由核梭杆菌引起的孤立面静脉血栓性静脉炎:一例莱米尔变异病例。

IF 0.8 Q4 INFECTIOUS DISEASES
Case Reports in Infectious Diseases Pub Date : 2025-08-15 eCollection Date: 2025-01-01 DOI:10.1155/crdi/9938125
Nicole Oska, Deni Peterson, Kendall Brothers, Ragamayi Maramraju, Asem Ayyad, Brianna Hohmann
{"title":"由核梭杆菌引起的孤立面静脉血栓性静脉炎:一例莱米尔变异病例。","authors":"Nicole Oska, Deni Peterson, Kendall Brothers, Ragamayi Maramraju, Asem Ayyad, Brianna Hohmann","doi":"10.1155/crdi/9938125","DOIUrl":null,"url":null,"abstract":"<p><p><b>Background:</b> Lemierre's syndrome is an uncommon yet potentially fatal infection, classically secondary to bacterial pharyngeal infections. It is typically characterized by bacteremia, most frequently due to <i>Fusobacterium necrophorum</i> and internal jugular vein thrombophlebitis. If untreated, septic embolization may result, potentially damaging the lungs, liver, brain, or other organs. This report describes a variant of Lemierre's syndrome in a young woman with streptococcal pharyngitis, who developed <i>Fusobacterium nucleatum</i> bacteremia and isolated facial vein thrombophlebitis, highlighting the importance of early diagnosis and treatment. <b>Case Presentation:</b> A 33-year-old woman with no significant past medical history presented with sore throat, chills, and right-sided facial and neck pain. Initially diagnosed with streptococcal pharyngitis at an urgent care clinic, she presented to the emergency department soon afterwards due to the development of severe rigors and fever. Blood cultures revealed growth of <i>Fusobacterium nucleatum</i>, raising suspicion for Lemierre's syndrome in the setting of worsening facial and neck pain despite negative initial imaging of the soft tissue of the neck. A subsequent CT venogram confirmed isolated thrombosis of the right facial vein. The patient was treated and discharged in stable condition on a 4 week course of metronidazole and 2 weeks of ceftriaxone. <b>Conclusion:</b> This case emphasizes the importance of maintaining suspicion for Lemierre's syndrome in patients with bacterial pharyngitis, especially when atypical symptoms such as facial pain occur. Although the internal jugular vein is most commonly affected, facial vein thrombosis may also occur. Early antibiotic treatment is critical for preventing severe complications including septic shock and embolization.</p>","PeriodicalId":9608,"journal":{"name":"Case Reports in Infectious Diseases","volume":"2025 ","pages":"9938125"},"PeriodicalIF":0.8000,"publicationDate":"2025-08-15","publicationTypes":"Journal Article","fieldsOfStudy":null,"isOpenAccess":false,"openAccessPdf":"https://www.ncbi.nlm.nih.gov/pmc/articles/PMC12373471/pdf/","citationCount":"0","resultStr":"{\"title\":\"Isolated Facial Vein Thrombophlebitis Caused by <i>Fusobacterium nucleatum</i>: A Lemierre-Variant Case.\",\"authors\":\"Nicole Oska, Deni Peterson, Kendall Brothers, Ragamayi Maramraju, Asem Ayyad, Brianna Hohmann\",\"doi\":\"10.1155/crdi/9938125\",\"DOIUrl\":null,\"url\":null,\"abstract\":\"<p><p><b>Background:</b> Lemierre's syndrome is an uncommon yet potentially fatal infection, classically secondary to bacterial pharyngeal infections. It is typically characterized by bacteremia, most frequently due to <i>Fusobacterium necrophorum</i> and internal jugular vein thrombophlebitis. If untreated, septic embolization may result, potentially damaging the lungs, liver, brain, or other organs. This report describes a variant of Lemierre's syndrome in a young woman with streptococcal pharyngitis, who developed <i>Fusobacterium nucleatum</i> bacteremia and isolated facial vein thrombophlebitis, highlighting the importance of early diagnosis and treatment. <b>Case Presentation:</b> A 33-year-old woman with no significant past medical history presented with sore throat, chills, and right-sided facial and neck pain. Initially diagnosed with streptococcal pharyngitis at an urgent care clinic, she presented to the emergency department soon afterwards due to the development of severe rigors and fever. Blood cultures revealed growth of <i>Fusobacterium nucleatum</i>, raising suspicion for Lemierre's syndrome in the setting of worsening facial and neck pain despite negative initial imaging of the soft tissue of the neck. A subsequent CT venogram confirmed isolated thrombosis of the right facial vein. The patient was treated and discharged in stable condition on a 4 week course of metronidazole and 2 weeks of ceftriaxone. <b>Conclusion:</b> This case emphasizes the importance of maintaining suspicion for Lemierre's syndrome in patients with bacterial pharyngitis, especially when atypical symptoms such as facial pain occur. Although the internal jugular vein is most commonly affected, facial vein thrombosis may also occur. Early antibiotic treatment is critical for preventing severe complications including septic shock and embolization.</p>\",\"PeriodicalId\":9608,\"journal\":{\"name\":\"Case Reports in Infectious Diseases\",\"volume\":\"2025 \",\"pages\":\"9938125\"},\"PeriodicalIF\":0.8000,\"publicationDate\":\"2025-08-15\",\"publicationTypes\":\"Journal Article\",\"fieldsOfStudy\":null,\"isOpenAccess\":false,\"openAccessPdf\":\"https://www.ncbi.nlm.nih.gov/pmc/articles/PMC12373471/pdf/\",\"citationCount\":\"0\",\"resultStr\":null,\"platform\":\"Semanticscholar\",\"paperid\":null,\"PeriodicalName\":\"Case Reports in Infectious Diseases\",\"FirstCategoryId\":\"1085\",\"ListUrlMain\":\"https://doi.org/10.1155/crdi/9938125\",\"RegionNum\":0,\"RegionCategory\":null,\"ArticlePicture\":[],\"TitleCN\":null,\"AbstractTextCN\":null,\"PMCID\":null,\"EPubDate\":\"2025/1/1 0:00:00\",\"PubModel\":\"eCollection\",\"JCR\":\"Q4\",\"JCRName\":\"INFECTIOUS DISEASES\",\"Score\":null,\"Total\":0}","platform":"Semanticscholar","paperid":null,"PeriodicalName":"Case Reports in Infectious Diseases","FirstCategoryId":"1085","ListUrlMain":"https://doi.org/10.1155/crdi/9938125","RegionNum":0,"RegionCategory":null,"ArticlePicture":[],"TitleCN":null,"AbstractTextCN":null,"PMCID":null,"EPubDate":"2025/1/1 0:00:00","PubModel":"eCollection","JCR":"Q4","JCRName":"INFECTIOUS DISEASES","Score":null,"Total":0}
引用次数: 0

