心房颤动消融在二尖瓣和三尖瓣反流治疗中的作用:1例报告。

IF 0.8 Q4 CARDIAC & CARDIOVASCULAR SYSTEMS
European Heart Journal: Case Reports Pub Date : 2025-08-13 eCollection Date: 2025-08-01 DOI:10.1093/ehjcr/ytaf397
Borislav Dinov, Samuel Sossalla, Nikolaos Tsianakas, Kerstin Piayda
{"title":"心房颤动消融在二尖瓣和三尖瓣反流治疗中的作用:1例报告。","authors":"Borislav Dinov, Samuel Sossalla, Nikolaos Tsianakas, Kerstin Piayda","doi":"10.1093/ehjcr/ytaf397","DOIUrl":null,"url":null,"abstract":"<p><strong>Background: </strong>Atrial fibrillation (AF) and functional mitral regurgitation (FMR) frequently coexist. Surgical treatment or transcatheter edge-to-edge repair is the standard of care for severe FMR. In patients with atrial FMR (aFMR), atrial fibrillation is an important precipitating factor. Since catheter ablation (CA) is a safe and effective treatment of AF, it has been suggested that it may decrease the severity of aFMR. However, data are scarce and the mechanisms of aFMR improvement are not completely understood.</p><p><strong>Case summary: </strong>We describe a case of an 86-year-old female with a history of AF and previous pulmonary vein isolation presenting with symptoms of acutely decompensated heart failure and recurrence of atrial flutter. Her echocardiography demonstrated non-dilated left ventricle with a normal ejection fraction, left atrial (LA) dilatation, severe FMR, and tricuspid regurgitation (TR). Due to failed electrical cardioversion and amiodarone intolerance, a successful catheter ablation of a LA flutter was performed. Electro-anatomical mapping revealed extensive LA low-voltage areas. During the follow-up of 18 months, the patient remained in sinus rhythm, and the FMR improved to MR II (effective regurgitant orifice area of 9 mm<sup>2</sup> and regurgitant volume of 18 mL); no improvement of the TR occurred.</p><p><strong>Discussion: </strong>Catheter ablation can restore sinus rhythm, decrease LA volume, and improve the severity of atrial FMR. Reverse LA electrical remodelling plays a minor role in the amelioration of MR. Lack of improvement of the TR suggests a different mechanism of TR.</p>","PeriodicalId":11910,"journal":{"name":"European Heart Journal: Case Reports","volume":"9 8","pages":"ytaf397"},"PeriodicalIF":0.8000,"publicationDate":"2025-08-13","publicationTypes":"Journal Article","fieldsOfStudy":null,"isOpenAccess":false,"openAccessPdf":"https://www.ncbi.nlm.nih.gov/pmc/articles/PMC12396105/pdf/","citationCount":"0","resultStr":"{\"title\":\"Role of atrial fibrillation ablation in the management of atrial mitral and atrial tricuspid regurgitation: a case report.\",\"authors\":\"Borislav Dinov, Samuel Sossalla, Nikolaos Tsianakas, Kerstin Piayda\",\"doi\":\"10.1093/ehjcr/ytaf397\",\"DOIUrl\":null,\"url\":null,\"abstract\":\"<p><strong>Background: </strong>Atrial fibrillation (AF) and functional mitral regurgitation (FMR) frequently coexist. Surgical treatment or transcatheter edge-to-edge repair is the standard of care for severe FMR. In patients with atrial FMR (aFMR), atrial fibrillation is an important precipitating factor. Since catheter ablation (CA) is a safe and effective treatment of AF, it has been suggested that it may decrease the severity of aFMR. However, data are scarce and the mechanisms of aFMR improvement are not completely understood.</p><p><strong>Case summary: </strong>We describe a case of an 86-year-old female with a history of AF and previous pulmonary vein isolation presenting with symptoms of acutely decompensated heart failure and recurrence of atrial flutter. Her echocardiography demonstrated non-dilated left ventricle with a normal ejection fraction, left atrial (LA) dilatation, severe FMR, and tricuspid regurgitation (TR). Due to failed electrical cardioversion and amiodarone intolerance, a successful catheter ablation of a LA flutter was performed. Electro-anatomical mapping revealed extensive LA low-voltage areas. During the follow-up of 18 months, the patient remained in sinus rhythm, and the FMR improved to MR II (effective regurgitant orifice area of 9 mm<sup>2</sup> and regurgitant volume of 18 mL); no improvement of the TR occurred.</p><p><strong>Discussion: </strong>Catheter ablation can restore sinus rhythm, decrease LA volume, and improve the severity of atrial FMR. Reverse LA electrical remodelling plays a minor role in the amelioration of MR. Lack of improvement of the TR suggests a different mechanism of TR.</p>\",\"PeriodicalId\":11910,\"journal\":{\"name\":\"European Heart Journal: Case Reports\",\"volume\":\"9 8\",\"pages\":\"ytaf397\"},\"PeriodicalIF\":0.8000,\"publicationDate\":\"2025-08-13\",\"publicationTypes\":\"Journal Article\",\"fieldsOfStudy\":null,\"isOpenAccess\":false,\"openAccessPdf\":\"https://www.ncbi.nlm.nih.gov/pmc/articles/PMC12396105/pdf/\",\"citationCount\":\"0\",\"resultStr\":null,\"platform\":\"Semanticscholar\",\"paperid\":null,\"PeriodicalName\":\"European Heart Journal: Case Reports\",\"FirstCategoryId\":\"1085\",\"ListUrlMain\":\"https://doi.org/10.1093/ehjcr/ytaf397\",\"RegionNum\":0,\"RegionCategory\":null,\"ArticlePicture\":[],\"TitleCN\":null,\"AbstractTextCN\":null,\"PMCID\":null,\"EPubDate\":\"2025/8/1 0:00:00\",\"PubModel\":\"eCollection\",\"JCR\":\"Q4\",\"JCRName\":\"CARDIAC & CARDIOVASCULAR SYSTEMS\",\"Score\":null,\"Total\":0}","platform":"Semanticscholar","paperid":null,"PeriodicalName":"European Heart Journal: Case Reports","FirstCategoryId":"1085","ListUrlMain":"https://doi.org/10.1093/ehjcr/ytaf397","RegionNum":0,"RegionCategory":null,"ArticlePicture":[],"TitleCN":null,"AbstractTextCN":null,"PMCID":null,"EPubDate":"2025/8/1 0:00:00","PubModel":"eCollection","JCR":"Q4","JCRName":"CARDIAC & CARDIOVASCULAR SYSTEMS","Score":null,"Total":0}
引用次数: 0

