主动脉瓣置换术后孤立性主动脉瓣al -淀粉样变1例报告。

IF 0.8 Q4 CARDIAC & CARDIOVASCULAR SYSTEMS
European Heart Journal: Case Reports Pub Date : 2025-08-08 eCollection Date: 2025-09-01 DOI:10.1093/ehjcr/ytaf393
Rajin Choudhury, Victor H Jimenez-Zepeda, Etienne Mahe, Nowell M Fine
{"title":"主动脉瓣置换术后孤立性主动脉瓣al -淀粉样变1例报告。","authors":"Rajin Choudhury, Victor H Jimenez-Zepeda, Etienne Mahe, Nowell M Fine","doi":"10.1093/ehjcr/ytaf393","DOIUrl":null,"url":null,"abstract":"<p><strong>Background: </strong>Light chain (AL)-amyloidosis is a haematologic malignancy where cardiac involvement confers a worse prognosis. There is a recognized association between aortic stenosis (AS) and transthyretin amyloidosis (ATTR) cardiomyopathy. However, there is no such reported association with AL amyloidosis.</p><p><strong>Case summary: </strong>We present a case of degenerative AS where the pathology analysis post-surgical replacement demonstrated amyloid deposits subsequently identified as AL subtype by mass spectrometry. Subsequent investigations demonstrated no myocardial or systemic involvement. Following multidisciplinary discussion, cardiac biopsy and chemotherapy were deferred given the isolated nature of aortic valve involvement and clinical stability.</p><p><strong>Discussion: </strong>Incidental detection of aortic valve AL-amyloidosis in this case demonstrates that such deposits cannot be assumed to be ATTR, and further work-up and amyloid typing is necessary.</p>","PeriodicalId":11910,"journal":{"name":"European Heart Journal: Case Reports","volume":"9 9","pages":"ytaf393"},"PeriodicalIF":0.8000,"publicationDate":"2025-08-08","publicationTypes":"Journal Article","fieldsOfStudy":null,"isOpenAccess":false,"openAccessPdf":"https://www.ncbi.nlm.nih.gov/pmc/articles/PMC12397050/pdf/","citationCount":"0","resultStr":"{\"title\":\"Case report of isolated aortic valve AL-amyloidosis following aortic valve replacement.\",\"authors\":\"Rajin Choudhury, Victor H Jimenez-Zepeda, Etienne Mahe, Nowell M Fine\",\"doi\":\"10.1093/ehjcr/ytaf393\",\"DOIUrl\":null,\"url\":null,\"abstract\":\"<p><strong>Background: </strong>Light chain (AL)-amyloidosis is a haematologic malignancy where cardiac involvement confers a worse prognosis. There is a recognized association between aortic stenosis (AS) and transthyretin amyloidosis (ATTR) cardiomyopathy. However, there is no such reported association with AL amyloidosis.</p><p><strong>Case summary: </strong>We present a case of degenerative AS where the pathology analysis post-surgical replacement demonstrated amyloid deposits subsequently identified as AL subtype by mass spectrometry. Subsequent investigations demonstrated no myocardial or systemic involvement. Following multidisciplinary discussion, cardiac biopsy and chemotherapy were deferred given the isolated nature of aortic valve involvement and clinical stability.</p><p><strong>Discussion: </strong>Incidental detection of aortic valve AL-amyloidosis in this case demonstrates that such deposits cannot be assumed to be ATTR, and further work-up and amyloid typing is necessary.</p>\",\"PeriodicalId\":11910,\"journal\":{\"name\":\"European Heart Journal: Case Reports\",\"volume\":\"9 9\",\"pages\":\"ytaf393\"},\"PeriodicalIF\":0.8000,\"publicationDate\":\"2025-08-08\",\"publicationTypes\":\"Journal Article\",\"fieldsOfStudy\":null,\"isOpenAccess\":false,\"openAccessPdf\":\"https://www.ncbi.nlm.nih.gov/pmc/articles/PMC12397050/pdf/\",\"citationCount\":\"0\",\"resultStr\":null,\"platform\":\"Semanticscholar\",\"paperid\":null,\"PeriodicalName\":\"European Heart Journal: Case Reports\",\"FirstCategoryId\":\"1085\",\"ListUrlMain\":\"https://doi.org/10.1093/ehjcr/ytaf393\",\"RegionNum\":0,\"RegionCategory\":null,\"ArticlePicture\":[],\"TitleCN\":null,\"AbstractTextCN\":null,\"PMCID\":null,\"EPubDate\":\"2025/9/1 0:00:00\",\"PubModel\":\"eCollection\",\"JCR\":\"Q4\",\"JCRName\":\"CARDIAC & CARDIOVASCULAR SYSTEMS\",\"Score\":null,\"Total\":0}","platform":"Semanticscholar","paperid":null,"PeriodicalName":"European Heart Journal: Case Reports","FirstCategoryId":"1085","ListUrlMain":"https://doi.org/10.1093/ehjcr/ytaf393","RegionNum":0,"RegionCategory":null,"ArticlePicture":[],"TitleCN":null,"AbstractTextCN":null,"PMCID":null,"EPubDate":"2025/9/1 0:00:00","PubModel":"eCollection","JCR":"Q4","JCRName":"CARDIAC & CARDIOVASCULAR SYSTEMS","Score":null,"Total":0}
引用次数: 0

