急性肺栓塞引起的院内心脏骤停:1例VA-ECMO患者导管定向取栓成功的病例报告

IF 0.8 Q4 CARDIAC & CARDIOVASCULAR SYSTEMS
European Heart Journal: Case Reports Pub Date : 2025-08-25 eCollection Date: 2025-08-01 DOI:10.1093/ehjcr/ytaf342
Merve Kural, Stephan Rosenkranz, Stephan Baldus, Alexander Christian Bunck, Tobias Tichelbäcker
{"title":"急性肺栓塞引起的院内心脏骤停:1例VA-ECMO患者导管定向取栓成功的病例报告","authors":"Merve Kural, Stephan Rosenkranz, Stephan Baldus, Alexander Christian Bunck, Tobias Tichelbäcker","doi":"10.1093/ehjcr/ytaf342","DOIUrl":null,"url":null,"abstract":"<p><strong>Background: </strong>First-line therapy for high-risk pulmonary embolism (PE) is systemic thrombolysis. Catheter-directed thrombectomy (CDT) poses as a secondary option, primarily in patients with contraindications for systemic thrombolysis. However, in patients with haemodynamic instability or cardiac arrest, CDT can worsen the haemodynamic situation making use of large thrombectomy catheters. The implementation of extracorporeal life support such as veno-arterial extracorporeal membrane oxygenation (VA-ECMO) can play a decisive role in making CDT possible. Herein, we present a case of CDT on a high-risk PE patient under VA-ECMO.</p><p><strong>Case summary: </strong>A 73-year-old White male was hospitalized in order to perform abdominal surgery. Afterwards, multiple complications led to recurring operations and a prolonged immobilization time. In the aftermath, the patient suffered an in-hospital cardiac arrest and was put on VA-ECMO. A computed tomography pulmonary angiography presented bilateral central PE. Due to contraindications for systemic thrombolysis, successful CDT using a FlowTriever catheter was performed, leading to a reduction of mean pulmonary arterial pressure. ECMO therapy could be terminated in the following days. The patient was eventually discharged without any signs of right heart strain in transthoracic echocardiogram, neurological sequelae or dyspnoea.</p><p><strong>Discussion: </strong>According to current ESC-guidelines, first-line therapy for high-risk PE is systemic thrombolysis, and CDT is a secondary option. In our case, CDT under VA-ECMO was feasible and led to a rapid improvement in haemodynamics, resulting in a long-term recovery. Thus, the definite significance of CDT has yet to be identified, especially concerning PE with refractory cardiac arrest and contraindications for systemic thrombolysis.</p>","PeriodicalId":11910,"journal":{"name":"European Heart Journal: Case Reports","volume":"9 8","pages":"ytaf342"},"PeriodicalIF":0.8000,"publicationDate":"2025-08-25","publicationTypes":"Journal Article","fieldsOfStudy":null,"isOpenAccess":false,"openAccessPdf":"https://www.ncbi.nlm.nih.gov/pmc/articles/PMC12377017/pdf/","citationCount":"0","resultStr":"{\"title\":\"In-hospital cardiac arrest due to acute pulmonary embolism: a case report of successful catheter-directed thrombectomy on a patient with VA-ECMO.\",\"authors\":\"Merve Kural, Stephan Rosenkranz, Stephan Baldus, Alexander Christian Bunck, Tobias Tichelbäcker\",\"doi\":\"10.1093/ehjcr/ytaf342\",\"DOIUrl\":null,\"url\":null,\"abstract\":\"<p><strong>Background: </strong>First-line therapy for high-risk pulmonary embolism (PE) is systemic thrombolysis. Catheter-directed thrombectomy (CDT) poses as a secondary option, primarily in patients with contraindications for systemic thrombolysis. However, in patients with haemodynamic instability or cardiac arrest, CDT can worsen the haemodynamic situation making use of large thrombectomy catheters. The implementation of extracorporeal life support such as veno-arterial extracorporeal membrane oxygenation (VA-ECMO) can play a decisive role in making CDT possible. Herein, we present a case of CDT on a high-risk PE patient under VA-ECMO.</p><p><strong>Case summary: </strong>A 73-year-old White male was hospitalized in order to perform abdominal surgery. Afterwards, multiple complications led to recurring operations and a prolonged immobilization time. In the aftermath, the patient suffered an in-hospital cardiac arrest and was put on VA-ECMO. A computed tomography pulmonary angiography presented bilateral central PE. Due to contraindications for systemic thrombolysis, successful CDT using a FlowTriever catheter was performed, leading to a reduction of mean pulmonary arterial pressure. ECMO therapy could be terminated in the following days. The patient was eventually discharged without any signs of right heart strain in transthoracic echocardiogram, neurological sequelae or dyspnoea.</p><p><strong>Discussion: </strong>According to current ESC-guidelines, first-line therapy for high-risk PE is systemic thrombolysis, and CDT is a secondary option. In our case, CDT under VA-ECMO was feasible and led to a rapid improvement in haemodynamics, resulting in a long-term recovery. Thus, the definite significance of CDT has yet to be identified, especially concerning PE with refractory cardiac arrest and contraindications for systemic thrombolysis.</p>\",\"PeriodicalId\":11910,\"journal\":{\"name\":\"European Heart Journal: Case Reports\",\"volume\":\"9 8\",\"pages\":\"ytaf342\"},\"PeriodicalIF\":0.8000,\"publicationDate\":\"2025-08-25\",\"publicationTypes\":\"Journal Article\",\"fieldsOfStudy\":null,\"isOpenAccess\":false,\"openAccessPdf\":\"https://www.ncbi.nlm.nih.gov/pmc/articles/PMC12377017/pdf/\",\"citationCount\":\"0\",\"resultStr\":null,\"platform\":\"Semanticscholar\",\"paperid\":null,\"PeriodicalName\":\"European Heart Journal: Case Reports\",\"FirstCategoryId\":\"1085\",\"ListUrlMain\":\"https://doi.org/10.1093/ehjcr/ytaf342\",\"RegionNum\":0,\"RegionCategory\":null,\"ArticlePicture\":[],\"TitleCN\":null,\"AbstractTextCN\":null,\"PMCID\":null,\"EPubDate\":\"2025/8/1 0:00:00\",\"PubModel\":\"eCollection\",\"JCR\":\"Q4\",\"JCRName\":\"CARDIAC & CARDIOVASCULAR SYSTEMS\",\"Score\":null,\"Total\":0}","platform":"Semanticscholar","paperid":null,"PeriodicalName":"European Heart Journal: Case Reports","FirstCategoryId":"1085","ListUrlMain":"https://doi.org/10.1093/ehjcr/ytaf342","RegionNum":0,"RegionCategory":null,"ArticlePicture":[],"TitleCN":null,"AbstractTextCN":null,"PMCID":null,"EPubDate":"2025/8/1 0:00:00","PubModel":"eCollection","JCR":"Q4","JCRName":"CARDIAC & CARDIOVASCULAR SYSTEMS","Score":null,"Total":0}
引用次数: 0

