肺外:一例罕见的肺外结核并发颈静脉血栓和癫痫。

IF 0.8 Q4 INFECTIOUS DISEASES
Case Reports in Infectious Diseases Pub Date : 2025-08-13 eCollection Date: 2025-01-01 DOI:10.1155/crdi/4888774
Hamda Al-Mansoori, M Z Sharaf Eldean, Abdelkareem Alhyari, Mahmoud Tabouni
{"title":"肺外:一例罕见的肺外结核并发颈静脉血栓和癫痫。","authors":"Hamda Al-Mansoori, M Z Sharaf Eldean, Abdelkareem Alhyari, Mahmoud Tabouni","doi":"10.1155/crdi/4888774","DOIUrl":null,"url":null,"abstract":"<p><p><b>Introduction:</b> Tuberculosis (TB), caused by <i>Mycobacterium tuberculosis</i>, primarily affects the lungs but can involve virtually any organ system, manifesting as extrapulmonary TB. While TB-related hypercoagulability and venous thromboembolism are recognized, such presentations remain uncommon and diagnostically challenging, especially in the absence of classical symptoms. <b>Case Presentation:</b> We report the case of a 24-year-old immunocompetent female who initially presented with painless right-sided neck swelling. Imaging revealed an acute thrombus in the right internal jugular vein (IJV), with no clear underlying cause. Further evaluation showed enlarged necrotic mediastinal lymph nodes, raising suspicion for lymphoma. However, the patient later developed a seizure episode, and subsequent neuroimaging revealed multiple intracranial ring-enhancing lesions. Ultimately, mediastinoscopic lymph node biopsy confirmed necrotizing granulomatous inflammation, with a positive TB polymerase chain reaction (PCR), consistent with disseminated TB involving both vascular and central nervous systems. The patient was started on antitubercular therapy, anticoagulation, and adjunctive corticosteroids, with multidisciplinary follow-up arranged. <b>Discussion:</b> This case highlights TB-induced hypercoagulability as a potential cause of isolated venous thrombosis and underscores the diagnostic challenges when TB mimics malignancy. It also emphasizes the importance of considering TB in the differential diagnosis of unexplained thrombosis and intracranial lesions, even in the absence of pulmonary symptoms. <b>Conclusion:</b> Clinicians should maintain a high index of suspicion for extrapulmonary TB in atypical thrombotic events. Early tissue diagnosis and a multidisciplinary approach are key to effective management and favorable outcomes.</p>","PeriodicalId":9608,"journal":{"name":"Case Reports in Infectious Diseases","volume":"2025 ","pages":"4888774"},"PeriodicalIF":0.8000,"publicationDate":"2025-08-13","publicationTypes":"Journal Article","fieldsOfStudy":null,"isOpenAccess":false,"openAccessPdf":"https://www.ncbi.nlm.nih.gov/pmc/articles/PMC12367384/pdf/","citationCount":"0","resultStr":"{\"title\":\"Beyond the Lungs: A Rare Case of Extrapulmonary Tuberculosis Presenting With Neck Vein Thrombosis and Seizure.\",\"authors\":\"Hamda Al-Mansoori, M Z Sharaf Eldean, Abdelkareem Alhyari, Mahmoud Tabouni\",\"doi\":\"10.1155/crdi/4888774\",\"DOIUrl\":null,\"url\":null,\"abstract\":\"<p><p><b>Introduction:</b> Tuberculosis (TB), caused by <i>Mycobacterium tuberculosis</i>, primarily affects the lungs but can involve virtually any organ system, manifesting as extrapulmonary TB. While TB-related hypercoagulability and venous thromboembolism are recognized, such presentations remain uncommon and diagnostically challenging, especially in the absence of classical symptoms. <b>Case Presentation:</b> We report the case of a 24-year-old immunocompetent female who initially presented with painless right-sided neck swelling. Imaging revealed an acute thrombus in the right internal jugular vein (IJV), with no clear underlying cause. Further evaluation showed enlarged necrotic mediastinal lymph nodes, raising suspicion for lymphoma. However, the patient later developed a seizure episode, and subsequent neuroimaging revealed multiple intracranial ring-enhancing lesions. Ultimately, mediastinoscopic lymph node biopsy confirmed necrotizing granulomatous inflammation, with a positive TB polymerase chain reaction (PCR), consistent with disseminated TB involving both vascular and central nervous systems. The patient was started on antitubercular therapy, anticoagulation, and adjunctive corticosteroids, with multidisciplinary follow-up arranged. <b>Discussion:</b> This case highlights TB-induced hypercoagulability as a potential cause of isolated venous thrombosis and underscores the diagnostic challenges when TB mimics malignancy. It also emphasizes the importance of considering TB in the differential diagnosis of unexplained thrombosis and intracranial lesions, even in the absence of pulmonary symptoms. <b>Conclusion:</b> Clinicians should maintain a high index of suspicion for extrapulmonary TB in atypical thrombotic events. Early tissue diagnosis and a multidisciplinary approach are key to effective management and favorable outcomes.</p>\",\"PeriodicalId\":9608,\"journal\":{\"name\":\"Case Reports in Infectious Diseases\",\"volume\":\"2025 \",\"pages\":\"4888774\"},\"PeriodicalIF\":0.8000,\"publicationDate\":\"2025-08-13\",\"publicationTypes\":\"Journal Article\",\"fieldsOfStudy\":null,\"isOpenAccess\":false,\"openAccessPdf\":\"https://www.ncbi.nlm.nih.gov/pmc/articles/PMC12367384/pdf/\",\"citationCount\":\"0\",\"resultStr\":null,\"platform\":\"Semanticscholar\",\"paperid\":null,\"PeriodicalName\":\"Case Reports in Infectious Diseases\",\"FirstCategoryId\":\"1085\",\"ListUrlMain\":\"https://doi.org/10.1155/crdi/4888774\",\"RegionNum\":0,\"RegionCategory\":null,\"ArticlePicture\":[],\"TitleCN\":null,\"AbstractTextCN\":null,\"PMCID\":null,\"EPubDate\":\"2025/1/1 0:00:00\",\"PubModel\":\"eCollection\",\"JCR\":\"Q4\",\"JCRName\":\"INFECTIOUS DISEASES\",\"Score\":null,\"Total\":0}","platform":"Semanticscholar","paperid":null,"PeriodicalName":"Case Reports in Infectious Diseases","FirstCategoryId":"1085","ListUrlMain":"https://doi.org/10.1155/crdi/4888774","RegionNum":0,"RegionCategory":null,"ArticlePicture":[],"TitleCN":null,"AbstractTextCN":null,"PMCID":null,"EPubDate":"2025/1/1 0:00:00","PubModel":"eCollection","JCR":"Q4","JCRName":"INFECTIOUS DISEASES","Score":null,"Total":0}
引用次数: 0