摘要

背景:轻链(AL)-淀粉样变是一种血液恶性肿瘤,累及心脏会导致较差的预后。主动脉瓣狭窄(AS)和甲状腺转蛋白淀粉样变(ATTR)心肌病之间有公认的联系。然而,没有这种与AL淀粉样变性相关的报道。病例总结:我们报告了一例退行性AS,手术后的病理分析显示淀粉样蛋白沉积,随后通过质谱鉴定为AL亚型。随后的调查显示没有心肌或全身受累。经过多学科讨论,考虑到主动脉瓣受累的孤立性和临床稳定性,心脏活检和化疗被推迟。讨论:本病例中偶然发现的主动脉瓣al -淀粉样变表明这种沉积物不能被认为是ATTR,需要进一步的检查和淀粉样样分型。
本文章由计算机程序翻译,如有差异,请以英文原文为准。

Case report of isolated aortic valve AL-amyloidosis following aortic valve replacement.

Case report of isolated aortic valve AL-amyloidosis following aortic valve replacement.

Case report of isolated aortic valve AL-amyloidosis following aortic valve replacement.

Case report of isolated aortic valve AL-amyloidosis following aortic valve replacement.

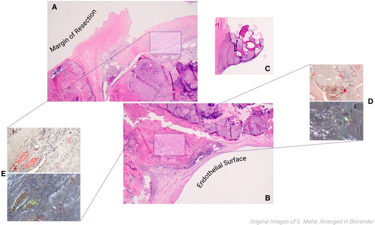
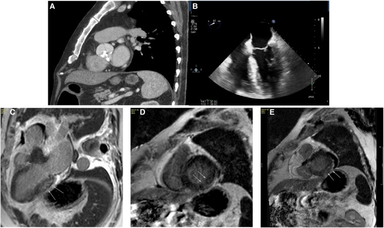
Background: Light chain (AL)-amyloidosis is a haematologic malignancy where cardiac involvement confers a worse prognosis. There is a recognized association between aortic stenosis (AS) and transthyretin amyloidosis (ATTR) cardiomyopathy. However, there is no such reported association with AL amyloidosis.

Case summary: We present a case of degenerative AS where the pathology analysis post-surgical replacement demonstrated amyloid deposits subsequently identified as AL subtype by mass spectrometry. Subsequent investigations demonstrated no myocardial or systemic involvement. Following multidisciplinary discussion, cardiac biopsy and chemotherapy were deferred given the isolated nature of aortic valve involvement and clinical stability.

Discussion: Incidental detection of aortic valve AL-amyloidosis in this case demonstrates that such deposits cannot be assumed to be ATTR, and further work-up and amyloid typing is necessary.

求助全文
通过发布文献求助,成功后即可免费获取论文全文。 去求助
来源期刊
European Heart Journal: Case Reports
European Heart Journal: Case Reports Medicine-Cardiology and Cardiovascular Medicine
CiteScore
1.30
自引率
10.00%
发文量
451
审稿时长
14 weeks
×
引用
GB/T 7714-2015
复制
MLA
复制
APA
复制
导出至
BibTeX EndNote RefMan NoteFirst NoteExpress
×
提示
您的信息不完整,为了账户安全,请先补充。
现在去补充
×
提示
您因"违规操作"
具体请查看互助需知
我知道了
×
提示
确定
请完成安全验证×
copy
已复制链接
快去分享给好友吧!
我知道了
右上角分享
点击右上角分享
0
联系我们:info@booksci.cn Book学术提供免费学术资源搜索服务,方便国内外学者检索中英文文献。致力于提供最便捷和优质的服务体验。 Copyright © 2023 布克学术 All rights reserved.
京ICP备2023020795号-1
ghs 京公网安备 11010802042870号
Book学术文献互助
Book学术文献互助群
群 号:604180095
Book学术官方微信