心脏穿透伤保留三枚金属钉的保守非手术治疗1例。

IF 0.8 Q4 CARDIAC & CARDIOVASCULAR SYSTEMS
European Heart Journal: Case Reports Pub Date : 2025-08-31 eCollection Date: 2025-09-01 DOI:10.1093/ehjcr/ytaf380
Ramtin Khanipour, Saro Mazmanian, Andrew Jung, Ali Dahhan
{"title":"心脏穿透伤保留三枚金属钉的保守非手术治疗1例。","authors":"Ramtin Khanipour, Saro Mazmanian, Andrew Jung, Ali Dahhan","doi":"10.1093/ehjcr/ytaf380","DOIUrl":null,"url":null,"abstract":"<p><strong>Background: </strong>Traumatic penetrating cardiac injuries are usually immediately fatal. The management approach (surgical vs. conservative) in surviving patients can be challenging. A conservative approach is appropriate in selective cases; however, long-term complications should be considered.</p><p><strong>Case summary: </strong>A frail 83-year-old male who had undergone coronary artery bypass grafting surgery 20 years ago presented with encephalopathy. He had persistent bacteraemia. Chest computed tomography revealed three metal nails penetrating the anterior thoracic wall through the myocardium. Later, we learned that he had attempted suicide 2 years ago by shooting himself in the chest using a nail gun. Conservative non-surgical approach was pursued at that time given his multiple comorbidities. We adopted a conservative approach again. He survived for additional 6 months on chronic suppressive antimicrobial therapy but ultimately passed away from pneumonia.</p><p><strong>Discussion: </strong>The favourable outcome in this patient underscores the role of a conservative approach in selective cases. Retained foreign bodies pose a risk of infective endocarditis; therefore, empirical chronic antimicrobial therapy and tetanus vaccination should be considered.</p>","PeriodicalId":11910,"journal":{"name":"European Heart Journal: Case Reports","volume":"9 9","pages":"ytaf380"},"PeriodicalIF":0.8000,"publicationDate":"2025-08-31","publicationTypes":"Journal Article","fieldsOfStudy":null,"isOpenAccess":false,"openAccessPdf":"https://www.ncbi.nlm.nih.gov/pmc/articles/PMC12398694/pdf/","citationCount":"0","resultStr":"{\"title\":\"Conservative non-surgical management of penetrating cardiac injury with three retained metal nails: a case report.\",\"authors\":\"Ramtin Khanipour, Saro Mazmanian, Andrew Jung, Ali Dahhan\",\"doi\":\"10.1093/ehjcr/ytaf380\",\"DOIUrl\":null,\"url\":null,\"abstract\":\"<p><strong>Background: </strong>Traumatic penetrating cardiac injuries are usually immediately fatal. The management approach (surgical vs. conservative) in surviving patients can be challenging. A conservative approach is appropriate in selective cases; however, long-term complications should be considered.</p><p><strong>Case summary: </strong>A frail 83-year-old male who had undergone coronary artery bypass grafting surgery 20 years ago presented with encephalopathy. He had persistent bacteraemia. Chest computed tomography revealed three metal nails penetrating the anterior thoracic wall through the myocardium. Later, we learned that he had attempted suicide 2 years ago by shooting himself in the chest using a nail gun. Conservative non-surgical approach was pursued at that time given his multiple comorbidities. We adopted a conservative approach again. He survived for additional 6 months on chronic suppressive antimicrobial therapy but ultimately passed away from pneumonia.</p><p><strong>Discussion: </strong>The favourable outcome in this patient underscores the role of a conservative approach in selective cases. Retained foreign bodies pose a risk of infective endocarditis; therefore, empirical chronic antimicrobial therapy and tetanus vaccination should be considered.</p>\",\"PeriodicalId\":11910,\"journal\":{\"name\":\"European Heart Journal: Case Reports\",\"volume\":\"9 9\",\"pages\":\"ytaf380\"},\"PeriodicalIF\":0.8000,\"publicationDate\":\"2025-08-31\",\"publicationTypes\":\"Journal Article\",\"fieldsOfStudy\":null,\"isOpenAccess\":false,\"openAccessPdf\":\"https://www.ncbi.nlm.nih.gov/pmc/articles/PMC12398694/pdf/\",\"citationCount\":\"0\",\"resultStr\":null,\"platform\":\"Semanticscholar\",\"paperid\":null,\"PeriodicalName\":\"European Heart Journal: Case Reports\",\"FirstCategoryId\":\"1085\",\"ListUrlMain\":\"https://doi.org/10.1093/ehjcr/ytaf380\",\"RegionNum\":0,\"RegionCategory\":null,\"ArticlePicture\":[],\"TitleCN\":null,\"AbstractTextCN\":null,\"PMCID\":null,\"EPubDate\":\"2025/9/1 0:00:00\",\"PubModel\":\"eCollection\",\"JCR\":\"Q4\",\"JCRName\":\"CARDIAC & CARDIOVASCULAR SYSTEMS\",\"Score\":null,\"Total\":0}","platform":"Semanticscholar","paperid":null,"PeriodicalName":"European Heart Journal: Case Reports","FirstCategoryId":"1085","ListUrlMain":"https://doi.org/10.1093/ehjcr/ytaf380","RegionNum":0,"RegionCategory":null,"ArticlePicture":[],"TitleCN":null,"AbstractTextCN":null,"PMCID":null,"EPubDate":"2025/9/1 0:00:00","PubModel":"eCollection","JCR":"Q4","JCRName":"CARDIAC & CARDIOVASCULAR SYSTEMS","Score":null,"Total":0}
引用次数: 0

