鞣花酸通过CSNK2A1介导皮肤成纤维细胞衰老的延缓。

IF 2.2 4区 医学 Q3 DERMATOLOGY
Clinical, Cosmetic and Investigational Dermatology Pub Date : 2025-08-20 eCollection Date: 2025-01-01 DOI:10.2147/CCID.S523963
Ziwei Zhang, Pu Yang, Yang Sun, Xinhai Yu, Xiangyu Chen, Xiancheng Wang
{"title":"鞣花酸通过CSNK2A1介导皮肤成纤维细胞衰老的延缓。","authors":"Ziwei Zhang, Pu Yang, Yang Sun, Xinhai Yu, Xiangyu Chen, Xiancheng Wang","doi":"10.2147/CCID.S523963","DOIUrl":null,"url":null,"abstract":"<p><strong>Objective: </strong>This research seeks to explore the impact of Ellagic Acid (EA) on the aging process of human dermal fibroblasts Hs68 cells and to uncover the mechanisms involved.</p><p><strong>Methods: </strong>Senescence was induced in Hs68 cells with H<sub>2</sub>O<sub>2</sub>, followed by treatment with EA and CSNK2A1 inhibitor (Silmitasertib). Bioinformatics identified EA's downstream targets. Cell viability was assessed by MTT assays, and senescence markers (γH2AX, p16, p19, p53), CSNK2A1, Nrf2, and NF-κB p65 were analyzed by Western blot. Inflammatory cytokines (IL-6, TNF-α, IL-1β) and oxidative stress markers (SOD, MDA, GSH/GSSG) were measured. ROS levels were assessed by fluorescence staining, senescence by SA-β-gal staining, cell cycle by flow cytometry and apoptosis by TUNEL assay.</p><p><strong>Results: </strong>Senescent cells showed increased γH2AX, p16, p19, and p53 expression, with reduced viability. EA inhibited senescence in a dose-dependent manner, with cytotoxicity at 60 μM. EA upregulated CSNK2A1, decreased β-galactosidase activity, restored cell viability and cycle progression, and reduced apoptosis. EA alleviated oxidative stress by enhancing Nrf2 expression, reducing ROS and MDA, and increasing SOD and GSH/GSSG. Silmitasertib negated these effects. EA also reduced IL-6, TNF-α, and IL-1β, inhibiting NF-κB p65, with anti-inflammatory effects mediated by CSNK2A1.</p><p><strong>Conclusion: </strong>EA delays dermal fibroblast senescence by modulating CSNK2A1, mitigating oxidative stress and inflammation, and may serve as a potential therapeutic for aging and age-related diseases.</p>","PeriodicalId":10447,"journal":{"name":"Clinical, Cosmetic and Investigational Dermatology","volume":"18 ","pages":"1971-1983"},"PeriodicalIF":2.2000,"publicationDate":"2025-08-20","publicationTypes":"Journal Article","fieldsOfStudy":null,"isOpenAccess":false,"openAccessPdf":"https://www.ncbi.nlm.nih.gov/pmc/articles/PMC12375307/pdf/","citationCount":"0","resultStr":"{\"title\":\"Ellagic Acid Mediates the Delay of Dermal Fibroblast Senescence via CSNK2A1.\",\"authors\":\"Ziwei Zhang, Pu Yang, Yang Sun, Xinhai Yu, Xiangyu Chen, Xiancheng Wang\",\"doi\":\"10.2147/CCID.S523963\",\"DOIUrl\":null,\"url\":null,\"abstract\":\"<p><strong>Objective: </strong>This research seeks to explore the impact of Ellagic Acid (EA) on the aging process of human dermal fibroblasts Hs68 cells and to uncover the mechanisms involved.</p><p><strong>Methods: </strong>Senescence was induced in Hs68 cells with H<sub>2</sub>O<sub>2</sub>, followed by treatment with EA and CSNK2A1 inhibitor (Silmitasertib). Bioinformatics identified EA's downstream targets. Cell viability was assessed by MTT assays, and senescence markers (γH2AX, p16, p19, p53), CSNK2A1, Nrf2, and NF-κB p65 were analyzed by Western blot. Inflammatory cytokines (IL-6, TNF-α, IL-1β) and oxidative stress markers (SOD, MDA, GSH/GSSG) were measured. ROS levels were assessed by fluorescence staining, senescence by SA-β-gal staining, cell cycle by flow cytometry and apoptosis by TUNEL assay.</p><p><strong>Results: </strong>Senescent cells showed increased γH2AX, p16, p19, and p53 expression, with reduced viability. EA inhibited senescence in a dose-dependent manner, with cytotoxicity at 60 μM. EA upregulated CSNK2A1, decreased β-galactosidase activity, restored cell viability and cycle progression, and reduced apoptosis. EA alleviated oxidative stress by enhancing Nrf2 expression, reducing ROS and MDA, and increasing SOD and GSH/GSSG. Silmitasertib negated these effects. EA also reduced IL-6, TNF-α, and IL-1β, inhibiting NF-κB p65, with anti-inflammatory effects mediated by CSNK2A1.</p><p><strong>Conclusion: </strong>EA delays dermal fibroblast senescence by modulating CSNK2A1, mitigating oxidative stress and inflammation, and may serve as a potential therapeutic for aging and age-related diseases.</p>\",\"PeriodicalId\":10447,\"journal\":{\"name\":\"Clinical, Cosmetic and Investigational Dermatology\",\"volume\":\"18 \",\"pages\":\"1971-1983\"},\"PeriodicalIF\":2.2000,\"publicationDate\":\"2025-08-20\",\"publicationTypes\":\"Journal Article\",\"fieldsOfStudy\":null,\"isOpenAccess\":false,\"openAccessPdf\":\"https://www.ncbi.nlm.nih.gov/pmc/articles/PMC12375307/pdf/\",\"citationCount\":\"0\",\"resultStr\":null,\"platform\":\"Semanticscholar\",\"paperid\":null,\"PeriodicalName\":\"Clinical, Cosmetic and Investigational Dermatology\",\"FirstCategoryId\":\"3\",\"ListUrlMain\":\"https://doi.org/10.2147/CCID.S523963\",\"RegionNum\":4,\"RegionCategory\":\"医学\",\"ArticlePicture\":[],\"TitleCN\":null,\"AbstractTextCN\":null,\"PMCID\":null,\"EPubDate\":\"2025/1/1 0:00:00\",\"PubModel\":\"eCollection\",\"JCR\":\"Q3\",\"JCRName\":\"DERMATOLOGY\",\"Score\":null,\"Total\":0}","platform":"Semanticscholar","paperid":null,"PeriodicalName":"Clinical, Cosmetic and Investigational Dermatology","FirstCategoryId":"3","ListUrlMain":"https://doi.org/10.2147/CCID.S523963","RegionNum":4,"RegionCategory":"医学","ArticlePicture":[],"TitleCN":null,"AbstractTextCN":null,"PMCID":null,"EPubDate":"2025/1/1 0:00:00","PubModel":"eCollection","JCR":"Q3","JCRName":"DERMATOLOGY","Score":null,"Total":0}
引用次数: 0

