主动脉弓内动静脉瘘:应用三维模型进行手术计划一例报告。

IF 0.8 Q4 CARDIAC & CARDIOVASCULAR SYSTEMS
European Heart Journal: Case Reports Pub Date : 2025-07-30 eCollection Date: 2025-08-01 DOI:10.1093/ehjcr/ytaf362
Clara Isabel Perez, Lore Lakunza, Alberto Saenz, Roberto Voces, Ignacio Gallo
{"title":"主动脉弓内动静脉瘘:应用三维模型进行手术计划一例报告。","authors":"Clara Isabel Perez, Lore Lakunza, Alberto Saenz, Roberto Voces, Ignacio Gallo","doi":"10.1093/ehjcr/ytaf362","DOIUrl":null,"url":null,"abstract":"<p><strong>Background: </strong>Traumatic arteriovenous fistulas involving the thoracic aorta are rare. Their closure remains a challenge for the surgeon due to the vascular changes involved. We aim to highlight the benefits of 3D models and virtual three-dimensional reconstruction when used as a complementary tool in surgical planning.</p><p><strong>Case summary: </strong>We present the case of a 38-year-old male patient with a history trauma from a localized bombing, resulting in shrapnel impact to his thorax. He came for surgical treatment due to a diagnosis of arteriovenous fistula at the level of the aortic arch. For surgical planning, two 3D models (with FDM and PolyJet technology) were made to assess the anatomical relationship between the aorta, the left brachiocephalic vein, the fistulous tract and the sternum. The patient was successfully operated on.</p><p><strong>Discussion: </strong>Surgical repair of thoracic fistulas is highly complex, requiring a multi-disciplinary approach and advanced imaging for accurate diagnosis and planning. Procedures are often performed under cardiopulmonary bypass and hypothermia to enhance safety, especially in challenging scenarios. These fistulas frequently cause vascular overload and degenerative venous changes, increasing the risk of haemorrhage and complicating dissection. 3D technology significantly improves surgical planning by enabling accurate fistula localization, guiding sternotomy, simulating procedures, and mapping vascular anomalies. PolyJet models, in particular, provide superior anatomical insight. Thus, 3D modelling serves as a complementary tool that provides life-size, detailed anatomical information of the patient, facilitating better pre-operative surgical planning, and carrying the potential to reduce operative risks.</p>","PeriodicalId":11910,"journal":{"name":"European Heart Journal: Case Reports","volume":"9 8","pages":"ytaf362"},"PeriodicalIF":0.8000,"publicationDate":"2025-07-30","publicationTypes":"Journal Article","fieldsOfStudy":null,"isOpenAccess":false,"openAccessPdf":"https://www.ncbi.nlm.nih.gov/pmc/articles/PMC12368333/pdf/","citationCount":"0","resultStr":"{\"title\":\"Arteriovenous fistula in the aortic arch: a case report involving 3D models for surgical planning.\",\"authors\":\"Clara Isabel Perez, Lore Lakunza, Alberto Saenz, Roberto Voces, Ignacio Gallo\",\"doi\":\"10.1093/ehjcr/ytaf362\",\"DOIUrl\":null,\"url\":null,\"abstract\":\"<p><strong>Background: </strong>Traumatic arteriovenous fistulas involving the thoracic aorta are rare. Their closure remains a challenge for the surgeon due to the vascular changes involved. We aim to highlight the benefits of 3D models and virtual three-dimensional reconstruction when used as a complementary tool in surgical planning.</p><p><strong>Case summary: </strong>We present the case of a 38-year-old male patient with a history trauma from a localized bombing, resulting in shrapnel impact to his thorax. He came for surgical treatment due to a diagnosis of arteriovenous fistula at the level of the aortic arch. For surgical planning, two 3D models (with FDM and PolyJet technology) were made to assess the anatomical relationship between the aorta, the left brachiocephalic vein, the fistulous tract and the sternum. The patient was successfully operated on.</p><p><strong>Discussion: </strong>Surgical repair of thoracic fistulas is highly complex, requiring a multi-disciplinary approach and advanced imaging for accurate diagnosis and planning. Procedures are often performed under cardiopulmonary bypass and hypothermia to enhance safety, especially in challenging scenarios. These fistulas frequently cause vascular overload and degenerative venous changes, increasing the risk of haemorrhage and complicating dissection. 3D technology significantly improves surgical planning by enabling accurate fistula localization, guiding sternotomy, simulating procedures, and mapping vascular anomalies. PolyJet models, in particular, provide superior anatomical insight. Thus, 3D modelling serves as a complementary tool that provides life-size, detailed anatomical information of the patient, facilitating better pre-operative surgical planning, and carrying the potential to reduce operative risks.</p>\",\"PeriodicalId\":11910,\"journal\":{\"name\":\"European Heart Journal: Case Reports\",\"volume\":\"9 8\",\"pages\":\"ytaf362\"},\"PeriodicalIF\":0.8000,\"publicationDate\":\"2025-07-30\",\"publicationTypes\":\"Journal Article\",\"fieldsOfStudy\":null,\"isOpenAccess\":false,\"openAccessPdf\":\"https://www.ncbi.nlm.nih.gov/pmc/articles/PMC12368333/pdf/\",\"citationCount\":\"0\",\"resultStr\":null,\"platform\":\"Semanticscholar\",\"paperid\":null,\"PeriodicalName\":\"European Heart Journal: Case Reports\",\"FirstCategoryId\":\"1085\",\"ListUrlMain\":\"https://doi.org/10.1093/ehjcr/ytaf362\",\"RegionNum\":0,\"RegionCategory\":null,\"ArticlePicture\":[],\"TitleCN\":null,\"AbstractTextCN\":null,\"PMCID\":null,\"EPubDate\":\"2025/8/1 0:00:00\",\"PubModel\":\"eCollection\",\"JCR\":\"Q4\",\"JCRName\":\"CARDIAC & CARDIOVASCULAR SYSTEMS\",\"Score\":null,\"Total\":0}","platform":"Semanticscholar","paperid":null,"PeriodicalName":"European Heart Journal: Case Reports","FirstCategoryId":"1085","ListUrlMain":"https://doi.org/10.1093/ehjcr/ytaf362","RegionNum":0,"RegionCategory":null,"ArticlePicture":[],"TitleCN":null,"AbstractTextCN":null,"PMCID":null,"EPubDate":"2025/8/1 0:00:00","PubModel":"eCollection","JCR":"Q4","JCRName":"CARDIAC & CARDIOVASCULAR SYSTEMS","Score":null,"Total":0}
引用次数: 0

