鼻腔和颞部扫描倾斜对OCTA测量黄斑血管密度的影响。

IF 1.8 4区 医学 Q2 OPHTHALMOLOGY
Indian Journal of Ophthalmology Pub Date : 2025-09-01 Epub Date: 2025-08-29 DOI:10.4103/IJO.IJO_580_25
Yongdong Lin, Zhiqiang Guan, Weiwen Lin, Xiang Ai, Shirong Chen
{"title":"鼻腔和颞部扫描倾斜对OCTA测量黄斑血管密度的影响。","authors":"Yongdong Lin, Zhiqiang Guan, Weiwen Lin, Xiang Ai, Shirong Chen","doi":"10.4103/IJO.IJO_580_25","DOIUrl":null,"url":null,"abstract":"<p><strong>Purpose: </strong>To evaluate the effects of scanning tilt on the macular vessel density (VD) measurements in healthy subjects using optical coherence tomography angiography (OCTA).</p><p><strong>Methods: </strong>OCTA imaging was performed on healthy subjects to acquire nasal and temporal oblique scans. Quantitative analyses included as follows: (1) VD in whole-image, annular, and quadrant regions of the superficial capillary plexus (SCP), deep capillary plexus (DCP), and choriocapillaris (CC) layer; (2) Foveal avascular zone (FAZ) parameters (area, perimeter, circularity index) in the SCP.</p><p><strong>Results: </strong>Twenty-eight eyes of 28 healthy participants were included. Nasal inclination significantly affected VD measurement in the SCP temporal quadrant, DCP nasal/temporal/inferior quadrants, and all CC regions (all P < 0.05). Temporal tilt influenced VD measurements in all regions except the SCP superior and temporal quadrants (all P < 0.05). While FAZ area and perimeter remained unaffected by tilt, temporal tilt significantly reduced FAZ circularity (P = 0.022).</p><p><strong>Conclusion: </strong>The tilt of the OCTA scan has different effects on the VD measurements of the whole, annular, and quadrant regions of macular layers and the FAZ circularity index.</p>","PeriodicalId":13329,"journal":{"name":"Indian Journal of Ophthalmology","volume":"73 9","pages":"1350-1354"},"PeriodicalIF":1.8000,"publicationDate":"2025-09-01","publicationTypes":"Journal Article","fieldsOfStudy":null,"isOpenAccess":false,"openAccessPdf":"https://www.ncbi.nlm.nih.gov/pmc/articles/PMC12448501/pdf/","citationCount":"0","resultStr":"{\"title\":\"Effect of nasal and temporal scanning tilt on whole and local macular vessel density measurement using OCTA.\",\"authors\":\"Yongdong Lin, Zhiqiang Guan, Weiwen Lin, Xiang Ai, Shirong Chen\",\"doi\":\"10.4103/IJO.IJO_580_25\",\"DOIUrl\":null,\"url\":null,\"abstract\":\"<p><strong>Purpose: </strong>To evaluate the effects of scanning tilt on the macular vessel density (VD) measurements in healthy subjects using optical coherence tomography angiography (OCTA).</p><p><strong>Methods: </strong>OCTA imaging was performed on healthy subjects to acquire nasal and temporal oblique scans. Quantitative analyses included as follows: (1) VD in whole-image, annular, and quadrant regions of the superficial capillary plexus (SCP), deep capillary plexus (DCP), and choriocapillaris (CC) layer; (2) Foveal avascular zone (FAZ) parameters (area, perimeter, circularity index) in the SCP.</p><p><strong>Results: </strong>Twenty-eight eyes of 28 healthy participants were included. Nasal inclination significantly affected VD measurement in the SCP temporal quadrant, DCP nasal/temporal/inferior quadrants, and all CC regions (all P < 0.05). Temporal tilt influenced VD measurements in all regions except the SCP superior and temporal quadrants (all P < 0.05). While FAZ area and perimeter remained unaffected by tilt, temporal tilt significantly reduced FAZ circularity (P = 0.022).</p><p><strong>Conclusion: </strong>The tilt of the OCTA scan has different effects on the VD measurements of the whole, annular, and quadrant regions of macular layers and the FAZ circularity index.</p>\",\"PeriodicalId\":13329,\"journal\":{\"name\":\"Indian Journal of Ophthalmology\",\"volume\":\"73 9\",\"pages\":\"1350-1354\"},\"PeriodicalIF\":1.8000,\"publicationDate\":\"2025-09-01\",\"publicationTypes\":\"Journal Article\",\"fieldsOfStudy\":null,\"isOpenAccess\":false,\"openAccessPdf\":\"https://www.ncbi.nlm.nih.gov/pmc/articles/PMC12448501/pdf/\",\"citationCount\":\"0\",\"resultStr\":null,\"platform\":\"Semanticscholar\",\"paperid\":null,\"PeriodicalName\":\"Indian Journal of Ophthalmology\",\"FirstCategoryId\":\"3\",\"ListUrlMain\":\"https://doi.org/10.4103/IJO.IJO_580_25\",\"RegionNum\":4,\"RegionCategory\":\"医学\",\"ArticlePicture\":[],\"TitleCN\":null,\"AbstractTextCN\":null,\"PMCID\":null,\"EPubDate\":\"2025/8/29 0:00:00\",\"PubModel\":\"Epub\",\"JCR\":\"Q2\",\"JCRName\":\"OPHTHALMOLOGY\",\"Score\":null,\"Total\":0}","platform":"Semanticscholar","paperid":null,"PeriodicalName":"Indian Journal of Ophthalmology","FirstCategoryId":"3","ListUrlMain":"https://doi.org/10.4103/IJO.IJO_580_25","RegionNum":4,"RegionCategory":"医学","ArticlePicture":[],"TitleCN":null,"AbstractTextCN":null,"PMCID":null,"EPubDate":"2025/8/29 0:00:00","PubModel":"Epub","JCR":"Q2","JCRName":"OPHTHALMOLOGY","Score":null,"Total":0}
引用次数: 0

