暴发性嗜酸性粒细胞性心包炎伴检查点抑制剂并发急性心力衰竭和心包填塞1例。

IF 0.8 Q4 CARDIAC & CARDIOVASCULAR SYSTEMS
European Heart Journal: Case Reports Pub Date : 2025-08-16 eCollection Date: 2025-08-01 DOI:10.1093/ehjcr/ytaf400
Yaqub Betz, Selveras Zayed, Francesco Moroni, Robin LeGallo, Antonio Abbate
{"title":"暴发性嗜酸性粒细胞性心包炎伴检查点抑制剂并发急性心力衰竭和心包填塞1例。","authors":"Yaqub Betz, Selveras Zayed, Francesco Moroni, Robin LeGallo, Antonio Abbate","doi":"10.1093/ehjcr/ytaf400","DOIUrl":null,"url":null,"abstract":"<p><strong>Background: </strong>Immune checkpoint inhibitors (ICIs) have revolutionized cancer treatment but are associated with various adverse effects, including myocarditis, with mortality rates up to 50%. We report a case of fatal ICI-related fulminant eosinophilic myo-pericarditis complicated by tamponade in a 69-year-old man with metastatic lung adenocarcinoma.</p><p><strong>Case summary: </strong>Two weeks after receiving one dose of pembrolizumab, the patient presented with sudden chest pain and dyspnoea. Examination revealed tachycardia, hypotension, and hypoxia. Electrocardiogram showed a new right bundle branch block and ST depressions in the precordial leads with an elevated troponin I of 49.69 ng/mL. Echocardiogram demonstrated globally reduced function and pericardial effusion, suggesting impending tamponade. Despite aggressive resuscitative efforts, the patient rapidly decompensated and ultimately went into cardiac arrest and passed away. Autopsy was performed with pathology demonstrating necrotizing eosinophilic myocarditis related to ICIs. Other potential causes of eosinophilic myocarditis, such as drug hypersensitivity, were felt less likely given lack of drugs associated with eosinophilic myocarditis. Eosinophilic granulomatosis with polyangiitis and hypereosinophilic syndrome were also less likely based on American College of Rheumatology criteria as well as the absence of peripheral eosinophilia.</p><p><strong>Discussion: </strong>This case emphasizes the need for awareness of eosinophilic myo-pericarditis as a potential complication of ICI therapy. It underscores the value of early endomyocardial biopsy in unstable patients with suspected acute myocarditis, 'fast-tracking' treatment initiation. It also highlights the rapid progression of cardiac complications in ICI-related myocarditis and the potential for tamponade, emphasizing the low threshold for consideration of myocarditis and treatment in patients initiating or receiving ICIs.</p>","PeriodicalId":11910,"journal":{"name":"European Heart Journal: Case Reports","volume":"9 8","pages":"ytaf400"},"PeriodicalIF":0.8000,"publicationDate":"2025-08-16","publicationTypes":"Journal Article","fieldsOfStudy":null,"isOpenAccess":false,"openAccessPdf":"https://www.ncbi.nlm.nih.gov/pmc/articles/PMC12396107/pdf/","citationCount":"0","resultStr":"{\"title\":\"A case report of fulminant eosinophilic myo-pericarditis related to checkpoint inhibitors complicated by acute heart failure and cardiac tamponade.\",\"authors\":\"Yaqub Betz, Selveras Zayed, Francesco Moroni, Robin LeGallo, Antonio Abbate\",\"doi\":\"10.1093/ehjcr/ytaf400\",\"DOIUrl\":null,\"url\":null,\"abstract\":\"<p><strong>Background: </strong>Immune checkpoint inhibitors (ICIs) have revolutionized cancer treatment but are associated with various adverse effects, including myocarditis, with mortality rates up to 50%. We report a case of fatal ICI-related fulminant eosinophilic myo-pericarditis complicated by tamponade in a 69-year-old man with metastatic lung adenocarcinoma.</p><p><strong>Case summary: </strong>Two weeks after receiving one dose of pembrolizumab, the patient presented with sudden chest pain and dyspnoea. Examination revealed tachycardia, hypotension, and hypoxia. Electrocardiogram showed a new right bundle branch block and ST depressions in the precordial leads with an elevated troponin I of 49.69 ng/mL. Echocardiogram demonstrated globally reduced function and pericardial effusion, suggesting impending tamponade. Despite aggressive resuscitative efforts, the patient rapidly decompensated and ultimately went into cardiac arrest and passed away. Autopsy was performed with pathology demonstrating necrotizing eosinophilic myocarditis related to ICIs. Other potential causes of eosinophilic myocarditis, such as drug hypersensitivity, were felt less likely given lack of drugs associated with eosinophilic myocarditis. Eosinophilic granulomatosis with polyangiitis and hypereosinophilic syndrome were also less likely based on American College of Rheumatology criteria as well as the absence of peripheral eosinophilia.</p><p><strong>Discussion: </strong>This case emphasizes the need for awareness of eosinophilic myo-pericarditis as a potential complication of ICI therapy. It underscores the value of early endomyocardial biopsy in unstable patients with suspected acute myocarditis, 'fast-tracking' treatment initiation. It also highlights the rapid progression of cardiac complications in ICI-related myocarditis and the potential for tamponade, emphasizing the low threshold for consideration of myocarditis and treatment in patients initiating or receiving ICIs.</p>\",\"PeriodicalId\":11910,\"journal\":{\"name\":\"European Heart Journal: Case Reports\",\"volume\":\"9 8\",\"pages\":\"ytaf400\"},\"PeriodicalIF\":0.8000,\"publicationDate\":\"2025-08-16\",\"publicationTypes\":\"Journal Article\",\"fieldsOfStudy\":null,\"isOpenAccess\":false,\"openAccessPdf\":\"https://www.ncbi.nlm.nih.gov/pmc/articles/PMC12396107/pdf/\",\"citationCount\":\"0\",\"resultStr\":null,\"platform\":\"Semanticscholar\",\"paperid\":null,\"PeriodicalName\":\"European Heart Journal: Case Reports\",\"FirstCategoryId\":\"1085\",\"ListUrlMain\":\"https://doi.org/10.1093/ehjcr/ytaf400\",\"RegionNum\":0,\"RegionCategory\":null,\"ArticlePicture\":[],\"TitleCN\":null,\"AbstractTextCN\":null,\"PMCID\":null,\"EPubDate\":\"2025/8/1 0:00:00\",\"PubModel\":\"eCollection\",\"JCR\":\"Q4\",\"JCRName\":\"CARDIAC & CARDIOVASCULAR SYSTEMS\",\"Score\":null,\"Total\":0}","platform":"Semanticscholar","paperid":null,"PeriodicalName":"European Heart Journal: Case Reports","FirstCategoryId":"1085","ListUrlMain":"https://doi.org/10.1093/ehjcr/ytaf400","RegionNum":0,"RegionCategory":null,"ArticlePicture":[],"TitleCN":null,"AbstractTextCN":null,"PMCID":null,"EPubDate":"2025/8/1 0:00:00","PubModel":"eCollection","JCR":"Q4","JCRName":"CARDIAC & CARDIOVASCULAR SYSTEMS","Score":null,"Total":0}
引用次数: 0

