结合多模态神经成像生物标志物和认知测试分数来识别认知障碍患者。

IF 4.5 2区 医学 Q2 GERIATRICS & GERONTOLOGY
Frontiers in Aging Neuroscience Pub Date : 2025-08-13 eCollection Date: 2025-01-01 DOI:10.3389/fnagi.2025.1650629
Yuriko Nakaoku, Soshiro Ogata, Kiyotaka Nemoto, Chikage Kakuta, Eri Kiyoshige, Kanako Teramoto, Kiyomasa Nakatsuka, Gantsetseg Ganbaatar, Masafumi Ihara, Kunihiro Nishimura
{"title":"结合多模态神经成像生物标志物和认知测试分数来识别认知障碍患者。","authors":"Yuriko Nakaoku, Soshiro Ogata, Kiyotaka Nemoto, Chikage Kakuta, Eri Kiyoshige, Kanako Teramoto, Kiyomasa Nakatsuka, Gantsetseg Ganbaatar, Masafumi Ihara, Kunihiro Nishimura","doi":"10.3389/fnagi.2025.1650629","DOIUrl":null,"url":null,"abstract":"<p><strong>Background: </strong>Early detection of mild cognitive impairment (MCI), defined as the prodromal stage of dementia, is key to delaying the progression to dementia through lifestyle interventions and/or pharmacological treatments. This study aimed to develop and test new identification models for MCI in community settings based on multiple sources of clinical features, including neuroimaging biomarkers.</p><p><strong>Methods: </strong>This cross-sectional study analyzed cognitive testing and MRI examination data from 148 community-dwelling older adults in Nobeoka City. MCI was assessed using the Memory Performance Index from the MCI Screen. The variables used for model development were multisource features, including MRI-derived biomarkers and cognitive test scores. Finally, MCI identification models were developed using a penalized logistic regression model with an elastic net algorithm.</p><p><strong>Results: </strong>Among the 148 participants (mean age, 78.6 ± 5.2 years), 44.6% were identified as having MCI. The area under the curve for the elastic net model using baseline variables (i.e., age, sex, and education) and the multisource model were 0.74 (95% confidence interval, 0.59 to 0.89) and 0.81 (0.67 to 0.94) in the test datasets, respectively. The addition of neuroimaging biomarkers and cognitive test scores significantly improved the performance of the model identifying MCI (<i>p</i> = 0.012 by DeLong's test). The structural, perfusion, and diffusion MRI-derived biomarkers remained in the identification model with variable selection with the elastic net algorithm, and were thus considered important variables.</p><p><strong>Conclusion: </strong>Our multisource elastic net model demonstrated high performance at detecting MCI, suggesting that the combination of multimodal neuroimaging biomarkers contributes to MCI discrimination.</p>","PeriodicalId":12450,"journal":{"name":"Frontiers in Aging Neuroscience","volume":"17 ","pages":"1650629"},"PeriodicalIF":4.5000,"publicationDate":"2025-08-13","publicationTypes":"Journal Article","fieldsOfStudy":null,"isOpenAccess":false,"openAccessPdf":"https://www.ncbi.nlm.nih.gov/pmc/articles/PMC12380820/pdf/","citationCount":"0","resultStr":"{\"title\":\"Combinations of multimodal neuroimaging biomarkers and cognitive test scores to identify patients with cognitive impairment.\",\"authors\":\"Yuriko Nakaoku, Soshiro Ogata, Kiyotaka Nemoto, Chikage Kakuta, Eri Kiyoshige, Kanako Teramoto, Kiyomasa Nakatsuka, Gantsetseg Ganbaatar, Masafumi Ihara, Kunihiro Nishimura\",\"doi\":\"10.3389/fnagi.2025.1650629\",\"DOIUrl\":null,\"url\":null,\"abstract\":\"<p><strong>Background: </strong>Early detection of mild cognitive impairment (MCI), defined as the prodromal stage of dementia, is key to delaying the progression to dementia through lifestyle interventions and/or pharmacological treatments. This study aimed to develop and test new identification models for MCI in community settings based on multiple sources of clinical features, including neuroimaging biomarkers.</p><p><strong>Methods: </strong>This cross-sectional study analyzed cognitive testing and MRI examination data from 148 community-dwelling older adults in Nobeoka City. MCI was assessed using the Memory Performance Index from the MCI Screen. The variables used for model development were multisource features, including MRI-derived biomarkers and cognitive test scores. Finally, MCI identification models were developed using a penalized logistic regression model with an elastic net algorithm.</p><p><strong>Results: </strong>Among the 148 participants (mean age, 78.6 ± 5.2 years), 44.6% were identified as having MCI. The area under the curve for the elastic net model using baseline variables (i.e., age, sex, and education) and the multisource model were 0.74 (95% confidence interval, 0.59 to 0.89) and 0.81 (0.67 to 0.94) in the test datasets, respectively. The addition of neuroimaging biomarkers and cognitive test scores significantly improved the performance of the model identifying MCI (<i>p</i> = 0.012 by DeLong's test). The structural, perfusion, and diffusion MRI-derived biomarkers remained in the identification model with variable selection with the elastic net algorithm, and were thus considered important variables.</p><p><strong>Conclusion: </strong>Our multisource elastic net model demonstrated high performance at detecting MCI, suggesting that the combination of multimodal neuroimaging biomarkers contributes to MCI discrimination.</p>\",\"PeriodicalId\":12450,\"journal\":{\"name\":\"Frontiers in Aging Neuroscience\",\"volume\":\"17 \",\"pages\":\"1650629\"},\"PeriodicalIF\":4.5000,\"publicationDate\":\"2025-08-13\",\"publicationTypes\":\"Journal Article\",\"fieldsOfStudy\":null,\"isOpenAccess\":false,\"openAccessPdf\":\"https://www.ncbi.nlm.nih.gov/pmc/articles/PMC12380820/pdf/\",\"citationCount\":\"0\",\"resultStr\":null,\"platform\":\"Semanticscholar\",\"paperid\":null,\"PeriodicalName\":\"Frontiers in Aging Neuroscience\",\"FirstCategoryId\":\"3\",\"ListUrlMain\":\"https://doi.org/10.3389/fnagi.2025.1650629\",\"RegionNum\":2,\"RegionCategory\":\"医学\",\"ArticlePicture\":[],\"TitleCN\":null,\"AbstractTextCN\":null,\"PMCID\":null,\"EPubDate\":\"2025/1/1 0:00:00\",\"PubModel\":\"eCollection\",\"JCR\":\"Q2\",\"JCRName\":\"GERIATRICS & GERONTOLOGY\",\"Score\":null,\"Total\":0}","platform":"Semanticscholar","paperid":null,"PeriodicalName":"Frontiers in Aging Neuroscience","FirstCategoryId":"3","ListUrlMain":"https://doi.org/10.3389/fnagi.2025.1650629","RegionNum":2,"RegionCategory":"医学","ArticlePicture":[],"TitleCN":null,"AbstractTextCN":null,"PMCID":null,"EPubDate":"2025/1/1 0:00:00","PubModel":"eCollection","JCR":"Q2","JCRName":"GERIATRICS & GERONTOLOGY","Score":null,"Total":0}
引用次数: 0

