年轻男性双尖瓣主动脉瓣、右侧主动脉-房瘘及单侧冠状动脉的多模态影像分析。

IF 1.6 3区 医学 Q3 CARDIAC & CARDIOVASCULAR SYSTEMS
Marco Fabio Costantino, Gianpaolo D'Addeo, Stefano Mancino, Luisiana Stolfi, Teresa Mannarino
{"title":"年轻男性双尖瓣主动脉瓣、右侧主动脉-房瘘及单侧冠状动脉的多模态影像分析。","authors":"Marco Fabio Costantino, Gianpaolo D'Addeo, Stefano Mancino, Luisiana Stolfi, Teresa Mannarino","doi":"10.1186/s12947-025-00357-z","DOIUrl":null,"url":null,"abstract":"<p><p>A 35-year-old male, without significant cardiovascular history, presented with recurrent palpitations. Initial echocardiographic evaluation demonstrated eccentric left ventricular hypertrophy, mild systolic dysfunction, suspicion of a ventricular septal defect, bicuspid aortic valve, and right ventricular dilation. Transesophageal echocardiography revealed an aneurysmal dilation of the right coronary sinus with an aorto-atrial/ventricular fistula, further confirmed by contrast-enhanced computed tomography angiography. Coronary angiography identified a single anomalous coronary artery with left dominance and absence of the right coronary artery. Surgical repair successfully closed the fistula, with mild post-operative aortic regurgitation. Follow-up at one year indicated normalization of cardiac dimensions and function, with stable moderate aortic valve regurgitation. Genetic sequencing found no identifiable mutations. Regular monitoring was recommended due to the potential risk of complications related to the bicuspid aortic valve and coronary anomaly.</p>","PeriodicalId":9613,"journal":{"name":"Cardiovascular Ultrasound","volume":"23 1","pages":"18"},"PeriodicalIF":1.6000,"publicationDate":"2025-08-27","publicationTypes":"Journal Article","fieldsOfStudy":null,"isOpenAccess":false,"openAccessPdf":"https://www.ncbi.nlm.nih.gov/pmc/articles/PMC12382088/pdf/","citationCount":"0","resultStr":"{\"title\":\"Multimodal imaging in young male with bicuspid aortic valve, right-sided aorto-atrial fistula and single coronary artery.\",\"authors\":\"Marco Fabio Costantino, Gianpaolo D'Addeo, Stefano Mancino, Luisiana Stolfi, Teresa Mannarino\",\"doi\":\"10.1186/s12947-025-00357-z\",\"DOIUrl\":null,\"url\":null,\"abstract\":\"<p><p>A 35-year-old male, without significant cardiovascular history, presented with recurrent palpitations. Initial echocardiographic evaluation demonstrated eccentric left ventricular hypertrophy, mild systolic dysfunction, suspicion of a ventricular septal defect, bicuspid aortic valve, and right ventricular dilation. Transesophageal echocardiography revealed an aneurysmal dilation of the right coronary sinus with an aorto-atrial/ventricular fistula, further confirmed by contrast-enhanced computed tomography angiography. Coronary angiography identified a single anomalous coronary artery with left dominance and absence of the right coronary artery. Surgical repair successfully closed the fistula, with mild post-operative aortic regurgitation. Follow-up at one year indicated normalization of cardiac dimensions and function, with stable moderate aortic valve regurgitation. Genetic sequencing found no identifiable mutations. Regular monitoring was recommended due to the potential risk of complications related to the bicuspid aortic valve and coronary anomaly.</p>\",\"PeriodicalId\":9613,\"journal\":{\"name\":\"Cardiovascular Ultrasound\",\"volume\":\"23 1\",\"pages\":\"18\"},\"PeriodicalIF\":1.6000,\"publicationDate\":\"2025-08-27\",\"publicationTypes\":\"Journal Article\",\"fieldsOfStudy\":null,\"isOpenAccess\":false,\"openAccessPdf\":\"https://www.ncbi.nlm.nih.gov/pmc/articles/PMC12382088/pdf/\",\"citationCount\":\"0\",\"resultStr\":null,\"platform\":\"Semanticscholar\",\"paperid\":null,\"PeriodicalName\":\"Cardiovascular Ultrasound\",\"FirstCategoryId\":\"3\",\"ListUrlMain\":\"https://doi.org/10.1186/s12947-025-00357-z\",\"RegionNum\":3,\"RegionCategory\":\"医学\",\"ArticlePicture\":[],\"TitleCN\":null,\"AbstractTextCN\":null,\"PMCID\":null,\"EPubDate\":\"\",\"PubModel\":\"\",\"JCR\":\"Q3\",\"JCRName\":\"CARDIAC & CARDIOVASCULAR SYSTEMS\",\"Score\":null,\"Total\":0}","platform":"Semanticscholar","paperid":null,"PeriodicalName":"Cardiovascular Ultrasound","FirstCategoryId":"3","ListUrlMain":"https://doi.org/10.1186/s12947-025-00357-z","RegionNum":3,"RegionCategory":"医学","ArticlePicture":[],"TitleCN":null,"AbstractTextCN":null,"PMCID":null,"EPubDate":"","PubModel":"","JCR":"Q3","JCRName":"CARDIAC & CARDIOVASCULAR SYSTEMS","Score":null,"Total":0}
引用次数: 0

