四静脉感染性心内膜炎1例。

IF 0.7 Q3 MEDICINE, GENERAL & INTERNAL
Case Reports in Medicine Pub Date : 2025-08-22 eCollection Date: 2025-01-01 DOI:10.1155/carm/6648360
Mahidhar Jeedigunta, Padmakumar R, Krishnananda, Mukhyaprana Prabhu, Ashwini M V
{"title":"四静脉感染性心内膜炎1例。","authors":"Mahidhar Jeedigunta, Padmakumar R, Krishnananda, Mukhyaprana Prabhu, Ashwini M V","doi":"10.1155/carm/6648360","DOIUrl":null,"url":null,"abstract":"<p><p>Infective endocarditis is a devastating disease with high morbidity and mortality. Infective endocarditis affecting all four valves is rarely encountered. Even rarer is the involvement of all four valves by nutritionally variant streptococci, <i>Granulicatella</i>. The case describes a female in her 40s, known case of small perimembranous ventricular septal defect, who presented with symptoms of fever and congestive cardiac failure, with severe anemia, glomerulonephritis, and pain abdomen, who was found to have vegetations on pulmonary, tricuspid, mitral, and aortic valves, with pulmonary regurgitation, tricuspid regurgitation, mitral, and aortic regurgitations. Blood culture grew <i>Granulicatella adiacens</i> species. She improved clinically after intravenous antibiotics, decongestive measures, and blood transfusion. Causation of quadrivalvular infective endocarditis is rare and previously has not been documented in <i>Granulicatella</i> infection, a fastidious species. Interestingly, the patient remained quite stable despite involvement of all four heart valves, likely due to the predominant involvement of the pulmonary valve. This case report discusses the factors predisposing to infective endocarditis in a known case of congenital heart disease and the importance of timely diagnosis and treatment.</p>","PeriodicalId":9627,"journal":{"name":"Case Reports in Medicine","volume":"2025 ","pages":"6648360"},"PeriodicalIF":0.7000,"publicationDate":"2025-08-22","publicationTypes":"Journal Article","fieldsOfStudy":null,"isOpenAccess":false,"openAccessPdf":"https://www.ncbi.nlm.nih.gov/pmc/articles/PMC12396892/pdf/","citationCount":"0","resultStr":"{\"title\":\"A Rare Case of Quadrivalvular Infective Endocarditis.\",\"authors\":\"Mahidhar Jeedigunta, Padmakumar R, Krishnananda, Mukhyaprana Prabhu, Ashwini M V\",\"doi\":\"10.1155/carm/6648360\",\"DOIUrl\":null,\"url\":null,\"abstract\":\"<p><p>Infective endocarditis is a devastating disease with high morbidity and mortality. Infective endocarditis affecting all four valves is rarely encountered. Even rarer is the involvement of all four valves by nutritionally variant streptococci, <i>Granulicatella</i>. The case describes a female in her 40s, known case of small perimembranous ventricular septal defect, who presented with symptoms of fever and congestive cardiac failure, with severe anemia, glomerulonephritis, and pain abdomen, who was found to have vegetations on pulmonary, tricuspid, mitral, and aortic valves, with pulmonary regurgitation, tricuspid regurgitation, mitral, and aortic regurgitations. Blood culture grew <i>Granulicatella adiacens</i> species. She improved clinically after intravenous antibiotics, decongestive measures, and blood transfusion. Causation of quadrivalvular infective endocarditis is rare and previously has not been documented in <i>Granulicatella</i> infection, a fastidious species. Interestingly, the patient remained quite stable despite involvement of all four heart valves, likely due to the predominant involvement of the pulmonary valve. This case report discusses the factors predisposing to infective endocarditis in a known case of congenital heart disease and the importance of timely diagnosis and treatment.</p>\",\"PeriodicalId\":9627,\"journal\":{\"name\":\"Case Reports in Medicine\",\"volume\":\"2025 \",\"pages\":\"6648360\"},\"PeriodicalIF\":0.7000,\"publicationDate\":\"2025-08-22\",\"publicationTypes\":\"Journal Article\",\"fieldsOfStudy\":null,\"isOpenAccess\":false,\"openAccessPdf\":\"https://www.ncbi.nlm.nih.gov/pmc/articles/PMC12396892/pdf/\",\"citationCount\":\"0\",\"resultStr\":null,\"platform\":\"Semanticscholar\",\"paperid\":null,\"PeriodicalName\":\"Case Reports in Medicine\",\"FirstCategoryId\":\"1085\",\"ListUrlMain\":\"https://doi.org/10.1155/carm/6648360\",\"RegionNum\":0,\"RegionCategory\":null,\"ArticlePicture\":[],\"TitleCN\":null,\"AbstractTextCN\":null,\"PMCID\":null,\"EPubDate\":\"2025/1/1 0:00:00\",\"PubModel\":\"eCollection\",\"JCR\":\"Q3\",\"JCRName\":\"MEDICINE, GENERAL & INTERNAL\",\"Score\":null,\"Total\":0}","platform":"Semanticscholar","paperid":null,"PeriodicalName":"Case Reports in Medicine","FirstCategoryId":"1085","ListUrlMain":"https://doi.org/10.1155/carm/6648360","RegionNum":0,"RegionCategory":null,"ArticlePicture":[],"TitleCN":null,"AbstractTextCN":null,"PMCID":null,"EPubDate":"2025/1/1 0:00:00","PubModel":"eCollection","JCR":"Q3","JCRName":"MEDICINE, GENERAL & INTERNAL","Score":null,"Total":0}
引用次数: 0

