补体异常易导致恶性高血压相关血栓性微血管病的发展。

IF 4.6 2区 医学 Q1 UROLOGY & NEPHROLOGY
Clinical Kidney Journal Pub Date : 2025-07-24 eCollection Date: 2025-08-01 DOI:10.1093/ckj/sfaf235
Rong Lian, Wenchuan Li, Yuejiao Li, Xinji Lian, Shengyou Yu, Wanxin Shi, Jianwen Yu, Wei Chen, Jianbo Li, Feng He
{"title":"补体异常易导致恶性高血压相关血栓性微血管病的发展。","authors":"Rong Lian, Wenchuan Li, Yuejiao Li, Xinji Lian, Shengyou Yu, Wanxin Shi, Jianwen Yu, Wei Chen, Jianbo Li, Feng He","doi":"10.1093/ckj/sfaf235","DOIUrl":null,"url":null,"abstract":"<p><strong>Background: </strong>Thrombotic microangiopathy (TMA) is a major complication of malignant hypertension (mHTN). Abnormal complement activation has been recognized as a key determinant of TMA, but less is known about the prognostic significance of complement abnormality in patients with mHTN-associated TMA.</p><p><strong>Methods: </strong>A prospective cohort study was performed in patients with mHTN. All participants had concomitant TMA proven by kidney biopsy after admission between 2008 and 2023, and were divided into normal and abnormal complement groups based on serum C3 and C4 levels. Cox regression models were used to identify risk factors for renal prognosis.</p><p><strong>Results: </strong>A total of 189 mHTN patients with TMA were enrolled in the current study, including 161 (85.2%) patients with normal complement levels and 28 (14.8%) patients with abnormal complement levels. Compared to the normal complement group, patients in the abnormal complement group had lower levels of BMI, hemoglobin, and platelet counts, and more intravascular erythrocyte fragments (21.4% vs 7.5%, <i>P</i> = .02). Notably, a substantial glomerular deposition of C3c and C5b-9 was observed in the abnormal complement group, indicating complement activation <i>in vivo</i>. Importantly, abnormal complement levels were independently associated with worse renal function recovery [hazard ratio (HR), 0.368; 95% CI, 0.140-0.970; <i>P</i> = .043]. In addition, the glomerular sclerosis ratio (HR, 0.971; 95% CI, 0.953-0.989; <i>P</i> = .002) remained an independent predictor of poor renal outcomes.</p><p><strong>Conclusions: </strong>Patients with abnormal complement levels have worse renal prognosis, suggesting that complement abnormality predisposes to the progression of mHTN-associated TMA disease.</p>","PeriodicalId":10435,"journal":{"name":"Clinical Kidney Journal","volume":"18 8","pages":"sfaf235"},"PeriodicalIF":4.6000,"publicationDate":"2025-07-24","publicationTypes":"Journal Article","fieldsOfStudy":null,"isOpenAccess":false,"openAccessPdf":"https://www.ncbi.nlm.nih.gov/pmc/articles/PMC12374187/pdf/","citationCount":"0","resultStr":"{\"title\":\"Complement abnormality predisposes to the development of malignant hypertension-associated thrombotic microangiopathy disease.\",\"authors\":\"Rong Lian, Wenchuan Li, Yuejiao Li, Xinji Lian, Shengyou Yu, Wanxin Shi, Jianwen Yu, Wei Chen, Jianbo Li, Feng He\",\"doi\":\"10.1093/ckj/sfaf235\",\"DOIUrl\":null,\"url\":null,\"abstract\":\"<p><strong>Background: </strong>Thrombotic microangiopathy (TMA) is a major complication of malignant hypertension (mHTN). Abnormal complement activation has been recognized as a key determinant of TMA, but less is known about the prognostic significance of complement abnormality in patients with mHTN-associated TMA.</p><p><strong>Methods: </strong>A prospective cohort study was performed in patients with mHTN. All participants had concomitant TMA proven by kidney biopsy after admission between 2008 and 2023, and were divided into normal and abnormal complement groups based on serum C3 and C4 levels. Cox regression models were used to identify risk factors for renal prognosis.</p><p><strong>Results: </strong>A total of 189 mHTN patients with TMA were enrolled in the current study, including 161 (85.2%) patients with normal complement levels and 28 (14.8%) patients with abnormal complement levels. Compared to the normal complement group, patients in the abnormal complement group had lower levels of BMI, hemoglobin, and platelet counts, and more intravascular erythrocyte fragments (21.4% vs 7.5%, <i>P</i> = .02). Notably, a substantial glomerular deposition of C3c and C5b-9 was observed in the abnormal complement group, indicating complement activation <i>in vivo</i>. Importantly, abnormal complement levels were independently associated with worse renal function recovery [hazard ratio (HR), 0.368; 95% CI, 0.140-0.970; <i>P</i> = .043]. In addition, the glomerular sclerosis ratio (HR, 0.971; 95% CI, 0.953-0.989; <i>P</i> = .002) remained an independent predictor of poor renal outcomes.</p><p><strong>Conclusions: </strong>Patients with abnormal complement levels have worse renal prognosis, suggesting that complement abnormality predisposes to the progression of mHTN-associated TMA disease.</p>\",\"PeriodicalId\":10435,\"journal\":{\"name\":\"Clinical Kidney Journal\",\"volume\":\"18 8\",\"pages\":\"sfaf235\"},\"PeriodicalIF\":4.6000,\"publicationDate\":\"2025-07-24\",\"publicationTypes\":\"Journal Article\",\"fieldsOfStudy\":null,\"isOpenAccess\":false,\"openAccessPdf\":\"https://www.ncbi.nlm.nih.gov/pmc/articles/PMC12374187/pdf/\",\"citationCount\":\"0\",\"resultStr\":null,\"platform\":\"Semanticscholar\",\"paperid\":null,\"PeriodicalName\":\"Clinical Kidney Journal\",\"FirstCategoryId\":\"3\",\"ListUrlMain\":\"https://doi.org/10.1093/ckj/sfaf235\",\"RegionNum\":2,\"RegionCategory\":\"医学\",\"ArticlePicture\":[],\"TitleCN\":null,\"AbstractTextCN\":null,\"PMCID\":null,\"EPubDate\":\"2025/8/1 0:00:00\",\"PubModel\":\"eCollection\",\"JCR\":\"Q1\",\"JCRName\":\"UROLOGY & NEPHROLOGY\",\"Score\":null,\"Total\":0}","platform":"Semanticscholar","paperid":null,"PeriodicalName":"Clinical Kidney Journal","FirstCategoryId":"3","ListUrlMain":"https://doi.org/10.1093/ckj/sfaf235","RegionNum":2,"RegionCategory":"医学","ArticlePicture":[],"TitleCN":null,"AbstractTextCN":null,"PMCID":null,"EPubDate":"2025/8/1 0:00:00","PubModel":"eCollection","JCR":"Q1","JCRName":"UROLOGY & NEPHROLOGY","Score":null,"Total":0}
引用次数: 0

