霉菌毒素结合剂对接种肉鸡新城疫免疫和肠道组织病理学的改善。

Q2 Pharmacology, Toxicology and Pharmaceutics
F1000Research Pub Date : 2025-07-25 eCollection Date: 2024-01-01 DOI:10.12688/f1000research.158103.3
Erma Safitri, Hery Purnobasuki, Tita Damayanti Lestari, Suzanita Utama, Merisa Wahyu Erdhina, Maulida Ilma Sadida, Eka Pramyrtha Hestianah, Mohammad Anam Al Arif, Chairul Anwar Nidom, Sri Mulyati, Jola Rahmahani, Martia Rani Tacharina, Sri Hidanah, Siti Darodjah Rasad, Goo Jang, Mitsuhiro Takagi, Muhammad Thohawi Elziyad Purnama
{"title":"霉菌毒素结合剂对接种肉鸡新城疫免疫和肠道组织病理学的改善。","authors":"Erma Safitri, Hery Purnobasuki, Tita Damayanti Lestari, Suzanita Utama, Merisa Wahyu Erdhina, Maulida Ilma Sadida, Eka Pramyrtha Hestianah, Mohammad Anam Al Arif, Chairul Anwar Nidom, Sri Mulyati, Jola Rahmahani, Martia Rani Tacharina, Sri Hidanah, Siti Darodjah Rasad, Goo Jang, Mitsuhiro Takagi, Muhammad Thohawi Elziyad Purnama","doi":"10.12688/f1000research.158103.3","DOIUrl":null,"url":null,"abstract":"<p><strong>Background: </strong>In broiler farming, vaccination against Newcastle disease (ND) is essential. Nonetheless, during the post-vaccination phase, production may be negatively impacted by mycotoxin contamination in feed. This study aimed to evaluate the effect of mycotoxin binders on immune and intestinal histopathology ameliorations against ND in vaccinated broilers with aflatoxin B1 (AFB1) and ochratoxin A (OTA) toxication.</p><p><strong>Methods: </strong>A total of 20 broilers were randomly assigned into 4 groups with 5 replications i.e. (C-) broiler groups with basal feed, (C+) broiler groups with AFB1 and OTA feed contamination, (T1) and (T2) broiler groups with exposed AFB1, OTA, and toxin binders as feed additives with dose 1.1 g/kg and 1.6 g/kg feed, respectively. ND vaccination was carried out on day 7 and 21. Antibody titers were evaluated from serum samples of broiler on days 14, 28, and 35 for further hemagglutination inhibition (HI) test. Histopathology of the cecum and colon organs was evaluated using HE staining on day 36. HI test and histological scoring were analyzed using the One-Way ANOVA, followed by Duncan's test with a p < 0.05 in SPSS v.26 software (IBM Corp., Armonk, NY).</p><p><strong>Results: </strong>As a result, histopathological improvement of the cecum and colon was reported based on mucosal rupture, hemorrhage and necrosis on day 35. A significant increase in antibody titer was observed on day 35 in the C- and T2 groups, which differed significantly (p < 0.05) from the C+ and T1 groups.</p><p><strong>Conclusions: </strong>This study revealed that a 1.6 g/kg toxin binder dose in feed can increase antibody titer and histopathology of cecum and colon in broiler chickens after ND vaccination fed with mycotoxin-contaminated feed.</p>","PeriodicalId":12260,"journal":{"name":"F1000Research","volume":"13 ","pages":"1518"},"PeriodicalIF":0.0000,"publicationDate":"2025-07-25","publicationTypes":"Journal Article","fieldsOfStudy":null,"isOpenAccess":false,"openAccessPdf":"https://www.ncbi.nlm.nih.gov/pmc/articles/PMC12361880/pdf/","citationCount":"0","resultStr":"{\"title\":\"Mycotoxin binder for immune and intestinal histopathology ameliorations against Newcastle disease in vaccinated broilers.\",\"authors\":\"Erma Safitri, Hery Purnobasuki, Tita Damayanti Lestari, Suzanita Utama, Merisa Wahyu Erdhina, Maulida Ilma Sadida, Eka Pramyrtha Hestianah, Mohammad Anam Al Arif, Chairul Anwar Nidom, Sri Mulyati, Jola Rahmahani, Martia Rani Tacharina, Sri Hidanah, Siti Darodjah Rasad, Goo Jang, Mitsuhiro Takagi, Muhammad Thohawi Elziyad Purnama\",\"doi\":\"10.12688/f1000research.158103.3\",\"DOIUrl\":null,\"url\":null,\"abstract\":\"<p><strong>Background: </strong>In broiler farming, vaccination against Newcastle disease (ND) is essential. Nonetheless, during the post-vaccination phase, production may be negatively impacted by mycotoxin contamination in feed. This study aimed to evaluate the effect of mycotoxin binders on immune and intestinal histopathology ameliorations against ND in vaccinated broilers with aflatoxin B1 (AFB1) and ochratoxin A (OTA) toxication.</p><p><strong>Methods: </strong>A total of 20 broilers were randomly assigned into 4 groups with 5 replications i.e. (C-) broiler groups with basal feed, (C+) broiler groups with AFB1 and OTA feed contamination, (T1) and (T2) broiler groups with exposed AFB1, OTA, and toxin binders as feed additives with dose 1.1 g/kg and 1.6 g/kg feed, respectively. ND vaccination was carried out on day 7 and 21. Antibody titers were evaluated from serum samples of broiler on days 14, 28, and 35 for further hemagglutination inhibition (HI) test. Histopathology of the cecum and colon organs was evaluated using HE staining on day 36. HI test and histological scoring were analyzed using the One-Way ANOVA, followed by Duncan's test with a p < 0.05 in SPSS v.26 software (IBM Corp., Armonk, NY).</p><p><strong>Results: </strong>As a result, histopathological improvement of the cecum and colon was reported based on mucosal rupture, hemorrhage and necrosis on day 35. A significant increase in antibody titer was observed on day 35 in the C- and T2 groups, which differed significantly (p < 0.05) from the C+ and T1 groups.</p><p><strong>Conclusions: </strong>This study revealed that a 1.6 g/kg toxin binder dose in feed can increase antibody titer and histopathology of cecum and colon in broiler chickens after ND vaccination fed with mycotoxin-contaminated feed.</p>\",\"PeriodicalId\":12260,\"journal\":{\"name\":\"F1000Research\",\"volume\":\"13 \",\"pages\":\"1518\"},\"PeriodicalIF\":0.0000,\"publicationDate\":\"2025-07-25\",\"publicationTypes\":\"Journal Article\",\"fieldsOfStudy\":null,\"isOpenAccess\":false,\"openAccessPdf\":\"https://www.ncbi.nlm.nih.gov/pmc/articles/PMC12361880/pdf/\",\"citationCount\":\"0\",\"resultStr\":null,\"platform\":\"Semanticscholar\",\"paperid\":null,\"PeriodicalName\":\"F1000Research\",\"FirstCategoryId\":\"1085\",\"ListUrlMain\":\"https://doi.org/10.12688/f1000research.158103.3\",\"RegionNum\":0,\"RegionCategory\":null,\"ArticlePicture\":[],\"TitleCN\":null,\"AbstractTextCN\":null,\"PMCID\":null,\"EPubDate\":\"2024/1/1 0:00:00\",\"PubModel\":\"eCollection\",\"JCR\":\"Q2\",\"JCRName\":\"Pharmacology, Toxicology and Pharmaceutics\",\"Score\":null,\"Total\":0}","platform":"Semanticscholar","paperid":null,"PeriodicalName":"F1000Research","FirstCategoryId":"1085","ListUrlMain":"https://doi.org/10.12688/f1000research.158103.3","RegionNum":0,"RegionCategory":null,"ArticlePicture":[],"TitleCN":null,"AbstractTextCN":null,"PMCID":null,"EPubDate":"2024/1/1 0:00:00","PubModel":"eCollection","JCR":"Q2","JCRName":"Pharmacology, Toxicology and Pharmaceutics","Score":null,"Total":0}
引用次数: 0

