强直性脊柱炎伴无菌性脓肿-治疗的原因或效果?病例报告。

IF 1.8 Q4 RHEUMATOLOGY
Przemysław Borowy, Karol Urbański, Katarzyna Gołojuch, Patrycja Major, Jakub Smyk, Alicja Kamińska, Bogdan Batko, Joanna Szpor
{"title":"强直性脊柱炎伴无菌性脓肿-治疗的原因或效果?病例报告。","authors":"Przemysław Borowy, Karol Urbański, Katarzyna Gołojuch, Patrycja Major, Jakub Smyk, Alicja Kamińska, Bogdan Batko, Joanna Szpor","doi":"10.5152/eurjrheum.2025.24079","DOIUrl":null,"url":null,"abstract":"<p><p>Neutrophil dermatitis is a group of diseases characterized by the leakage of neutrophils in the skin and subcutaneous tissue with a non-infectious, autoinflammatory etiology. These include the aseptic abscess syndrome (AA). Diagnosis is based on histopathological examination and the exclusion of infectious, allergic, and cancer causes. The paper presents the case of a 41-year-old woman with inflammatory spondyloarthropathy (HLA-B27 antigen present), treated with secukinumab, who developed a painful, inflammatory tumor in her right breast. Antibiotic treatment was ineffective, and histopathological exami- nation detected leaching mainly from granulocytes. Infectious and oncological background changes and IgG4+ disease were excluded. After the diagnosis was confirmed, glucocorticoid therapy was started, which brought rapid improvement, but after the dose was reduced, the tumor relapsed. The re-escalation of the steroid dose and the discontinuation of secukinumab coincided with the exacerbation of ankylos- ing spondylitis, which forced the inclusion of upadacitinib, which was effective and well tolerated. Single studies show high efficacy of TNF inhibitors as well as IL-6 or IL-1 blockades in the treatment of AA and sec- ondary prevention in patients with failed steroid therapy. There are no reports of AA cases in the literature during treatment with secukinumab. Treatment with upadacitinib has so far not caused AA recurrence.</p>","PeriodicalId":12066,"journal":{"name":"European journal of rheumatology","volume":"12 3","pages":"1-4"},"PeriodicalIF":1.8000,"publicationDate":"2025-07-30","publicationTypes":"Journal Article","fieldsOfStudy":null,"isOpenAccess":false,"openAccessPdf":"https://www.ncbi.nlm.nih.gov/pmc/articles/PMC12362505/pdf/","citationCount":"0","resultStr":"{\"title\":\"Aseptic Abscess Associated with Ankylosing Spondylitis-Cause or Effect of Therapy? Case Report.\",\"authors\":\"Przemysław Borowy, Karol Urbański, Katarzyna Gołojuch, Patrycja Major, Jakub Smyk, Alicja Kamińska, Bogdan Batko, Joanna Szpor\",\"doi\":\"10.5152/eurjrheum.2025.24079\",\"DOIUrl\":null,\"url\":null,\"abstract\":\"<p><p>Neutrophil dermatitis is a group of diseases characterized by the leakage of neutrophils in the skin and subcutaneous tissue with a non-infectious, autoinflammatory etiology. These include the aseptic abscess syndrome (AA). Diagnosis is based on histopathological examination and the exclusion of infectious, allergic, and cancer causes. The paper presents the case of a 41-year-old woman with inflammatory spondyloarthropathy (HLA-B27 antigen present), treated with secukinumab, who developed a painful, inflammatory tumor in her right breast. Antibiotic treatment was ineffective, and histopathological exami- nation detected leaching mainly from granulocytes. Infectious and oncological background changes and IgG4+ disease were excluded. After the diagnosis was confirmed, glucocorticoid therapy was started, which brought rapid improvement, but after the dose was reduced, the tumor relapsed. The re-escalation of the steroid dose and the discontinuation of secukinumab coincided with the exacerbation of ankylos- ing spondylitis, which forced the inclusion of upadacitinib, which was effective and well tolerated. Single studies show high efficacy of TNF inhibitors as well as IL-6 or IL-1 blockades in the treatment of AA and sec- ondary prevention in patients with failed steroid therapy. There are no reports of AA cases in the literature during treatment with secukinumab. Treatment with upadacitinib has so far not caused AA recurrence.</p>\",\"PeriodicalId\":12066,\"journal\":{\"name\":\"European journal of rheumatology\",\"volume\":\"12 3\",\"pages\":\"1-4\"},\"PeriodicalIF\":1.8000,\"publicationDate\":\"2025-07-30\",\"publicationTypes\":\"Journal Article\",\"fieldsOfStudy\":null,\"isOpenAccess\":false,\"openAccessPdf\":\"https://www.ncbi.nlm.nih.gov/pmc/articles/PMC12362505/pdf/\",\"citationCount\":\"0\",\"resultStr\":null,\"platform\":\"Semanticscholar\",\"paperid\":null,\"PeriodicalName\":\"European journal of rheumatology\",\"FirstCategoryId\":\"1085\",\"ListUrlMain\":\"https://doi.org/10.5152/eurjrheum.2025.24079\",\"RegionNum\":0,\"RegionCategory\":null,\"ArticlePicture\":[],\"TitleCN\":null,\"AbstractTextCN\":null,\"PMCID\":null,\"EPubDate\":\"\",\"PubModel\":\"\",\"JCR\":\"Q4\",\"JCRName\":\"RHEUMATOLOGY\",\"Score\":null,\"Total\":0}","platform":"Semanticscholar","paperid":null,"PeriodicalName":"European journal of rheumatology","FirstCategoryId":"1085","ListUrlMain":"https://doi.org/10.5152/eurjrheum.2025.24079","RegionNum":0,"RegionCategory":null,"ArticlePicture":[],"TitleCN":null,"AbstractTextCN":null,"PMCID":null,"EPubDate":"","PubModel":"","JCR":"Q4","JCRName":"RHEUMATOLOGY","Score":null,"Total":0}
引用次数: 0

