与自身免疫性风湿病相关的间质性肺疾病:来自 rkiye的经验

IF 1.8 Q4 RHEUMATOLOGY
Cemal Bes, Fatih Yildirim, Ramazan Eren, Şerife Ulusan, Rabia Deniz, Bilgin Karaalioglu, Duygu Sevinç Ozgur, Gamze Akkuzu, Barış Demirkol, Mustafa Kağan Erener, Melek Yalçın Mutlu, Erdoğan Çetinkaya
{"title":"与自身免疫性风湿病相关的间质性肺疾病:来自<s:1> rkiye的经验","authors":"Cemal Bes, Fatih Yildirim, Ramazan Eren, Şerife Ulusan, Rabia Deniz, Bilgin Karaalioglu, Duygu Sevinç Ozgur, Gamze Akkuzu, Barış Demirkol, Mustafa Kağan Erener, Melek Yalçın Mutlu, Erdoğan Çetinkaya","doi":"10.5152/eurjrheum.2025.24117","DOIUrl":null,"url":null,"abstract":"<p><p>Objective: Interstitial lung disease (ILD) is one of the most challenging involvement of autoimmune rheumatic diseases (ARDs) and could lead to significant morbidity and mortality. In this article, a collaborative work of tertiary rheumatology and pulmonology centers describing demographic, serological, and radiological findings of patients with ARD associated with ILD (ARD-ILD) is presented. Methods: A descriptive, retrospective study, and data related to demographics, clinical, laboratory, radiologic, or histopathological findings of ILD were collected from the study participants' charts. Results: Around 212 patients with ARD-ILD were evaluated. Of the patients, 172 (81.1%) were female and 40 (18.9%) were male. The distribution of the rheumatic diseases was as follows: systemic sclerosis in 114 (53.8%), rheumatoid arthritis in 47 (22.2%), Sjögren's syndrome in 14 (6.6%), inflammatory myopathy in 16 (7.5%) patients, interstitial pneumonia with autoimmune features (IPAF) in 9 (4%) patients, undifferentiated connective tissue disease in 8 (3.8%), and systemic lupus erythematosus in 4 (1.9%). According to the radiological patterns, 71.7% of the patients had nonspecific interstitial pneumonia (NSIP), 13.7% had definite usual interstitial pneumonia (UIP), 8.5% had probable UIP, 3.8% had lymphocytic interstitial pneumonia, 1.9% had organizing pneumonia, and 0.5% had an atypical pattern. Conclusion: This study showed that the most common rheumatic disease causing ILD is still systemic sclerosis, and NSIP is more prominent as a radiological pattern. IPAF, a disease that has entered the literature in recent years, is also an important type of ILD. Given the multisystemic involvement of ARDs, collaboration among different disciplines is undoubtedly crucial in the diagnosis and management of these diseases.</p>","PeriodicalId":12066,"journal":{"name":"European journal of rheumatology","volume":"12 3","pages":"1-6"},"PeriodicalIF":1.8000,"publicationDate":"2025-07-31","publicationTypes":"Journal Article","fieldsOfStudy":null,"isOpenAccess":false,"openAccessPdf":"https://www.ncbi.nlm.nih.gov/pmc/articles/PMC12362481/pdf/","citationCount":"0","resultStr":"{\"title\":\"Interstitial Lung Disease Associated with Autoimmune Rheumatic Diseases: An Experience from Türkiye.