摘要

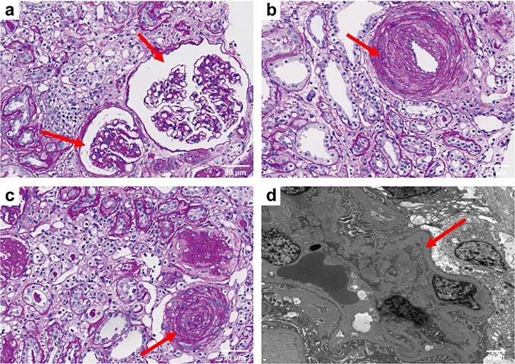
背景:血栓性微血管病变(TMA)是恶性高血压(mHTN)的主要并发症。补体激活异常已被认为是TMA的关键决定因素,但补体异常在mhtn相关TMA患者中的预后意义尚不清楚。方法:对mHTN患者进行前瞻性队列研究。所有参与者在2008年至2023年间入院后均伴有肾活检证实的TMA,并根据血清C3和C4水平分为正常和异常补体组。采用Cox回归模型确定影响肾脏预后的危险因素。结果:本研究共纳入mHTN合并TMA患者189例,其中补体水平正常患者161例(85.2%),补体水平异常患者28例(14.8%)。与正常补体组相比,异常补体组患者BMI、血红蛋白和血小板计数水平较低,血管内红细胞碎片较多(21.4% vs 7.5%, P = 0.02)。值得注意的是,在异常补体组中观察到大量C3c和C5b-9的肾小球沉积,表明体内补体活化。重要的是,补体水平异常与肾功能恢复较差独立相关[危险比(HR), 0.368;95% ci, 0.140-0.970;p = .043]。此外,肾小球硬化比率(HR, 0.971; 95% CI, 0.953-0.989; P = 0.002)仍然是肾脏预后不良的独立预测因子。结论:补体水平异常的患者肾脏预后较差,提示补体异常易导致mhtn相关TMA疾病的进展。
本文章由计算机程序翻译,如有差异,请以英文原文为准。

