超声成像:促进牙周病的诊断。

IF 3.1 Q2 DENTISTRY, ORAL SURGERY & MEDICINE
Gaël Y Rochefort, Frédéric Denis, Matthieu Renaud
{"title":"超声成像:促进牙周病的诊断。","authors":"Gaël Y Rochefort, Frédéric Denis, Matthieu Renaud","doi":"10.3390/dj13080349","DOIUrl":null,"url":null,"abstract":"<p><p><b>Objectives</b>: This pilot study evaluates the correlation between periodontal pocket depth (PPD) measurements obtained by manual probing and those derived from an AI-coupled ultrasound imaging device in periodontitis patients. <b>Materials and Methods</b>: Thirteen patients with periodontitis underwent ultrasonic probing with an AI engine for automated PPD measurements, followed by routine manual probing. <b>Results</b>: A total of 2088 manual and 1987 AI-based PPD measurements were collected. The mean PPD was 4.2 mm (range: 2-8 mm) for manual probing and 4.5 mm (range: 2-9 mm) for AI-based ultrasound, with a Pearson correlation coefficient of 0.68 (95% CI: 0.62-0.73). Discrepancies were noted in cases with inflammation or calculus. AI struggled to differentiate pocket depths in complex clinical scenarios. <b>Discussion</b>: Ultrasound imaging offers non-invasive, real-time visualization of periodontal structures, but AI accuracy requires further training to address image artifacts and clinical variability. <b>Conclusions</b>: The ultrasound device shows promise for non-invasive periodontal diagnostics but is not yet a direct alternative to manual probing. Further AI optimization and validation are needed. <b>Clinical Relevance</b>: This technology could enhance patient comfort and enable frequent monitoring, pending improvements in AI reliability.</p>","PeriodicalId":11269,"journal":{"name":"Dentistry Journal","volume":"13 8","pages":""},"PeriodicalIF":3.1000,"publicationDate":"2025-07-29","publicationTypes":"Journal Article","fieldsOfStudy":null,"isOpenAccess":false,"openAccessPdf":"https://www.ncbi.nlm.nih.gov/pmc/articles/PMC12385332/pdf/","citationCount":"0","resultStr":"{\"title\":\"Ultrasound Imaging: Advancing the Diagnosis of Periodontal Disease.\",\"authors\":\"Gaël Y Rochefort, Frédéric Denis, Matthieu Renaud\",\"doi\":\"10.3390/dj13080349\",\"DOIUrl\":null,\"url\":null,\"abstract\":\"<p><p><b>Objectives</b>: This pilot study evaluates the correlation between periodontal pocket depth (PPD) measurements obtained by manual probing and those derived from an AI-coupled ultrasound imaging device in periodontitis patients. <b>Materials and Methods</b>: Thirteen patients with periodontitis underwent ultrasonic probing with an AI engine for automated PPD measurements, followed by routine manual probing. <b>Results</b>: A total of 2088 manual and 1987 AI-based PPD measurements were collected. The mean PPD was 4.2 mm (range: 2-8 mm) for manual probing and 4.5 mm (range: 2-9 mm) for AI-based ultrasound, with a Pearson correlation coefficient of 0.68 (95% CI: 0.62-0.73). Discrepancies were noted in cases with inflammation or calculus. AI struggled to differentiate pocket depths in complex clinical scenarios. <b>Discussion</b>: Ultrasound imaging offers non-invasive, real-time visualization of periodontal structures, but AI accuracy requires further training to address image artifacts and clinical variability. <b>Conclusions</b>: The ultrasound device shows promise for non-invasive periodontal diagnostics but is not yet a direct alternative to manual probing. Further AI optimization and validation are needed. <b>Clinical Relevance</b>: This technology could enhance patient comfort and enable frequent monitoring, pending improvements in AI reliability.</p>\",\"PeriodicalId\":11269,\"journal\":{\"name\":\"Dentistry Journal\",\"volume\":\"13 8\",\"pages\":\"\"},\"PeriodicalIF\":3.1000,\"publicationDate\":\"2025-07-29\",\"publicationTypes\":\"Journal Article\",\"fieldsOfStudy\":null,\"isOpenAccess\":false,\"openAccessPdf\":\"https://www.ncbi.nlm.nih.gov/pmc/articles/PMC12385332/pdf/\",\"citationCount\":\"0\",\"resultStr\":null,\"platform\":\"Semanticscholar\",\"paperid\":null,\"PeriodicalName\":\"Dentistry Journal\",\"FirstCategoryId\":\"1085\",\"ListUrlMain\":\"https://doi.org/10.3390/dj13080349\",\"RegionNum\":0,\"RegionCategory\":null,\"ArticlePicture\":[],\"TitleCN\":null,\"AbstractTextCN\":null,\"PMCID\":null,\"EPubDate\":\"\",\"PubModel\":\"\",\"JCR\":\"Q2\",\"JCRName\":\"DENTISTRY, ORAL SURGERY & MEDICINE\",\"Score\":null,\"Total\":0}","platform":"Semanticscholar","paperid":null,"PeriodicalName":"Dentistry Journal","FirstCategoryId":"1085","ListUrlMain":"https://doi.org/10.3390/dj13080349","RegionNum":0,"RegionCategory":null,"ArticlePicture":[],"TitleCN":null,"AbstractTextCN":null,"PMCID":null,"EPubDate":"","PubModel":"","JCR":"Q2","JCRName":"DENTISTRY, ORAL SURGERY & MEDICINE","Score":null,"Total":0}
引用次数: 0

