SMARCB1 (INI1)缺陷鼻窦癌伴卵黄囊分化,多轮放疗后临床长期缓解1例报告并文献复习

IF 2.3 3区 医学 Q2 PATHOLOGY
Shuang Ma, Yuxin Xia, Minghui Wang, Zhongshan Luo, Lan Chen, Xiangyun Meng, Sophie Stuart, Endi Wang, Lian-He Yang
{"title":"SMARCB1 (INI1)缺陷鼻窦癌伴卵黄囊分化,多轮放疗后临床长期缓解1例报告并文献复习","authors":"Shuang Ma, Yuxin Xia, Minghui Wang, Zhongshan Luo, Lan Chen, Xiangyun Meng, Sophie Stuart, Endi Wang, Lian-He Yang","doi":"10.1186/s13000-025-01705-3","DOIUrl":null,"url":null,"abstract":"<p><strong>Rationale: </strong>SMARCB1 (INI1) deficient sinonasal carcinoma is a subtype of Switch/Sucrose nonfermentable (SWI/SNF) complex deficient sinonasal carcinoma, which is distinct from sinonasal undifferentiated carcinoma (SNUC) in 5th edition of the WHO classification of head and neck tumors. It commonly shows basaloid, eosinophilic, oncocytoid or rhabdoid morphology. However, it can exhibit yolk sac like differentiation in very rare cases, with associated SALL4, GPC-3 and CDX2 and AFP expression, which can lead to the misdiagnosis of primary nasopharyngeal yolk sac tumor (YST).</p><p><strong>Patient concerns: </strong>A 58-year-old male patient with right nasal cavity mass, he complained for persistent right-sided nasal congestion for 3 months, accompanied by decreased sense of smell and protrusion of the right eyeball.</p><p><strong>Diagnosis: </strong>Histology showed tumor cells with glandular, large cystic, and microcystic architectural arrangement. Immunohistochemically, the tumor cells expressed SALL-4 and GPC-3. The findings supported obvious yolk sac tumor like features. However, the absence of INI-1 expression confirmed the diagnosis of INI-1 deficient sinonasal carcinoma.</p><p><strong>Interventions: </strong>The patient underwent 4 rounds of clinical tumor volume (CTV) radiotherapy.</p><p><strong>Outcomes: </strong>The patient was followed up for 22 months with interval nasopharyngeal MRI and lung CT scan, with no sign of tumor recurrence or metastasis.</p><p><strong>Lessons: </strong>Our case suggests that INI1-deficient sinonasal carcinoma with yolk sac differentiation is an important differential diagnosis of primary nasopharyngeal yolk sac tumor, which may have favorable disease-free survival with adjuvant radiotherapy alone.</p>","PeriodicalId":11237,"journal":{"name":"Diagnostic Pathology","volume":"20 1","pages":"102"},"PeriodicalIF":2.3000,"publicationDate":"2025-09-01","publicationTypes":"Journal Article","fieldsOfStudy":null,"isOpenAccess":false,"openAccessPdf":"https://www.ncbi.nlm.nih.gov/pmc/articles/PMC12400701/pdf/","citationCount":"0","resultStr":"{\"title\":\"SMARCB1 (INI1)-deficient sinonasal carcinoma with yolk sac differentiation, a case of long-term clinical remission after multiple rounds of radiotherapy-a case report and literature review.\",\"authors\":\"Shuang Ma, Yuxin Xia, Minghui Wang, Zhongshan Luo, Lan Chen, Xiangyun Meng, Sophie Stuart, Endi Wang, Lian-He Yang\",\"doi\":\"10.1186/s13000-025-01705-3\",\"DOIUrl\":null,\"url\":null,\"abstract\":\"<p><strong>Rationale: </strong>SMARCB1 (INI1) deficient sinonasal carcinoma is a subtype of Switch/Sucrose nonfermentable (SWI/SNF) complex deficient sinonasal carcinoma, which is distinct from sinonasal undifferentiated carcinoma (SNUC) in 5th edition of the WHO classification of head and neck tumors. It commonly shows basaloid, eosinophilic, oncocytoid or rhabdoid morphology. However, it can exhibit yolk sac like differentiation in very rare cases, with associated SALL4, GPC-3 and CDX2 and AFP expression, which can lead to the misdiagnosis of primary nasopharyngeal yolk sac tumor (YST).</p><p><strong>Patient concerns: </strong>A 58-year-old male patient with right nasal cavity mass, he complained for persistent right-sided nasal congestion for 3 months, accompanied by decreased sense of smell and protrusion of the right eyeball.</p><p><strong>Diagnosis: </strong>Histology showed tumor cells with glandular, large cystic, and microcystic architectural arrangement. Immunohistochemically, the tumor cells expressed SALL-4 and GPC-3. The findings supported obvious yolk sac tumor like features. However, the absence of INI-1 expression confirmed the diagnosis of INI-1 deficient sinonasal carcinoma.</p><p><strong>Interventions: </strong>The patient underwent 4 rounds of clinical tumor volume (CTV) radiotherapy.</p><p><strong>Outcomes: </strong>The patient was followed up for 22 months with interval nasopharyngeal MRI and lung CT scan, with no sign of tumor recurrence or metastasis.</p><p><strong>Lessons: </strong>Our case suggests that INI1-deficient sinonasal carcinoma with yolk sac differentiation is an important differential diagnosis of primary nasopharyngeal yolk sac tumor, which may have favorable disease-free survival with adjuvant radiotherapy alone.</p>\",\"PeriodicalId\":11237,\"journal\":{\"name\":\"Diagnostic Pathology\",\"volume\":\"20 1\",\"pages\":\"102\"},\"PeriodicalIF\":2.3000,\"publicationDate\":\"2025-09-01\",\"publicationTypes\":\"Journal Article\",\"fieldsOfStudy\":null,\"isOpenAccess\":false,\"openAccessPdf\":\"https://www.ncbi.nlm.nih.gov/pmc/articles/PMC12400701/pdf/\",\"citationCount\":\"0\",\"resultStr\":null,\"platform\":\"Semanticscholar\",\"paperid\":null,\"PeriodicalName\":\"Diagnostic Pathology\",\"FirstCategoryId\":\"3\",\"ListUrlMain\":\"https://doi.org/10.1186/s13000-025-01705-3\",\"RegionNum\":3,\"RegionCategory\":\"医学\",\"ArticlePicture\":[],\"TitleCN\":null,\"AbstractTextCN\":null,\"PMCID\":null,\"EPubDate\":\"\",\"PubModel\":\"\",\"JCR\":\"Q2\",\"JCRName\":\"PATHOLOGY\",\"Score\":null,\"Total\":0}","platform":"Semanticscholar","paperid":null,"PeriodicalName":"Diagnostic Pathology","FirstCategoryId":"3","ListUrlMain":"https://doi.org/10.1186/s13000-025-01705-3","RegionNum":3,"RegionCategory":"医学","ArticlePicture":[],"TitleCN":null,"AbstractTextCN":null,"PMCID":null,"EPubDate":"","PubModel":"","JCR":"Q2","JCRName":"PATHOLOGY","Score":null,"Total":0}
引用次数: 0

