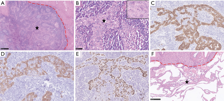
原发性Epstein-Barr病毒阳性炎性滤泡树突状细胞肉瘤并发肝内淋巴上皮瘤样胆管癌和海绵状血管瘤

IF 7.8 2区 医学 Q1 GASTROENTEROLOGY & HEPATOLOGY
Hepatobiliary surgery and nutrition Pub Date : 2025-08-01 Epub Date: 2025-07-25 DOI:10.21037/hbsn-2025-139
Congwei Jia, Jinyi Meng, Can Yin, Xuemei Sun, Yan You, Lei Zhang, Xiaoyan Chang
{"title":"原发性Epstein-Barr病毒阳性炎性滤泡树突状细胞肉瘤并发肝内淋巴上皮瘤样胆管癌和海绵状血管瘤","authors":"Congwei Jia, Jinyi Meng, Can Yin, Xuemei Sun, Yan You, Lei Zhang, Xiaoyan Chang","doi":"10.21037/hbsn-2025-139","DOIUrl":null,"url":null,"abstract":"","PeriodicalId":12878,"journal":{"name":"Hepatobiliary surgery and nutrition","volume":"14 4","pages":"716-719"},"PeriodicalIF":7.8000,"publicationDate":"2025-08-01","publicationTypes":"Journal Article","fieldsOfStudy":null,"isOpenAccess":false,"openAccessPdf":"https://www.ncbi.nlm.nih.gov/pmc/articles/PMC12393112/pdf/","citationCount":"0","resultStr":"{\"title\":\"Primary Epstein-Barr virus-positive inflammatory follicular dendritic cell sarcoma concurrent with lymphoepithelioma-like intrahepatic cholangiocarcinoma and cavernous hemangioma in liver.\",\"authors\":\"Congwei Jia, Jinyi Meng, Can Yin, Xuemei Sun, Yan You, Lei Zhang, Xiaoyan Chang\",\"doi\":\"10.21037/hbsn-2025-139\",\"DOIUrl\":null,\"url\":null,\"abstract\":\"\",\"PeriodicalId\":12878,\"journal\":{\"name\":\"Hepatobiliary surgery and nutrition\",\"volume\":\"14 4\",\"pages\":\"716-719\"},\"PeriodicalIF\":7.8000,\"publicationDate\":\"2025-08-01\",\"publicationTypes\":\"Journal Article\",\"fieldsOfStudy\":null,\"isOpenAccess\":false,\"openAccessPdf\":\"https://www.ncbi.nlm.nih.gov/pmc/articles/PMC12393112/pdf/\",\"citationCount\":\"0\",\"resultStr\":null,\"platform\":\"Semanticscholar\",\"paperid\":null,\"PeriodicalName\":\"Hepatobiliary surgery and nutrition\",\"FirstCategoryId\":\"3\",\"ListUrlMain\":\"https://doi.org/10.21037/hbsn-2025-139\",\"RegionNum\":2,\"RegionCategory\":\"医学\",\"ArticlePicture\":[],\"TitleCN\":null,\"AbstractTextCN\":null,\"PMCID\":null,\"EPubDate\":\"2025/7/25 0:00:00\",\"PubModel\":\"Epub\",\"JCR\":\"Q1\",\"JCRName\":\"GASTROENTEROLOGY & HEPATOLOGY\",\"Score\":null,\"Total\":0}","platform":"Semanticscholar","paperid":null,"PeriodicalName":"Hepatobiliary surgery and nutrition","FirstCategoryId":"3","ListUrlMain":"https://doi.org/10.21037/hbsn-2025-139","RegionNum":2,"RegionCategory":"医学","ArticlePicture":[],"TitleCN":null,"AbstractTextCN":null,"PMCID":null,"EPubDate":"2025/7/25 0:00:00","PubModel":"Epub","JCR":"Q1","JCRName":"GASTROENTEROLOGY & HEPATOLOGY","Score":null,"Total":0}
引用次数: 0

摘要

本文章由计算机程序翻译,如有差异,请以英文原文为准。

Primary Epstein-Barr virus-positive inflammatory follicular dendritic cell sarcoma concurrent with lymphoepithelioma-like intrahepatic cholangiocarcinoma and cavernous hemangioma in liver.

Primary Epstein-Barr virus-positive inflammatory follicular dendritic cell sarcoma concurrent with lymphoepithelioma-like intrahepatic cholangiocarcinoma and cavernous hemangioma in liver.

Primary Epstein-Barr virus-positive inflammatory follicular dendritic cell sarcoma concurrent with lymphoepithelioma-like intrahepatic cholangiocarcinoma and cavernous hemangioma in liver.
求助全文
通过发布文献求助,成功后即可免费获取论文全文。 去求助
来源期刊
自引率
10.00%
发文量
392
期刊介绍: Hepatobiliary Surgery and Nutrition (HBSN) is a bi-monthly, open-access, peer-reviewed journal (Print ISSN: 2304-3881; Online ISSN: 2304-389X) since December 2012. The journal focuses on hepatopancreatobiliary disease and nutrition, aiming to present new findings and deliver up-to-date, practical information on diagnosis, prevention, and clinical investigations. Areas of interest cover surgical techniques, clinical and basic research, transplantation, therapies, NASH, NAFLD, targeted drugs, gut microbiota, metabolism, cancer immunity, genomics, and nutrition and dietetics. HBSN serves as a valuable resource for professionals seeking insights into diverse aspects of hepatobiliary surgery and nutrition.
×
引用
GB/T 7714-2015
复制
MLA
复制
APA
复制
导出至
BibTeX EndNote RefMan NoteFirst NoteExpress
×
提示
您的信息不完整,为了账户安全,请先补充。
现在去补充
×
提示
您因"违规操作"
具体请查看互助需知
我知道了
×
提示
确定
请完成安全验证×
copy
已复制链接
快去分享给好友吧!
我知道了
右上角分享
点击右上角分享
0
联系我们:info@booksci.cn Book学术提供免费学术资源搜索服务,方便国内外学者检索中英文文献。致力于提供最便捷和优质的服务体验。 Copyright © 2023 布克学术 All rights reserved.
京ICP备2023020795号-1
ghs 京公网安备 11010802042870号
Book学术文献互助
Book学术文献互助群
群 号:604180095
Book学术官方微信