GS-441524猫传染性腹膜炎病毒合并横结肠脓肉芽肿病变的治疗

IF 1.8 4区 医学 Q3 MEDICINE, RESEARCH & EXPERIMENTAL
In vivo Pub Date : 2025-09-01 DOI:10.21873/invivo.14074
Tae-Young Kim, Ye-In Oh
{"title":"GS-441524猫传染性腹膜炎病毒合并横结肠脓肉芽肿病变的治疗","authors":"Tae-Young Kim, Ye-In Oh","doi":"10.21873/invivo.14074","DOIUrl":null,"url":null,"abstract":"<p><strong>Background/aim: </strong>Feline infectious peritonitis (FIP) is a fatal disease caused by feline coronavirus (FCoV), manifesting as effusive (wet) or non-effusive (dry) forms. Granulomatous lesions in the gastrointestinal tract, particularly the colon, are rare and pose diagnostic and therapeutic challenges.</p><p><strong>Case report: </strong>A 7-year-old castrated male domestic shorthair cat (4.1 kg) presented with anorexia and vomiting. Blood tests showed an albumin:globulin ratio of 0.5, a mild elevation in aspartate aminotransferase, mild leukocytosis, and a severe elevation of feline serum amyloid A. The abdominal ultrasound and computed tomography imaging showed a mass in the transverse colon and surrounding mesenteric lymph nodes. The mass was observed to be relatively well vascularized, with areas of low-density uneven necrosis. Histological examination revealed severe pyogranulomatous inflammation with macrophages, neutrophils, and lymphocytes predominantly present in both the affected colon and lymphoid tissues. Immunohistochemistry for feline infectious peritonitis (FIP) virus antigen of the lesion showed a strong positive result, confirming limited and localized lesion induction by FIP virus infection. The cat received GS-441524 for 12 weeks, resulting in clinical improvement, lesion resolution, and normalized lab results. RT-PCR and antibody tests were negative post-treatment.</p><p><strong>Conclusion: </strong>This case report describes a rare presentation of FIP virus infection, characterized by localized lesions confined to a specific segment of the colon. In this case, treatment with the nucleoside analog GS-441524 was very effective in improving the localized lesion and demonstrated excellent efficacy in clearing the FIP virus.</p>","PeriodicalId":13364,"journal":{"name":"In vivo","volume":"39 5","pages":"2760-2765"},"PeriodicalIF":1.8000,"publicationDate":"2025-09-01","publicationTypes":"Journal Article","fieldsOfStudy":null,"isOpenAccess":false,"openAccessPdf":"https://www.ncbi.nlm.nih.gov/pmc/articles/PMC12396036/pdf/","citationCount":"0","resultStr":"{\"title\":\"GS-441524 Treatment in a Cat With Feline Infectious Peritonitis Virus and Pyogranulomatous Transverse Colon Lesion.\",\"authors\":\"Tae-Young Kim, Ye-In Oh\",\"doi\":\"10.21873/invivo.14074\",\"DOIUrl\":null,\"url\":null,\"abstract\":\"<p><strong>Background/aim: </strong>Feline infectious peritonitis (FIP) is a fatal disease caused by feline coronavirus (FCoV), manifesting as effusive (wet) or non-effusive (dry) forms. Granulomatous lesions in the gastrointestinal tract, particularly the colon, are rare and pose diagnostic and therapeutic challenges.</p><p><strong>Case report: </strong>A 7-year-old castrated male domestic shorthair cat (4.1 kg) presented with anorexia and vomiting. Blood tests showed an albumin:globulin ratio of 0.5, a mild elevation in aspartate aminotransferase, mild leukocytosis, and a severe elevation of feline serum amyloid A. The abdominal ultrasound and computed tomography imaging showed a mass in the transverse colon and surrounding mesenteric lymph nodes. The mass was observed to be relatively well vascularized, with areas of low-density uneven necrosis. Histological examination revealed severe pyogranulomatous inflammation with macrophages, neutrophils, and lymphocytes predominantly present in both the affected colon and lymphoid tissues. Immunohistochemistry for feline infectious peritonitis (FIP) virus antigen of the lesion showed a strong positive result, confirming limited and localized lesion induction by FIP virus infection. The cat received GS-441524 for 12 weeks, resulting in clinical improvement, lesion resolution, and normalized lab results. RT-PCR and antibody tests were negative post-treatment.</p><p><strong>Conclusion: </strong>This case report describes a rare presentation of FIP virus infection, characterized by localized lesions confined to a specific segment of the colon. In this case, treatment with the nucleoside analog GS-441524 was very effective in improving the localized lesion and demonstrated excellent efficacy in clearing the FIP virus.</p>\",\"PeriodicalId\":13364,\"journal\":{\"name\":\"In vivo\",\"volume\":\"39 5\",\"pages\":\"2760-2765\"},\"PeriodicalIF\":1.8000,\"publicationDate\":\"2025-09-01\",\"publicationTypes\":\"Journal Article\",\"fieldsOfStudy\":null,\"isOpenAccess\":false,\"openAccessPdf\":\"https://www.ncbi.nlm.nih.gov/pmc/articles/PMC12396036/pdf/\",\"citationCount\":\"0\",\"resultStr\":null,\"platform\":\"Semanticscholar\",\"paperid\":null,\"PeriodicalName\":\"In vivo\",\"FirstCategoryId\":\"3\",\"ListUrlMain\":\"https://doi.org/10.21873/invivo.14074\",\"RegionNum\":4,\"RegionCategory\":\"医学\",\"ArticlePicture\":[],\"TitleCN\":null,\"AbstractTextCN\":null,\"PMCID\":null,\"EPubDate\":\"\",\"PubModel\":\"\",\"JCR\":\"Q3\",\"JCRName\":\"MEDICINE, RESEARCH & EXPERIMENTAL\",\"Score\":null,\"Total\":0}","platform":"Semanticscholar","paperid":null,"PeriodicalName":"In vivo","FirstCategoryId":"3","ListUrlMain":"https://doi.org/10.21873/invivo.14074","RegionNum":4,"RegionCategory":"医学","ArticlePicture":[],"TitleCN":null,"AbstractTextCN":null,"PMCID":null,"EPubDate":"","PubModel":"","JCR":"Q3","JCRName":"MEDICINE, RESEARCH & EXPERIMENTAL","Score":null,"Total":0}
引用次数: 0

