点超声检测肠性肺肿1例报告。

IF 0.6 Q3 MEDICINE, GENERAL & INTERNAL
Clinical Medicine Insights. Case Reports Pub Date : 2025-08-29 eCollection Date: 2025-01-01 DOI:10.1177/11795476251370547
Zouheir Ibrahim Bitar, Ossama Sajeh Maadarani, Mohamad Abdelfatah, Bibin Antony
{"title":"点超声检测肠性肺肿1例报告。","authors":"Zouheir Ibrahim Bitar, Ossama Sajeh Maadarani, Mohamad Abdelfatah, Bibin Antony","doi":"10.1177/11795476251370547","DOIUrl":null,"url":null,"abstract":"<p><p>Pneumatosis intestinalis (PI) is characterized by the presence of air within the walls of the small intestine, large intestine, and sometimes the gastric wall. The mechanism and pathogenesis of PI are poorly understood. The discovery of PI can occur in the form of an incidental finding, such as a benign course or a life-threatening condition, such as intestinal ischemia. Point-of-care ultrasonography (POCUS) for pneumatosis intestinalis (PI) is rarely reported in adults, with only 1 previous poster presentation. However, POCUS is well-documented in the pediatric population, particularly for the diagnosis of intussusception. We present a 78-year-old man with longstanding uncorrected severe pulmonary stenosis, right-sided heart failure, atrial fibrillation on dabigatran, diabetes, and cirrhosis who presented with progressive abdominal distension. POCUS and computerized tomography of the abdomen showed ascites, diffusing small-bowel wall thickening with edema, and pneumatosis intestinalis, without portal venous gas or vascular occlusion. Patient was transitioned to palliative care on diuretics, lactulose; follow-up ultrasound showed only mild ascites but persistent small-bowel PI. This case report marks the second instance of POCUS being utilized for PI in an adult population. POCUS can play an essential diagnostic role at the bedside, ruling out serious underlying etiologies and guiding physicians in further diagnostic testing.</p>","PeriodicalId":10357,"journal":{"name":"Clinical Medicine Insights. Case Reports","volume":"18 ","pages":"11795476251370547"},"PeriodicalIF":0.6000,"publicationDate":"2025-08-29","publicationTypes":"Journal Article","fieldsOfStudy":null,"isOpenAccess":false,"openAccessPdf":"https://www.ncbi.nlm.nih.gov/pmc/articles/PMC12397599/pdf/","citationCount":"0","resultStr":"{\"title\":\"Pneumatosis Intestinalis Detected by Point of Care Ultrasound, Case Report.\",\"authors\":\"Zouheir Ibrahim Bitar, Ossama Sajeh Maadarani, Mohamad Abdelfatah, Bibin Antony\",\"doi\":\"10.1177/11795476251370547\",\"DOIUrl\":null,\"url\":null,\"abstract\":\"<p><p>Pneumatosis intestinalis (PI) is characterized by the presence of air within the walls of the small intestine, large intestine, and sometimes the gastric wall. The mechanism and pathogenesis of PI are poorly understood. The discovery of PI can occur in the form of an incidental finding, such as a benign course or a life-threatening condition, such as intestinal ischemia. Point-of-care ultrasonography (POCUS) for pneumatosis intestinalis (PI) is rarely reported in adults, with only 1 previous poster presentation. However, POCUS is well-documented in the pediatric population, particularly for the diagnosis of intussusception. We present a 78-year-old man with longstanding uncorrected severe pulmonary stenosis, right-sided heart failure, atrial fibrillation on dabigatran, diabetes, and cirrhosis who presented with progressive abdominal distension. POCUS and computerized tomography of the abdomen showed ascites, diffusing small-bowel wall thickening with edema, and pneumatosis intestinalis, without portal venous gas or vascular occlusion. Patient was transitioned to palliative care on diuretics, lactulose; follow-up ultrasound showed only mild ascites but persistent small-bowel PI. This case report marks the second instance of POCUS being utilized for PI in an adult population. POCUS can play an essential diagnostic role at the bedside, ruling out serious underlying etiologies and guiding physicians in further diagnostic testing.</p>\",\"PeriodicalId\":10357,\"journal\":{\"name\":\"Clinical Medicine Insights. Case Reports\",\"volume\":\"18 \",\"pages\":\"11795476251370547\"},\"PeriodicalIF\":0.6000,\"publicationDate\":\"2025-08-29\",\"publicationTypes\":\"Journal Article\",\"fieldsOfStudy\":null,\"isOpenAccess\":false,\"openAccessPdf\":\"https://www.ncbi.nlm.nih.gov/pmc/articles/PMC12397599/pdf/\",\"citationCount\":\"0\",\"resultStr\":null,\"platform\":\"Semanticscholar\",\"paperid\":null,\"PeriodicalName\":\"Clinical Medicine Insights. Case Reports\",\"FirstCategoryId\":\"1085\",\"ListUrlMain\":\"https://doi.org/10.1177/11795476251370547\",\"RegionNum\":0,\"RegionCategory\":null,\"ArticlePicture\":[],\"TitleCN\":null,\"AbstractTextCN\":null,\"PMCID\":null,\"EPubDate\":\"2025/1/1 0:00:00\",\"PubModel\":\"eCollection\",\"JCR\":\"Q3\",\"JCRName\":\"MEDICINE, GENERAL & INTERNAL\",\"Score\":null,\"Total\":0}","platform":"Semanticscholar","paperid":null,"PeriodicalName":"Clinical Medicine Insights. Case Reports","FirstCategoryId":"1085","ListUrlMain":"https://doi.org/10.1177/11795476251370547","RegionNum":0,"RegionCategory":null,"ArticlePicture":[],"TitleCN":null,"AbstractTextCN":null,"PMCID":null,"EPubDate":"2025/1/1 0:00:00","PubModel":"eCollection","JCR":"Q3","JCRName":"MEDICINE, GENERAL & INTERNAL","Score":null,"Total":0}
引用次数: 0

