ORIF与关节融合术治疗轻微Lisfranc损伤的临床结果:一项至少2年的比较研究

Foot & Ankle Orthopaedics Pub Date : 2025-08-21 eCollection Date: 2025-07-01 DOI:10.1177/24730114251355490
Jayson Stern, Allison Boden, David Cho, Saanchi Kukadia, Prashanth Kumar, Mark Drakos
{"title":"ORIF与关节融合术治疗轻微Lisfranc损伤的临床结果:一项至少2年的比较研究","authors":"Jayson Stern, Allison Boden, David Cho, Saanchi Kukadia, Prashanth Kumar, Mark Drakos","doi":"10.1177/24730114251355490","DOIUrl":null,"url":null,"abstract":"<p><strong>Background: </strong>Subtle Lisfranc injuries, defined by 2-5 mm of first webspace diastasis, pose unique treatment challenges distinct from more severe injuries. This study aimed to evaluate whether a primary open reduction internal fixation (ORIF) or a primary arthrodesis (PA) optimizes clinical outcomes and minimizes complications in treating subtle Lisfranc injuries.</p><p><strong>Methods: </strong>This study included patients who had a nondislocation Lisfranc injury with a proximal first webspace (between the medial cuneiform and second metatarsal base) diastasis of 2-5 mm, and underwent either a primary ORIF or primary arthrodesis. Preoperative weightbearing radiographs were reviewed to confirm subtle Lisfranc injuries. Of the 73 patients who met the inclusion criteria, 41 received a PA and 32 received an ORIF. Treatment selection was based on surgeon preference. Patient-reported outcomes via PROMIS scores were collected preoperatively and at least 2 years postoperatively. Subsequent procedures were also recorded.</p><p><strong>Results: </strong>We received PROMIS surveys from 57 patients (78%). The average preoperative diastasis of the ORIF group significantly differed from that of the PA group (<i>P</i> < .05). Both ORIF and PA cohorts demonstrated significant improvement in all physical PROMIS criteria on minimum 2-year follow-up (<i>P</i> < .05). Our results did not demonstrate a significant difference in patient-reported outcomes between the ORIF and PA groups. There was no significant difference in the incidence of complications between groups, but the ORIF group underwent significantly more hardware removal procedures than the PA group (<i>P</i> < .01).</p><p><strong>Conclusion: </strong>This study compared outcomes of subtle Lisfranc injuries treated with ORIF and PA. Our results demonstrated no significant differences between ORIF and PA outcomes. This study suggests that both ORIF and PA may be viable options for subtle Lisfranc injuries; however, further research is needed to determine which may be optimal for different patient populations.</p><p><strong>Level of evidence: </strong>Level III, retrospective comparative study.</p>","PeriodicalId":12429,"journal":{"name":"Foot & Ankle Orthopaedics","volume":"10 3","pages":"24730114251355490"},"PeriodicalIF":0.0000,"publicationDate":"2025-08-21","publicationTypes":"Journal Article","fieldsOfStudy":null,"isOpenAccess":false,"openAccessPdf":"https://www.ncbi.nlm.nih.gov/pmc/articles/PMC12374025/pdf/","citationCount":"0","resultStr":"{\"title\":\"Clinical Outcomes after ORIF vs Arthrodesis for Subtle Lisfranc Injuries: A Minimum 2-Year Comparative Study.\",\"authors\":\"Jayson Stern, Allison Boden, David Cho, Saanchi Kukadia, Prashanth Kumar, Mark Drakos\",\"doi\":\"10.1177/24730114251355490\",\"DOIUrl\":null,\"url\":null,\"abstract\":\"<p><strong>Background: </strong>Subtle Lisfranc injuries, defined by 2-5 mm of first webspace diastasis, pose unique treatment challenges distinct from more severe injuries. This study aimed to evaluate whether a primary open reduction internal fixation (ORIF) or a primary arthrodesis (PA) optimizes clinical outcomes and minimizes complications in treating subtle Lisfranc injuries.</p><p><strong>Methods: </strong>This study included patients who had a nondislocation Lisfranc injury with a proximal first webspace (between the medial cuneiform and second metatarsal base) diastasis of 2-5 mm, and underwent either a primary ORIF or primary arthrodesis. Preoperative weightbearing radiographs were reviewed to confirm subtle Lisfranc injuries. Of the 73 patients who met the inclusion criteria, 41 received a PA and 32 received an ORIF. Treatment selection was based on surgeon preference. Patient-reported outcomes via PROMIS scores were collected preoperatively and at least 2 years postoperatively. Subsequent procedures were also recorded.</p><p><strong>Results: </strong>We received PROMIS surveys from 57 patients (78%). The average preoperative diastasis of the ORIF group significantly differed from that of the PA group (<i>P</i> < .05). Both ORIF and PA cohorts demonstrated significant improvement in all physical PROMIS criteria on minimum 2-year follow-up (<i>P</i> < .05). Our results did not demonstrate a significant difference in patient-reported outcomes between the ORIF and PA groups. There was no significant difference in the incidence of complications between groups, but the ORIF group underwent significantly more hardware removal procedures than the PA group (<i>P</i> < .01).</p><p><strong>Conclusion: </strong>This study compared outcomes of subtle Lisfranc injuries treated with ORIF and PA. Our results demonstrated no significant differences between ORIF and PA outcomes. This study suggests that both ORIF and PA may be viable options for subtle Lisfranc injuries; however, further research is needed to determine which may be optimal for different patient populations.</p><p><strong>Level of evidence: </strong>Level III, retrospective comparative study.</p>\",\"PeriodicalId\":12429,\"journal\":{\"name\":\"Foot & Ankle Orthopaedics\",\"volume\":\"10 3\",\"pages\":\"24730114251355490\"},\"PeriodicalIF\":0.0000,\"publicationDate\":\"2025-08-21\",\"publicationTypes\":\"Journal Article\",\"fieldsOfStudy\":null,\"isOpenAccess\":false,\"openAccessPdf\":\"https://www.ncbi.nlm.nih.gov/pmc/articles/PMC12374025/pdf/\",\"citationCount\":\"0\",\"resultStr\":null,\"platform\":\"Semanticscholar\",\"paperid\":null,\"PeriodicalName\":\"Foot & Ankle Orthopaedics\",\"FirstCategoryId\":\"1085\",\"ListUrlMain\":\"https://doi.org/10.1177/24730114251355490\",\"RegionNum\":0,\"RegionCategory\":null,\"ArticlePicture\":[],\"TitleCN\":null,\"AbstractTextCN\":null,\"PMCID\":null,\"EPubDate\":\"2025/7/1 0:00:00\",\"PubModel\":\"eCollection\",\"JCR\":\"\",\"JCRName\":\"\",\"Score\":null,\"Total\":0}","platform":"Semanticscholar","paperid":null,"PeriodicalName":"Foot & Ankle Orthopaedics","FirstCategoryId":"1085","ListUrlMain":"https://doi.org/10.1177/24730114251355490","RegionNum":0,"RegionCategory":null,"ArticlePicture":[],"TitleCN":null,"AbstractTextCN":null,"PMCID":null,"EPubDate":"2025/7/1 0:00:00","PubModel":"eCollection","JCR":"","JCRName":"","Score":null,"Total":0}
引用次数: 0