\",\"authors\":\"Cemal Bes, Fatih Yildirim, Ramazan Eren, Şerife Ulusan, Rabia Deniz, Bilgin Karaalioglu, Duygu Sevinç Ozgur, Gamze Akkuzu, Barış Demirkol, Mustafa Kağan Erener, Melek Yalçın Mutlu, Erdoğan Çetinkaya\",\"doi\":\"10.5152/eurjrheum.2025.24117\",\"DOIUrl\":null,\"url\":null,\"abstract\":\"<p><p>Objective: Interstitial lung disease (ILD) is one of the most challenging involvement of autoimmune rheumatic diseases (ARDs) and could lead to significant morbidity and mortality. In this article, a collaborative work of tertiary rheumatology and pulmonology centers describing demographic, serological, and radiological findings of patients with ARD associated with ILD (ARD-ILD) is presented. Methods: A descriptive, retrospective study, and data related to demographics, clinical, laboratory, radiologic, or histopathological findings of ILD were collected from the study participants' charts. Results: Around 212 patients with ARD-ILD were evaluated. Of the patients, 172 (81.1%) were female and 40 (18.9%) were male. The distribution of the rheumatic diseases was as follows: systemic sclerosis in 114 (53.8%), rheumatoid arthritis in 47 (22.2%), Sjögren's syndrome in 14 (6.6%), inflammatory myopathy in 16 (7.5%) patients, interstitial pneumonia with autoimmune features (IPAF) in 9 (4%) patients, undifferentiated connective tissue disease in 8 (3.8%), and systemic lupus erythematosus in 4 (1.9%). According to the radiological patterns, 71.7% of the patients had nonspecific interstitial pneumonia (NSIP), 13.7% had definite usual interstitial pneumonia (UIP), 8.5% had probable UIP, 3.8% had lymphocytic interstitial pneumonia, 1.9% had organizing pneumonia, and 0.5% had an atypical pattern. Conclusion: This study showed that the most common rheumatic disease causing ILD is still systemic sclerosis, and NSIP is more prominent as a radiological pattern. IPAF, a disease that has entered the literature in recent years, is also an important type of ILD. Given the multisystemic involvement of ARDs, collaboration among different disciplines is undoubtedly crucial in the diagnosis and management of these diseases.</p>\",\"PeriodicalId\":12066,\"journal\":{\"name\":\"European journal of rheumatology\",\"volume\":\"12 3\",\"pages\":\"1-6\"},\"PeriodicalIF\":1.8000,\"publicationDate\":\"2025-07-31\",\"publicationTypes\":\"Journal Article\",\"fieldsOfStudy\":null,\"isOpenAccess\":false,\"openAccessPdf\":\"https://www.ncbi.nlm.nih.gov/pmc/articles/PMC12362481/pdf/\",\"citationCount\":\"0\",\"resultStr\":null,\"platform\":\"Semanticscholar\",\"paperid\":null,\"PeriodicalName\":\"European journal of rheumatology\",\"FirstCategoryId\":\"1085\",\"ListUrlMain\":\"https://doi.org/10.5152/eurjrheum.2025.24117\",\"RegionNum\":0,\"RegionCategory\":null,\"ArticlePicture\":[],\"TitleCN\":null,\"AbstractTextCN\":null,\"PMCID\":null,\"EPubDate\":\"\",\"PubModel\":\"\",\"JCR\":\"Q4\",\"JCRName\":\"RHEUMATOLOGY\",\"Score\":null,\"Total\":0}","platform":"Semanticscholar","paperid":null,"PeriodicalName":"European journal of rheumatology","FirstCategoryId":"1085","ListUrlMain":"https://doi.org/10.5152/eurjrheum.2025.24117","RegionNum":0,"RegionCategory":null,"ArticlePicture":[],"TitleCN":null,"AbstractTextCN":null,"PMCID":null,"EPubDate":"","PubModel":"","JCR":"Q4","JCRName":"RHEUMATOLOGY","Score":null,"Total":0}
引用次数: 0