摘要

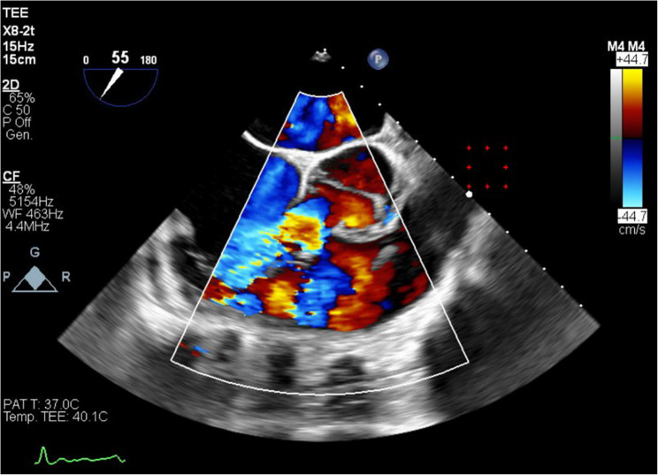
35岁男性,无明显心血管病史,心悸复发。最初的超声心动图评估显示偏心左心室肥厚,轻度收缩功能障碍,怀疑室间隔缺损,二尖瓣主动脉瓣和右心室扩张。经食管超声心动图显示右冠状窦动脉瘤样扩张伴主动脉-心房/心室瘘,经增强计算机断层血管造影进一步证实。冠状动脉造影发现单冠状动脉异常,左冠状动脉占优势,右冠状动脉缺失。手术修复成功关闭瘘,术后主动脉返流轻微。随访一年,心脏尺寸和功能恢复正常,主动脉瓣返流稳定。基因测序未发现可识别的突变。由于与二尖瓣主动脉瓣和冠状动脉异常相关的并发症的潜在风险,建议定期监测。
本文章由计算机程序翻译,如有差异,请以英文原文为准。

Multimodal imaging in young male with bicuspid aortic valve, right-sided aorto-atrial fistula and single coronary artery.

Multimodal imaging in young male with bicuspid aortic valve, right-sided aorto-atrial fistula and single coronary artery.

Multimodal imaging in young male with bicuspid aortic valve, right-sided aorto-atrial fistula and single coronary artery.

Multimodal imaging in young male with bicuspid aortic valve, right-sided aorto-atrial fistula and single coronary artery.

A 35-year-old male, without significant cardiovascular history, presented with recurrent palpitations. Initial echocardiographic evaluation demonstrated eccentric left ventricular hypertrophy, mild systolic dysfunction, suspicion of a ventricular septal defect, bicuspid aortic valve, and right ventricular dilation. Transesophageal echocardiography revealed an aneurysmal dilation of the right coronary sinus with an aorto-atrial/ventricular fistula, further confirmed by contrast-enhanced computed tomography angiography. Coronary angiography identified a single anomalous coronary artery with left dominance and absence of the right coronary artery. Surgical repair successfully closed the fistula, with mild post-operative aortic regurgitation. Follow-up at one year indicated normalization of cardiac dimensions and function, with stable moderate aortic valve regurgitation. Genetic sequencing found no identifiable mutations. Regular monitoring was recommended due to the potential risk of complications related to the bicuspid aortic valve and coronary anomaly.

求助全文
通过发布文献求助,成功后即可免费获取论文全文。 去求助
来源期刊
Cardiovascular Ultrasound
Cardiovascular Ultrasound CARDIAC & CARDIOVASCULAR SYSTEMS-
CiteScore
4.10
自引率
0.00%
发文量
28
审稿时长
>12 weeks
期刊介绍: Cardiovascular Ultrasound is an online journal, publishing peer-reviewed: original research; authoritative reviews; case reports on challenging and/or unusual diagnostic aspects; and expert opinions on new techniques and technologies. We are particularly interested in articles that include relevant images or video files, which provide an additional dimension to published articles and enhance understanding. As an open access journal, Cardiovascular Ultrasound ensures high visibility for authors in addition to providing an up-to-date and freely available resource for the community. The journal welcomes discussion, and provides a forum for publishing opinion and debate ranging from biology to engineering to clinical echocardiography, with both speed and versatility.
×
引用
GB/T 7714-2015
复制
MLA
复制
APA
复制
导出至
BibTeX EndNote RefMan NoteFirst NoteExpress
×
提示
您的信息不完整,为了账户安全,请先补充。
现在去补充
×
提示
您因"违规操作"
具体请查看互助需知
我知道了
×
提示
确定
请完成安全验证×
copy
已复制链接
快去分享给好友吧!
我知道了
右上角分享
点击右上角分享
0
联系我们:info@booksci.cn Book学术提供免费学术资源搜索服务,方便国内外学者检索中英文文献。致力于提供最便捷和优质的服务体验。 Copyright © 2023 布克学术 All rights reserved.
京ICP备2023020795号-1
ghs 京公网安备 11010802042870号
Book学术文献互助
Book学术文献互助群
群 号:604180095
Book学术官方微信