从肠道到心脏:沙门氏菌肠胃炎并发心肌炎1例报告。

IF 3.9 4区 医学 Q1 MEDICINE, GENERAL & INTERNAL
Orestis Paschalis, Paul Njoku, Amit K J Mandal, Constantinos G Missouris
{"title":"从肠道到心脏:沙门氏菌肠胃炎并发心肌炎1例报告。","authors":"Orestis Paschalis, Paul Njoku, Amit K J Mandal, Constantinos G Missouris","doi":"10.1016/j.clinme.2025.100503","DOIUrl":null,"url":null,"abstract":"<p><p>Acute myocarditis is an inflammatory condition of the heart muscle, most commonly caused by viral infections. Bacterial myocarditis, particularly due to non-typhoidal Salmonella (NTS), is exceptionally uncommon in immunocompetent individuals. We report a rare case of acute myocarditis secondary to Salmonella gastroenteritis in a woman in her early 20s, characterised by elevated cardiac biomarkers, positive stool cultures for Salmonella enterica, electrocardiographic changes and confirmatory cardiac magnetic resonance imaging. Management was conservative with anti-inflammatory monotherapy without antibiotic treatment, resulting in full clinical recovery with resolution of symptoms and normalisation of cardiac biomarkers. This case highlights a rare presentation of NTS-associated myocarditis and suggests that conservative management may be sufficient in selected cases. It underscores the importance of considering bacterial pathogens, including NTS, in the differential diagnosis of acute myocarditis, even in immunocompetent patients, and highlights the utility of multimodal imaging and individualised management strategies in achieving favourable outcomes in bacterial myocarditis.</p>","PeriodicalId":10492,"journal":{"name":"Clinical Medicine","volume":" ","pages":"100503"},"PeriodicalIF":3.9000,"publicationDate":"2025-08-20","publicationTypes":"Journal Article","fieldsOfStudy":null,"isOpenAccess":false,"openAccessPdf":"https://www.ncbi.nlm.nih.gov/pmc/articles/PMC12448003/pdf/","citationCount":"0","resultStr":"{\"title\":\"From gut to heart: Salmonella gastroenteritis complicated by myocarditis: a case report.\",\"authors\":\"Orestis Paschalis, Paul Njoku, Amit K J Mandal, Constantinos G Missouris\",\"doi\":\"10.1016/j.clinme.2025.100503\",\"DOIUrl\":null,\"url\":null,\"abstract\":\"<p><p>Acute myocarditis is an inflammatory condition of the heart muscle, most commonly caused by viral infections. Bacterial myocarditis, particularly due to non-typhoidal Salmonella (NTS), is exceptionally uncommon in immunocompetent individuals. We report a rare case of acute myocarditis secondary to Salmonella gastroenteritis in a woman in her early 20s, characterised by elevated cardiac biomarkers, positive stool cultures for Salmonella enterica, electrocardiographic changes and confirmatory cardiac magnetic resonance imaging. Management was conservative with anti-inflammatory monotherapy without antibiotic treatment, resulting in full clinical recovery with resolution of symptoms and normalisation of cardiac biomarkers. This case highlights a rare presentation of NTS-associated myocarditis and suggests that conservative management may be sufficient in selected cases. It underscores the importance of considering bacterial pathogens, including NTS, in the differential diagnosis of acute myocarditis, even in immunocompetent patients, and highlights the utility of multimodal imaging and individualised management strategies in achieving favourable outcomes in bacterial myocarditis.</p>\",\"PeriodicalId\":10492,\"journal\":{\"name\":\"Clinical Medicine\",\"volume\":\" \",\"pages\":\"100503\"},\"PeriodicalIF\":3.9000,\"publicationDate\":\"2025-08-20\",\"publicationTypes\":\"Journal Article\",\"fieldsOfStudy\":null,\"isOpenAccess\":false,\"openAccessPdf\":\"https://www.ncbi.nlm.nih.gov/pmc/articles/PMC12448003/pdf/\",\"citationCount\":\"0\",\"resultStr\":null,\"platform\":\"Semanticscholar\",\"paperid\":null,\"PeriodicalName\":\"Clinical Medicine\",\"FirstCategoryId\":\"3\",\"ListUrlMain\":\"https://doi.org/10.1016/j.clinme.2025.100503\",\"RegionNum\":4,\"RegionCategory\":\"医学\",\"ArticlePicture\":[],\"TitleCN\":null,\"AbstractTextCN\":null,\"PMCID\":null,\"EPubDate\":\"\",\"PubModel\":\"\",\"JCR\":\"Q1\",\"JCRName\":\"MEDICINE, GENERAL & INTERNAL\",\"Score\":null,\"Total\":0}","platform":"Semanticscholar","paperid":null,"PeriodicalName":"Clinical Medicine","FirstCategoryId":"3","ListUrlMain":"https://doi.org/10.1016/j.clinme.2025.100503","RegionNum":4,"RegionCategory":"医学","ArticlePicture":[],"TitleCN":null,"AbstractTextCN":null,"PMCID":null,"EPubDate":"","PubModel":"","JCR":"Q1","JCRName":"MEDICINE, GENERAL & INTERNAL","Score":null,"Total":0}
引用次数: 0