摘要

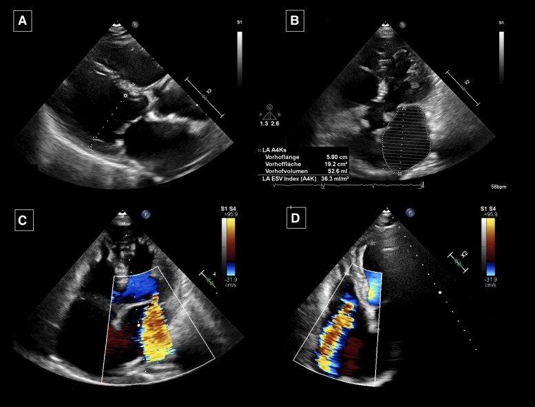
背景:心房颤动(AF)和功能性二尖瓣反流(FMR)经常共存。手术治疗或经导管边缘到边缘修复是严重FMR的标准治疗方法。房颤是心房功能磁共振(aFMR)患者的重要诱发因素。由于导管消融(CA)是一种安全有效的AF治疗方法,因此有人认为它可以降低aFMR的严重程度。然而,由于数据匮乏,aFMR改善的机制尚未完全了解。病例总结:我们描述了一个86岁的女性,有房颤史和以前的肺静脉隔离,表现为急性失代偿性心力衰竭和心房扑动复发的症状。超声心动图显示左心室未扩张,射血分数正常,左房(LA)扩张,FMR严重,三尖瓣反流(TR)。由于电转复失败和胺碘酮不耐受,成功的导管消融LA扑动被执行。电解剖图显示广泛的LA低压区。随访18个月,患者保持窦性心律,FMR改善至MR II(有效反流口面积9 mm2,反流容积18 mL);TR没有改善。讨论:导管消融可恢复窦性心律,减少房颤容积,改善房颤严重程度。反向LA电重构对mr的改善作用较小,但对TR的改善不明显,表明TR的机制不同。
本文章由计算机程序翻译,如有差异,请以英文原文为准。

