顽固性心肌炎的重新诊断1例。

IF 0.8 Q4 CARDIAC & CARDIOVASCULAR SYSTEMS
European Heart Journal: Case Reports Pub Date : 2025-08-31 eCollection Date: 2025-09-01 DOI:10.1093/ehjcr/ytaf379
Bradley Woolfenden, Christian Cawley, Deirdre Ward
{"title":"顽固性心肌炎的重新诊断1例。","authors":"Bradley Woolfenden, Christian Cawley, Deirdre Ward","doi":"10.1093/ehjcr/ytaf379","DOIUrl":null,"url":null,"abstract":"<p><strong>Background: </strong>Myocarditis typically presents with chest pain, a raised troponin and is associated with late gadolinium enhancement (LGE) on cardiac magnetic resonance imaging (CMR). However, non-resolution of symptoms despite treatment should raise cause for concern that an alternative diagnosis may be present.</p><p><strong>Case summary: </strong>A 17-year-old gentleman with a background history of developmental delay, gastrointestinal motility issues, retractile testes, and patellar dislocation presented to our emergency department with chest pain. Investigations revealed static mildly elevated troponin T. An electrocardiogram and transthoracic echocardiogram were both unremarkable. CMR revealed sub-endocardial and mid-wall LGE. He was treated as myocarditis with steroids and colchicine, however symptoms persisted and repeat CMR reported progressive LGE. The diagnosis of myocarditis was reconsidered given an atypical presentation and taking into account his past medical history, and so a whole gene exome was performed. This revealed a dual diagnosis of Klinefelter's Syndrome and a mutation in the dystrophin gene located on the X chromosome.</p><p><strong>Discussion: </strong>In this case, an interplay between Klinefelter's Syndrome and Muscular Dystrophy is demonstrated, potentially protecting our patient against a more aggressive Duchenne phenotype of muscular dystrophy. Upon non-resolution of symptoms, re-evaluating his presentation, investigations and taking into account his background multi-system medical history lead us to performing the genetic testing which revealed the correct diagnosis.</p>","PeriodicalId":11910,"journal":{"name":"European Heart Journal: Case Reports","volume":"9 9","pages":"ytaf379"},"PeriodicalIF":0.8000,"publicationDate":"2025-08-31","publicationTypes":"Journal Article","fieldsOfStudy":null,"isOpenAccess":false,"openAccessPdf":"https://www.ncbi.nlm.nih.gov/pmc/articles/PMC12398724/pdf/","citationCount":"0","resultStr":"{\"title\":\"A reconsidered diagnosis in an unresolving myocarditis-a case report.\",\"authors\":\"Bradley Woolfenden, Christian Cawley, Deirdre Ward\",\"doi\":\"10.1093/ehjcr/ytaf379\",\"DOIUrl\":null,\"url\":null,\"abstract\":\"<p><strong>Background: </strong>Myocarditis typically presents with chest pain, a raised troponin and is associated with late gadolinium enhancement (LGE) on cardiac magnetic resonance imaging (CMR). However, non-resolution of symptoms despite treatment should raise cause for concern that an alternative diagnosis may be present.</p><p><strong>Case summary: </strong>A 17-year-old gentleman with a background history of developmental delay, gastrointestinal motility issues, retractile testes, and patellar dislocation presented to our emergency department with chest pain. Investigations revealed static mildly elevated troponin T. An electrocardiogram and transthoracic echocardiogram were both unremarkable. CMR revealed sub-endocardial and mid-wall LGE. He was treated as myocarditis with steroids and colchicine, however symptoms persisted and repeat CMR reported progressive LGE. The diagnosis of myocarditis was reconsidered given an atypical presentation and taking into account his past medical history, and so a whole gene exome was performed. This revealed a dual diagnosis of Klinefelter's Syndrome and a mutation in the dystrophin gene located on the X chromosome.</p><p><strong>Discussion: </strong>In this case, an interplay between Klinefelter's Syndrome and Muscular Dystrophy is demonstrated, potentially protecting our patient against a more aggressive Duchenne phenotype of muscular dystrophy. Upon non-resolution of symptoms, re-evaluating his presentation, investigations and taking into account his background multi-system medical history lead us to performing the genetic testing which revealed the correct diagnosis.</p>\",\"PeriodicalId\":11910,\"journal\":{\"name\":\"European Heart Journal: Case Reports\",\"volume\":\"9 9\",\"pages\":\"ytaf379\"},\"PeriodicalIF\":0.8000,\"publicationDate\":\"2025-08-31\",\"publicationTypes\":\"Journal Article\",\"fieldsOfStudy\":null,\"isOpenAccess\":false,\"openAccessPdf\":\"https://www.ncbi.nlm.nih.gov/pmc/articles/PMC12398724/pdf/\",\"citationCount\":\"0\",\"resultStr\":null,\"platform\":\"Semanticscholar\",\"paperid\":null,\"PeriodicalName\":\"European Heart Journal: Case Reports\",\"FirstCategoryId\":\"1085\",\"ListUrlMain\":\"https://doi.org/10.1093/ehjcr/ytaf379\",\"RegionNum\":0,\"RegionCategory\":null,\"ArticlePicture\":[],\"TitleCN\":null,\"AbstractTextCN\":null,\"PMCID\":null,\"EPubDate\":\"2025/9/1 0:00:00\",\"PubModel\":\"eCollection\",\"JCR\":\"Q4\",\"JCRName\":\"CARDIAC & CARDIOVASCULAR SYSTEMS\",\"Score\":null,\"Total\":0}","platform":"Semanticscholar","paperid":null,"PeriodicalName":"European Heart Journal: Case Reports","FirstCategoryId":"1085","ListUrlMain":"https://doi.org/10.1093/ehjcr/ytaf379","RegionNum":0,"RegionCategory":null,"ArticlePicture":[],"TitleCN":null,"AbstractTextCN":null,"PMCID":null,"EPubDate":"2025/9/1 0:00:00","PubModel":"eCollection","JCR":"Q4","JCRName":"CARDIAC & CARDIOVASCULAR SYSTEMS","Score":null,"Total":0}
引用次数: 0