摘要

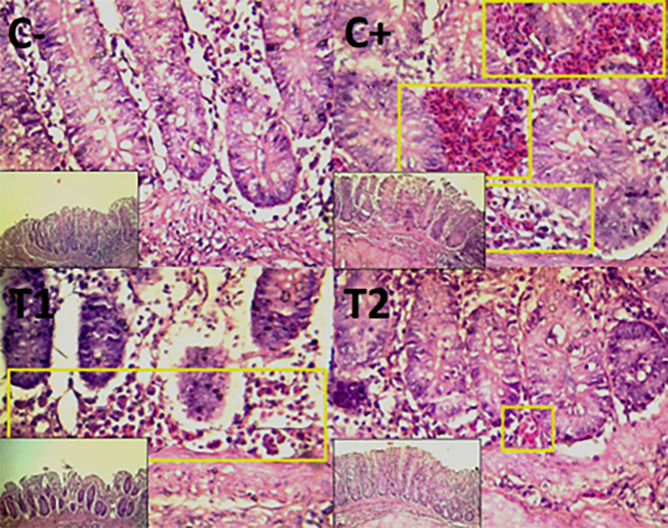
背景:在肉鸡养殖中,预防新城疫(ND)的接种是必不可少的。尽管如此,在接种疫苗后阶段,饲料中的霉菌毒素污染可能会对生产产生负面影响。本研究旨在评价霉菌毒素结合剂对黄曲霉毒素B1 (AFB1)和赭曲霉毒素A (OTA)接种肉鸡抗ND免疫和肠道组织病理学的改善作用。方法:将20只肉鸡随机分为4组,每组5个重复,分别为基础饲料(C-)组、AFB1和OTA饲料污染(C+)组、AFB1、OTA和毒素结合剂饲料暴露(T1)组和(T2)组,剂量分别为1.1 g/kg和1.6 g/kg。在第7天和第21天接种ND疫苗。分别在第14、28和35天对肉鸡血清样品进行抗体效价测定,以进行进一步的血凝抑制试验。第36天用HE染色评价盲肠和结肠器官的组织病理学。HI检验和组织学评分采用单因素方差分析,采用SPSS v.26软件(IBM Corp., Armonk, NY)进行Duncan检验,p < 0.05。结果:在第35天,盲肠和结肠粘膜破裂、出血和坏死的基础上报告了组织病理学改善。抗体滴度在第35天C-和T2组显著升高,与C+和T1组相比差异显著(p < 0.05)。结论:饲料中添加1.6 g/kg的毒素结合剂可提高肉鸡接种ND后盲肠和结肠的抗体效价和组织病理学。
本文章由计算机程序翻译,如有差异,请以英文原文为准。

