中枢神经系统结核的矛盾反应:三例免疫正常病例报告。

IF 0.8 Q4 INFECTIOUS DISEASES
Case Reports in Infectious Diseases Pub Date : 2025-08-21 eCollection Date: 2025-01-01 DOI:10.1155/crdi/5416948
Eduardo Mariño, Jorge Rodríguez-Pardo, Laura Vidal, Gerardo Zmork, Alicia Garcial-Leal, Beatriz Díaz-Pollán, Laura Lacruz
{"title":"中枢神经系统结核的矛盾反应:三例免疫正常病例报告。","authors":"Eduardo Mariño, Jorge Rodríguez-Pardo, Laura Vidal, Gerardo Zmork, Alicia Garcial-Leal, Beatriz Díaz-Pollán, Laura Lacruz","doi":"10.1155/crdi/5416948","DOIUrl":null,"url":null,"abstract":"<p><p><b>Introduction:</b> Paradoxical reactions during tuberculosis (TBC) therapy are characterized by clinical or radiological worsening of preexisting tuberculous lesions or the appearance of new manifestations following appropriate TBC treatment. Identifying this phenomenon is crucial, since it can be mistaken with treatment failure or relapse. Although widely described in HIV patients following immune reconstitution inflammatory syndrome, the literature on HIV-negative patients is scarce. <b>Case Series:</b> We present three cases of immunocompetent patients with central nervous system tuberculosis (CNS-TBC) who developed paradoxical reactions following appropriate TBC therapy. These included diverse clinical and radiological manifestations, such as persistent headaches, apparition or progression of tuberculomas, cerebral infarcts, and dorsal myelitis. Paradoxical reactions occurred within an average of 2.5 months from the start of anti-TBC treatment. <b>Conclusion:</b> Our findings underscore the importance of closely monitoring patients following anti-TBC treatment to identify potential complications rapidly. Paradoxical reactions due to exaggerated immune response to <i>Mycobacterium tuberculosis</i> complex antigens should be considered in a thorough differential diagnosis including other CNS infections, granulomatous or neoplastic disorders, treatment failure, or treatment-related toxicities. Ensuring adequate adherence to anti-TBC treatment and immunosuppressants is essential in such cases.</p>","PeriodicalId":9608,"journal":{"name":"Case Reports in Infectious Diseases","volume":"2025 ","pages":"5416948"},"PeriodicalIF":0.8000,"publicationDate":"2025-08-21","publicationTypes":"Journal Article","fieldsOfStudy":null,"isOpenAccess":false,"openAccessPdf":"https://www.ncbi.nlm.nih.gov/pmc/articles/PMC12393930/pdf/","citationCount":"0","resultStr":"{\"title\":\"Paradoxical Reactions of Central Nervous System Tuberculosis: Report of Three Immunocompetent Cases.\",\"authors\":\"Eduardo Mariño, Jorge Rodríguez-Pardo, Laura Vidal, Gerardo Zmork, Alicia Garcial-Leal, Beatriz Díaz-Pollán, Laura Lacruz\",\"doi\":\"10.1155/crdi/5416948\",\"DOIUrl\":null,\"url\":null,\"abstract\":\"<p><p><b>Introduction:</b> Paradoxical reactions during tuberculosis (TBC) therapy are characterized by clinical or radiological worsening of preexisting tuberculous lesions or the appearance of new manifestations following appropriate TBC treatment. Identifying this phenomenon is crucial, since it can be mistaken with treatment failure or relapse. Although widely described in HIV patients following immune reconstitution inflammatory syndrome, the literature on HIV-negative patients is scarce. <b>Case Series:</b> We present three cases of immunocompetent patients with central nervous system tuberculosis (CNS-TBC) who developed paradoxical reactions following appropriate TBC therapy. These included diverse clinical and radiological manifestations, such as persistent headaches, apparition or progression of tuberculomas, cerebral infarcts, and dorsal myelitis. Paradoxical reactions occurred within an average of 2.5 months from the start of anti-TBC treatment. <b>Conclusion:</b> Our findings underscore the importance of closely monitoring patients following anti-TBC treatment to identify potential complications rapidly. Paradoxical reactions due to exaggerated immune response to <i>Mycobacterium tuberculosis</i> complex antigens should be considered in a thorough differential diagnosis including other CNS infections, granulomatous or neoplastic disorders, treatment failure, or treatment-related toxicities. Ensuring adequate adherence to anti-TBC treatment and immunosuppressants is essential in such cases.</p>\",\"PeriodicalId\":9608,\"journal\":{\"name\":\"Case Reports in Infectious Diseases\",\"volume\":\"2025 \",\"pages\":\"5416948\"},\"PeriodicalIF\":0.8000,\"publicationDate\":\"2025-08-21\",\"publicationTypes\":\"Journal Article\",\"fieldsOfStudy\":null,\"isOpenAccess\":false,\"openAccessPdf\":\"https://www.ncbi.nlm.nih.gov/pmc/articles/PMC12393930/pdf/\",\"citationCount\":\"0\",\"resultStr\":null,\"platform\":\"Semanticscholar\",\"paperid\":null,\"PeriodicalName\":\"Case Reports in Infectious Diseases\",\"FirstCategoryId\":\"1085\",\"ListUrlMain\":\"https://doi.org/10.1155/crdi/5416948\",\"RegionNum\":0,\"RegionCategory\":null,\"ArticlePicture\":[],\"TitleCN\":null,\"AbstractTextCN\":null,\"PMCID\":null,\"EPubDate\":\"2025/1/1 0:00:00\",\"PubModel\":\"eCollection\",\"JCR\":\"Q4\",\"JCRName\":\"INFECTIOUS DISEASES\",\"Score\":null,\"Total\":0}","platform":"Semanticscholar","paperid":null,"PeriodicalName":"Case Reports in Infectious Diseases","FirstCategoryId":"1085","ListUrlMain":"https://doi.org/10.1155/crdi/5416948","RegionNum":0,"RegionCategory":null,"ArticlePicture":[],"TitleCN":null,"AbstractTextCN":null,"PMCID":null,"EPubDate":"2025/1/1 0:00:00","PubModel":"eCollection","JCR":"Q4","JCRName":"INFECTIOUS DISEASES","Score":null,"Total":0}
引用次数: 0