摘要

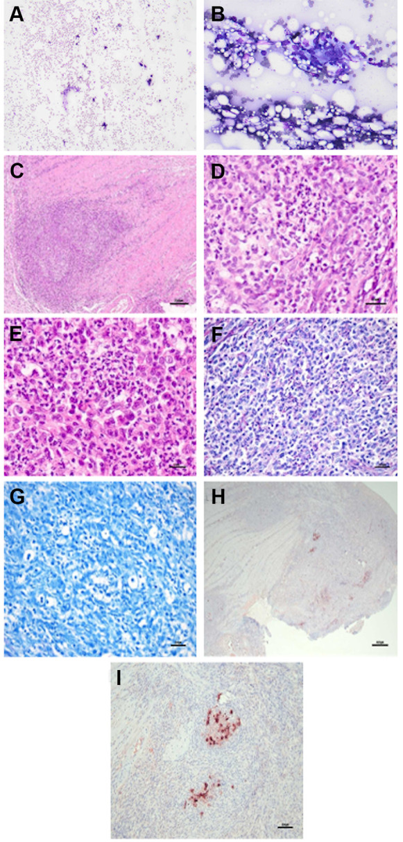
背景/目的:猫传染性腹膜炎(FIP)是由猫冠状病毒(FCoV)引起的一种致死性疾病,表现为渗出性(湿)或非渗出性(干)形式。肉芽肿病变在胃肠道,特别是结肠,是罕见的,并提出诊断和治疗的挑战。病例报告:一只7岁雄性家养短毛猫(4.1 kg)出现厌食和呕吐。血液检查显示白蛋白:球蛋白比值0.5,天冬氨酸转氨酶轻度升高,轻度白细胞增多,猫血清淀粉样蛋白a严重升高。腹部超声和计算机断层成像显示横结肠和肠系膜周围淋巴结肿块。肿块血管化程度相对较好,伴有低密度不均匀坏死。组织学检查显示严重的脓肉芽肿性炎症,巨噬细胞、中性粒细胞和淋巴细胞主要存在于受影响的结肠和淋巴组织中。猫感染性腹膜炎(FIP)病毒抗原免疫组化检测结果为强阳性,证实FIP病毒感染引起的局限性和局限性病变。猫接受GS-441524治疗12周,导致临床改善、病变消退和标准化的实验室结果。治疗后RT-PCR及抗体检测均为阴性。结论:本病例报告描述了一种罕见的FIP病毒感染的表现,其特征是局限于结肠特定部位的局部病变。在这种情况下,核苷类似物GS-441524治疗在改善局部病变方面非常有效,并且在清除FIP病毒方面表现出优异的疗效。
本文章由计算机程序翻译,如有差异,请以英文原文为准。

GS-441524 Treatment in a Cat With Feline Infectious Peritonitis Virus and Pyogranulomatous Transverse Colon Lesion.

