在牙齿漂白中使用数字生成矩阵进行一致阴影记录-一例报告。

IF 3.1 Q2 DENTISTRY, ORAL SURGERY & MEDICINE
Cristian Abad-Coronel, Guissell Vallejo-Yupa, Paulina Aliaga, Nancy Mena-Córdova, Jorge Alonso Pérez-Barquero, José Amengual-Lorenzo
{"title":"在牙齿漂白中使用数字生成矩阵进行一致阴影记录-一例报告。","authors":"Cristian Abad-Coronel, Guissell Vallejo-Yupa, Paulina Aliaga, Nancy Mena-Córdova, Jorge Alonso Pérez-Barquero, José Amengual-Lorenzo","doi":"10.3390/dj13080339","DOIUrl":null,"url":null,"abstract":"<p><p><b>Objectives:</b> The aim of this study was to evaluate the effectiveness of spectrophotometers for objective tooth color measurement, particularly in bleaching procedures enhanced by digital positioning templates. <b>Methods:</b> Tooth color registration was conducted using both subjective methods with shade guides and objective methods with spectrophotometers. Spectrophotometers were chosen for their ability to provide objective, quantifiable, and reproducible results, crucial for monitoring color modifications accurately. Digital workflows were implemented to enhance the registration process further. These workflows included providing a precise positioning matrix for spectrophotometer sensors and optimizing working models to ensure high-quality therapeutic splints. <b>Results</b>: The use of spectrophotometers demonstrated superior performance in registering tooth color objectively compared to subjective shade guides. Digital workflows significantly improved the precision and efficiency of spectrophotometer measurements through a digital matrix, enhancing the quality of therapeutic splints obtained. <b>Conclusions</b>: Spectrophotometers are recommended for objective and precise tooth color registration, particularly in bleaching procedures. Integrating a digital positioning matrix enhances measurement accuracy and reliability, supporting effective monitoring and treatment outcomes.</p>","PeriodicalId":11269,"journal":{"name":"Dentistry Journal","volume":"13 8","pages":""},"PeriodicalIF":3.1000,"publicationDate":"2025-07-24","publicationTypes":"Journal Article","fieldsOfStudy":null,"isOpenAccess":false,"openAccessPdf":"https://www.ncbi.nlm.nih.gov/pmc/articles/PMC12384962/pdf/","citationCount":"0","resultStr":"{\"title\":\"The Use of a Digitally Generated Matrix for Consistent Shade Recording in Tooth Bleaching-A Case Report.\",\"authors\":\"Cristian Abad-Coronel, Guissell Vallejo-Yupa, Paulina Aliaga, Nancy Mena-Córdova, Jorge Alonso Pérez-Barquero, José Amengual-Lorenzo\",\"doi\":\"10.3390/dj13080339\",\"DOIUrl\":null,\"url\":null,\"abstract\":\"<p><p><b>Objectives:</b> The aim of this study was to evaluate the effectiveness of spectrophotometers for objective tooth color measurement, particularly in bleaching procedures enhanced by digital positioning templates. <b>Methods:</b> Tooth color registration was conducted using both subjective methods with shade guides and objective methods with spectrophotometers. Spectrophotometers were chosen for their ability to provide objective, quantifiable, and reproducible results, crucial for monitoring color modifications accurately. Digital workflows were implemented to enhance the registration process further. These workflows included providing a precise positioning matrix for spectrophotometer sensors and optimizing working models to ensure high-quality therapeutic splints. <b>Results</b>: The use of spectrophotometers demonstrated superior performance in registering tooth color objectively compared to subjective shade guides. Digital workflows significantly improved the precision and efficiency of spectrophotometer measurements through a digital matrix, enhancing the quality of therapeutic splints obtained. <b>Conclusions</b>: Spectrophotometers are recommended for objective and precise tooth color registration, particularly in bleaching procedures. Integrating a digital positioning matrix enhances measurement accuracy and reliability, supporting effective monitoring and treatment outcomes.</p>\",\"PeriodicalId\":11269,\"journal\":{\"name\":\"Dentistry Journal\",\"volume\":\"13 8\",\"pages\":\"\"},\"PeriodicalIF\":3.1000,\"publicationDate\":\"2025-07-24\",\"publicationTypes\":\"Journal Article\",\"fieldsOfStudy\":null,\"isOpenAccess\":false,\"openAccessPdf\":\"https://www.ncbi.nlm.nih.gov/pmc/articles/PMC12384962/pdf/\",\"citationCount\":\"0\",\"resultStr\":null,\"platform\":\"Semanticscholar\",\"paperid\":null,\"PeriodicalName\":\"Dentistry Journal\",\"FirstCategoryId\":\"1085\",\"ListUrlMain\":\"https://doi.org/10.3390/dj13080339\",\"RegionNum\":0,\"RegionCategory\":null,\"ArticlePicture\":[],\"TitleCN\":null,\"AbstractTextCN\":null,\"PMCID\":null,\"EPubDate\":\"\",\"PubModel\":\"\",\"JCR\":\"Q2\",\"JCRName\":\"DENTISTRY, ORAL SURGERY & MEDICINE\",\"Score\":null,\"Total\":0}","platform":"Semanticscholar","paperid":null,"PeriodicalName":"Dentistry Journal","FirstCategoryId":"1085","ListUrlMain":"https://doi.org/10.3390/dj13080339","RegionNum":0,"RegionCategory":null,"ArticlePicture":[],"TitleCN":null,"AbstractTextCN":null,"PMCID":null,"EPubDate":"","PubModel":"","JCR":"Q2","JCRName":"DENTISTRY, ORAL SURGERY & MEDICINE","Score":null,"Total":0}
引用次数: 0