摘要

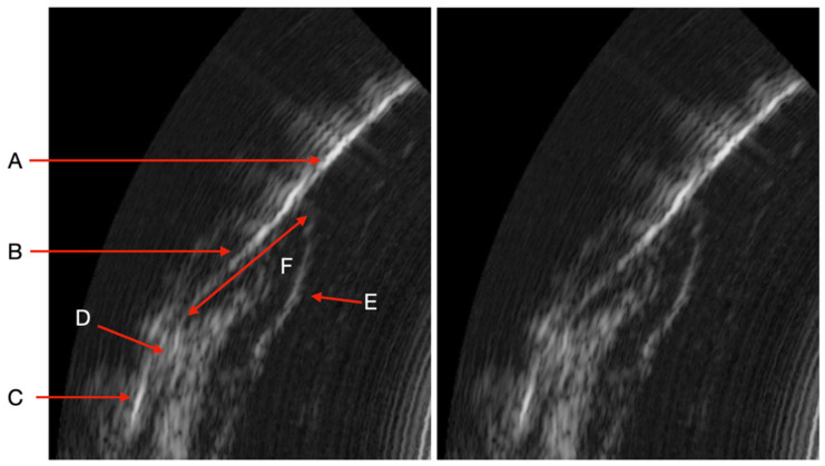
目的:本初步研究评估牙周炎患者人工探诊获得的牙周袋深度(PPD)测量值与人工智能耦合超声成像设备获得的测量值之间的相关性。材料和方法:13例牙周炎患者采用人工智能引擎进行自动PPD测量的超声探诊,随后进行常规人工探诊。结果:共收集了2088次人工PPD测量和1987次人工智能PPD测量。手工探查的平均PPD为4.2 mm(范围:2-8 mm),人工智能超声的平均PPD为4.5 mm(范围:2-9 mm), Pearson相关系数为0.68 (95% CI: 0.62-0.73)。在有炎症或结石的病例中,差异明显。人工智能很难在复杂的临床场景中区分口袋深度。讨论:超声成像提供了牙周结构的非侵入性实时可视化,但人工智能的准确性需要进一步的训练来解决图像伪影和临床变异性。结论:超声设备显示了非侵入性牙周诊断的前景,但还不能直接替代人工探诊。需要进一步的人工智能优化和验证。临床意义:这项技术可以提高患者的舒适度,实现频繁监测,有待于人工智能可靠性的提高。
本文章由计算机程序翻译,如有差异,请以英文原文为准。

Ultrasound Imaging: Advancing the Diagnosis of Periodontal Disease.

Ultrasound Imaging: Advancing the Diagnosis of Periodontal Disease.

Ultrasound Imaging: Advancing the Diagnosis of Periodontal Disease.

Ultrasound Imaging: Advancing the Diagnosis of Periodontal Disease.

Objectives: This pilot study evaluates the correlation between periodontal pocket depth (PPD) measurements obtained by manual probing and those derived from an AI-coupled ultrasound imaging device in periodontitis patients. Materials and Methods: Thirteen patients with periodontitis underwent ultrasonic probing with an AI engine for automated PPD measurements, followed by routine manual probing. Results: A total of 2088 manual and 1987 AI-based PPD measurements were collected. The mean PPD was 4.2 mm (range: 2-8 mm) for manual probing and 4.5 mm (range: 2-9 mm) for AI-based ultrasound, with a Pearson correlation coefficient of 0.68 (95% CI: 0.62-0.73). Discrepancies were noted in cases with inflammation or calculus. AI struggled to differentiate pocket depths in complex clinical scenarios. Discussion: Ultrasound imaging offers non-invasive, real-time visualization of periodontal structures, but AI accuracy requires further training to address image artifacts and clinical variability. Conclusions: The ultrasound device shows promise for non-invasive periodontal diagnostics but is not yet a direct alternative to manual probing. Further AI optimization and validation are needed. Clinical Relevance: This technology could enhance patient comfort and enable frequent monitoring, pending improvements in AI reliability.

求助全文
通过发布文献求助,成功后即可免费获取论文全文。 去求助
来源期刊
Dentistry Journal
Dentistry Journal Dentistry-Dentistry (all)
CiteScore
3.70
自引率
7.70%
发文量
213
审稿时长
11 weeks
×
引用
GB/T 7714-2015
复制
MLA
复制
APA
复制
导出至
BibTeX EndNote RefMan NoteFirst NoteExpress
×
提示
您的信息不完整,为了账户安全,请先补充。
现在去补充
×
提示
您因"违规操作"
具体请查看互助需知
我知道了
×
提示
确定
请完成安全验证×
copy
已复制链接
快去分享给好友吧!
我知道了
右上角分享
点击右上角分享
0
联系我们:info@booksci.cn Book学术提供免费学术资源搜索服务,方便国内外学者检索中英文文献。致力于提供最便捷和优质的服务体验。 Copyright © 2023 布克学术 All rights reserved.
京ICP备2023020795号-1
ghs 京公网安备 11010802042870号
Book学术文献互助
Book学术文献互助群
群 号:604180095
Book学术官方微信