遗传性平滑肌瘤病及肾癌综合征患者双侧多囊富马酸水合酶缺陷性肾癌1例报告及文献复习。

IF 2.3 3区 医学 Q2 PATHOLOGY
Ashlie E Rubrecht, Jennifer H Aldrink, Patrick Warren, Mariam T Mathew, Karen Tsuchiya, Nicole Moulas, Vinay Prasad, Nilay Shah
{"title":"遗传性平滑肌瘤病及肾癌综合征患者双侧多囊富马酸水合酶缺陷性肾癌1例报告及文献复习。","authors":"Ashlie E Rubrecht, Jennifer H Aldrink, Patrick Warren, Mariam T Mathew, Karen Tsuchiya, Nicole Moulas, Vinay Prasad, Nilay Shah","doi":"10.1186/s13000-025-01706-2","DOIUrl":null,"url":null,"abstract":"<p><strong>Background: </strong>Hereditary leiomyomatosis and renal cell carcinoma syndrome (HLRCC) is an autosomal dominant tumor predisposition syndrome with germline fumarate hydratase (FH) pathogenic variants. We describe the unusual clinical presentation, morphologic, and immunohistochemical features of bilateral renal cell carcinoma (RCC) occurring in polycystic kidneys in a 15-year-old male with HLRCC.</p><p><strong>Case presentation: </strong>The patient was diagnosed with bilateral polycystic kidneys at 1-year old. At 8-years old he was diagnosed with cutaneous leiomyomas, prompting germline testing which revealed heterozygous variant (c.1301G > A) in the FH gene. Serial imaging identified interval enlargement of several bilateral renal lesions with solid components. Biopsy of a right solid lesion revealed an oncocytic neoplasm. He underwent left total nephrectomy and right partial nephrectomy, revealing numerous bilateral solid and cystic lesions, some with papillary excrescences. Histologic evaluation revealed large cells with eosinophilic to clear cytoplasm and large nuclei with occasional nuclear pseudoinclusions arranged in variable architectural patterns including papillary, tubular, tubulocystic, microcystic and solid. Large cysts were lined by varying thickness of neoplastic cells. By immunohistochemistry, lesional cells were positive for 2-succinocysteine (2SC), TFE3, PAX8 and AMACR, showed retained SDHB, variable FH, and were negative for Cathepsin K, CK20, and CK7. An RNA fusion panel (including TFE3) was negative. Multiple microscopic renal leiomyomas were also present.</p><p><strong>Conclusions: </strong>Multicystic kidney disease has been previously reported in HLRCC but is not currently included in the WHO classification. Bilateral involvement may mimic polycystic kidney disease and cysts may represent precursor lesions. TFE3-positivity raises the possibility of translocation RCC and is a diagnostic pitfall.</p>","PeriodicalId":11237,"journal":{"name":"Diagnostic Pathology","volume":"20 1","pages":"99"},"PeriodicalIF":2.3000,"publicationDate":"2025-08-26","publicationTypes":"Journal Article","fieldsOfStudy":null,"isOpenAccess":false,"openAccessPdf":"https://www.ncbi.nlm.nih.gov/pmc/articles/PMC12379367/pdf/","citationCount":"0","resultStr":"{\"title\":\"Bilateral, multicystic fumarate hydratase-deficient renal cell carcinoma in patient with hereditary leiomyomatosis & renal cell carcinoma syndrome: A case report and review of the literature.\",\"authors\":\"Ashlie E Rubrecht, Jennifer H Aldrink, Patrick Warren, Mariam T Mathew, Karen Tsuchiya, Nicole Moulas, Vinay Prasad, Nilay Shah\",\"doi\":\"10.1186/s13000-025-01706-2\",\"DOIUrl\":null,\"url\":null,\"abstract\":\"<p><strong>Background: </strong>Hereditary leiomyomatosis and renal cell carcinoma syndrome (HLRCC) is an autosomal dominant tumor predisposition syndrome with germline fumarate hydratase (FH) pathogenic variants. We describe the unusual clinical presentation, morphologic, and immunohistochemical features of bilateral renal cell carcinoma (RCC) occurring in polycystic kidneys in a 15-year-old male with HLRCC.</p><p><strong>Case presentation: </strong>The patient was diagnosed with bilateral polycystic kidneys at 1-year old. At 8-years old he was diagnosed with cutaneous leiomyomas, prompting germline testing which revealed heterozygous variant (c.1301G > A) in the FH gene. Serial imaging identified interval enlargement of several bilateral renal lesions with solid components. Biopsy of a right solid lesion revealed an oncocytic neoplasm. He underwent left total nephrectomy and right partial nephrectomy, revealing numerous bilateral solid and cystic lesions, some with papillary excrescences. Histologic evaluation revealed large cells with eosinophilic to clear cytoplasm and large nuclei with occasional nuclear pseudoinclusions arranged in variable architectural patterns including papillary, tubular, tubulocystic, microcystic and solid. Large cysts were lined by varying thickness of neoplastic cells. By immunohistochemistry, lesional cells were positive for 2-succinocysteine (2SC), TFE3, PAX8 and AMACR, showed retained SDHB, variable FH, and were negative for Cathepsin K, CK20, and CK7. An RNA fusion panel (including TFE3) was negative. Multiple microscopic renal leiomyomas were also present.</p><p><strong>Conclusions: </strong>Multicystic kidney disease has been previously reported in HLRCC but is not currently included in the WHO classification. Bilateral involvement may mimic polycystic kidney disease and cysts may represent precursor lesions. TFE3-positivity raises the possibility of translocation RCC and is a diagnostic pitfall.</p>\",\"PeriodicalId\":11237,\"journal\":{\"name\":\"Diagnostic Pathology\",\"volume\":\"20 1\",\"pages\":\"99\"},\"PeriodicalIF\":2.3000,\"publicationDate\":\"2025-08-26\",\"publicationTypes\":\"Journal Article\",\"fieldsOfStudy\":null,\"isOpenAccess\":false,\"openAccessPdf\":\"https://www.ncbi.nlm.nih.gov/pmc/articles/PMC12379367/pdf/\",\"citationCount\":\"0\",\"resultStr\":null,\"platform\":\"Semanticscholar\",\"paperid\":null,\"PeriodicalName\":\"Diagnostic Pathology\",\"FirstCategoryId\":\"3\",\"ListUrlMain\":\"https://doi.org/10.1186/s13000-025-01706-2\",\"RegionNum\":3,\"RegionCategory\":\"医学\",\"ArticlePicture\":[],\"TitleCN\":null,\"AbstractTextCN\":null,\"PMCID\":null,\"EPubDate\":\"\",\"PubModel\":\"\",\"JCR\":\"Q2\",\"JCRName\":\"PATHOLOGY\",\"Score\":null,\"Total\":0}","platform":"Semanticscholar","paperid":null,"PeriodicalName":"Diagnostic Pathology","FirstCategoryId":"3","ListUrlMain":"https://doi.org/10.1186/s13000-025-01706-2","RegionNum":3,"RegionCategory":"医学","ArticlePicture":[],"TitleCN":null,"AbstractTextCN":null,"PMCID":null,"EPubDate":"","PubModel":"","JCR":"Q2","JCRName":"PATHOLOGY","Score":null,"Total":0}
引用次数: 0