摘要

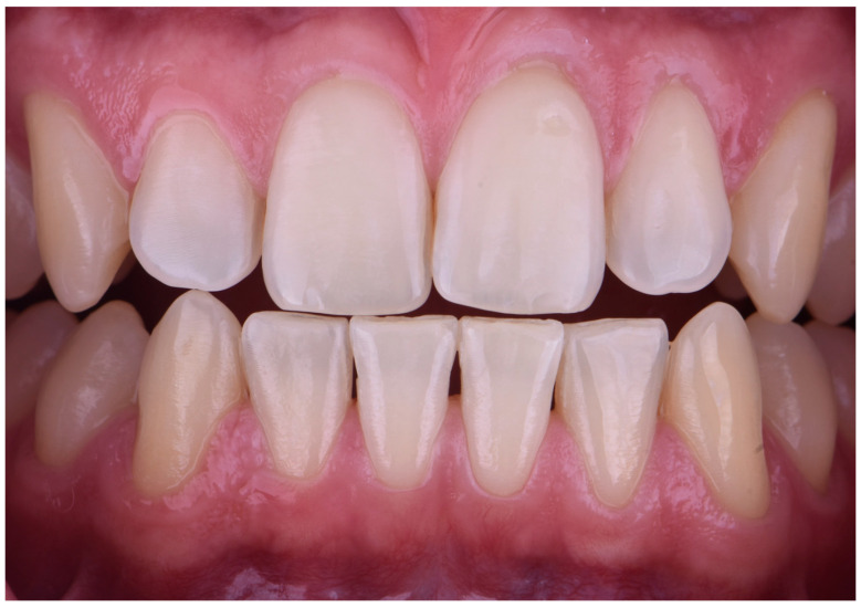
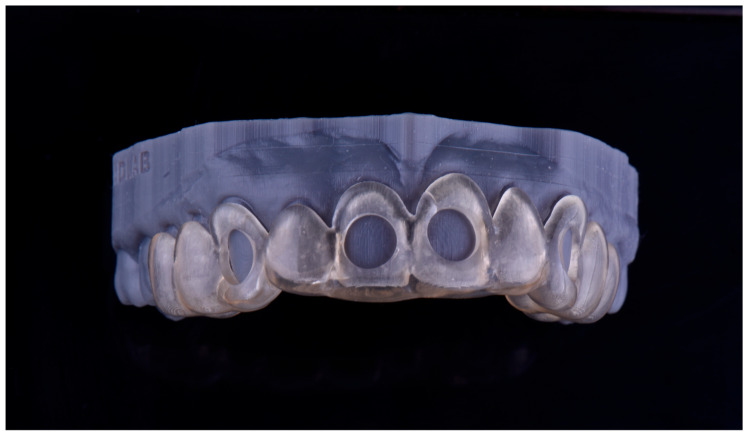
目的:本研究的目的是评估分光光度计用于客观牙齿颜色测量的有效性,特别是在数字定位模板增强的漂白过程中。方法:采用色斑导盲法和分光光度计法进行主观配色和客观配色。选择分光光度计是因为它们能够提供客观、可量化和可重复的结果,这对于准确监测颜色变化至关重要。实施数码工作流程,进一步加强注册程序。这些工作流程包括为分光光度计传感器提供精确的定位矩阵和优化工作模型,以确保高质量的治疗夹板。结果:分光光度计比主观色度仪更能客观地记录牙齿颜色。数字工作流程通过数字矩阵显著提高了分光光度计测量的精度和效率,提高了获得的治疗夹板的质量。结论:推荐使用分光光度计进行客观准确的牙齿颜色登记,特别是在牙齿漂白过程中。集成数字定位矩阵提高了测量精度和可靠性,支持有效的监测和治疗结果。
本文章由计算机程序翻译,如有差异,请以英文原文为准。