摘要

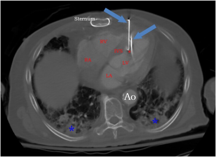
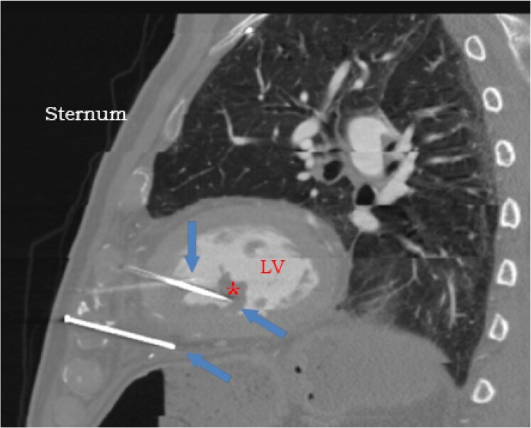
背景:创伤性穿透性心脏损伤通常是立即致命的。存活患者的治疗方法(手术还是保守)可能具有挑战性。在有选择的情况下,保守的方法是合适的;然而,应考虑长期并发症。病例总结:一位体弱多病的83岁男性,20年前做过冠状动脉搭桥术,现表现为脑病。他患有持续性菌血症。胸部计算机断层扫描显示三枚金属钉穿过心肌穿透胸壁。后来,我们得知他两年前曾试图自杀,用射钉枪朝自己的胸部开枪。鉴于他的多重合并症,当时采取了保守的非手术方法。我们又采取了保守的方法。他在慢性抑制抗菌药物治疗下又活了6个月,但最终死于肺炎。讨论:该患者的良好结果强调了保守方法在选择性病例中的作用。残留的异物有感染性心内膜炎的风险;因此,应考虑经验性慢性抗菌治疗和破伤风疫苗接种。
本文章由计算机程序翻译,如有差异,请以英文原文为准。

Conservative non-surgical management of penetrating cardiac injury with three retained metal nails: a case report.

Conservative non-surgical management of penetrating cardiac injury with three retained metal nails: a case report.

Conservative non-surgical management of penetrating cardiac injury with three retained metal nails: a case report.

Conservative non-surgical management of penetrating cardiac injury with three retained metal nails: a case report.

Background: Traumatic penetrating cardiac injuries are usually immediately fatal. The management approach (surgical vs. conservative) in surviving patients can be challenging. A conservative approach is appropriate in selective cases; however, long-term complications should be considered.

Case summary: A frail 83-year-old male who had undergone coronary artery bypass grafting surgery 20 years ago presented with encephalopathy. He had persistent bacteraemia. Chest computed tomography revealed three metal nails penetrating the anterior thoracic wall through the myocardium. Later, we learned that he had attempted suicide 2 years ago by shooting himself in the chest using a nail gun. Conservative non-surgical approach was pursued at that time given his multiple comorbidities. We adopted a conservative approach again. He survived for additional 6 months on chronic suppressive antimicrobial therapy but ultimately passed away from pneumonia.

Discussion: The favourable outcome in this patient underscores the role of a conservative approach in selective cases. Retained foreign bodies pose a risk of infective endocarditis; therefore, empirical chronic antimicrobial therapy and tetanus vaccination should be considered.

求助全文
通过发布文献求助,成功后即可免费获取论文全文。 去求助
来源期刊
European Heart Journal: Case Reports
European Heart Journal: Case Reports Medicine-Cardiology and Cardiovascular Medicine
CiteScore
1.30
自引率
10.00%
发文量
451
审稿时长
14 weeks
×
引用
GB/T 7714-2015
复制
MLA
复制
APA
复制
导出至
BibTeX EndNote RefMan NoteFirst NoteExpress
×
提示
您的信息不完整,为了账户安全,请先补充。
现在去补充
×
提示
您因"违规操作"
具体请查看互助需知
我知道了
×
提示
确定
请完成安全验证×
copy
已复制链接
快去分享给好友吧!
我知道了
右上角分享
点击右上角分享
0
联系我们:info@booksci.cn Book学术提供免费学术资源搜索服务,方便国内外学者检索中英文文献。致力于提供最便捷和优质的服务体验。 Copyright © 2023 布克学术 All rights reserved.
京ICP备2023020795号-1
ghs 京公网安备 11010802042870号
Book学术文献互助
Book学术文献互助群
群 号:604180095
Book学术官方微信