摘要

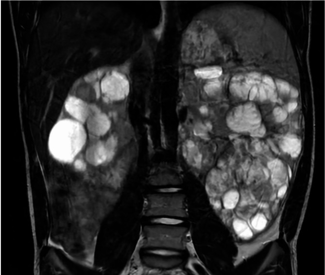
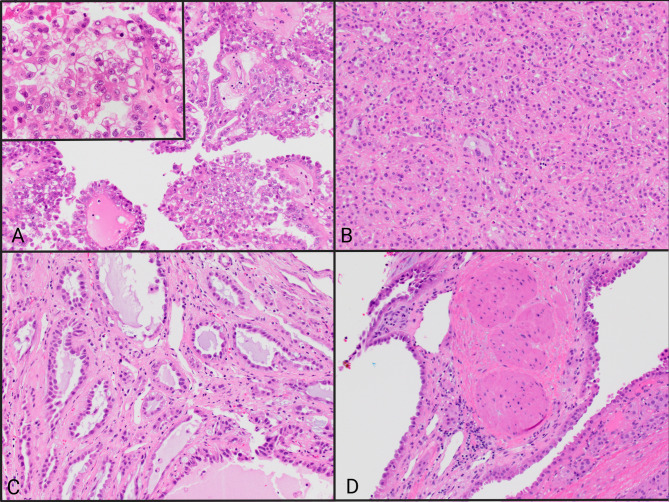
背景:遗传性平滑肌瘤病和肾细胞癌综合征(HLRCC)是一种常染色体显性肿瘤易感性综合征,伴有种系富马酸水合酶(FH)致病变异。我们描述了一名15岁男性多囊肾双侧肾细胞癌(RCC)的不同寻常的临床表现、形态学和免疫组织化学特征。病例介绍:患者在1岁时被诊断为双侧多囊肾。在8岁时,他被诊断为皮肤平滑肌瘤,促使种系检测显示FH基因的杂合变异(c.1301G > A)。连续影像学检查发现双侧肾病变间期增大,伴实性成分。右侧实性病变活检显示为嗜瘤细胞性肿瘤。患者行左侧全肾切除术及右侧部分肾切除术,发现双侧大量实性及囊性病变,部分伴乳头状赘生物。组织学检查显示大细胞具有嗜酸性到透明的细胞质和大细胞核,偶有核假包涵体排列成不同的结构模式,包括乳头状、管状、管囊状、微囊状和实状。大囊肿内排列着不同厚度的肿瘤细胞。通过免疫组化,病变细胞2-琥珀半胱氨酸(2SC)、TFE3、PAX8和AMACR呈阳性,SDHB、可变FH保留,Cathepsin K、CK20和CK7呈阴性。RNA融合板(包括TFE3)为阴性。显微镜下可见多发肾平滑肌瘤。结论:多囊肾脏疾病以前在高肾细胞癌中有报道,但目前未被WHO分类。双侧受累可能与多囊肾病相似,囊肿可能是病变的前兆。tfe3阳性增加了易位性RCC的可能性,是一个诊断缺陷。
本文章由计算机程序翻译,如有差异,请以英文原文为准。