摘要

背景:心肌炎通常表现为胸痛、肌钙蛋白升高,并伴有心脏磁共振成像(CMR)晚期钆增强(LGE)。然而,尽管治疗,症状仍未解决,应引起关注,可能存在替代诊断。病例总结:一名17岁的男性,有发育迟缓、胃肠运动问题、睾丸收缩和髌骨脱位的病史,因胸痛来到我们的急诊科。调查显示肌钙蛋白t静态轻度升高,心电图和经胸超声心动图均无明显变化。CMR显示心内膜下和中壁LGE。他作为心肌炎接受类固醇和秋水秋碱治疗,但症状持续存在,重复CMR报告进行性LGE。鉴于不典型的表现和考虑到他过去的病史,心肌炎的诊断被重新考虑,因此进行了一个完整的基因外显子组。这揭示了克氏综合征和位于X染色体上的肌营养不良蛋白基因突变的双重诊断。讨论:在这种情况下,克氏综合征和肌肉萎缩症之间的相互作用被证明,潜在地保护我们的患者免受更具侵略性的肌肉萎缩症杜氏表型的影响。在症状没有解决的情况下,重新评估他的表现,调查并考虑到他的背景多系统病史,我们进行了基因检测,显示了正确的诊断。
本文章由计算机程序翻译,如有差异,请以英文原文为准。

A reconsidered diagnosis in an unresolving myocarditis-a case report.

A reconsidered diagnosis in an unresolving myocarditis-a case report.

A reconsidered diagnosis in an unresolving myocarditis-a case report.

A reconsidered diagnosis in an unresolving myocarditis-a case report.

