Lipofibromatosis Revisited。

IF 1.8 4区 医学 Q3 MEDICINE, RESEARCH & EXPERIMENTAL
In vivo Pub Date : 2025-09-01 DOI:10.21873/invivo.14054
Yuki Shinohara, Jun Nishio, Shizuhide Nakayama, Mikiko Aoki
{"title":"Lipofibromatosis Revisited。","authors":"Yuki Shinohara, Jun Nishio, Shizuhide Nakayama, Mikiko Aoki","doi":"10.21873/invivo.14054","DOIUrl":null,"url":null,"abstract":"<p><p>Lipofibromatosis (LPF) is a locally aggressive but non-metastasizing mesenchymal tumor that primarily occurs in the hands and feet of infants and young children. It typically presents as a slow-growing, painless, poorly demarcated subcutaneous mass. Magnetic resonance imaging reveals the lesion to be a poorly defined mass with a mixture of adipose and fibrous components. Variable enhancement is seen after intravenous contrast administration. Histologically, LPF displays a distinctive admixture of mature adipose tissue and short fascicles of bland spindle cells. By immunohistochemistry, the spindle cells are moderately or diffusely positive for CD34 and CD99, focally positive for smooth muscle actin but typically negative for S-100 protein, desmin, β-catenin and pan-tropomyosin receptor kinase (TRK). Recent molecular studies have shown a variety of fusions involving epidermal growth factor receptor (EGFR) ligands or EGFR itself or other receptor tyrosine kinases, suggesting a shared deregulation of the phosphatidylinositol 3-kinase (PI3K)/AKT/mammalian target of the rapamycin (mTOR) pathway. Complete surgical excision with preservation of adjacent neurovascular structures is the treatment of choice for LPF. This review provides an updated overview of the clinical, radiological, histological, immunohistochemical, cytogenetic and molecular genetic features of LPF and discusses the relationship to LPF-like neural tumor.</p>","PeriodicalId":13364,"journal":{"name":"In vivo","volume":"39 5","pages":"2512-2516"},"PeriodicalIF":1.8000,"publicationDate":"2025-09-01","publicationTypes":"Journal Article","fieldsOfStudy":null,"isOpenAccess":false,"openAccessPdf":"https://www.ncbi.nlm.nih.gov/pmc/articles/PMC12396084/pdf/","citationCount":"0","resultStr":"{\"title\":\"Lipofibromatosis Revisited.\",\"authors\":\"Yuki Shinohara, Jun Nishio, Shizuhide Nakayama, Mikiko Aoki\",\"doi\":\"10.21873/invivo.14054\",\"DOIUrl\":null,\"url\":null,\"abstract\":\"<p><p>Lipofibromatosis (LPF) is a locally aggressive but non-metastasizing mesenchymal tumor that primarily occurs in the hands and feet of infants and young children. It typically presents as a slow-growing, painless, poorly demarcated subcutaneous mass. Magnetic resonance imaging reveals the lesion to be a poorly defined mass with a mixture of adipose and fibrous components. Variable enhancement is seen after intravenous contrast administration. Histologically, LPF displays a distinctive admixture of mature adipose tissue and short fascicles of bland spindle cells. By immunohistochemistry, the spindle cells are moderately or diffusely positive for CD34 and CD99, focally positive for smooth muscle actin but typically negative for S-100 protein, desmin, β-catenin and pan-tropomyosin receptor kinase (TRK). Recent molecular studies have shown a variety of fusions involving epidermal growth factor receptor (EGFR) ligands or EGFR itself or other receptor tyrosine kinases, suggesting a shared deregulation of the phosphatidylinositol 3-kinase (PI3K)/AKT/mammalian target of the rapamycin (mTOR) pathway. Complete surgical excision with preservation of adjacent neurovascular structures is the treatment of choice for LPF. This review provides an updated overview of the clinical, radiological, histological, immunohistochemical, cytogenetic and molecular genetic features of LPF and discusses the relationship to LPF-like neural tumor.</p>\",\"PeriodicalId\":13364,\"journal\":{\"name\":\"In vivo\",\"volume\":\"39 5\",\"pages\":\"2512-2516\"},\"PeriodicalIF\":1.8000,\"publicationDate\":\"2025-09-01\",\"publicationTypes\":\"Journal Article\",\"fieldsOfStudy\":null,\"isOpenAccess\":false,\"openAccessPdf\":\"https://www.ncbi.nlm.nih.gov/pmc/articles/PMC12396084/pdf/\",\"citationCount\":\"0\",\"resultStr\":null,\"platform\":\"Semanticscholar\",\"paperid\":null,\"PeriodicalName\":\"In vivo\",\"FirstCategoryId\":\"3\",\"ListUrlMain\":\"https://doi.org/10.21873/invivo.14054\",\"RegionNum\":4,\"RegionCategory\":\"医学\",\"ArticlePicture\":[],\"TitleCN\":null,\"AbstractTextCN\":null,\"PMCID\":null,\"EPubDate\":\"\",\"PubModel\":\"\",\"JCR\":\"Q3\",\"JCRName\":\"MEDICINE, RESEARCH & EXPERIMENTAL\",\"Score\":null,\"Total\":0}","platform":"Semanticscholar","paperid":null,"PeriodicalName":"In vivo","FirstCategoryId":"3","ListUrlMain":"https://doi.org/10.21873/invivo.14054","RegionNum":4,"RegionCategory":"医学","ArticlePicture":[],"TitleCN":null,"AbstractTextCN":null,"PMCID":null,"EPubDate":"","PubModel":"","JCR":"Q3","JCRName":"MEDICINE, RESEARCH & EXPERIMENTAL","Score":null,"Total":0}
引用次数: 0