摘要

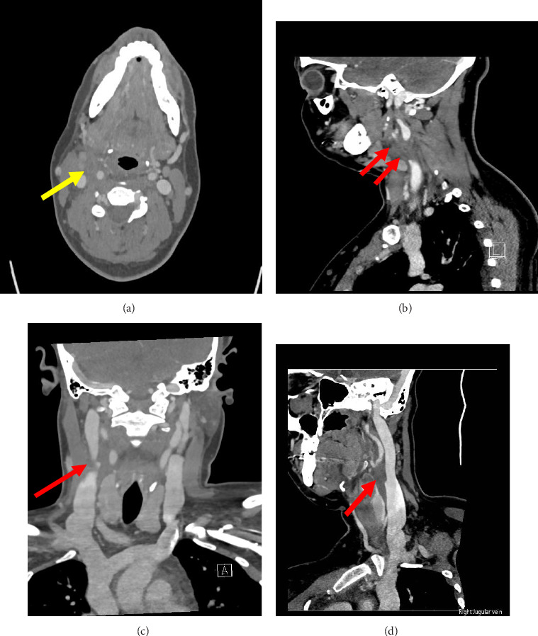
背景:Lemierre综合征是一种罕见但潜在致命的感染,通常继发于细菌性咽部感染。它的典型特征是菌血症,最常见的是由于坏死性梭杆菌和颈内静脉血栓性静脉炎。如果不及时治疗,可能会导致脓毒性栓塞,潜在地损害肺、肝、脑或其他器官。本报告描述了一名患有链球菌性咽炎的年轻女性的Lemierre综合征变体,她发展为核梭杆菌菌血症和孤立的面部静脉血栓性静脉炎,强调了早期诊断和治疗的重要性。病例介绍:33岁女性,无明显既往病史,表现为喉咙痛、寒战、右侧面部和颈部疼痛。她最初在一家急诊诊所被诊断为链球菌性咽炎,后来由于出现严重僵硬和发烧,她很快被送到急诊科。血液培养显示有核梭杆菌生长,尽管颈部软组织初步成像呈阴性,但面部和颈部疼痛恶化,这引起了对lemerre综合征的怀疑。随后的CT静脉造影证实了右侧面部静脉的孤立血栓形成。患者给予甲硝唑治疗4周,头孢曲松治疗2周,出院时病情稳定。结论:本病例强调了对细菌性咽炎患者保持对Lemierre综合征的怀疑的重要性,特别是当出现面部疼痛等非典型症状时。虽然颈内静脉最常受影响,但也可能发生面部静脉血栓形成。早期抗生素治疗对于预防脓毒性休克和栓塞等严重并发症至关重要。
本文章由计算机程序翻译,如有差异,请以英文原文为准。

