再次检查浅表性血管粘液瘤。

IF 1.8 4区 医学 Q3 MEDICINE, RESEARCH & EXPERIMENTAL
In vivo Pub Date : 2025-09-01 DOI:10.21873/invivo.14053
Yuki Shinohara, Yoshiro Chijiiwa, Jun Nishio
{"title":"再次检查浅表性血管粘液瘤。","authors":"Yuki Shinohara, Yoshiro Chijiiwa, Jun Nishio","doi":"10.21873/invivo.14053","DOIUrl":null,"url":null,"abstract":"<p><p>Superficial angiomyxoma (SAM) is a rare benign mesenchymal tumor of uncertain differentiation that primarily occurs in the trunk, lower extremities and head and neck of middle-aged adults. It typically presents as a slow-growing, painless polypoid or papulonodular lesion. Ultrasonography shows an ovoid, well-defined mass with a homogeneous, hypoechoic echotexture. Color Doppler examination may demonstrate prominent hypervascularity. Computed tomography reveals a round to oval hypodense mass. On magnetic resonance imaging, SAM usually exhibits low to intermediate signal intensity on T1-weighted sequences and high signal intensity on T2-weighted sequences. Heterogenous enhancement is seen after intravenous contrast administration. Histologically, the lesion is composed of bland spindle-shaped and stellate-shaped cells in an abundant myxoid stroma with numerous small blood vessels. By immunohistochemistry, the tumor cells are positive for CD34 and show variable staining for smooth muscle actin and S-100 protein. Loss of protein kinase cAMP-dependent type I regulatory subunit alpha (PRKAR1A) expression is observed in a significant subset of cases. Complete surgical excision is the treatment of choice for SAM. This review provides an updated overview of the clinicopathological, radiological and genomic features of SAM and discusses the differential diagnosis of this peculiar tumor.</p>","PeriodicalId":13364,"journal":{"name":"In vivo","volume":"39 5","pages":"2505-2511"},"PeriodicalIF":1.8000,"publicationDate":"2025-09-01","publicationTypes":"Journal Article","fieldsOfStudy":null,"isOpenAccess":false,"openAccessPdf":"https://www.ncbi.nlm.nih.gov/pmc/articles/PMC12396051/pdf/","citationCount":"0","resultStr":"{\"title\":\"Superficial Angiomyxoma Revisited.\",\"authors\":\"Yuki Shinohara, Yoshiro Chijiiwa, Jun Nishio\",\"doi\":\"10.21873/invivo.14053\",\"DOIUrl\":null,\"url\":null,\"abstract\":\"<p><p>Superficial angiomyxoma (SAM) is a rare benign mesenchymal tumor of uncertain differentiation that primarily occurs in the trunk, lower extremities and head and neck of middle-aged adults. It typically presents as a slow-growing, painless polypoid or papulonodular lesion. Ultrasonography shows an ovoid, well-defined mass with a homogeneous, hypoechoic echotexture. Color Doppler examination may demonstrate prominent hypervascularity. Computed tomography reveals a round to oval hypodense mass. On magnetic resonance imaging, SAM usually exhibits low to intermediate signal intensity on T1-weighted sequences and high signal intensity on T2-weighted sequences. Heterogenous enhancement is seen after intravenous contrast administration. Histologically, the lesion is composed of bland spindle-shaped and stellate-shaped cells in an abundant myxoid stroma with numerous small blood vessels. By immunohistochemistry, the tumor cells are positive for CD34 and show variable staining for smooth muscle actin and S-100 protein. Loss of protein kinase cAMP-dependent type I regulatory subunit alpha (PRKAR1A) expression is observed in a significant subset of cases. Complete surgical excision is the treatment of choice for SAM. This review provides an updated overview of the clinicopathological, radiological and genomic features of SAM and discusses the differential diagnosis of this peculiar tumor.</p>\",\"PeriodicalId\":13364,\"journal\":{\"name\":\"In vivo\",\"volume\":\"39 5\",\"pages\":\"2505-2511\"},\"PeriodicalIF\":1.8000,\"publicationDate\":\"2025-09-01\",\"publicationTypes\":\"Journal Article\",\"fieldsOfStudy\":null,\"isOpenAccess\":false,\"openAccessPdf\":\"https://www.ncbi.nlm.nih.gov/pmc/articles/PMC12396051/pdf/\",\"citationCount\":\"0\",\"resultStr\":null,\"platform\":\"Semanticscholar\",\"paperid\":null,\"PeriodicalName\":\"In vivo\",\"FirstCategoryId\":\"3\",\"ListUrlMain\":\"https://doi.org/10.21873/invivo.14053\",\"RegionNum\":4,\"RegionCategory\":\"医学\",\"ArticlePicture\":[],\"TitleCN\":null,\"AbstractTextCN\":null,\"PMCID\":null,\"EPubDate\":\"\",\"PubModel\":\"\",\"JCR\":\"Q3\",\"JCRName\":\"MEDICINE, RESEARCH & EXPERIMENTAL\",\"Score\":null,\"Total\":0}","platform":"Semanticscholar","paperid":null,"PeriodicalName":"In vivo","FirstCategoryId":"3","ListUrlMain":"https://doi.org/10.21873/invivo.14053","RegionNum":4,"RegionCategory":"医学","ArticlePicture":[],"TitleCN":null,"AbstractTextCN":null,"PMCID":null,"EPubDate":"","PubModel":"","JCR":"Q3","JCRName":"MEDICINE, RESEARCH & EXPERIMENTAL","Score":null,"Total":0}
引用次数: 0