The Use of a Digitally Generated Matrix for Consistent Shade Recording in Tooth Bleaching-A Case Report.

The Use of a Digitally Generated Matrix for Consistent Shade Recording in Tooth Bleaching-A Case Report.

The Use of a Digitally Generated Matrix for Consistent Shade Recording in Tooth Bleaching-A Case Report.

The Use of a Digitally Generated Matrix for Consistent Shade Recording in Tooth Bleaching-A Case Report.

Objectives: The aim of this study was to evaluate the effectiveness of spectrophotometers for objective tooth color measurement, particularly in bleaching procedures enhanced by digital positioning templates. Methods: Tooth color registration was conducted using both subjective methods with shade guides and objective methods with spectrophotometers. Spectrophotometers were chosen for their ability to provide objective, quantifiable, and reproducible results, crucial for monitoring color modifications accurately. Digital workflows were implemented to enhance the registration process further. These workflows included providing a precise positioning matrix for spectrophotometer sensors and optimizing working models to ensure high-quality therapeutic splints. Results: The use of spectrophotometers demonstrated superior performance in registering tooth color objectively compared to subjective shade guides. Digital workflows significantly improved the precision and efficiency of spectrophotometer measurements through a digital matrix, enhancing the quality of therapeutic splints obtained. Conclusions: Spectrophotometers are recommended for objective and precise tooth color registration, particularly in bleaching procedures. Integrating a digital positioning matrix enhances measurement accuracy and reliability, supporting effective monitoring and treatment outcomes.

求助全文
通过发布文献求助,成功后即可免费获取论文全文。 去求助
来源期刊
Dentistry Journal
Dentistry Journal Dentistry-Dentistry (all)
CiteScore
3.70
自引率
7.70%
发文量
213
审稿时长
11 weeks
×
引用
GB/T 7714-2015
复制
MLA
复制
APA
复制
导出至
BibTeX EndNote RefMan NoteFirst NoteExpress
×
提示
您的信息不完整,为了账户安全,请先补充。
现在去补充
×
提示
您因"违规操作"
具体请查看互助需知
我知道了
×
提示
确定
请完成安全验证×
copy
已复制链接
快去分享给好友吧!
我知道了
右上角分享
点击右上角分享
0
联系我们:info@booksci.cn Book学术提供免费学术资源搜索服务,方便国内外学者检索中英文文献。致力于提供最便捷和优质的服务体验。 Copyright © 2023 布克学术 All rights reserved.
京ICP备2023020795号-1
ghs 京公网安备 11010802042870号
Book学术文献互助
Book学术文献互助群
群 号:604180095
Book学术官方微信