Role of atrial fibrillation ablation in the management of atrial mitral and atrial tricuspid regurgitation: a case report.

Role of atrial fibrillation ablation in the management of atrial mitral and atrial tricuspid regurgitation: a case report.

Role of atrial fibrillation ablation in the management of atrial mitral and atrial tricuspid regurgitation: a case report.

Role of atrial fibrillation ablation in the management of atrial mitral and atrial tricuspid regurgitation: a case report.

Background: Atrial fibrillation (AF) and functional mitral regurgitation (FMR) frequently coexist. Surgical treatment or transcatheter edge-to-edge repair is the standard of care for severe FMR. In patients with atrial FMR (aFMR), atrial fibrillation is an important precipitating factor. Since catheter ablation (CA) is a safe and effective treatment of AF, it has been suggested that it may decrease the severity of aFMR. However, data are scarce and the mechanisms of aFMR improvement are not completely understood.

Case summary: We describe a case of an 86-year-old female with a history of AF and previous pulmonary vein isolation presenting with symptoms of acutely decompensated heart failure and recurrence of atrial flutter. Her echocardiography demonstrated non-dilated left ventricle with a normal ejection fraction, left atrial (LA) dilatation, severe FMR, and tricuspid regurgitation (TR). Due to failed electrical cardioversion and amiodarone intolerance, a successful catheter ablation of a LA flutter was performed. Electro-anatomical mapping revealed extensive LA low-voltage areas. During the follow-up of 18 months, the patient remained in sinus rhythm, and the FMR improved to MR II (effective regurgitant orifice area of 9 mm2 and regurgitant volume of 18 mL); no improvement of the TR occurred.

Discussion: Catheter ablation can restore sinus rhythm, decrease LA volume, and improve the severity of atrial FMR. Reverse LA electrical remodelling plays a minor role in the amelioration of MR. Lack of improvement of the TR suggests a different mechanism of TR.

求助全文
通过发布文献求助,成功后即可免费获取论文全文。 去求助
来源期刊
European Heart Journal: Case Reports
European Heart Journal: Case Reports Medicine-Cardiology and Cardiovascular Medicine
CiteScore
1.30
自引率
10.00%
发文量
451
审稿时长
14 weeks
×
引用
GB/T 7714-2015
复制
MLA
复制
APA
复制
导出至
BibTeX EndNote RefMan NoteFirst NoteExpress
×
提示
您的信息不完整,为了账户安全,请先补充。
现在去补充
×
提示
您因"违规操作"
具体请查看互助需知
我知道了
×
提示
确定
请完成安全验证×
copy
已复制链接
快去分享给好友吧!
我知道了
右上角分享
点击右上角分享
0
联系我们:info@booksci.cn Book学术提供免费学术资源搜索服务,方便国内外学者检索中英文文献。致力于提供最便捷和优质的服务体验。 Copyright © 2023 布克学术 All rights reserved.
京ICP备2023020795号-1
ghs 京公网安备 11010802042870号
Book学术文献互助
Book学术文献互助群
群 号:604180095
Book学术官方微信