托法替尼作为寻常型天疱疮的一种新的治疗选择:一个病例报告和机制见解。

IF 2.2 4区 医学 Q3 DERMATOLOGY
Clinical, Cosmetic and Investigational Dermatology Pub Date : 2025-08-18 eCollection Date: 2025-01-01 DOI:10.2147/CCID.S536993
Xiang Li, Juan Zhang, Lian Zhang, Hongzhi Gu, Zhifang Zhai, Mingwang Zhang
{"title":"托法替尼作为寻常型天疱疮的一种新的治疗选择:一个病例报告和机制见解。","authors":"Xiang Li, Juan Zhang, Lian Zhang, Hongzhi Gu, Zhifang Zhai, Mingwang Zhang","doi":"10.2147/CCID.S536993","DOIUrl":null,"url":null,"abstract":"<p><p>Pemphigus vulgaris (PV), a life-threatening autoimmune blistering disorder mediated by pathogenic anti-desmoglein antibodies, manifests clinically with extensive cutaneous and mucosal vesicles, bullae, and erosions. While corticosteroids remain first-line therapy, a substantial subset of patients develop refractory disease requiring advanced therapies. Tofacitinib, an oral Janus kinase (JAK) 1/3 inhibitor, demonstrates broad immunomodulatory effects through interference with cytokine signaling pathways. We report the case of a 50-year-old male with recalcitrant PV who achieved sustained remission following adjunctive tofacitinib therapy. Combination therapy with tofacitinib (5 mg twice daily) and prednisone (60 mg/day) enabled successful corticosteroids withdrawal within 5 months, achieving complete clinical remission (PDAI=0) and serological improvement (Dsg1/Dsg3 antibodies reduced by 64.5%/75.8%). Longitudinal immunohistochemistry (IHC) revealed attenuated phospho-STAT3 and phospho-STAT6 in post-treatment lesional skin compared to baseline. Proteomic profiling of PV lesions (n=3) versus healthy controls (n=3) identified 198 differentially expressed proteins (fold change >1.5, p<0.05), with KEGG pathway analysis revealing predominant enrichment in JAK-STAT signaling, IL-17-mediated inflammation, and lymphocyte differentiation pathways. Independent validation in an expanded cohort (5 PV vs 5 controls) confirmed constitutive JAK-STAT hyperactivation: phospho-STAT3 (7.2±1.64 vs 1±0, p<0.001) and phospho-STAT6 (9.6±1.34 vs 1.2±0.45, p<0.001) were markedly elevated in untreated PV lesions. These findings posit tofacitinib as a promising steroid-sparing agent in PV management, potentially through multimodal inhibition of pathogenic cytokine networks. Large-scale randomized controlled trials are warranted to validate these observations.</p>","PeriodicalId":10447,"journal":{"name":"Clinical, Cosmetic and Investigational Dermatology","volume":"18 ","pages":"1953-1958"},"PeriodicalIF":2.2000,"publicationDate":"2025-08-18","publicationTypes":"Journal Article","fieldsOfStudy":null,"isOpenAccess":false,"openAccessPdf":"https://www.ncbi.nlm.nih.gov/pmc/articles/PMC12372842/pdf/","citationCount":"0","resultStr":"{\"title\":\"Tofacitinib as a Novel Therapeutic Option for Pemphigus Vulgaris: A Case Report and Mechanistic Insights.\",\"authors\":\"Xiang Li, Juan Zhang, Lian Zhang, Hongzhi Gu, Zhifang Zhai, Mingwang Zhang\",\"doi\":\"10.2147/CCID.S536993\",\"DOIUrl\":null,\"url\":null,\"abstract\":\"<p><p>Pemphigus vulgaris (PV), a life-threatening autoimmune blistering disorder mediated by pathogenic anti-desmoglein antibodies, manifests clinically with extensive cutaneous and mucosal vesicles, bullae, and erosions. While corticosteroids remain first-line therapy, a substantial subset of patients develop refractory disease requiring advanced therapies. Tofacitinib, an oral Janus kinase (JAK) 1/3 inhibitor, demonstrates broad immunomodulatory effects through interference with cytokine signaling pathways. We report the case of a 50-year-old male with recalcitrant PV who achieved sustained remission following adjunctive tofacitinib therapy. Combination therapy with tofacitinib (5 mg twice daily) and prednisone (60 mg/day) enabled successful corticosteroids withdrawal within 5 months, achieving complete clinical remission (PDAI=0) and serological improvement (Dsg1/Dsg3 antibodies reduced by 64.5%/75.8%). Longitudinal immunohistochemistry (IHC) revealed attenuated phospho-STAT3 and phospho-STAT6 in post-treatment lesional skin compared to baseline. Proteomic profiling of PV lesions (n=3) versus healthy controls (n=3) identified 198 differentially expressed proteins (fold change >1.5, p<0.05), with KEGG pathway analysis revealing predominant enrichment in JAK-STAT signaling, IL-17-mediated inflammation, and lymphocyte differentiation pathways. Independent validation in an expanded cohort (5 PV vs 5 controls) confirmed constitutive JAK-STAT hyperactivation: phospho-STAT3 (7.2±1.64 vs 1±0, p<0.001) and phospho-STAT6 (9.6±1.34 vs 1.2±0.45, p<0.001) were markedly elevated in untreated PV lesions. These findings posit tofacitinib as a promising steroid-sparing agent in PV management, potentially through multimodal inhibition of pathogenic cytokine networks. Large-scale randomized controlled trials are warranted to validate these observations.</p>\",\"PeriodicalId\":10447,\"journal\":{\"name\":\"Clinical, Cosmetic and Investigational Dermatology\",\"volume\":\"18 \",\"pages\":\"1953-1958\"},\"PeriodicalIF\":2.2000,\"publicationDate\":\"2025-08-18\",\"publicationTypes\":\"Journal Article\",\"fieldsOfStudy\":null,\"isOpenAccess\":false,\"openAccessPdf\":\"https://www.ncbi.nlm.nih.gov/pmc/articles/PMC12372842/pdf/\",\"citationCount\":\"0\",\"resultStr\":null,\"platform\":\"Semanticscholar\",\"paperid\":null,\"PeriodicalName\":\"Clinical, Cosmetic and Investigational Dermatology\",\"FirstCategoryId\":\"3\",\"ListUrlMain\":\"https://doi.org/10.2147/CCID.S536993\",\"RegionNum\":4,\"RegionCategory\":\"医学\",\"ArticlePicture\":[],\"TitleCN\":null,\"AbstractTextCN\":null,\"PMCID\":null,\"EPubDate\":\"2025/1/1 0:00:00\",\"PubModel\":\"eCollection\",\"JCR\":\"Q3\",\"JCRName\":\"DERMATOLOGY\",\"Score\":null,\"Total\":0}","platform":"Semanticscholar","paperid":null,"PeriodicalName":"Clinical, Cosmetic and Investigational Dermatology","FirstCategoryId":"3","ListUrlMain":"https://doi.org/10.2147/CCID.S536993","RegionNum":4,"RegionCategory":"医学","ArticlePicture":[],"TitleCN":null,"AbstractTextCN":null,"PMCID":null,"EPubDate":"2025/1/1 0:00:00","PubModel":"eCollection","JCR":"Q3","JCRName":"DERMATOLOGY","Score":null,"Total":0}
引用次数: 0