摘要

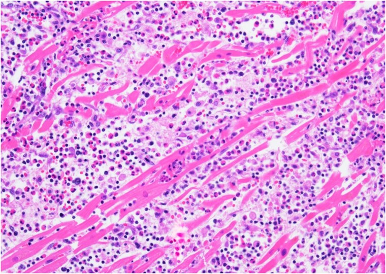
背景:免疫检查点抑制剂(ICIs)已经彻底改变了癌症治疗,但与各种不良反应相关,包括心肌炎,死亡率高达50%。我们报告一例致命的ici相关暴发性嗜酸性粒细胞性心包炎合并心包填塞在一个69岁的男性转移性肺腺癌。病例总结:患者在接受一剂派姆单抗治疗两周后出现突发性胸痛和呼吸困难。检查显示心动过速、低血压和缺氧。心电图显示新的右束分支阻滞,心前导联ST段下降,肌钙蛋白I升高49.69 ng/mL。超声心动图显示整体功能减退和心包积液,提示即将发生心包填塞。尽管进行了积极的复苏努力,但患者迅速失代偿,最终心脏骤停并死亡。尸检病理显示与ICIs相关的坏死性嗜酸性心肌炎。嗜酸性粒细胞心肌炎的其他潜在原因,如药物过敏,由于缺乏与嗜酸性粒细胞心肌炎相关的药物,被认为不太可能。根据美国风湿病学会的标准,嗜酸性粒细胞肉芽肿合并多血管炎和嗜酸性粒细胞增多综合征的可能性也较小,同时也不存在周围嗜酸性粒细胞增多症。讨论:本病例强调需要意识到嗜酸性心包炎是ICI治疗的潜在并发症。它强调了早期心肌内膜活检在不稳定的疑似急性心肌炎患者中的价值,“快速追踪”治疗开始。它还强调了ici相关心肌炎的心脏并发症的快速进展和压塞的可能性,强调了在开始或接受ici的患者中考虑心肌炎和治疗的低阈值。
本文章由计算机程序翻译,如有差异,请以英文原文为准。