摘要

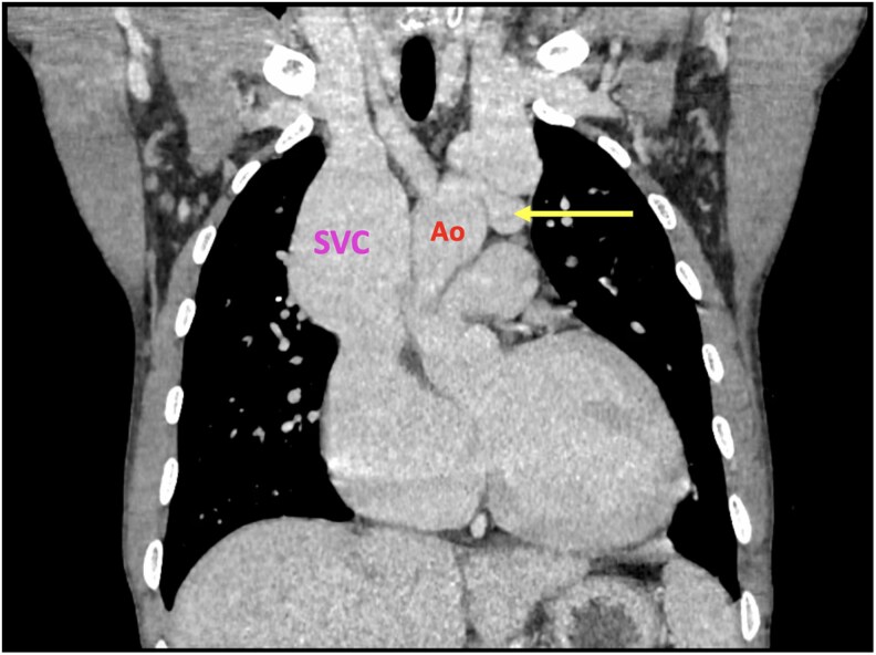
背景:外伤性动静脉瘘累及胸主动脉是罕见的。由于涉及到血管的改变,它们的闭合对外科医生来说仍然是一个挑战。我们的目的是强调3D模型和虚拟三维重建在手术计划中作为辅助工具的好处。病例总结:我们报告一名38岁男性患者,他有局部爆炸造成的创伤史,导致弹片撞击他的胸部。由于在主动脉弓水平诊断出动静脉瘘,他来接受手术治疗。为了制定手术计划,我们制作了两个3D模型(FDM和PolyJet技术)来评估主动脉、左头臂静脉、瘘管束和胸骨之间的解剖关系。这个病人成功地做了手术。讨论:胸瘘的手术修复是高度复杂的,需要多学科的方法和先进的影像学来准确诊断和计划。手术通常在体外循环和低温下进行,以提高安全性,特别是在具有挑战性的情况下。这些瘘管经常引起血管超载和退行性静脉改变,增加出血和复杂解剖的风险。3D技术通过实现精确的瘘管定位、指导胸骨切开术、模拟手术过程和绘制血管异常,显著改善了手术计划。PolyJet模型,特别是,提供优越的解剖洞察力。因此,3D建模作为一种补充工具,可以提供患者真实大小的详细解剖信息,有助于更好地进行术前手术计划,并具有降低手术风险的潜力。
本文章由计算机程序翻译,如有差异,请以英文原文为准。