摘要

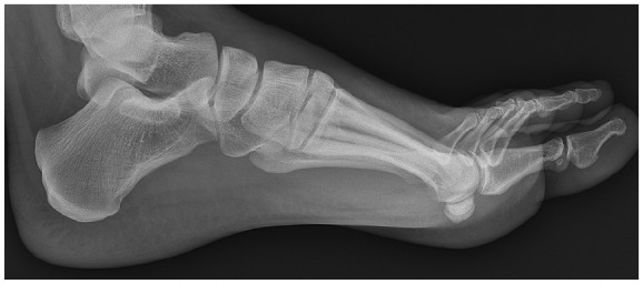
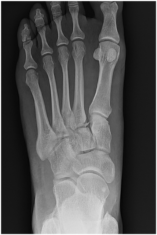
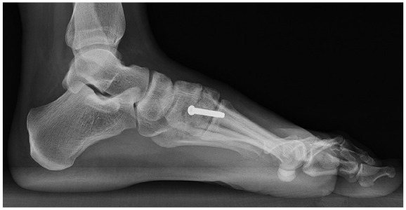
背景:轻微的Lisfranc损伤,定义为2-5毫米的第一网络空间转移,与更严重的损伤相比,具有独特的治疗挑战。本研究旨在评估原发性切开复位内固定(ORIF)或原发性关节融合术(PA)是否能优化临床结果并最大限度地减少治疗轻微Lisfranc损伤的并发症。方法:本研究纳入非脱位性Lisfranc损伤伴近端第一蹼间隙(内侧楔形骨和第二跖骨基部之间)移位2-5 mm的患者,并接受了原发性ORIF或原发性关节融合术。术前复查负重x线片以确认轻微的Lisfranc损伤。在符合纳入标准的73例患者中,41例接受了PA, 32例接受了ORIF。治疗选择基于外科医生的偏好。通过PROMIS评分收集患者术前和术后至少2年报告的结果。随后的程序也被记录下来。结果:我们收到了57例(78%)患者的PROMIS调查。结论:本研究比较了ORIF和PA治疗轻微Lisfranc损伤的预后。我们的结果显示ORIF和PA的结果没有显著差异。本研究表明ORIF和PA可能是轻微Lisfranc损伤的可行选择;然而,需要进一步的研究来确定哪种方法对不同的患者群体可能是最佳的。证据等级:III级,回顾性比较研究。
本文章由计算机程序翻译,如有差异,请以英文原文为准。