摘要

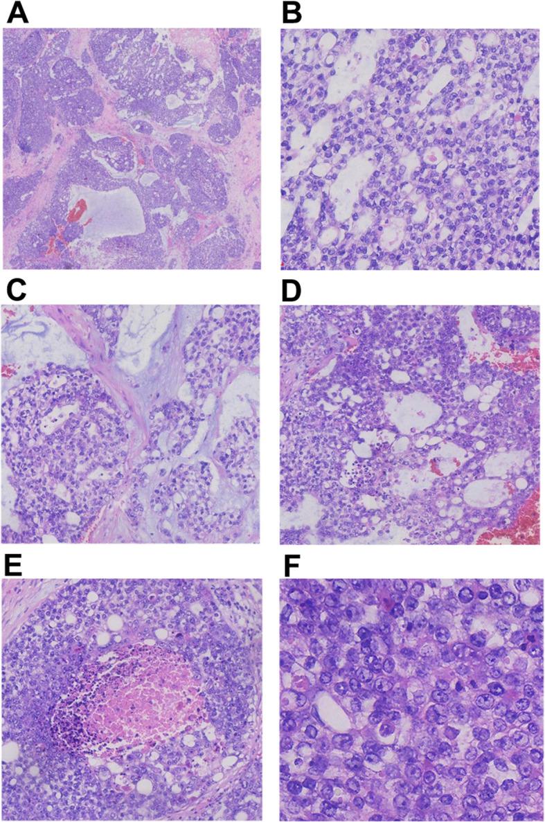
理由:SMARCB1 (INI1)缺陷型鼻窦癌是Switch/蔗糖不可发酵(SWI/SNF)复合物缺陷型鼻窦癌的一个亚型,与WHO第5版头颈部肿瘤分类中的鼻窦癌未分化癌(SNUC)不同。通常表现为碱性、嗜酸性、嗜瘤细胞或横纹肌样形态。但在极少数情况下可表现为卵黄囊样分化,并伴有SALL4、GPC-3、CDX2和AFP的表达,可导致原发性鼻咽卵黄囊瘤(YST)的误诊。患者关注:男性,58岁,右侧鼻腔肿块,主诉持续右侧鼻塞3个月,伴嗅觉下降,右侧眼球突出。诊断:组织学显示肿瘤细胞有腺状、大囊状和微囊状的结构排列。免疫组化结果显示,肿瘤细胞表达small -4和GPC-3。结果支持明显的卵黄囊肿瘤样特征。然而,缺乏ni -1表达证实了ni -1缺陷鼻窦癌的诊断。干预措施:患者接受4轮临床肿瘤体积(CTV)放疗。结果:患者随访22个月,行鼻咽MRI及肺部CT间歇扫描,未见肿瘤复发或转移征象。结论:本病例提示ini1缺陷鼻窦癌伴卵黄囊分化是原发性鼻咽癌的重要鉴别诊断,单纯辅助放疗可能有较好的无病生存期。
本文章由计算机程序翻译,如有差异,请以英文原文为准。

