“假丝酵母菌旁瓣病致人工瓣膜心内膜炎致心脏栓塞性中风1例报告”的更正。

IF 0.8 Q4 INFECTIOUS DISEASES
Case Reports in Infectious Diseases Pub Date : 2025-08-18 eCollection Date: 2025-01-01 DOI:10.1155/crdi/9872490
{"title":"“假丝酵母菌旁瓣病致人工瓣膜心内膜炎致心脏栓塞性中风1例报告”的更正。","authors":"","doi":"10.1155/crdi/9872490","DOIUrl":null,"url":null,"abstract":"<p><p>[This corrects the article DOI: 10.1155/2024/5581547.].</p>","PeriodicalId":9608,"journal":{"name":"Case Reports in Infectious Diseases","volume":"2025 ","pages":"9872490"},"PeriodicalIF":0.8000,"publicationDate":"2025-08-18","publicationTypes":"Journal Article","fieldsOfStudy":null,"isOpenAccess":false,"openAccessPdf":"https://www.ncbi.nlm.nih.gov/pmc/articles/PMC12377950/pdf/","citationCount":"0","resultStr":"{\"title\":\"Corrigendum to \\\"Cardioembolic Stroke Due to Prosthetic Valve Endocarditis Caused by <i>Candida parapsilosis</i>: A Case Report\\\".\",\"authors\":\"\",\"doi\":\"10.1155/crdi/9872490\",\"DOIUrl\":null,\"url\":null,\"abstract\":\"<p><p>[This corrects the article DOI: 10.1155/2024/5581547.].</p>\",\"PeriodicalId\":9608,\"journal\":{\"name\":\"Case Reports in Infectious Diseases\",\"volume\":\"2025 \",\"pages\":\"9872490\"},\"PeriodicalIF\":0.8000,\"publicationDate\":\"2025-08-18\",\"publicationTypes\":\"Journal Article\",\"fieldsOfStudy\":null,\"isOpenAccess\":false,\"openAccessPdf\":\"https://www.ncbi.nlm.nih.gov/pmc/articles/PMC12377950/pdf/\",\"citationCount\":\"0\",\"resultStr\":null,\"platform\":\"Semanticscholar\",\"paperid\":null,\"PeriodicalName\":\"Case Reports in Infectious Diseases\",\"FirstCategoryId\":\"1085\",\"ListUrlMain\":\"https://doi.org/10.1155/crdi/9872490\",\"RegionNum\":0,\"RegionCategory\":null,\"ArticlePicture\":[],\"TitleCN\":null,\"AbstractTextCN\":null,\"PMCID\":null,\"EPubDate\":\"2025/1/1 0:00:00\",\"PubModel\":\"eCollection\",\"JCR\":\"Q4\",\"JCRName\":\"INFECTIOUS DISEASES\",\"Score\":null,\"Total\":0}","platform":"Semanticscholar","paperid":null,"PeriodicalName":"Case Reports in Infectious Diseases","FirstCategoryId":"1085","ListUrlMain":"https://doi.org/10.1155/crdi/9872490","RegionNum":0,"RegionCategory":null,"ArticlePicture":[],"TitleCN":null,"AbstractTextCN":null,"PMCID":null,"EPubDate":"2025/1/1 0:00:00","PubModel":"eCollection","JCR":"Q4","JCRName":"INFECTIOUS DISEASES","Score":null,"Total":0}
引用次数: 0

摘要

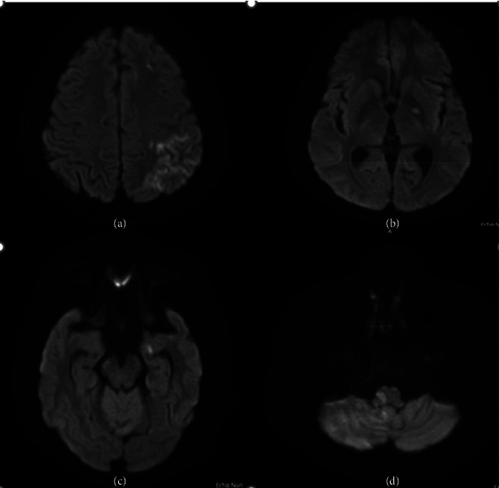
[这更正了文章DOI: 10.1155/2024/5581547]。
本文章由计算机程序翻译,如有差异,请以英文原文为准。

Corrigendum to "Cardioembolic Stroke Due to Prosthetic Valve Endocarditis Caused by <i>Candida parapsilosis</i>: A Case Report".

Corrigendum to "Cardioembolic Stroke Due to Prosthetic Valve Endocarditis Caused by Candida parapsilosis: A Case Report".

[This corrects the article DOI: 10.1155/2024/5581547.].

求助全文
通过发布文献求助,成功后即可免费获取论文全文。 去求助
来源期刊
自引率
0.00%
发文量
64
审稿时长
13 weeks
×
引用
GB/T 7714-2015
复制
MLA
复制
APA
复制
导出至
BibTeX EndNote RefMan NoteFirst NoteExpress
×
提示
您的信息不完整,为了账户安全,请先补充。
现在去补充
×
提示
您因"违规操作"
具体请查看互助需知
我知道了
×
提示
确定
请完成安全验证×
copy
已复制链接
快去分享给好友吧!
我知道了
右上角分享
点击右上角分享
0
联系我们:info@booksci.cn Book学术提供免费学术资源搜索服务,方便国内外学者检索中英文文献。致力于提供最便捷和优质的服务体验。 Copyright © 2023 布克学术 All rights reserved.
京ICP备2023020795号-1
ghs 京公网安备 11010802042870号
Book学术文献互助
Book学术文献互助群
群 号:604180095
Book学术官方微信