Bilateral, multicystic fumarate hydratase-deficient renal cell carcinoma in patient with hereditary leiomyomatosis & renal cell carcinoma syndrome: A case report and review of the literature.

Bilateral, multicystic fumarate hydratase-deficient renal cell carcinoma in patient with hereditary leiomyomatosis & renal cell carcinoma syndrome: A case report and review of the literature.

Bilateral, multicystic fumarate hydratase-deficient renal cell carcinoma in patient with hereditary leiomyomatosis & renal cell carcinoma syndrome: A case report and review of the literature.

Bilateral, multicystic fumarate hydratase-deficient renal cell carcinoma in patient with hereditary leiomyomatosis & renal cell carcinoma syndrome: A case report and review of the literature.

Background: Hereditary leiomyomatosis and renal cell carcinoma syndrome (HLRCC) is an autosomal dominant tumor predisposition syndrome with germline fumarate hydratase (FH) pathogenic variants. We describe the unusual clinical presentation, morphologic, and immunohistochemical features of bilateral renal cell carcinoma (RCC) occurring in polycystic kidneys in a 15-year-old male with HLRCC.

Case presentation: The patient was diagnosed with bilateral polycystic kidneys at 1-year old. At 8-years old he was diagnosed with cutaneous leiomyomas, prompting germline testing which revealed heterozygous variant (c.1301G > A) in the FH gene. Serial imaging identified interval enlargement of several bilateral renal lesions with solid components. Biopsy of a right solid lesion revealed an oncocytic neoplasm. He underwent left total nephrectomy and right partial nephrectomy, revealing numerous bilateral solid and cystic lesions, some with papillary excrescences. Histologic evaluation revealed large cells with eosinophilic to clear cytoplasm and large nuclei with occasional nuclear pseudoinclusions arranged in variable architectural patterns including papillary, tubular, tubulocystic, microcystic and solid. Large cysts were lined by varying thickness of neoplastic cells. By immunohistochemistry, lesional cells were positive for 2-succinocysteine (2SC), TFE3, PAX8 and AMACR, showed retained SDHB, variable FH, and were negative for Cathepsin K, CK20, and CK7. An RNA fusion panel (including TFE3) was negative. Multiple microscopic renal leiomyomas were also present.

Conclusions: Multicystic kidney disease has been previously reported in HLRCC but is not currently included in the WHO classification. Bilateral involvement may mimic polycystic kidney disease and cysts may represent precursor lesions. TFE3-positivity raises the possibility of translocation RCC and is a diagnostic pitfall.

求助全文
通过发布文献求助,成功后即可免费获取论文全文。 去求助
来源期刊
Diagnostic Pathology
Diagnostic Pathology 医学-病理学
CiteScore
4.60
自引率
0.00%
发文量
93
审稿时长
1 months
期刊介绍: Diagnostic Pathology is an open access, peer-reviewed, online journal that considers research in surgical and clinical pathology, immunology, and biology, with a special focus on cutting-edge approaches in diagnostic pathology and tissue-based therapy. The journal covers all aspects of surgical pathology, including classic diagnostic pathology, prognosis-related diagnosis (tumor stages, prognosis markers, such as MIB-percentage, hormone receptors, etc.), and therapy-related findings. The journal also focuses on the technological aspects of pathology, including molecular biology techniques, morphometry aspects (stereology, DNA analysis, syntactic structure analysis), communication aspects (telecommunication, virtual microscopy, virtual pathology institutions, etc.), and electronic education and quality assurance (for example interactive publication, on-line references with automated updating, etc.).
×
引用
GB/T 7714-2015
复制
MLA
复制
APA
复制
导出至
BibTeX EndNote RefMan NoteFirst NoteExpress
×
提示
您的信息不完整,为了账户安全,请先补充。
现在去补充
×
提示
您因"违规操作"
具体请查看互助需知
我知道了
×
提示
确定
请完成安全验证×
copy
已复制链接
快去分享给好友吧!
我知道了
右上角分享
点击右上角分享
0
联系我们:info@booksci.cn Book学术提供免费学术资源搜索服务,方便国内外学者检索中英文文献。致力于提供最便捷和优质的服务体验。 Copyright © 2023 布克学术 All rights reserved.
京ICP备2023020795号-1
ghs 京公网安备 11010802042870号
Book学术文献互助
Book学术文献互助群
群 号:604180095
Book学术官方微信