摘要

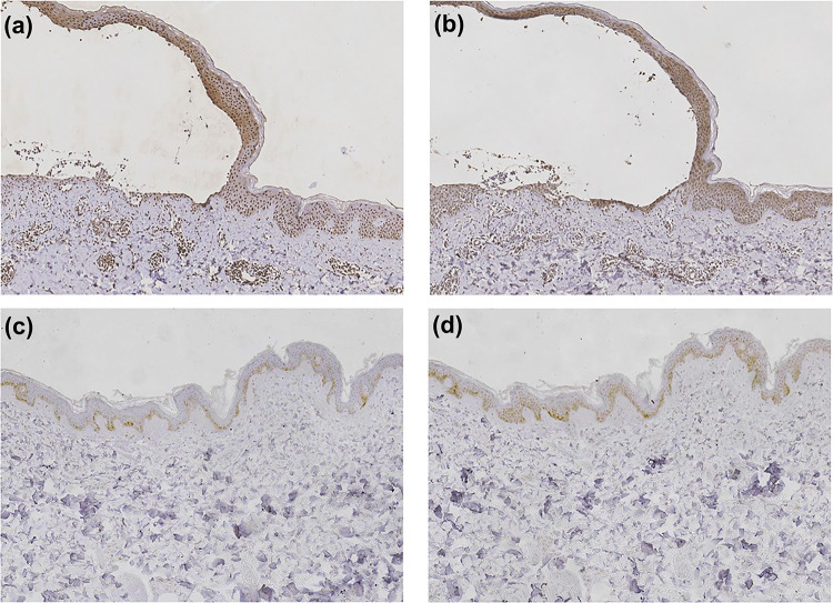
寻常型天疱疮(Pemphigus vulgaris, PV)是一种由致病性抗粘连蛋白抗体介导的危及生命的自身免疫性起泡疾病,临床表现为广泛的皮肤和粘膜囊泡、大泡和糜烂。虽然皮质类固醇仍然是一线治疗,但相当一部分患者出现难治性疾病,需要先进的治疗。Tofacitinib是一种口服Janus激酶(JAK) 1/3抑制剂,通过干扰细胞因子信号通路显示出广泛的免疫调节作用。我们报告一例50岁男性顽固性PV患者在辅助托法替尼治疗后获得持续缓解。托法替尼(5 mg,每日2次)和强的松(60 mg/天)联合治疗可在5个月内成功停用皮质类固醇,实现完全临床缓解(PDAI=0)和血清学改善(Dsg1/Dsg3抗体降低64.5%/75.8%)。纵向免疫组织化学(IHC)显示,与基线相比,治疗后病变皮肤的phospho-STAT3和phospho-STAT6减弱。PV病变(n=3)与健康对照(n=3)的蛋白质组学分析鉴定出198个差异表达的蛋白(fold change bbb1.5, p
本文章由计算机程序翻译,如有差异,请以英文原文为准。