SMARCB1 (INI1)-deficient sinonasal carcinoma with yolk sac differentiation, a case of long-term clinical remission after multiple rounds of radiotherapy-a case report and literature review.

SMARCB1 (INI1)-deficient sinonasal carcinoma with yolk sac differentiation, a case of long-term clinical remission after multiple rounds of radiotherapy-a case report and literature review.

SMARCB1 (INI1)-deficient sinonasal carcinoma with yolk sac differentiation, a case of long-term clinical remission after multiple rounds of radiotherapy-a case report and literature review.

SMARCB1 (INI1)-deficient sinonasal carcinoma with yolk sac differentiation, a case of long-term clinical remission after multiple rounds of radiotherapy-a case report and literature review.

Rationale: SMARCB1 (INI1) deficient sinonasal carcinoma is a subtype of Switch/Sucrose nonfermentable (SWI/SNF) complex deficient sinonasal carcinoma, which is distinct from sinonasal undifferentiated carcinoma (SNUC) in 5th edition of the WHO classification of head and neck tumors. It commonly shows basaloid, eosinophilic, oncocytoid or rhabdoid morphology. However, it can exhibit yolk sac like differentiation in very rare cases, with associated SALL4, GPC-3 and CDX2 and AFP expression, which can lead to the misdiagnosis of primary nasopharyngeal yolk sac tumor (YST).

Patient concerns: A 58-year-old male patient with right nasal cavity mass, he complained for persistent right-sided nasal congestion for 3 months, accompanied by decreased sense of smell and protrusion of the right eyeball.

Diagnosis: Histology showed tumor cells with glandular, large cystic, and microcystic architectural arrangement. Immunohistochemically, the tumor cells expressed SALL-4 and GPC-3. The findings supported obvious yolk sac tumor like features. However, the absence of INI-1 expression confirmed the diagnosis of INI-1 deficient sinonasal carcinoma.

Interventions: The patient underwent 4 rounds of clinical tumor volume (CTV) radiotherapy.

Outcomes: The patient was followed up for 22 months with interval nasopharyngeal MRI and lung CT scan, with no sign of tumor recurrence or metastasis.

Lessons: Our case suggests that INI1-deficient sinonasal carcinoma with yolk sac differentiation is an important differential diagnosis of primary nasopharyngeal yolk sac tumor, which may have favorable disease-free survival with adjuvant radiotherapy alone.

求助全文
通过发布文献求助,成功后即可免费获取论文全文。 去求助
来源期刊
Diagnostic Pathology
Diagnostic Pathology 医学-病理学
CiteScore
4.60
自引率
0.00%
发文量
93
审稿时长
1 months
期刊介绍: Diagnostic Pathology is an open access, peer-reviewed, online journal that considers research in surgical and clinical pathology, immunology, and biology, with a special focus on cutting-edge approaches in diagnostic pathology and tissue-based therapy. The journal covers all aspects of surgical pathology, including classic diagnostic pathology, prognosis-related diagnosis (tumor stages, prognosis markers, such as MIB-percentage, hormone receptors, etc.), and therapy-related findings. The journal also focuses on the technological aspects of pathology, including molecular biology techniques, morphometry aspects (stereology, DNA analysis, syntactic structure analysis), communication aspects (telecommunication, virtual microscopy, virtual pathology institutions, etc.), and electronic education and quality assurance (for example interactive publication, on-line references with automated updating, etc.).
×
引用
GB/T 7714-2015
复制
MLA
复制
APA
复制
导出至
BibTeX EndNote RefMan NoteFirst NoteExpress
×
提示
您的信息不完整,为了账户安全,请先补充。
现在去补充
×
提示
您因"违规操作"
具体请查看互助需知
我知道了
×
提示
确定
请完成安全验证×
copy
已复制链接
快去分享给好友吧!
我知道了
右上角分享
点击右上角分享
0
联系我们:info@booksci.cn Book学术提供免费学术资源搜索服务,方便国内外学者检索中英文文献。致力于提供最便捷和优质的服务体验。 Copyright © 2023 布克学术 All rights reserved.
京ICP备2023020795号-1
ghs 京公网安备 11010802042870号
Book学术文献互助
Book学术文献互助群
群 号:604180095
Book学术官方微信