摘要

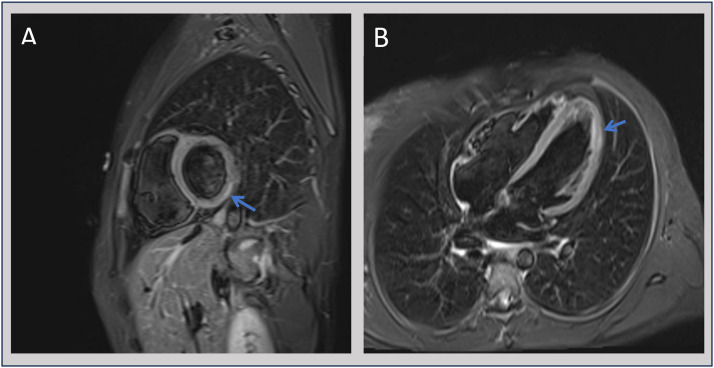
急性心肌炎是心肌的一种炎症,最常见的是由病毒感染引起的。细菌性心肌炎,特别是由于非伤寒沙门氏菌(NTS),是非常罕见的免疫正常的个体。我们报告一例罕见的沙门氏菌胃肠炎继发急性心肌炎病例,患者为23岁女性,其特征是心脏生物标志物升高,肠道沙门氏菌粪便培养阳性,心电图改变,心脏磁共振成像证实。治疗是保守的抗炎单药治疗,没有抗生素治疗,导致临床完全恢复,症状缓解,心脏生物标志物正常化。这个病例强调了一个罕见的nts相关心肌炎的表现,并建议保守管理可能足以在选定的病例。它强调了在急性心肌炎的鉴别诊断中考虑包括NTS在内的细菌性病原体的重要性,即使在免疫功能正常的患者中也是如此,并强调了多模式成像和个体化治疗策略在细菌性心肌炎中取得良好结果的效用。
本文章由计算机程序翻译,如有差异,请以英文原文为准。

From gut to heart: Salmonella gastroenteritis complicated by myocarditis: a case report.

From gut to heart: Salmonella gastroenteritis complicated by myocarditis: a case report.

From gut to heart: Salmonella gastroenteritis complicated by myocarditis: a case report.

From gut to heart: Salmonella gastroenteritis complicated by myocarditis: a case report.

Acute myocarditis is an inflammatory condition of the heart muscle, most commonly caused by viral infections. Bacterial myocarditis, particularly due to non-typhoidal Salmonella (NTS), is exceptionally uncommon in immunocompetent individuals. We report a rare case of acute myocarditis secondary to Salmonella gastroenteritis in a woman in her early 20s, characterised by elevated cardiac biomarkers, positive stool cultures for Salmonella enterica, electrocardiographic changes and confirmatory cardiac magnetic resonance imaging. Management was conservative with anti-inflammatory monotherapy without antibiotic treatment, resulting in full clinical recovery with resolution of symptoms and normalisation of cardiac biomarkers. This case highlights a rare presentation of NTS-associated myocarditis and suggests that conservative management may be sufficient in selected cases. It underscores the importance of considering bacterial pathogens, including NTS, in the differential diagnosis of acute myocarditis, even in immunocompetent patients, and highlights the utility of multimodal imaging and individualised management strategies in achieving favourable outcomes in bacterial myocarditis.

求助全文
通过发布文献求助,成功后即可免费获取论文全文。 去求助
来源期刊
Clinical Medicine
Clinical Medicine 医学-医学:内科
CiteScore
7.20
自引率
0.00%
发文量
0
审稿时长
6-12 weeks
期刊介绍: Clinical Medicine is aimed at practising physicians in the UK and overseas and has relevance to all those managing or working within the healthcare sector. Available in print and online, the journal seeks to encourage high standards of medical care by promoting good clinical practice through original research, review and comment. The journal also includes a dedicated continuing medical education (CME) section in each issue. This presents the latest advances in a chosen specialty, with self-assessment questions at the end of each topic enabling CPD accreditation to be acquired. ISSN: 1470-2118 E-ISSN: 1473-4893 Frequency: 6 issues per year
×
引用
GB/T 7714-2015
复制
MLA
复制
APA
复制
导出至
BibTeX EndNote RefMan NoteFirst NoteExpress
×
提示
您的信息不完整,为了账户安全,请先补充。
现在去补充
×
提示
您因"违规操作"
具体请查看互助需知
我知道了
×
提示
确定
请完成安全验证×
copy
已复制链接
快去分享给好友吧!
我知道了
右上角分享
点击右上角分享
0
联系我们:info@booksci.cn Book学术提供免费学术资源搜索服务,方便国内外学者检索中英文文献。致力于提供最便捷和优质的服务体验。 Copyright © 2023 布克学术 All rights reserved.
京ICP备2023020795号-1
ghs 京公网安备 11010802042870号
Book学术文献互助
Book学术文献互助群
群 号:604180095
Book学术官方微信