摘要

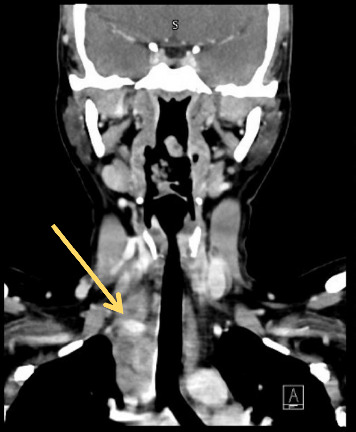
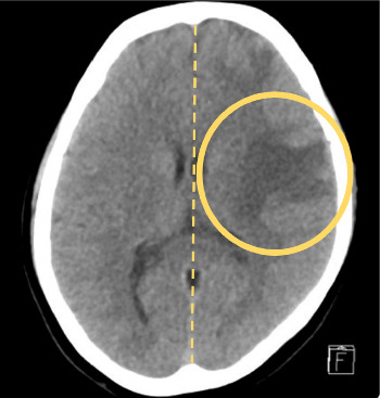
结核(TB),由结核分枝杆菌引起,主要影响肺部,但可以涉及几乎任何器官系统,表现为肺外结核。虽然结核病相关的高凝性和静脉血栓栓塞是公认的,但这种表现仍然不常见,诊断上具有挑战性,特别是在没有经典症状的情况下。病例介绍:我们报告一个24岁的免疫功能正常的女性谁最初提出无痛右侧颈部肿胀。影像显示右侧颈内静脉(IJV)出现急性血栓,原因不明。进一步检查显示纵隔淋巴结肿大坏死,怀疑为淋巴瘤。然而,患者后来出现癫痫发作,随后的神经影像学显示多发性颅内环增强病变。最终,纵隔镜淋巴结活检证实坏死性肉芽肿性炎症,结核聚合酶链反应(PCR)阳性,与弥散性结核累及血管和中枢神经系统一致。患者开始接受抗结核治疗、抗凝治疗和辅助皮质类固醇治疗,并安排多学科随访。讨论:本病例强调了结核病引起的高凝血性是孤立静脉血栓形成的潜在原因,并强调了结核病模拟恶性肿瘤时的诊断挑战。它还强调了即使在没有肺部症状的情况下,在鉴别诊断不明原因血栓形成和颅内病变时考虑结核病的重要性。结论:临床医生应在非典型血栓形成事件中保持对肺外结核的高度怀疑。早期组织诊断和多学科方法是有效管理和良好结果的关键。
本文章由计算机程序翻译,如有差异,请以英文原文为准。

