甲状腺功能减退相关肾病2例报告

IF 0.8 Q4 UROLOGY & NEPHROLOGY
Indian Journal of Nephrology Pub Date : 2025-07-01 Epub Date: 2024-08-14 DOI:10.25259/IJN_266_2024
Ajay Jaryal, Sanjay Vikrant, Alok Sharma
{"title":"甲状腺功能减退相关肾病2例报告","authors":"Ajay Jaryal, Sanjay Vikrant, Alok Sharma","doi":"10.25259/IJN_266_2024","DOIUrl":null,"url":null,"abstract":"<p><p>Dysthyroid state affects kidneys in multiple ways. Hypothyroidism has been described as a cause of renal dysfunction in case reports, and a few large-scale epidemiological studies have shown association of hypothyroidism with abnormalities of renal function parameters. Restoration and improvement in renal functions have also been reported with treatment of hypothyroidism. We highlight two cases where hypothyroidism contributed to renal dysfunction and the treatment of hypothyroidism led to improvement in renal function.</p>","PeriodicalId":13359,"journal":{"name":"Indian Journal of Nephrology","volume":"35 4","pages":"574-575"},"PeriodicalIF":0.8000,"publicationDate":"2025-07-01","publicationTypes":"Journal Article","fieldsOfStudy":null,"isOpenAccess":false,"openAccessPdf":"https://www.ncbi.nlm.nih.gov/pmc/articles/PMC12392224/pdf/","citationCount":"0","resultStr":"{\"title\":\"Hypothyroidism Related Kidney Disease - A Report of Two Cases.\",\"authors\":\"Ajay Jaryal, Sanjay Vikrant, Alok Sharma\",\"doi\":\"10.25259/IJN_266_2024\",\"DOIUrl\":null,\"url\":null,\"abstract\":\"<p><p>Dysthyroid state affects kidneys in multiple ways. Hypothyroidism has been described as a cause of renal dysfunction in case reports, and a few large-scale epidemiological studies have shown association of hypothyroidism with abnormalities of renal function parameters. Restoration and improvement in renal functions have also been reported with treatment of hypothyroidism. We highlight two cases where hypothyroidism contributed to renal dysfunction and the treatment of hypothyroidism led to improvement in renal function.</p>\",\"PeriodicalId\":13359,\"journal\":{\"name\":\"Indian Journal of Nephrology\",\"volume\":\"35 4\",\"pages\":\"574-575\"},\"PeriodicalIF\":0.8000,\"publicationDate\":\"2025-07-01\",\"publicationTypes\":\"Journal Article\",\"fieldsOfStudy\":null,\"isOpenAccess\":false,\"openAccessPdf\":\"https://www.ncbi.nlm.nih.gov/pmc/articles/PMC12392224/pdf/\",\"citationCount\":\"0\",\"resultStr\":null,\"platform\":\"Semanticscholar\",\"paperid\":null,\"PeriodicalName\":\"Indian Journal of Nephrology\",\"FirstCategoryId\":\"1085\",\"ListUrlMain\":\"https://doi.org/10.25259/IJN_266_2024\",\"RegionNum\":0,\"RegionCategory\":null,\"ArticlePicture\":[],\"TitleCN\":null,\"AbstractTextCN\":null,\"PMCID\":null,\"EPubDate\":\"2024/8/14 0:00:00\",\"PubModel\":\"Epub\",\"JCR\":\"Q4\",\"JCRName\":\"UROLOGY & NEPHROLOGY\",\"Score\":null,\"Total\":0}","platform":"Semanticscholar","paperid":null,"PeriodicalName":"Indian Journal of Nephrology","FirstCategoryId":"1085","ListUrlMain":"https://doi.org/10.25259/IJN_266_2024","RegionNum":0,"RegionCategory":null,"ArticlePicture":[],"TitleCN":null,"AbstractTextCN":null,"PMCID":null,"EPubDate":"2024/8/14 0:00:00","PubModel":"Epub","JCR":"Q4","JCRName":"UROLOGY & NEPHROLOGY","Score":null,"Total":0}
引用次数: 0

摘要

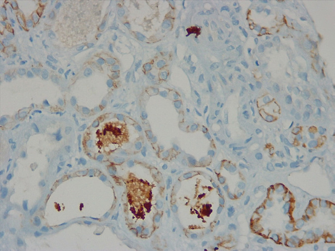
甲状腺功能障碍以多种方式影响肾脏。在病例报告中,甲状腺功能减退被描述为肾功能障碍的一个原因,一些大规模的流行病学研究显示甲状腺功能减退与肾功能参数异常有关。治疗甲状腺功能减退也有肾功能恢复和改善的报道。我们强调两个病例,其中甲状腺功能减退导致肾功能不全和治疗甲状腺功能减退导致肾功能改善。
本文章由计算机程序翻译,如有差异,请以英文原文为准。

Hypothyroidism Related Kidney Disease - A Report of Two Cases.

Hypothyroidism Related Kidney Disease - A Report of Two Cases.

Dysthyroid state affects kidneys in multiple ways. Hypothyroidism has been described as a cause of renal dysfunction in case reports, and a few large-scale epidemiological studies have shown association of hypothyroidism with abnormalities of renal function parameters. Restoration and improvement in renal functions have also been reported with treatment of hypothyroidism. We highlight two cases where hypothyroidism contributed to renal dysfunction and the treatment of hypothyroidism led to improvement in renal function.

求助全文
通过发布文献求助,成功后即可免费获取论文全文。 去求助
来源期刊
Indian Journal of Nephrology
Indian Journal of Nephrology UROLOGY & NEPHROLOGY-
CiteScore
1.40
自引率
0.00%
发文量
128
审稿时长
24 weeks
×
引用
GB/T 7714-2015
复制
MLA
复制
APA
复制
导出至
BibTeX EndNote RefMan NoteFirst NoteExpress
×
提示
您的信息不完整,为了账户安全,请先补充。
现在去补充
×
提示
您因"违规操作"
具体请查看互助需知
我知道了
×
提示
确定
请完成安全验证×
copy
已复制链接
快去分享给好友吧!
我知道了
右上角分享
点击右上角分享
0
联系我们:info@booksci.cn Book学术提供免费学术资源搜索服务,方便国内外学者检索中英文文献。致力于提供最便捷和优质的服务体验。 Copyright © 2023 布克学术 All rights reserved.
京ICP备2023020795号-1
ghs 京公网安备 11010802042870号
Book学术文献互助
Book学术文献互助群
群 号:604180095
Book学术官方微信