肺炎球菌脑膜炎后推定脑血管炎:一种罕见但危及生命的并发症。

IF 0.7 Q3 MEDICINE, GENERAL & INTERNAL
Case Reports in Medicine Pub Date : 2025-08-22 eCollection Date: 2025-01-01 DOI:10.1155/carm/9029598
Daniel Matassa, Pooja Patel, Lisa Dever
{"title":"肺炎球菌脑膜炎后推定脑血管炎:一种罕见但危及生命的并发症。","authors":"Daniel Matassa, Pooja Patel, Lisa Dever","doi":"10.1155/carm/9029598","DOIUrl":null,"url":null,"abstract":"<p><p>A 65-year-old woman presented with pneumococcal sepsis and meningitis. Despite appropriate antimicrobial therapy and intravenous (IV) dexamethasone, her mental status did not improve. Findings of brain imaging were suggestive of cerebral vasculitis. Her condition improved rapidly with the initiation of high-dose IV methylprednisolone therapy. One week after completion of a 3-week oral prednisone taper, the patient's neurocognitive deficits recurred. A more extensive diagnostic evaluation, including conventional angiography, was again consistent with a presumptive diagnosis of cerebral vasculitis. High-dose IV methylprednisolone and a more prolonged taper of oral prednisone led to remission of her disease, with marked improvement in mental status and left-sided hemiparesis. Cerebral vasculitis is a rare but potentially lethal complication of pneumococcal meningitis that may be difficult to recognize and treat. The role of brain biopsy in diagnosis is unclear, and due to its rarity, management of this condition lacks conclusive evidence-based data.</p>","PeriodicalId":9627,"journal":{"name":"Case Reports in Medicine","volume":"2025 ","pages":"9029598"},"PeriodicalIF":0.7000,"publicationDate":"2025-08-22","publicationTypes":"Journal Article","fieldsOfStudy":null,"isOpenAccess":false,"openAccessPdf":"https://www.ncbi.nlm.nih.gov/pmc/articles/PMC12396920/pdf/","citationCount":"0","resultStr":"{\"title\":\"Presumed Cerebral Vasculitis Following Pneumococcal Meningitis: A Rare but Life-Threatening Complication.\",\"authors\":\"Daniel Matassa, Pooja Patel, Lisa Dever\",\"doi\":\"10.1155/carm/9029598\",\"DOIUrl\":null,\"url\":null,\"abstract\":\"<p><p>A 65-year-old woman presented with pneumococcal sepsis and meningitis. Despite appropriate antimicrobial therapy and intravenous (IV) dexamethasone, her mental status did not improve. Findings of brain imaging were suggestive of cerebral vasculitis. Her condition improved rapidly with the initiation of high-dose IV methylprednisolone therapy. One week after completion of a 3-week oral prednisone taper, the patient's neurocognitive deficits recurred. A more extensive diagnostic evaluation, including conventional angiography, was again consistent with a presumptive diagnosis of cerebral vasculitis. High-dose IV methylprednisolone and a more prolonged taper of oral prednisone led to remission of her disease, with marked improvement in mental status and left-sided hemiparesis. Cerebral vasculitis is a rare but potentially lethal complication of pneumococcal meningitis that may be difficult to recognize and treat. The role of brain biopsy in diagnosis is unclear, and due to its rarity, management of this condition lacks conclusive evidence-based data.</p>\",\"PeriodicalId\":9627,\"journal\":{\"name\":\"Case Reports in Medicine\",\"volume\":\"2025 \",\"pages\":\"9029598\"},\"PeriodicalIF\":0.7000,\"publicationDate\":\"2025-08-22\",\"publicationTypes\":\"Journal Article\",\"fieldsOfStudy\":null,\"isOpenAccess\":false,\"openAccessPdf\":\"https://www.ncbi.nlm.nih.gov/pmc/articles/PMC12396920/pdf/\",\"citationCount\":\"0\",\"resultStr\":null,\"platform\":\"Semanticscholar\",\"paperid\":null,\"PeriodicalName\":\"Case Reports in Medicine\",\"FirstCategoryId\":\"1085\",\"ListUrlMain\":\"https://doi.org/10.1155/carm/9029598\",\"RegionNum\":0,\"RegionCategory\":null,\"ArticlePicture\":[],\"TitleCN\":null,\"AbstractTextCN\":null,\"PMCID\":null,\"EPubDate\":\"2025/1/1 0:00:00\",\"PubModel\":\"eCollection\",\"JCR\":\"Q3\",\"JCRName\":\"MEDICINE, GENERAL & INTERNAL\",\"Score\":null,\"Total\":0}","platform":"Semanticscholar","paperid":null,"PeriodicalName":"Case Reports in Medicine","FirstCategoryId":"1085","ListUrlMain":"https://doi.org/10.1155/carm/9029598","RegionNum":0,"RegionCategory":null,"ArticlePicture":[],"TitleCN":null,"AbstractTextCN":null,"PMCID":null,"EPubDate":"2025/1/1 0:00:00","PubModel":"eCollection","JCR":"Q3","JCRName":"MEDICINE, GENERAL & INTERNAL","Score":null,"Total":0}
引用次数: 0