Clinical Outcomes after ORIF vs Arthrodesis for Subtle Lisfranc Injuries: A Minimum 2-Year Comparative Study.

Clinical Outcomes after ORIF vs Arthrodesis for Subtle Lisfranc Injuries: A Minimum 2-Year Comparative Study.

Clinical Outcomes after ORIF vs Arthrodesis for Subtle Lisfranc Injuries: A Minimum 2-Year Comparative Study.

Clinical Outcomes after ORIF vs Arthrodesis for Subtle Lisfranc Injuries: A Minimum 2-Year Comparative Study.

Background: Subtle Lisfranc injuries, defined by 2-5 mm of first webspace diastasis, pose unique treatment challenges distinct from more severe injuries. This study aimed to evaluate whether a primary open reduction internal fixation (ORIF) or a primary arthrodesis (PA) optimizes clinical outcomes and minimizes complications in treating subtle Lisfranc injuries.

Methods: This study included patients who had a nondislocation Lisfranc injury with a proximal first webspace (between the medial cuneiform and second metatarsal base) diastasis of 2-5 mm, and underwent either a primary ORIF or primary arthrodesis. Preoperative weightbearing radiographs were reviewed to confirm subtle Lisfranc injuries. Of the 73 patients who met the inclusion criteria, 41 received a PA and 32 received an ORIF. Treatment selection was based on surgeon preference. Patient-reported outcomes via PROMIS scores were collected preoperatively and at least 2 years postoperatively. Subsequent procedures were also recorded.

Results: We received PROMIS surveys from 57 patients (78%). The average preoperative diastasis of the ORIF group significantly differed from that of the PA group (P < .05). Both ORIF and PA cohorts demonstrated significant improvement in all physical PROMIS criteria on minimum 2-year follow-up (P < .05). Our results did not demonstrate a significant difference in patient-reported outcomes between the ORIF and PA groups. There was no significant difference in the incidence of complications between groups, but the ORIF group underwent significantly more hardware removal procedures than the PA group (P < .01).

Conclusion: This study compared outcomes of subtle Lisfranc injuries treated with ORIF and PA. Our results demonstrated no significant differences between ORIF and PA outcomes. This study suggests that both ORIF and PA may be viable options for subtle Lisfranc injuries; however, further research is needed to determine which may be optimal for different patient populations.

Level of evidence: Level III, retrospective comparative study.

求助全文
通过发布文献求助,成功后即可免费获取论文全文。 去求助
来源期刊
Foot & Ankle Orthopaedics
Foot & Ankle Orthopaedics Medicine-Orthopedics and Sports Medicine
CiteScore
1.20
自引率
0.00%
发文量
1152
×
引用
GB/T 7714-2015
复制
MLA
复制
APA
复制
导出至
BibTeX EndNote RefMan NoteFirst NoteExpress
×
提示
您的信息不完整,为了账户安全,请先补充。
现在去补充
×
提示
您因"违规操作"
具体请查看互助需知
我知道了
×
提示
确定
请完成安全验证×
copy
已复制链接
快去分享给好友吧!
我知道了
右上角分享
点击右上角分享
0
联系我们:info@booksci.cn Book学术提供免费学术资源搜索服务,方便国内外学者检索中英文文献。致力于提供最便捷和优质的服务体验。 Copyright © 2023 布克学术 All rights reserved.
京ICP备2023020795号-1
ghs 京公网安备 11010802042870号
Book学术文献互助
Book学术文献互助群
群 号:604180095
Book学术官方微信