Arteriovenous fistula in the aortic arch: a case report involving 3D models for surgical planning.

Arteriovenous fistula in the aortic arch: a case report involving 3D models for surgical planning.

Arteriovenous fistula in the aortic arch: a case report involving 3D models for surgical planning.

Arteriovenous fistula in the aortic arch: a case report involving 3D models for surgical planning.

Background: Traumatic arteriovenous fistulas involving the thoracic aorta are rare. Their closure remains a challenge for the surgeon due to the vascular changes involved. We aim to highlight the benefits of 3D models and virtual three-dimensional reconstruction when used as a complementary tool in surgical planning.

Case summary: We present the case of a 38-year-old male patient with a history trauma from a localized bombing, resulting in shrapnel impact to his thorax. He came for surgical treatment due to a diagnosis of arteriovenous fistula at the level of the aortic arch. For surgical planning, two 3D models (with FDM and PolyJet technology) were made to assess the anatomical relationship between the aorta, the left brachiocephalic vein, the fistulous tract and the sternum. The patient was successfully operated on.

Discussion: Surgical repair of thoracic fistulas is highly complex, requiring a multi-disciplinary approach and advanced imaging for accurate diagnosis and planning. Procedures are often performed under cardiopulmonary bypass and hypothermia to enhance safety, especially in challenging scenarios. These fistulas frequently cause vascular overload and degenerative venous changes, increasing the risk of haemorrhage and complicating dissection. 3D technology significantly improves surgical planning by enabling accurate fistula localization, guiding sternotomy, simulating procedures, and mapping vascular anomalies. PolyJet models, in particular, provide superior anatomical insight. Thus, 3D modelling serves as a complementary tool that provides life-size, detailed anatomical information of the patient, facilitating better pre-operative surgical planning, and carrying the potential to reduce operative risks.

求助全文
通过发布文献求助,成功后即可免费获取论文全文。 去求助
来源期刊
European Heart Journal: Case Reports
European Heart Journal: Case Reports Medicine-Cardiology and Cardiovascular Medicine
CiteScore
1.30
自引率
10.00%
发文量
451
审稿时长
14 weeks
×
引用
GB/T 7714-2015
复制
MLA
复制
APA
复制
导出至
BibTeX EndNote RefMan NoteFirst NoteExpress
×
提示
您的信息不完整,为了账户安全,请先补充。
现在去补充
×
提示
您因"违规操作"
具体请查看互助需知
我知道了
×
提示
确定
请完成安全验证×
copy
已复制链接
快去分享给好友吧!
我知道了
右上角分享
点击右上角分享
0
联系我们:info@booksci.cn Book学术提供免费学术资源搜索服务,方便国内外学者检索中英文文献。致力于提供最便捷和优质的服务体验。 Copyright © 2023 布克学术 All rights reserved.
京ICP备2023020795号-1
ghs 京公网安备 11010802042870号
Book学术文献互助
Book学术文献互助群
群 号:604180095
Book学术官方微信