摘要

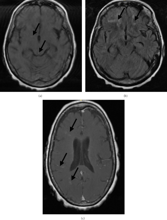
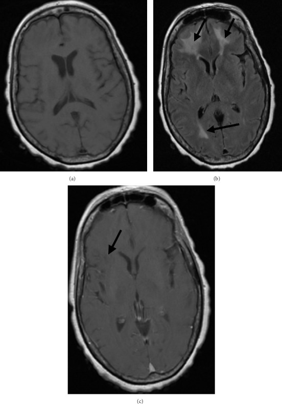
一名65岁妇女,表现为肺炎球菌败血症和脑膜炎。尽管适当的抗菌药物治疗和静脉注射地塞米松,她的精神状态没有改善。脑显像提示脑血管炎。开始大剂量静脉注射甲基强的松龙治疗后,病情迅速好转。完成3周口服泼尼松逐渐减少治疗一周后,患者的神经认知缺陷复发。更广泛的诊断评估,包括常规血管造影,再次与脑血管炎的推定诊断一致。大剂量静脉注射甲基强的松龙和较长时间的口服强的松逐渐减少导致她的疾病缓解,精神状态和左侧偏瘫有明显改善。脑血管炎是肺炎球菌性脑膜炎的一种罕见但潜在致命的并发症,可能难以识别和治疗。脑活检在诊断中的作用尚不清楚,由于其罕见性,该病的治疗缺乏确凿的循证数据。
本文章由计算机程序翻译,如有差异,请以英文原文为准。

Presumed Cerebral Vasculitis Following Pneumococcal Meningitis: A Rare but Life-Threatening Complication.

Presumed Cerebral Vasculitis Following Pneumococcal Meningitis: A Rare but Life-Threatening Complication.

Presumed Cerebral Vasculitis Following Pneumococcal Meningitis: A Rare but Life-Threatening Complication.

Presumed Cerebral Vasculitis Following Pneumococcal Meningitis: A Rare but Life-Threatening Complication.

A 65-year-old woman presented with pneumococcal sepsis and meningitis. Despite appropriate antimicrobial therapy and intravenous (IV) dexamethasone, her mental status did not improve. Findings of brain imaging were suggestive of cerebral vasculitis. Her condition improved rapidly with the initiation of high-dose IV methylprednisolone therapy. One week after completion of a 3-week oral prednisone taper, the patient's neurocognitive deficits recurred. A more extensive diagnostic evaluation, including conventional angiography, was again consistent with a presumptive diagnosis of cerebral vasculitis. High-dose IV methylprednisolone and a more prolonged taper of oral prednisone led to remission of her disease, with marked improvement in mental status and left-sided hemiparesis. Cerebral vasculitis is a rare but potentially lethal complication of pneumococcal meningitis that may be difficult to recognize and treat. The role of brain biopsy in diagnosis is unclear, and due to its rarity, management of this condition lacks conclusive evidence-based data.

求助全文
通过发布文献求助,成功后即可免费获取论文全文。 去求助
来源期刊
Case Reports in Medicine
Case Reports in Medicine MEDICINE, GENERAL & INTERNAL-
CiteScore
1.70
自引率
0.00%
发文量
53
审稿时长
13 weeks
×
引用
GB/T 7714-2015
复制
MLA
复制
APA
复制
导出至
BibTeX EndNote RefMan NoteFirst NoteExpress
×
提示
您的信息不完整,为了账户安全,请先补充。
现在去补充
×
提示
您因"违规操作"
具体请查看互助需知
我知道了
×
提示
确定
请完成安全验证×
copy
已复制链接
快去分享给好友吧!
我知道了
右上角分享
点击右上角分享
0
联系我们:info@booksci.cn Book学术提供免费学术资源搜索服务,方便国内外学者检索中英文文献。致力于提供最便捷和优质的服务体验。 Copyright © 2023 布克学术 All rights reserved.
京ICP备2023020795号-1
ghs 京公网安备 11010802042870号
Book学术文献互助
Book学术文献互助群
群 号:604180095
Book学术官方微信