摘要

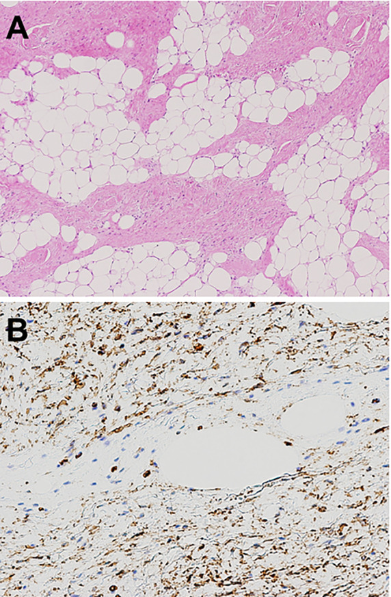
脂肪纤维瘤病(LPF)是一种局部侵袭性但非转移性的间充质肿瘤,主要发生在婴幼儿的手和脚。典型表现为生长缓慢、无痛、界限不清的皮下肿块。磁共振成像显示病灶是一个界限不清的肿块,混杂着脂肪和纤维成分。静脉注射造影剂后可见不同程度的增强。组织学上,LPF表现出成熟脂肪组织和短束的淡色梭形细胞的独特混合物。通过免疫组化,梭形细胞CD34和CD99呈中度或弥漫性阳性,平滑肌肌动蛋白呈局灶性阳性,但S-100蛋白、desmin、β-连环蛋白和泛原肌球蛋白受体激酶(TRK)呈典型阴性。最近的分子研究表明,多种融合涉及表皮生长因子受体(EGFR)配体或EGFR本身或其他受体酪氨酸激酶,表明磷脂酰肌醇3-激酶(PI3K)/AKT/雷帕霉素(mTOR)途径的哺乳动物靶点共同失调。完整的手术切除并保留邻近的神经血管结构是LPF的治疗选择。本文综述了LPF的临床、放射学、组织学、免疫组织化学、细胞遗传学和分子遗传学特征,并讨论了与LPF样神经肿瘤的关系。
本文章由计算机程序翻译,如有差异,请以英文原文为准。

Lipofibromatosis Revisited.

Lipofibromatosis Revisited.

Lipofibromatosis Revisited.

Lipofibromatosis (LPF) is a locally aggressive but non-metastasizing mesenchymal tumor that primarily occurs in the hands and feet of infants and young children. It typically presents as a slow-growing, painless, poorly demarcated subcutaneous mass. Magnetic resonance imaging reveals the lesion to be a poorly defined mass with a mixture of adipose and fibrous components. Variable enhancement is seen after intravenous contrast administration. Histologically, LPF displays a distinctive admixture of mature adipose tissue and short fascicles of bland spindle cells. By immunohistochemistry, the spindle cells are moderately or diffusely positive for CD34 and CD99, focally positive for smooth muscle actin but typically negative for S-100 protein, desmin, β-catenin and pan-tropomyosin receptor kinase (TRK). Recent molecular studies have shown a variety of fusions involving epidermal growth factor receptor (EGFR) ligands or EGFR itself or other receptor tyrosine kinases, suggesting a shared deregulation of the phosphatidylinositol 3-kinase (PI3K)/AKT/mammalian target of the rapamycin (mTOR) pathway. Complete surgical excision with preservation of adjacent neurovascular structures is the treatment of choice for LPF. This review provides an updated overview of the clinical, radiological, histological, immunohistochemical, cytogenetic and molecular genetic features of LPF and discusses the relationship to LPF-like neural tumor.

求助全文
通过发布文献求助,成功后即可免费获取论文全文。 去求助
来源期刊
In vivo
In vivo 医学-医学:研究与实验
CiteScore
4.20
自引率
4.30%
发文量
330
审稿时长
3-8 weeks
期刊介绍: IN VIVO is an international peer-reviewed journal designed to bring together original high quality works and reviews on experimental and clinical biomedical research within the frames of physiology, pathology and disease management. The topics of IN VIVO include: 1. Experimental development and application of new diagnostic and therapeutic procedures; 2. Pharmacological and toxicological evaluation of new drugs, drug combinations and drug delivery systems; 3. Clinical trials; 4. Development and characterization of models of biomedical research; 5. Cancer diagnosis and treatment; 6. Immunotherapy and vaccines; 7. Radiotherapy, Imaging; 8. Tissue engineering, Regenerative medicine; 9. Carcinogenesis.
×
引用
GB/T 7714-2015
复制
MLA
复制
APA
复制
导出至
BibTeX EndNote RefMan NoteFirst NoteExpress
×
提示
您的信息不完整,为了账户安全,请先补充。
现在去补充
×
提示
您因"违规操作"
具体请查看互助需知
我知道了
×
提示
确定
请完成安全验证×
copy
已复制链接
快去分享给好友吧!
我知道了
右上角分享
点击右上角分享
0
联系我们:info@booksci.cn Book学术提供免费学术资源搜索服务,方便国内外学者检索中英文文献。致力于提供最便捷和优质的服务体验。 Copyright © 2023 布克学术 All rights reserved.
京ICP备2023020795号-1
ghs 京公网安备 11010802042870号
Book学术文献互助
Book学术文献互助群
群 号:604180095
Book学术官方微信