摘要

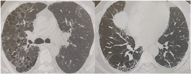
目的:间质性肺疾病(ILD)是自身免疫性风湿性疾病(ARDs)中最具挑战性的疾病之一,可导致显著的发病率和死亡率。在这篇文章中,三级风湿病学和肺病学中心的合作工作描述了ARD合并ILD (ARD-ILD)患者的人口学、血清学和放射学结果。方法:一项描述性、回顾性研究,并从研究参与者的图表中收集有关ILD的人口统计学、临床、实验室、放射学或组织病理学发现的数据。结果:约212例ARD-ILD患者被评估。其中女性172例(81.1%),男性40例(18.9%)。风湿病的分布如下:系统性硬化症114例(53.8%),类风湿关节炎47例(22.2%),Sjögren综合征14例(6.6%),炎性肌病16例(7.5%),自身免疫性间质性肺炎9例(4%),未分化结缔组织病8例(3.8%),系统性红斑狼疮4例(1.9%)。根据影像学表现,71.7%的患者为非特异性间质性肺炎(NSIP), 13.7%的患者为明确的普通间质性肺炎(UIP), 8.5%的患者为可能的间质性肺炎,3.8%的患者为淋巴细胞性间质性肺炎,1.9%的患者为组织性肺炎,0.5%的患者为不典型肺炎。结论:本研究显示导致ILD的最常见的风湿病仍然是系统性硬化症,而NSIP作为影像学表现更为突出。IPAF是近年来进入文献的一种疾病,也是一种重要的ILD类型。鉴于ARDs涉及多系统,不同学科之间的合作无疑对这些疾病的诊断和管理至关重要。
本文章由计算机程序翻译,如有差异,请以英文原文为准。

Interstitial Lung Disease Associated with Autoimmune Rheumatic Diseases: An Experience from Türkiye.

Interstitial Lung Disease Associated with Autoimmune Rheumatic Diseases: An Experience from Türkiye.

Interstitial Lung Disease Associated with Autoimmune Rheumatic Diseases: An Experience from Türkiye.

Interstitial Lung Disease Associated with Autoimmune Rheumatic Diseases: An Experience from Türkiye.

Objective: Interstitial lung disease (ILD) is one of the most challenging involvement of autoimmune rheumatic diseases (ARDs) and could lead to significant morbidity and mortality. In this article, a collaborative work of tertiary rheumatology and pulmonology centers describing demographic, serological, and radiological findings of patients with ARD associated with ILD (ARD-ILD) is presented. Methods: A descriptive, retrospective study, and data related to demographics, clinical, laboratory, radiologic, or histopathological findings of ILD were collected from the study participants' charts. Results: Around 212 patients with ARD-ILD were evaluated. Of the patients, 172 (81.1%) were female and 40 (18.9%) were male. The distribution of the rheumatic diseases was as follows: systemic sclerosis in 114 (53.8%), rheumatoid arthritis in 47 (22.2%), Sjögren's syndrome in 14 (6.6%), inflammatory myopathy in 16 (7.5%) patients, interstitial pneumonia with autoimmune features (IPAF) in 9 (4%) patients, undifferentiated connective tissue disease in 8 (3.8%), and systemic lupus erythematosus in 4 (1.9%). According to the radiological patterns, 71.7% of the patients had nonspecific interstitial pneumonia (NSIP), 13.7% had definite usual interstitial pneumonia (UIP), 8.5% had probable UIP, 3.8% had lymphocytic interstitial pneumonia, 1.9% had organizing pneumonia, and 0.5% had an atypical pattern. Conclusion: This study showed that the most common rheumatic disease causing ILD is still systemic sclerosis, and NSIP is more prominent as a radiological pattern. IPAF, a disease that has entered the literature in recent years, is also an important type of ILD. Given the multisystemic involvement of ARDs, collaboration among different disciplines is undoubtedly crucial in the diagnosis and management of these diseases.

求助全文
通过发布文献求助,成功后即可免费获取论文全文。 去求助
来源期刊
自引率
0.00%
发文量
56
审稿时长
7 weeks
×
引用
GB/T 7714-2015
复制
MLA
复制
APA
复制
导出至
BibTeX EndNote RefMan NoteFirst NoteExpress
×
提示
您的信息不完整,为了账户安全,请先补充。
现在去补充
×
提示
您因"违规操作"
具体请查看互助需知
我知道了
×
提示
确定
请完成安全验证×
copy
已复制链接
快去分享给好友吧!
我知道了
右上角分享
点击右上角分享
0
联系我们:info@booksci.cn Book学术提供免费学术资源搜索服务,方便国内外学者检索中英文文献。致力于提供最便捷和优质的服务体验。 Copyright © 2023 布克学术 All rights reserved.
京ICP备2023020795号-1
ghs 京公网安备 11010802042870号
Book学术文献互助
Book学术文献互助群
群 号:604180095
Book学术官方微信