摘要

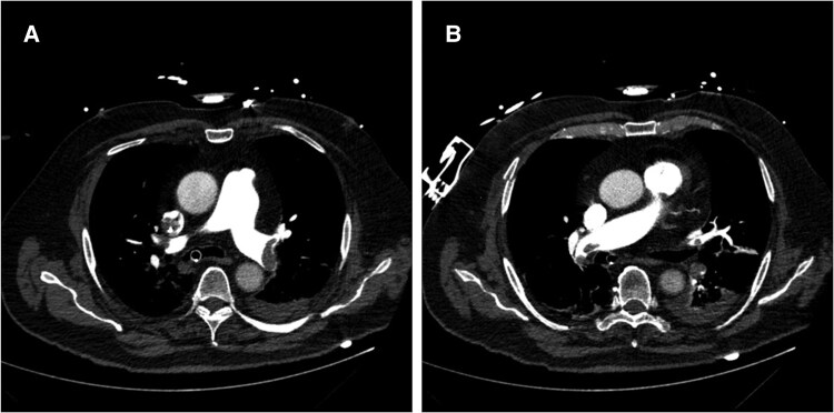
背景:高危肺栓塞(PE)的一线治疗是全身溶栓。导管定向取栓(CDT)是次要选择,主要用于有全身溶栓禁忌症的患者。然而,在血流动力学不稳定或心脏骤停的患者中,CDT使用大的取栓导管可使血流动力学情况恶化。体外生命支持的实施,如静脉-动脉体外膜氧合(VA-ECMO),在使CDT成为可能方面起着决定性的作用。在此,我们报告一例在VA-ECMO下的高危PE患者的CDT。病例总结:一名73岁白人男性因腹部手术住院。此后,多种并发症导致手术复发和固定时间延长。在此之后,患者在医院内心脏骤停,并进行了VA-ECMO。计算机断层肺血管造影显示双侧中央PE。由于全身性溶栓的禁忌症,使用FlowTriever导管进行了成功的CDT,导致平均肺动脉压降低。ECMO治疗可在随后几天终止。患者最终出院,经胸超声心动图无任何右心劳损、神经系统后遗症或呼吸困难的迹象。讨论:根据目前的esc指南,高危PE的一线治疗是全身性溶栓,CDT是次要选择。在我们的病例中,VA-ECMO下的CDT是可行的,并且导致血流动力学的快速改善,从而导致长期恢复。因此,CDT的确切意义尚未确定,特别是对于难治性心脏骤停和全身溶栓禁忌症的PE。
本文章由计算机程序翻译,如有差异,请以英文原文为准。