摘要

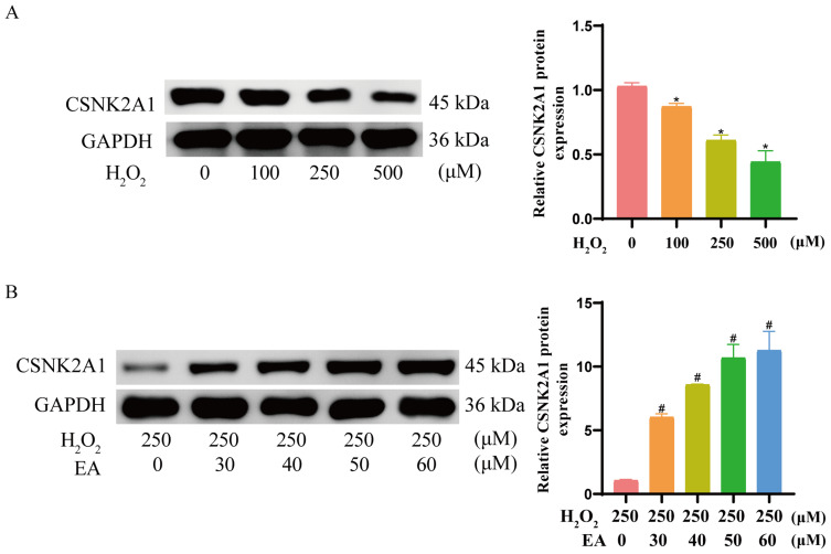
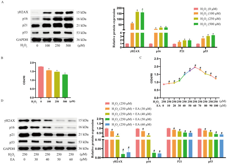
目的:探讨鞣花酸(eragic Acid, EA)对人真皮成纤维细胞Hs68衰老过程的影响,并揭示其机制。方法:用H2O2诱导Hs68细胞衰老,然后用EA和CSNK2A1抑制剂(Silmitasertib)处理。生物信息学鉴定了EA的下游目标。MTT法检测细胞活力,Western blot法检测衰老标志物(γ - h2ax、p16、p19、p53)、CSNK2A1、Nrf2、NF-κB p65。检测炎症因子(IL-6、TNF-α、IL-1β)和氧化应激标志物(SOD、MDA、GSH/GSSG)。荧光染色法观察ROS水平,SA-β-gal染色法观察衰老,流式细胞术观察细胞周期,TUNEL法观察细胞凋亡。结果:衰老细胞γ - h2ax、p16、p19、p53表达增加,细胞活力降低。EA抑制衰老呈剂量依赖性,在60 μM时具有细胞毒性。EA上调CSNK2A1,降低β-半乳糖苷酶活性,恢复细胞活力和周期进程,减少细胞凋亡。EA通过提高Nrf2表达、降低ROS和MDA、提高SOD和GSH/GSSG来缓解氧化应激。Silmitasertib抵消了这些影响。EA还能降低IL-6、TNF-α和IL-1β,抑制NF-κB p65,具有CSNK2A1介导的抗炎作用。结论:EA通过调节CSNK2A1延缓真皮成纤维细胞衰老,减轻氧化应激和炎症,可能是治疗衰老和年龄相关疾病的潜在药物。
本文章由计算机程序翻译,如有差异,请以英文原文为准。