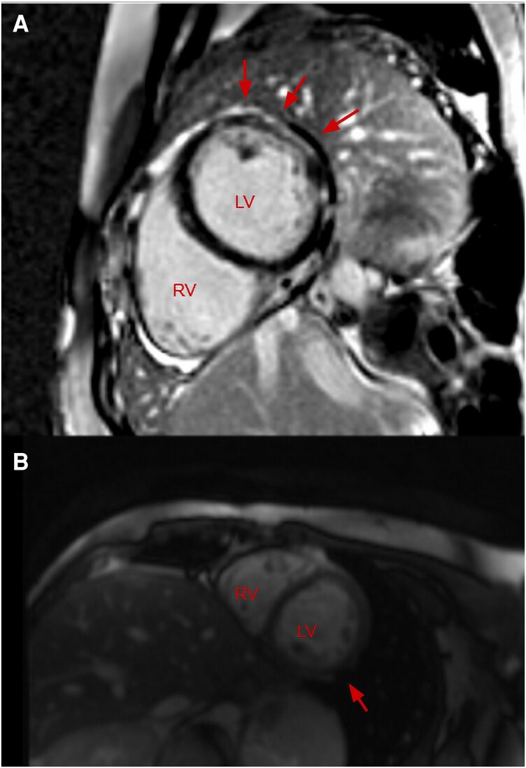
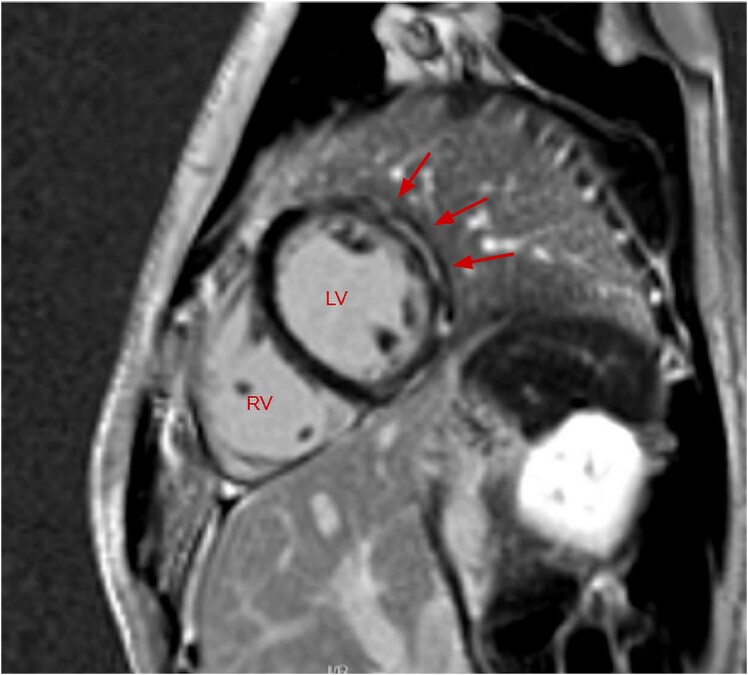
Background: Myocarditis typically presents with chest pain, a raised troponin and is associated with late gadolinium enhancement (LGE) on cardiac magnetic resonance imaging (CMR). However, non-resolution of symptoms despite treatment should raise cause for concern that an alternative diagnosis may be present.

Case summary: A 17-year-old gentleman with a background history of developmental delay, gastrointestinal motility issues, retractile testes, and patellar dislocation presented to our emergency department with chest pain. Investigations revealed static mildly elevated troponin T. An electrocardiogram and transthoracic echocardiogram were both unremarkable. CMR revealed sub-endocardial and mid-wall LGE. He was treated as myocarditis with steroids and colchicine, however symptoms persisted and repeat CMR reported progressive LGE. The diagnosis of myocarditis was reconsidered given an atypical presentation and taking into account his past medical history, and so a whole gene exome was performed. This revealed a dual diagnosis of Klinefelter's Syndrome and a mutation in the dystrophin gene located on the X chromosome.

Discussion: In this case, an interplay between Klinefelter's Syndrome and Muscular Dystrophy is demonstrated, potentially protecting our patient against a more aggressive Duchenne phenotype of muscular dystrophy. Upon non-resolution of symptoms, re-evaluating his presentation, investigations and taking into account his background multi-system medical history lead us to performing the genetic testing which revealed the correct diagnosis.

求助全文
通过发布文献求助,成功后即可免费获取论文全文。 去求助
来源期刊
European Heart Journal: Case Reports
European Heart Journal: Case Reports Medicine-Cardiology and Cardiovascular Medicine
CiteScore
1.30
自引率
10.00%
发文量
451
审稿时长
14 weeks
×
引用
GB/T 7714-2015
复制
MLA
复制
APA
复制
导出至
BibTeX EndNote RefMan NoteFirst NoteExpress
×
提示
您的信息不完整,为了账户安全,请先补充。
现在去补充
×
提示
您因"违规操作"
具体请查看互助需知
我知道了
×
提示
确定
请完成安全验证×
copy
已复制链接
快去分享给好友吧!
我知道了
右上角分享
点击右上角分享
0
联系我们:info@booksci.cn Book学术提供免费学术资源搜索服务,方便国内外学者检索中英文文献。致力于提供最便捷和优质的服务体验。 Copyright © 2023 布克学术 All rights reserved.
京ICP备2023020795号-1
ghs 京公网安备 11010802042870号
Book学术文献互助
Book学术文献互助群
群 号:604180095
Book学术官方微信