Isolated Facial Vein Thrombophlebitis Caused by <i>Fusobacterium nucleatum</i>: A Lemierre-Variant Case.

Isolated Facial Vein Thrombophlebitis Caused by Fusobacterium nucleatum: A Lemierre-Variant Case.

Background: Lemierre's syndrome is an uncommon yet potentially fatal infection, classically secondary to bacterial pharyngeal infections. It is typically characterized by bacteremia, most frequently due to Fusobacterium necrophorum and internal jugular vein thrombophlebitis. If untreated, septic embolization may result, potentially damaging the lungs, liver, brain, or other organs. This report describes a variant of Lemierre's syndrome in a young woman with streptococcal pharyngitis, who developed Fusobacterium nucleatum bacteremia and isolated facial vein thrombophlebitis, highlighting the importance of early diagnosis and treatment. Case Presentation: A 33-year-old woman with no significant past medical history presented with sore throat, chills, and right-sided facial and neck pain. Initially diagnosed with streptococcal pharyngitis at an urgent care clinic, she presented to the emergency department soon afterwards due to the development of severe rigors and fever. Blood cultures revealed growth of Fusobacterium nucleatum, raising suspicion for Lemierre's syndrome in the setting of worsening facial and neck pain despite negative initial imaging of the soft tissue of the neck. A subsequent CT venogram confirmed isolated thrombosis of the right facial vein. The patient was treated and discharged in stable condition on a 4 week course of metronidazole and 2 weeks of ceftriaxone. Conclusion: This case emphasizes the importance of maintaining suspicion for Lemierre's syndrome in patients with bacterial pharyngitis, especially when atypical symptoms such as facial pain occur. Although the internal jugular vein is most commonly affected, facial vein thrombosis may also occur. Early antibiotic treatment is critical for preventing severe complications including septic shock and embolization.

求助全文
通过发布文献求助,成功后即可免费获取论文全文。 去求助
来源期刊
自引率
0.00%
发文量
64
审稿时长
13 weeks
×
引用
GB/T 7714-2015
复制
MLA
复制
APA
复制
导出至
BibTeX EndNote RefMan NoteFirst NoteExpress
×
提示
您的信息不完整,为了账户安全,请先补充。
现在去补充
×
提示
您因"违规操作"
具体请查看互助需知
我知道了
×
提示
确定
请完成安全验证×
copy
已复制链接
快去分享给好友吧!
我知道了
右上角分享
点击右上角分享
0
联系我们:info@booksci.cn Book学术提供免费学术资源搜索服务,方便国内外学者检索中英文文献。致力于提供最便捷和优质的服务体验。 Copyright © 2023 布克学术 All rights reserved.
京ICP备2023020795号-1
ghs 京公网安备 11010802042870号
Book学术文献互助
Book学术文献互助群
群 号:604180095
Book学术官方微信