Ellagic Acid Mediates the Delay of Dermal Fibroblast Senescence via CSNK2A1.

Ellagic Acid Mediates the Delay of Dermal Fibroblast Senescence via CSNK2A1.

Ellagic Acid Mediates the Delay of Dermal Fibroblast Senescence via CSNK2A1.

Ellagic Acid Mediates the Delay of Dermal Fibroblast Senescence via CSNK2A1.

Objective: This research seeks to explore the impact of Ellagic Acid (EA) on the aging process of human dermal fibroblasts Hs68 cells and to uncover the mechanisms involved.

Methods: Senescence was induced in Hs68 cells with H2O2, followed by treatment with EA and CSNK2A1 inhibitor (Silmitasertib). Bioinformatics identified EA's downstream targets. Cell viability was assessed by MTT assays, and senescence markers (γH2AX, p16, p19, p53), CSNK2A1, Nrf2, and NF-κB p65 were analyzed by Western blot. Inflammatory cytokines (IL-6, TNF-α, IL-1β) and oxidative stress markers (SOD, MDA, GSH/GSSG) were measured. ROS levels were assessed by fluorescence staining, senescence by SA-β-gal staining, cell cycle by flow cytometry and apoptosis by TUNEL assay.

Results: Senescent cells showed increased γH2AX, p16, p19, and p53 expression, with reduced viability. EA inhibited senescence in a dose-dependent manner, with cytotoxicity at 60 μM. EA upregulated CSNK2A1, decreased β-galactosidase activity, restored cell viability and cycle progression, and reduced apoptosis. EA alleviated oxidative stress by enhancing Nrf2 expression, reducing ROS and MDA, and increasing SOD and GSH/GSSG. Silmitasertib negated these effects. EA also reduced IL-6, TNF-α, and IL-1β, inhibiting NF-κB p65, with anti-inflammatory effects mediated by CSNK2A1.

Conclusion: EA delays dermal fibroblast senescence by modulating CSNK2A1, mitigating oxidative stress and inflammation, and may serve as a potential therapeutic for aging and age-related diseases.

求助全文
通过发布文献求助,成功后即可免费获取论文全文。 去求助
来源期刊
CiteScore
2.80
自引率
4.30%
发文量
353
审稿时长
16 weeks
期刊介绍: Clinical, Cosmetic and Investigational Dermatology is an international, peer-reviewed, open access journal that focuses on the latest clinical and experimental research in all aspects of skin disease and cosmetic interventions. Normal and pathological processes in skin development and aging, their modification and treatment, as well as basic research into histology of dermal and dermal structures that provide clinical insights and potential treatment options are key topics for the journal. Patient satisfaction, preference, quality of life, compliance, persistence and their role in developing new management options to optimize outcomes for target conditions constitute major areas of interest. The journal is characterized by the rapid reporting of clinical studies, reviews and original research in skin research and skin care. All areas of dermatology will be covered; contributions will be welcomed from all clinicians and basic science researchers globally.
×
引用
GB/T 7714-2015
复制
MLA
复制
APA
复制
导出至
BibTeX EndNote RefMan NoteFirst NoteExpress
×
提示
您的信息不完整,为了账户安全,请先补充。
现在去补充
×
提示
您因"违规操作"
具体请查看互助需知
我知道了
×
提示
确定
请完成安全验证×
copy
已复制链接
快去分享给好友吧!
我知道了
右上角分享
点击右上角分享
0
联系我们:info@booksci.cn Book学术提供免费学术资源搜索服务,方便国内外学者检索中英文文献。致力于提供最便捷和优质的服务体验。 Copyright © 2023 布克学术 All rights reserved.
京ICP备2023020795号-1
ghs 京公网安备 11010802042870号
Book学术文献互助
Book学术文献互助群
群 号:604180095
Book学术官方微信