摘要

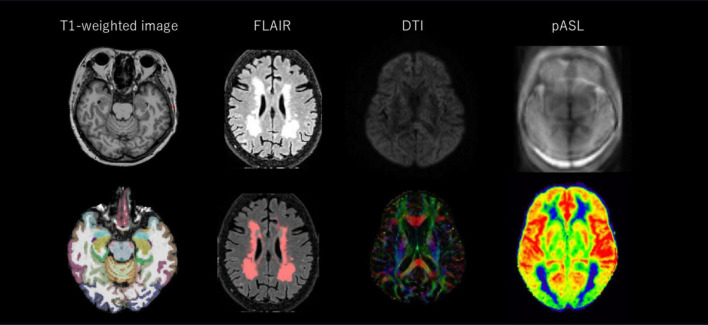
背景:早期发现轻度认知障碍(MCI),定义为痴呆的前驱阶段,是通过生活方式干预和/或药物治疗延缓痴呆进展的关键。本研究旨在基于多种临床特征来源,包括神经成像生物标志物,在社区环境中开发和测试新的MCI识别模型。方法:本横断面研究分析了Nobeoka市148名社区居住老年人的认知测试和MRI检查数据。使用MCI屏幕上的记忆性能指数评估MCI。用于模型开发的变量是多源特征,包括mri衍生的生物标志物和认知测试分数。最后,利用惩罚逻辑回归模型和弹性网络算法建立了MCI识别模型。结果:148名参与者(平均年龄78.6±5.2岁)中,44.6%被确定为轻度认知障碍。在测试数据集中,使用基线变量(即年龄、性别和教育程度)的弹性网模型和多源模型的曲线下面积分别为0.74(95%置信区间为0.59至0.89)和0.81(0.67至0.94)。添加神经成像生物标志物和认知测试分数显著提高了识别MCI的模型的性能(DeLong's检验p = 0.012)。结构、灌注和弥散性mri衍生的生物标志物仍在使用弹性网络算法进行变量选择的识别模型中,因此被认为是重要的变量。结论:我们的多源弹性网络模型在检测MCI方面表现出高性能,这表明多模态神经成像生物标志物的组合有助于MCI的识别。
本文章由计算机程序翻译,如有差异,请以英文原文为准。