摘要

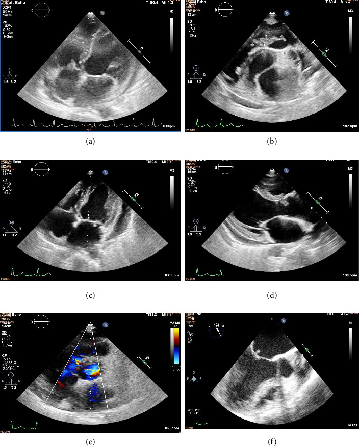
感染性心内膜炎是一种高发病率和死亡率的毁灭性疾病。感染性心内膜炎影响所有四个瓣膜是罕见的。更罕见的是所有四个瓣膜都被营养变异链球菌,肉芽孢杆菌感染。病例描述一名40多岁女性,已知小的膜周室间隔缺损病例,表现为发热和充血性心力衰竭,伴有严重贫血、肾小球肾炎和腹痛,发现肺动脉瓣、三尖瓣、二尖瓣和主动脉瓣赘生物,肺反流、三尖瓣反流、二尖瓣和主动脉反流。血培养可培养出棘粒霉。经静脉注射抗生素、减充血性措施及输血后临床好转。四瓣感染性心内膜炎的病因是罕见的,以前没有记录在颗粒菌感染,一个挑剔的物种。有趣的是,尽管四个心脏瓣膜都受累了,但患者仍然相当稳定,这可能是由于主要受累的是肺动脉瓣。本病例报告讨论了一例已知的先天性心脏病的感染性心内膜炎的易感因素以及及时诊断和治疗的重要性。
本文章由计算机程序翻译,如有差异,请以英文原文为准。

A Rare Case of Quadrivalvular Infective Endocarditis.

A Rare Case of Quadrivalvular Infective Endocarditis.

Infective endocarditis is a devastating disease with high morbidity and mortality. Infective endocarditis affecting all four valves is rarely encountered. Even rarer is the involvement of all four valves by nutritionally variant streptococci, Granulicatella. The case describes a female in her 40s, known case of small perimembranous ventricular septal defect, who presented with symptoms of fever and congestive cardiac failure, with severe anemia, glomerulonephritis, and pain abdomen, who was found to have vegetations on pulmonary, tricuspid, mitral, and aortic valves, with pulmonary regurgitation, tricuspid regurgitation, mitral, and aortic regurgitations. Blood culture grew Granulicatella adiacens species. She improved clinically after intravenous antibiotics, decongestive measures, and blood transfusion. Causation of quadrivalvular infective endocarditis is rare and previously has not been documented in Granulicatella infection, a fastidious species. Interestingly, the patient remained quite stable despite involvement of all four heart valves, likely due to the predominant involvement of the pulmonary valve. This case report discusses the factors predisposing to infective endocarditis in a known case of congenital heart disease and the importance of timely diagnosis and treatment.

求助全文
通过发布文献求助,成功后即可免费获取论文全文。 去求助
来源期刊
Case Reports in Medicine
Case Reports in Medicine MEDICINE, GENERAL & INTERNAL-
CiteScore
1.70
自引率
0.00%
发文量
53
审稿时长
13 weeks
×
引用
GB/T 7714-2015
复制
MLA
复制
APA
复制
导出至
BibTeX EndNote RefMan NoteFirst NoteExpress
×
提示
您的信息不完整,为了账户安全,请先补充。
现在去补充
×
提示
您因"违规操作"
具体请查看互助需知
我知道了
×
提示
确定
请完成安全验证×
copy
已复制链接
快去分享给好友吧!
我知道了
右上角分享
点击右上角分享
0
联系我们:info@booksci.cn Book学术提供免费学术资源搜索服务,方便国内外学者检索中英文文献。致力于提供最便捷和优质的服务体验。 Copyright © 2023 布克学术 All rights reserved.
京ICP备2023020795号-1
ghs 京公网安备 11010802042870号
Book学术文献互助
Book学术文献互助群
群 号:604180095
Book学术官方微信