摘要

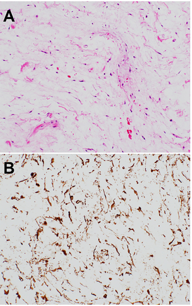
浅表血管粘液瘤(SAM)是一种罕见的良性间质肿瘤,分化不明确,主要发生在中年人的躯干、下肢和头颈部。它通常表现为生长缓慢、无痛的息肉样或丘疹样病变。超声检查显示卵形肿块,边界清晰,回声均匀,低回声。彩色多普勒检查可显示明显的血管充血。计算机断层扫描显示圆形至椭圆形低密度肿块。在磁共振成像上,SAM通常在t1加权序列上表现为低至中等信号强度,在t2加权序列上表现为高信号强度。静脉注射造影剂后可见非均匀强化。组织学上,病变由温和的纺锤形和星状细胞组成,呈丰富的黏液样基质,伴大量小血管。免疫组化结果显示,肿瘤细胞CD34阳性,平滑肌肌动蛋白和S-100蛋白染色变化。在相当一部分病例中观察到蛋白激酶camp依赖性I型调节亚单位α (PRKAR1A)表达缺失。完全手术切除是SAM的治疗选择。本文综述了SAM的临床病理、放射学和基因组学特征,并讨论了这种特殊肿瘤的鉴别诊断。
本文章由计算机程序翻译,如有差异,请以英文原文为准。

Superficial Angiomyxoma Revisited.

Superficial Angiomyxoma Revisited.

Superficial Angiomyxoma Revisited.

Superficial angiomyxoma (SAM) is a rare benign mesenchymal tumor of uncertain differentiation that primarily occurs in the trunk, lower extremities and head and neck of middle-aged adults. It typically presents as a slow-growing, painless polypoid or papulonodular lesion. Ultrasonography shows an ovoid, well-defined mass with a homogeneous, hypoechoic echotexture. Color Doppler examination may demonstrate prominent hypervascularity. Computed tomography reveals a round to oval hypodense mass. On magnetic resonance imaging, SAM usually exhibits low to intermediate signal intensity on T1-weighted sequences and high signal intensity on T2-weighted sequences. Heterogenous enhancement is seen after intravenous contrast administration. Histologically, the lesion is composed of bland spindle-shaped and stellate-shaped cells in an abundant myxoid stroma with numerous small blood vessels. By immunohistochemistry, the tumor cells are positive for CD34 and show variable staining for smooth muscle actin and S-100 protein. Loss of protein kinase cAMP-dependent type I regulatory subunit alpha (PRKAR1A) expression is observed in a significant subset of cases. Complete surgical excision is the treatment of choice for SAM. This review provides an updated overview of the clinicopathological, radiological and genomic features of SAM and discusses the differential diagnosis of this peculiar tumor.

求助全文
通过发布文献求助,成功后即可免费获取论文全文。 去求助
来源期刊
In vivo
In vivo 医学-医学:研究与实验
CiteScore
4.20
自引率
4.30%
发文量
330
审稿时长
3-8 weeks
期刊介绍: IN VIVO is an international peer-reviewed journal designed to bring together original high quality works and reviews on experimental and clinical biomedical research within the frames of physiology, pathology and disease management. The topics of IN VIVO include: 1. Experimental development and application of new diagnostic and therapeutic procedures; 2. Pharmacological and toxicological evaluation of new drugs, drug combinations and drug delivery systems; 3. Clinical trials; 4. Development and characterization of models of biomedical research; 5. Cancer diagnosis and treatment; 6. Immunotherapy and vaccines; 7. Radiotherapy, Imaging; 8. Tissue engineering, Regenerative medicine; 9. Carcinogenesis.
×
引用
GB/T 7714-2015
复制
MLA
复制
APA
复制
导出至
BibTeX EndNote RefMan NoteFirst NoteExpress
×
提示
您的信息不完整,为了账户安全,请先补充。
现在去补充
×
提示
您因"违规操作"
具体请查看互助需知
我知道了
×
提示
确定
请完成安全验证×
copy
已复制链接
快去分享给好友吧!
我知道了
右上角分享
点击右上角分享
0
联系我们:info@booksci.cn Book学术提供免费学术资源搜索服务,方便国内外学者检索中英文文献。致力于提供最便捷和优质的服务体验。 Copyright © 2023 布克学术 All rights reserved.
京ICP备2023020795号-1
ghs 京公网安备 11010802042870号
Book学术文献互助
Book学术文献互助群
群 号:604180095
Book学术官方微信