摘要

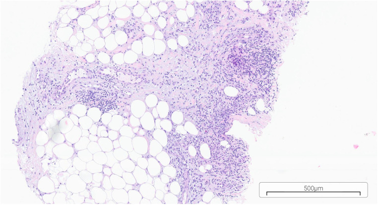
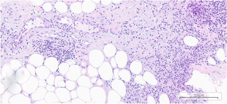
中性粒细胞皮炎是一组以皮肤和皮下组织中中性粒细胞渗漏为特征的疾病,其病因为非感染性、自身炎症性。其中包括无菌脓肿综合征(AA)。诊断是基于组织病理学检查和排除感染,过敏和癌症的原因。这篇论文提出了一例41岁的女性炎症性颈椎病(HLA-B27抗原存在),用secukinumab治疗,谁发展了疼痛,炎性肿瘤在她的右乳房。抗生素治疗无效,组织病理学检查发现浸出主要来自粒细胞。排除感染和肿瘤背景改变和IgG4+疾病。确诊后开始糖皮质激素治疗,病情迅速好转,但减少剂量后,肿瘤复发。类固醇剂量的再次增加和secukinumab的停药与强直性脊柱炎的加重同时发生,这迫使纳入upadacitinib, upadacitinib有效且耐受性良好。单个研究表明TNF抑制剂以及IL-6或IL-1阻断剂在治疗AA和类固醇治疗失败患者的二级预防方面具有很高的疗效。文献中未见在使用secukinumab治疗期间出现AA病例的报道。upadacitinib治疗至今未引起AA复发。
本文章由计算机程序翻译,如有差异,请以英文原文为准。

Aseptic Abscess Associated with Ankylosing Spondylitis-Cause or Effect of Therapy? Case Report.

Aseptic Abscess Associated with Ankylosing Spondylitis-Cause or Effect of Therapy? Case Report.

Aseptic Abscess Associated with Ankylosing Spondylitis-Cause or Effect of Therapy? Case Report.

Aseptic Abscess Associated with Ankylosing Spondylitis-Cause or Effect of Therapy? Case Report.

Neutrophil dermatitis is a group of diseases characterized by the leakage of neutrophils in the skin and subcutaneous tissue with a non-infectious, autoinflammatory etiology. These include the aseptic abscess syndrome (AA). Diagnosis is based on histopathological examination and the exclusion of infectious, allergic, and cancer causes. The paper presents the case of a 41-year-old woman with inflammatory spondyloarthropathy (HLA-B27 antigen present), treated with secukinumab, who developed a painful, inflammatory tumor in her right breast. Antibiotic treatment was ineffective, and histopathological exami- nation detected leaching mainly from granulocytes. Infectious and oncological background changes and IgG4+ disease were excluded. After the diagnosis was confirmed, glucocorticoid therapy was started, which brought rapid improvement, but after the dose was reduced, the tumor relapsed. The re-escalation of the steroid dose and the discontinuation of secukinumab coincided with the exacerbation of ankylos- ing spondylitis, which forced the inclusion of upadacitinib, which was effective and well tolerated. Single studies show high efficacy of TNF inhibitors as well as IL-6 or IL-1 blockades in the treatment of AA and sec- ondary prevention in patients with failed steroid therapy. There are no reports of AA cases in the literature during treatment with secukinumab. Treatment with upadacitinib has so far not caused AA recurrence.

求助全文
通过发布文献求助,成功后即可免费获取论文全文。 去求助
来源期刊
自引率
0.00%
发文量
56
审稿时长
7 weeks
×
引用
GB/T 7714-2015
复制
MLA
复制
APA
复制
导出至
BibTeX EndNote RefMan NoteFirst NoteExpress
×
提示
您的信息不完整,为了账户安全,请先补充。
现在去补充
×
提示
您因"违规操作"
具体请查看互助需知
我知道了
×
提示
确定
请完成安全验证×
copy
已复制链接
快去分享给好友吧!
我知道了
右上角分享
点击右上角分享
0
联系我们:info@booksci.cn Book学术提供免费学术资源搜索服务,方便国内外学者检索中英文文献。致力于提供最便捷和优质的服务体验。 Copyright © 2023 布克学术 All rights reserved.
京ICP备2023020795号-1
ghs 京公网安备 11010802042870号
Book学术文献互助
Book学术文献互助群
群 号:604180095
Book学术官方微信