaging; 8. Tissue engineering, Regenerative medicine; 9. Carcinogenesis.
×
引用
GB/T 7714-2015
复制
MLA
复制
APA
复制
导出至
BibTeX EndNote RefMan NoteFirst NoteExpress
×
提示
您的信息不完整,为了账户安全,请先补充。
现在去补充
×
提示
您因"违规操作"
具体请查看互助需知
我知道了
×
提示
确定
请完成安全验证×
copy
已复制链接
快去分享给好友吧!
我知道了
右上角分享
点击右上角分享
0
联系我们:info@booksci.cn Book学术提供免费学术资源搜索服务,方便国内外学者检索中英文文献。致力于提供最便捷和优质的服务体验。 Copyright © 2023 布克学术 All rights reserved.
京ICP备2023020795号-1
ghs 京公网安备 11010802042870号
Book学术文献互助
Book学术文献互助群
群 号:604180095
Book学术官方微信