GS-441524 Treatment in a Cat With Feline Infectious Peritonitis Virus and Pyogranulomatous Transverse Colon Lesion.

GS-441524 Treatment in a Cat With Feline Infectious Peritonitis Virus and Pyogranulomatous Transverse Colon Lesion.

GS-441524 Treatment in a Cat With Feline Infectious Peritonitis Virus and Pyogranulomatous Transverse Colon Lesion.

Background/aim: Feline infectious peritonitis (FIP) is a fatal disease caused by feline coronavirus (FCoV), manifesting as effusive (wet) or non-effusive (dry) forms. Granulomatous lesions in the gastrointestinal tract, particularly the colon, are rare and pose diagnostic and therapeutic challenges.

Case report: A 7-year-old castrated male domestic shorthair cat (4.1 kg) presented with anorexia and vomiting. Blood tests showed an albumin:globulin ratio of 0.5, a mild elevation in aspartate aminotransferase, mild leukocytosis, and a severe elevation of feline serum amyloid A. The abdominal ultrasound and computed tomography imaging showed a mass in the transverse colon and surrounding mesenteric lymph nodes. The mass was observed to be relatively well vascularized, with areas of low-density uneven necrosis. Histological examination revealed severe pyogranulomatous inflammation with macrophages, neutrophils, and lymphocytes predominantly present in both the affected colon and lymphoid tissues. Immunohistochemistry for feline infectious peritonitis (FIP) virus antigen of the lesion showed a strong positive result, confirming limited and localized lesion induction by FIP virus infection. The cat received GS-441524 for 12 weeks, resulting in clinical improvement, lesion resolution, and normalized lab results. RT-PCR and antibody tests were negative post-treatment.

Conclusion: This case report describes a rare presentation of FIP virus infection, characterized by localized lesions confined to a specific segment of the colon. In this case, treatment with the nucleoside analog GS-441524 was very effective in improving the localized lesion and demonstrated excellent efficacy in clearing the FIP virus.

求助全文
通过发布文献求助,成功后即可免费获取论文全文。 去求助
来源期刊
In vivo
In vivo 医学-医学:研究与实验
CiteScore
4.20
自引率
4.30%
发文量
330
审稿时长
3-8 weeks
期刊介绍: IN VIVO is an international peer-reviewed journal designed to bring together original high quality works and reviews on experimental and clinical biomedical research within the frames of physiology, pathology and disease management. The topics of IN VIVO include: 1. Experimental development and application of new diagnostic and therapeutic procedures; 2. Pharmacological and toxicological evaluation of new drugs, drug combinations and drug delivery systems; 3. Clinical trials; 4. Development and characterization of models of biomedical research; 5. Cancer diagnosis and treatment; 6. Immunotherapy and vaccines; 7. Radiotherapy, Imaging; 8. Tissue engineering, Regenerative medicine; 9. Carcinogenesis.
×
引用
GB/T 7714-2015
复制
MLA
复制
APA
复制
导出至
BibTeX EndNote RefMan NoteFirst NoteExpress
×
提示
您的信息不完整,为了账户安全,请先补充。
现在去补充
×
提示
您因"违规操作"
具体请查看互助需知
我知道了
×
提示
确定
请完成安全验证×
copy
已复制链接
快去分享给好友吧!
我知道了
右上角分享
点击右上角分享
0
联系我们:info@booksci.cn Book学术提供免费学术资源搜索服务,方便国内外学者检索中英文文献。致力于提供最便捷和优质的服务体验。 Copyright © 2023 布克学术 All rights reserved.
京ICP备2023020795号-1
ghs 京公网安备 11010802042870号
Book学术文献互助
Book学术文献互助群
群 号:604180095
Book学术官方微信