Beyond the Lungs: A Rare Case of Extrapulmonary Tuberculosis Presenting With Neck Vein Thrombosis and Seizure.

Beyond the Lungs: A Rare Case of Extrapulmonary Tuberculosis Presenting With Neck Vein Thrombosis and Seizure.

Beyond the Lungs: A Rare Case of Extrapulmonary Tuberculosis Presenting With Neck Vein Thrombosis and Seizure.

Beyond the Lungs: A Rare Case of Extrapulmonary Tuberculosis Presenting With Neck Vein Thrombosis and Seizure.

Introduction: Tuberculosis (TB), caused by Mycobacterium tuberculosis, primarily affects the lungs but can involve virtually any organ system, manifesting as extrapulmonary TB. While TB-related hypercoagulability and venous thromboembolism are recognized, such presentations remain uncommon and diagnostically challenging, especially in the absence of classical symptoms. Case Presentation: We report the case of a 24-year-old immunocompetent female who initially presented with painless right-sided neck swelling. Imaging revealed an acute thrombus in the right internal jugular vein (IJV), with no clear underlying cause. Further evaluation showed enlarged necrotic mediastinal lymph nodes, raising suspicion for lymphoma. However, the patient later developed a seizure episode, and subsequent neuroimaging revealed multiple intracranial ring-enhancing lesions. Ultimately, mediastinoscopic lymph node biopsy confirmed necrotizing granulomatous inflammation, with a positive TB polymerase chain reaction (PCR), consistent with disseminated TB involving both vascular and central nervous systems. The patient was started on antitubercular therapy, anticoagulation, and adjunctive corticosteroids, with multidisciplinary follow-up arranged. Discussion: This case highlights TB-induced hypercoagulability as a potential cause of isolated venous thrombosis and underscores the diagnostic challenges when TB mimics malignancy. It also emphasizes the importance of considering TB in the differential diagnosis of unexplained thrombosis and intracranial lesions, even in the absence of pulmonary symptoms. Conclusion: Clinicians should maintain a high index of suspicion for extrapulmonary TB in atypical thrombotic events. Early tissue diagnosis and a multidisciplinary approach are key to effective management and favorable outcomes.

求助全文
通过发布文献求助,成功后即可免费获取论文全文。 去求助
来源期刊
自引率
0.00%
发文量
64
审稿时长
13 weeks
×
引用
GB/T 7714-2015
复制
MLA
复制
APA
复制
导出至
BibTeX EndNote RefMan NoteFirst NoteExpress
×
提示
您的信息不完整,为了账户安全,请先补充。
现在去补充
×
提示
您因"违规操作"
具体请查看互助需知
我知道了
×
提示
确定
请完成安全验证×
copy
已复制链接
快去分享给好友吧!
我知道了
右上角分享
点击右上角分享
0
联系我们:info@booksci.cn Book学术提供免费学术资源搜索服务,方便国内外学者检索中英文文献。致力于提供最便捷和优质的服务体验。 Copyright © 2023 布克学术 All rights reserved.
京ICP备2023020795号-1
ghs 京公网安备 11010802042870号
Book学术文献互助
Book学术文献互助群
群 号:604180095
Book学术官方微信