Mycotoxin binder for immune and intestinal histopathology ameliorations against Newcastle disease in vaccinated broilers.

Mycotoxin binder for immune and intestinal histopathology ameliorations against Newcastle disease in vaccinated broilers.

Mycotoxin binder for immune and intestinal histopathology ameliorations against Newcastle disease in vaccinated broilers.

Mycotoxin binder for immune and intestinal histopathology ameliorations against Newcastle disease in vaccinated broilers.

Background: In broiler farming, vaccination against Newcastle disease (ND) is essential. Nonetheless, during the post-vaccination phase, production may be negatively impacted by mycotoxin contamination in feed. This study aimed to evaluate the effect of mycotoxin binders on immune and intestinal histopathology ameliorations against ND in vaccinated broilers with aflatoxin B1 (AFB1) and ochratoxin A (OTA) toxication.

Methods: A total of 20 broilers were randomly assigned into 4 groups with 5 replications i.e. (C-) broiler groups with basal feed, (C+) broiler groups with AFB1 and OTA feed contamination, (T1) and (T2) broiler groups with exposed AFB1, OTA, and toxin binders as feed additives with dose 1.1 g/kg and 1.6 g/kg feed, respectively. ND vaccination was carried out on day 7 and 21. Antibody titers were evaluated from serum samples of broiler on days 14, 28, and 35 for further hemagglutination inhibition (HI) test. Histopathology of the cecum and colon organs was evaluated using HE staining on day 36. HI test and histological scoring were analyzed using the One-Way ANOVA, followed by Duncan's test with a p < 0.05 in SPSS v.26 software (IBM Corp., Armonk, NY).

Results: As a result, histopathological improvement of the cecum and colon was reported based on mucosal rupture, hemorrhage and necrosis on day 35. A significant increase in antibody titer was observed on day 35 in the C- and T2 groups, which differed significantly (p < 0.05) from the C+ and T1 groups.

Conclusions: This study revealed that a 1.6 g/kg toxin binder dose in feed can increase antibody titer and histopathology of cecum and colon in broiler chickens after ND vaccination fed with mycotoxin-contaminated feed.

求助全文
通过发布文献求助,成功后即可免费获取论文全文。 去求助
来源期刊
F1000Research
F1000Research Pharmacology, Toxicology and Pharmaceutics-Pharmacology, Toxicology and Pharmaceutics (all)
CiteScore
5.00
自引率
0.00%
发文量
1646
审稿时长
1 weeks
期刊介绍: F1000Research publishes articles and other research outputs reporting basic scientific, scholarly, translational and clinical research across the physical and life sciences, engineering, medicine, social sciences and humanities. F1000Research is a scholarly publication platform set up for the scientific, scholarly and medical research community; each article has at least one author who is a qualified researcher, scholar or clinician actively working in their speciality and who has made a key contribution to the article. Articles must be original (not duplications). All research is suitable irrespective of the perceived level of interest or novelty; we welcome confirmatory and negative results, as well as null studies. F1000Research publishes different type of research, including clinical trials, systematic reviews, software tools, method articles, and many others. Reviews and Opinion articles providing a balanced and comprehensive overview of the latest discoveries in a particular field, or presenting a personal perspective on recent developments, are also welcome. See the full list of article types we accept for more information.
×
引用
GB/T 7714-2015
复制
MLA
复制
APA
复制
导出至
BibTeX EndNote RefMan NoteFirst NoteExpress
×
提示
您的信息不完整,为了账户安全,请先补充。
现在去补充
×
提示
您因"违规操作"
具体请查看互助需知
我知道了
×
提示
确定
请完成安全验证×
copy
已复制链接
快去分享给好友吧!
我知道了
右上角分享
点击右上角分享
0
联系我们:info@booksci.cn Book学术提供免费学术资源搜索服务,方便国内外学者检索中英文文献。致力于提供最便捷和优质的服务体验。 Copyright © 2023 布克学术 All rights reserved.
京ICP备2023020795号-1
ghs 京公网安备 11010802042870号
Book学术文献互助
Book学术文献互助群
群 号:604180095
Book学术官方微信