Combinations of multimodal neuroimaging biomarkers and cognitive test scores to identify patients with cognitive impairment.

Combinations of multimodal neuroimaging biomarkers and cognitive test scores to identify patients with cognitive impairment.

Combinations of multimodal neuroimaging biomarkers and cognitive test scores to identify patients with cognitive impairment.

Combinations of multimodal neuroimaging biomarkers and cognitive test scores to identify patients with cognitive impairment.

Background: Early detection of mild cognitive impairment (MCI), defined as the prodromal stage of dementia, is key to delaying the progression to dementia through lifestyle interventions and/or pharmacological treatments. This study aimed to develop and test new identification models for MCI in community settings based on multiple sources of clinical features, including neuroimaging biomarkers.

Methods: This cross-sectional study analyzed cognitive testing and MRI examination data from 148 community-dwelling older adults in Nobeoka City. MCI was assessed using the Memory Performance Index from the MCI Screen. The variables used for model development were multisource features, including MRI-derived biomarkers and cognitive test scores. Finally, MCI identification models were developed using a penalized logistic regression model with an elastic net algorithm.

Results: Among the 148 participants (mean age, 78.6 ± 5.2 years), 44.6% were identified as having MCI. The area under the curve for the elastic net model using baseline variables (i.e., age, sex, and education) and the multisource model were 0.74 (95% confidence interval, 0.59 to 0.89) and 0.81 (0.67 to 0.94) in the test datasets, respectively. The addition of neuroimaging biomarkers and cognitive test scores significantly improved the performance of the model identifying MCI (p = 0.012 by DeLong's test). The structural, perfusion, and diffusion MRI-derived biomarkers remained in the identification model with variable selection with the elastic net algorithm, and were thus considered important variables.

Conclusion: Our multisource elastic net model demonstrated high performance at detecting MCI, suggesting that the combination of multimodal neuroimaging biomarkers contributes to MCI discrimination.

求助全文
通过发布文献求助,成功后即可免费获取论文全文。 去求助
来源期刊
Frontiers in Aging Neuroscience
Frontiers in Aging Neuroscience GERIATRICS & GERONTOLOGY-NEUROSCIENCES
CiteScore
6.30
自引率
8.30%
发文量
1426
期刊介绍: Frontiers in Aging Neuroscience is a leading journal in its field, publishing rigorously peer-reviewed research that advances our understanding of the mechanisms of Central Nervous System aging and age-related neural diseases. Specialty Chief Editor Thomas Wisniewski at the New York University School of Medicine is supported by an outstanding Editorial Board of international researchers. This multidisciplinary open-access journal is at the forefront of disseminating and communicating scientific knowledge and impactful discoveries to researchers, academics, clinicians and the public worldwide.
×
引用
GB/T 7714-2015
复制
MLA
复制
APA
复制
导出至
BibTeX EndNote RefMan NoteFirst NoteExpress
×
提示
您的信息不完整,为了账户安全,请先补充。
现在去补充
×
提示
您因"违规操作"
具体请查看互助需知
我知道了
×
提示
确定
请完成安全验证×
copy
已复制链接
快去分享给好友吧!
我知道了
右上角分享
点击右上角分享
0
联系我们:info@booksci.cn Book学术提供免费学术资源搜索服务,方便国内外学者检索中英文文献。致力于提供最便捷和优质的服务体验。 Copyright © 2023 布克学术 All rights reserved.
京ICP备2023020795号-1
ghs 京公网安备 11010802042870号
Book学术文献互助
Book学术文献互助群
群 号:604180095
Book学术官方微信