A case report of fulminant eosinophilic myo-pericarditis related to checkpoint inhibitors complicated by acute heart failure and cardiac tamponade.

A case report of fulminant eosinophilic myo-pericarditis related to checkpoint inhibitors complicated by acute heart failure and cardiac tamponade.

A case report of fulminant eosinophilic myo-pericarditis related to checkpoint inhibitors complicated by acute heart failure and cardiac tamponade.

A case report of fulminant eosinophilic myo-pericarditis related to checkpoint inhibitors complicated by acute heart failure and cardiac tamponade.

Background: Immune checkpoint inhibitors (ICIs) have revolutionized cancer treatment but are associated with various adverse effects, including myocarditis, with mortality rates up to 50%. We report a case of fatal ICI-related fulminant eosinophilic myo-pericarditis complicated by tamponade in a 69-year-old man with metastatic lung adenocarcinoma.

Case summary: Two weeks after receiving one dose of pembrolizumab, the patient presented with sudden chest pain and dyspnoea. Examination revealed tachycardia, hypotension, and hypoxia. Electrocardiogram showed a new right bundle branch block and ST depressions in the precordial leads with an elevated troponin I of 49.69 ng/mL. Echocardiogram demonstrated globally reduced function and pericardial effusion, suggesting impending tamponade. Despite aggressive resuscitative efforts, the patient rapidly decompensated and ultimately went into cardiac arrest and passed away. Autopsy was performed with pathology demonstrating necrotizing eosinophilic myocarditis related to ICIs. Other potential causes of eosinophilic myocarditis, such as drug hypersensitivity, were felt less likely given lack of drugs associated with eosinophilic myocarditis. Eosinophilic granulomatosis with polyangiitis and hypereosinophilic syndrome were also less likely based on American College of Rheumatology criteria as well as the absence of peripheral eosinophilia.

Discussion: This case emphasizes the need for awareness of eosinophilic myo-pericarditis as a potential complication of ICI therapy. It underscores the value of early endomyocardial biopsy in unstable patients with suspected acute myocarditis, 'fast-tracking' treatment initiation. It also highlights the rapid progression of cardiac complications in ICI-related myocarditis and the potential for tamponade, emphasizing the low threshold for consideration of myocarditis and treatment in patients initiating or receiving ICIs.

求助全文
通过发布文献求助,成功后即可免费获取论文全文。 去求助
来源期刊
European Heart Journal: Case Reports
European Heart Journal: Case Reports Medicine-Cardiology and Cardiovascular Medicine
CiteScore
1.30
自引率
10.00%
发文量
451
审稿时长
14 weeks
×
引用
GB/T 7714-2015
复制
MLA
复制
APA
复制
导出至
BibTeX EndNote RefMan NoteFirst NoteExpress
×
提示
您的信息不完整,为了账户安全,请先补充。
现在去补充
×
提示
您因"违规操作"
具体请查看互助需知
我知道了
×
提示
确定
请完成安全验证×
copy
已复制链接
快去分享给好友吧!
我知道了
右上角分享
点击右上角分享
0
联系我们:info@booksci.cn Book学术提供免费学术资源搜索服务,方便国内外学者检索中英文文献。致力于提供最便捷和优质的服务体验。 Copyright © 2023 布克学术 All rights reserved.
京ICP备2023020795号-1
ghs 京公网安备 11010802042870号
Book学术文献互助
Book学术文献互助群
群 号:604180095
Book学术官方微信