摘要

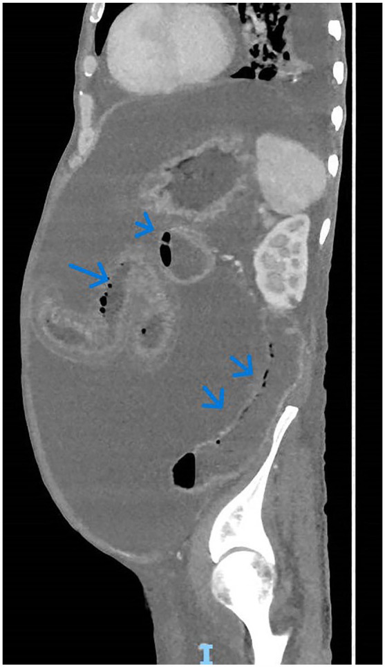
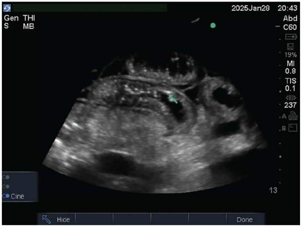
肠性肺肿(PI)的特征是小肠、大肠和有时胃壁内存在空气。PI的发病机制和发病机制尚不清楚。PI的发现可能以偶然发现的形式发生,例如良性病程或危及生命的情况,例如肠缺血。成人肠肺病(PI)的即时超声检查(POCUS)很少有报道,以前只有1张海报。然而,POCUS在儿科人群中有充分的文献记载,特别是用于肠套叠的诊断。我们报告一位78岁的男性患者,长期未纠正严重肺狭窄,右侧心力衰竭,达比加群心房颤动,糖尿病和肝硬化,并表现为进行性腹胀。腹部POCUS及电脑断层显示腹水,弥漫性小肠壁增厚伴水肿,肠性气积,无门静脉气体或血管闭塞。患者被转移到利尿剂,乳果糖的姑息治疗;随访超声显示仅轻度腹水,但持续小肠PI。该病例报告标志着POCUS在成人中用于PI的第二个实例。POCUS可以在床边发挥重要的诊断作用,排除严重的潜在病因,并指导医生进行进一步的诊断测试。
本文章由计算机程序翻译,如有差异,请以英文原文为准。

Pneumatosis Intestinalis Detected by Point of Care Ultrasound, Case Report.

Pneumatosis Intestinalis Detected by Point of Care Ultrasound, Case Report.

Pneumatosis Intestinalis Detected by Point of Care Ultrasound, Case Report.

Pneumatosis Intestinalis Detected by Point of Care Ultrasound, Case Report.

Pneumatosis intestinalis (PI) is characterized by the presence of air within the walls of the small intestine, large intestine, and sometimes the gastric wall. The mechanism and pathogenesis of PI are poorly understood. The discovery of PI can occur in the form of an incidental finding, such as a benign course or a life-threatening condition, such as intestinal ischemia. Point-of-care ultrasonography (POCUS) for pneumatosis intestinalis (PI) is rarely reported in adults, with only 1 previous poster presentation. However, POCUS is well-documented in the pediatric population, particularly for the diagnosis of intussusception. We present a 78-year-old man with longstanding uncorrected severe pulmonary stenosis, right-sided heart failure, atrial fibrillation on dabigatran, diabetes, and cirrhosis who presented with progressive abdominal distension. POCUS and computerized tomography of the abdomen showed ascites, diffusing small-bowel wall thickening with edema, and pneumatosis intestinalis, without portal venous gas or vascular occlusion. Patient was transitioned to palliative care on diuretics, lactulose; follow-up ultrasound showed only mild ascites but persistent small-bowel PI. This case report marks the second instance of POCUS being utilized for PI in an adult population. POCUS can play an essential diagnostic role at the bedside, ruling out serious underlying etiologies and guiding physicians in further diagnostic testing.

求助全文
通过发布文献求助,成功后即可免费获取论文全文。 去求助
来源期刊
Clinical Medicine Insights. Case Reports
Clinical Medicine Insights. Case Reports MEDICINE, GENERAL & INTERNAL-
CiteScore
1.10
自引率
0.00%
发文量
57
审稿时长
8 weeks
×
引用
GB/T 7714-2015
复制
MLA
复制
APA
复制
导出至
BibTeX EndNote RefMan NoteFirst NoteExpress
×
提示
您的信息不完整,为了账户安全,请先补充。
现在去补充
×
提示
您因"违规操作"
具体请查看互助需知
我知道了
×
提示
确定
请完成安全验证×
copy
已复制链接
快去分享给好友吧!
我知道了
右上角分享
点击右上角分享
0
联系我们:info@booksci.cn Book学术提供免费学术资源搜索服务,方便国内外学者检索中英文文献。致力于提供最便捷和优质的服务体验。 Copyright © 2023 布克学术 All rights reserved.
京ICP备2023020795号-1
ghs 京公网安备 11010802042870号
Book学术文献互助
Book学术文献互助群
群 号:604180095
Book学术官方微信