摘要

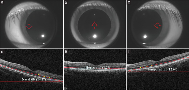
目的:评价扫描倾斜对光学相干断层血管造影(OCTA)测量健康受试者黄斑血管密度(VD)的影响。方法:对健康受试者进行OCTA成像,获得鼻和颞斜位扫描。定量分析包括:(1)浅毛丛(SCP)、深毛丛(DCP)和绒毛膜(CC)层的全像区、环区和象限区VD;(2) SCP的中央凹无血管区(FAZ)参数(面积、周长、圆度指数)。结果:纳入28名健康受试者的28只眼睛。鼻倾角显著影响SCP颞象限、DCP鼻/颞/下象限和所有CC区域的VD测量(均P < 0.05)。除了SCP上象限和时间象限外,时间倾斜影响所有区域的VD测量(均P < 0.05)。虽然FAZ面积和周长不受倾斜影响,但时间倾斜显著降低FAZ圆度(P = 0.022)。结论:OCTA扫描的倾斜度对黄斑层全区、环区和四象限区的VD测量及FAZ圆度指数有不同的影响。
本文章由计算机程序翻译,如有差异,请以英文原文为准。

Effect of nasal and temporal scanning tilt on whole and local macular vessel density measurement using OCTA.

Effect of nasal and temporal scanning tilt on whole and local macular vessel density measurement using OCTA.

Effect of nasal and temporal scanning tilt on whole and local macular vessel density measurement using OCTA.

Effect of nasal and temporal scanning tilt on whole and local macular vessel density measurement using OCTA.

Purpose: To evaluate the effects of scanning tilt on the macular vessel density (VD) measurements in healthy subjects using optical coherence tomography angiography (OCTA).

Methods: OCTA imaging was performed on healthy subjects to acquire nasal and temporal oblique scans. Quantitative analyses included as follows: (1) VD in whole-image, annular, and quadrant regions of the superficial capillary plexus (SCP), deep capillary plexus (DCP), and choriocapillaris (CC) layer; (2) Foveal avascular zone (FAZ) parameters (area, perimeter, circularity index) in the SCP.

Results: Twenty-eight eyes of 28 healthy participants were included. Nasal inclination significantly affected VD measurement in the SCP temporal quadrant, DCP nasal/temporal/inferior quadrants, and all CC regions (all P < 0.05). Temporal tilt influenced VD measurements in all regions except the SCP superior and temporal quadrants (all P < 0.05). While FAZ area and perimeter remained unaffected by tilt, temporal tilt significantly reduced FAZ circularity (P = 0.022).

Conclusion: The tilt of the OCTA scan has different effects on the VD measurements of the whole, annular, and quadrant regions of macular layers and the FAZ circularity index.

求助全文
通过发布文献求助,成功后即可免费获取论文全文。 去求助
来源期刊
CiteScore
3.80
自引率
19.40%
发文量
1963
审稿时长
38 weeks
期刊介绍: Indian Journal of Ophthalmology covers clinical, experimental, basic science research and translational research studies related to medical, ethical and social issues in field of ophthalmology and vision science. Articles with clinical interest and implications will be given preference.
×
引用
GB/T 7714-2015
复制
MLA
复制
APA
复制
导出至
BibTeX EndNote RefMan NoteFirst NoteExpress
×
提示
您的信息不完整,为了账户安全,请先补充。
现在去补充
×
提示
您因"违规操作"
具体请查看互助需知
我知道了
×
提示
确定
请完成安全验证×
copy
已复制链接
快去分享给好友吧!
我知道了
右上角分享
点击右上角分享
0
联系我们:info@booksci.cn Book学术提供免费学术资源搜索服务,方便国内外学者检索中英文文献。致力于提供最便捷和优质的服务体验。 Copyright © 2023 布克学术 All rights reserved.
京ICP备2023020795号-1
ghs 京公网安备 11010802042870号
Book学术文献互助
Book学术文献互助群
群 号:604180095
Book学术官方微信