In-hospital cardiac arrest due to acute pulmonary embolism: a case report of successful catheter-directed thrombectomy on a patient with VA-ECMO.

In-hospital cardiac arrest due to acute pulmonary embolism: a case report of successful catheter-directed thrombectomy on a patient with VA-ECMO.

In-hospital cardiac arrest due to acute pulmonary embolism: a case report of successful catheter-directed thrombectomy on a patient with VA-ECMO.

In-hospital cardiac arrest due to acute pulmonary embolism: a case report of successful catheter-directed thrombectomy on a patient with VA-ECMO.

Background: First-line therapy for high-risk pulmonary embolism (PE) is systemic thrombolysis. Catheter-directed thrombectomy (CDT) poses as a secondary option, primarily in patients with contraindications for systemic thrombolysis. However, in patients with haemodynamic instability or cardiac arrest, CDT can worsen the haemodynamic situation making use of large thrombectomy catheters. The implementation of extracorporeal life support such as veno-arterial extracorporeal membrane oxygenation (VA-ECMO) can play a decisive role in making CDT possible. Herein, we present a case of CDT on a high-risk PE patient under VA-ECMO.

Case summary: A 73-year-old White male was hospitalized in order to perform abdominal surgery. Afterwards, multiple complications led to recurring operations and a prolonged immobilization time. In the aftermath, the patient suffered an in-hospital cardiac arrest and was put on VA-ECMO. A computed tomography pulmonary angiography presented bilateral central PE. Due to contraindications for systemic thrombolysis, successful CDT using a FlowTriever catheter was performed, leading to a reduction of mean pulmonary arterial pressure. ECMO therapy could be terminated in the following days. The patient was eventually discharged without any signs of right heart strain in transthoracic echocardiogram, neurological sequelae or dyspnoea.

Discussion: According to current ESC-guidelines, first-line therapy for high-risk PE is systemic thrombolysis, and CDT is a secondary option. In our case, CDT under VA-ECMO was feasible and led to a rapid improvement in haemodynamics, resulting in a long-term recovery. Thus, the definite significance of CDT has yet to be identified, especially concerning PE with refractory cardiac arrest and contraindications for systemic thrombolysis.

求助全文
通过发布文献求助,成功后即可免费获取论文全文。 去求助
来源期刊
European Heart Journal: Case Reports
European Heart Journal: Case Reports Medicine-Cardiology and Cardiovascular Medicine
CiteScore
1.30
自引率
10.00%
发文量
451
审稿时长
14 weeks
×
引用
GB/T 7714-2015
复制
MLA
复制
APA
复制
导出至
BibTeX EndNote RefMan NoteFirst NoteExpress
×
提示
您的信息不完整,为了账户安全,请先补充。
现在去补充
×
提示
您因"违规操作"
具体请查看互助需知
我知道了
×
提示
确定
请完成安全验证×
copy
已复制链接
快去分享给好友吧!
我知道了
右上角分享
点击右上角分享
0
联系我们:info@booksci.cn Book学术提供免费学术资源搜索服务,方便国内外学者检索中英文文献。致力于提供最便捷和优质的服务体验。 Copyright © 2023 布克学术 All rights reserved.
京ICP备2023020795号-1
ghs 京公网安备 11010802042870号
Book学术文献互助
Book学术文献互助群
群 号:604180095
Book学术官方微信