Tofacitinib as a Novel Therapeutic Option for Pemphigus Vulgaris: A Case Report and Mechanistic Insights.

Tofacitinib as a Novel Therapeutic Option for Pemphigus Vulgaris: A Case Report and Mechanistic Insights.

Tofacitinib as a Novel Therapeutic Option for Pemphigus Vulgaris: A Case Report and Mechanistic Insights.

Tofacitinib as a Novel Therapeutic Option for Pemphigus Vulgaris: A Case Report and Mechanistic Insights.

Pemphigus vulgaris (PV), a life-threatening autoimmune blistering disorder mediated by pathogenic anti-desmoglein antibodies, manifests clinically with extensive cutaneous and mucosal vesicles, bullae, and erosions. While corticosteroids remain first-line therapy, a substantial subset of patients develop refractory disease requiring advanced therapies. Tofacitinib, an oral Janus kinase (JAK) 1/3 inhibitor, demonstrates broad immunomodulatory effects through interference with cytokine signaling pathways. We report the case of a 50-year-old male with recalcitrant PV who achieved sustained remission following adjunctive tofacitinib therapy. Combination therapy with tofacitinib (5 mg twice daily) and prednisone (60 mg/day) enabled successful corticosteroids withdrawal within 5 months, achieving complete clinical remission (PDAI=0) and serological improvement (Dsg1/Dsg3 antibodies reduced by 64.5%/75.8%). Longitudinal immunohistochemistry (IHC) revealed attenuated phospho-STAT3 and phospho-STAT6 in post-treatment lesional skin compared to baseline. Proteomic profiling of PV lesions (n=3) versus healthy controls (n=3) identified 198 differentially expressed proteins (fold change >1.5, p<0.05), with KEGG pathway analysis revealing predominant enrichment in JAK-STAT signaling, IL-17-mediated inflammation, and lymphocyte differentiation pathways. Independent validation in an expanded cohort (5 PV vs 5 controls) confirmed constitutive JAK-STAT hyperactivation: phospho-STAT3 (7.2±1.64 vs 1±0, p<0.001) and phospho-STAT6 (9.6±1.34 vs 1.2±0.45, p<0.001) were markedly elevated in untreated PV lesions. These findings posit tofacitinib as a promising steroid-sparing agent in PV management, potentially through multimodal inhibition of pathogenic cytokine networks. Large-scale randomized controlled trials are warranted to validate these observations.

求助全文
通过发布文献求助,成功后即可免费获取论文全文。 去求助
来源期刊
CiteScore
2.80
自引率
4.30%
发文量
353
审稿时长
16 weeks
期刊介绍: Clinical, Cosmetic and Investigational Dermatology is an international, peer-reviewed, open access journal that focuses on the latest clinical and experimental research in all aspects of skin disease and cosmetic interventions. Normal and pathological processes in skin development and aging, their modification and treatment, as well as basic research into histology of dermal and dermal structures that provide clinical insights and potential treatment options are key topics for the journal. Patient satisfaction, preference, quality of life, compliance, persistence and their role in developing new management options to optimize outcomes for target conditions constitute major areas of interest. The journal is characterized by the rapid reporting of clinical studies, reviews and original research in skin research and skin care. All areas of dermatology will be covered; contributions will be welcomed from all clinicians and basic science researchers globally.
×
引用
GB/T 7714-2015
复制
MLA
复制
APA
复制
导出至
BibTeX EndNote RefMan NoteFirst NoteExpress
×
提示
您的信息不完整,为了账户安全,请先补充。
现在去补充
×
提示
您因"违规操作"
具体请查看互助需知
我知道了
×
提示
确定
请完成安全验证×
copy
已复制链接
快去分享给好友吧!
我知道了
右上角分享
点击右上角分享
0
联系我们:info@booksci.cn Book学术提供免费学术资源搜索服务,方便国内外学者检索中英文文献。致力于提供最便捷和优质的服务体验。 Copyright © 2023 布克学术 All rights reserved.
京ICP备2023020795号-1
ghs 京公网安备 11010802042870号
Book学术文献互助
Book学术文献互助群
群 号:604180095
Book学术官方微信