Complement abnormality predisposes to the development of malignant hypertension-associated thrombotic microangiopathy disease.

Complement abnormality predisposes to the development of malignant hypertension-associated thrombotic microangiopathy disease.

Complement abnormality predisposes to the development of malignant hypertension-associated thrombotic microangiopathy disease.

Complement abnormality predisposes to the development of malignant hypertension-associated thrombotic microangiopathy disease.

Background: Thrombotic microangiopathy (TMA) is a major complication of malignant hypertension (mHTN). Abnormal complement activation has been recognized as a key determinant of TMA, but less is known about the prognostic significance of complement abnormality in patients with mHTN-associated TMA.

Methods: A prospective cohort study was performed in patients with mHTN. All participants had concomitant TMA proven by kidney biopsy after admission between 2008 and 2023, and were divided into normal and abnormal complement groups based on serum C3 and C4 levels. Cox regression models were used to identify risk factors for renal prognosis.

Results: A total of 189 mHTN patients with TMA were enrolled in the current study, including 161 (85.2%) patients with normal complement levels and 28 (14.8%) patients with abnormal complement levels. Compared to the normal complement group, patients in the abnormal complement group had lower levels of BMI, hemoglobin, and platelet counts, and more intravascular erythrocyte fragments (21.4% vs 7.5%, P = .02). Notably, a substantial glomerular deposition of C3c and C5b-9 was observed in the abnormal complement group, indicating complement activation in vivo. Importantly, abnormal complement levels were independently associated with worse renal function recovery [hazard ratio (HR), 0.368; 95% CI, 0.140-0.970; P = .043]. In addition, the glomerular sclerosis ratio (HR, 0.971; 95% CI, 0.953-0.989; P = .002) remained an independent predictor of poor renal outcomes.

Conclusions: Patients with abnormal complement levels have worse renal prognosis, suggesting that complement abnormality predisposes to the progression of mHTN-associated TMA disease.

求助全文
通过发布文献求助,成功后即可免费获取论文全文。 去求助
来源期刊
Clinical Kidney Journal
Clinical Kidney Journal Medicine-Transplantation
CiteScore
6.70
自引率
10.90%
发文量
242
审稿时长
8 weeks
期刊介绍: About the Journal Clinical Kidney Journal: Clinical and Translational Nephrology (ckj), an official journal of the ERA-EDTA (European Renal Association-European Dialysis and Transplant Association), is a fully open access, online only journal publishing bimonthly. The journal is an essential educational and training resource integrating clinical, translational and educational research into clinical practice. ckj aims to contribute to a translational research culture among nephrologists and kidney pathologists that helps close the gap between basic researchers and practicing clinicians and promote sorely needed innovation in the Nephrology field. All research articles in this journal have undergone peer review.
×
引用
GB/T 7714-2015
复制
MLA
复制
APA
复制
导出至
BibTeX EndNote RefMan NoteFirst NoteExpress
×
提示
您的信息不完整,为了账户安全,请先补充。
现在去补充
×
提示
您因"违规操作"
具体请查看互助需知
我知道了
×
提示
确定
请完成安全验证×
copy
已复制链接
快去分享给好友吧!
我知道了
右上角分享
点击右上角分享
0
联系我们:info@booksci.cn Book学术提供免费学术资源搜索服务,方便国内外学者检索中英文文献。致力于提供最便捷和优质的服务体验。 Copyright © 2023 布克学术 All rights reserved.
京ICP备2023020795号-1
ghs 京公网安备 11010802042870号
Book学术文献互助
Book学术文献互助群
群 号:604180095
Book学术官方微信