摘要

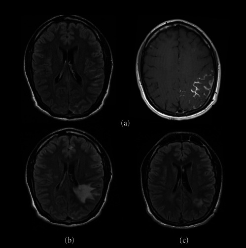
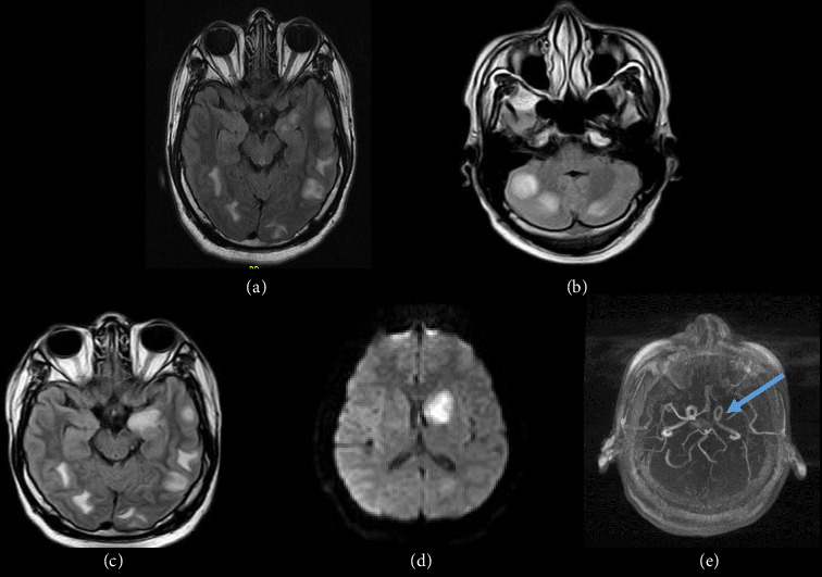
前言:结核治疗期间的矛盾反应的特点是先前存在的结核病变的临床或放射学恶化,或在适当的TBC治疗后出现新的表现。识别这种现象是至关重要的,因为它可能被误认为是治疗失败或复发。尽管在免疫重建炎症综合征后的HIV患者中有广泛的报道,但关于HIV阴性患者的文献很少。病例系列:我们报告了三例免疫功能正常的中枢神经系统结核(CNS-TBC)患者,他们在适当的TBC治疗后出现了矛盾反应。这些包括不同的临床和放射表现,如持续性头痛、结核瘤的出现或进展、脑梗死和脊髓炎。从抗tbc治疗开始平均2.5个月内发生矛盾反应。结论:我们的研究结果强调了密切监测抗tbc治疗后患者的重要性,以迅速发现潜在的并发症。在进行彻底的鉴别诊断时,应考虑到对结核分枝杆菌复合体抗原的过度免疫反应引起的矛盾反应,包括其他中枢神经系统感染、肉芽肿或肿瘤疾病、治疗失败或治疗相关毒性。在这种情况下,确保充分坚持抗tbc治疗和免疫抑制剂至关重要。
本文章由计算机程序翻译,如有差异,请以英文原文为准。

Paradoxical Reactions of Central Nervous System Tuberculosis: Report of Three Immunocompetent Cases.

Paradoxical Reactions of Central Nervous System Tuberculosis: Report of Three Immunocompetent Cases.

Paradoxical Reactions of Central Nervous System Tuberculosis: Report of Three Immunocompetent Cases.

Paradoxical Reactions of Central Nervous System Tuberculosis: Report of Three Immunocompetent Cases.

Introduction: Paradoxical reactions during tuberculosis (TBC) therapy are characterized by clinical or radiological worsening of preexisting tuberculous lesions or the appearance of new manifestations following appropriate TBC treatment. Identifying this phenomenon is crucial, since it can be mistaken with treatment failure or relapse. Although widely described in HIV patients following immune reconstitution inflammatory syndrome, the literature on HIV-negative patients is scarce. Case Series: We present three cases of immunocompetent patients with central nervous system tuberculosis (CNS-TBC) who developed paradoxical reactions following appropriate TBC therapy. These included diverse clinical and radiological manifestations, such as persistent headaches, apparition or progression of tuberculomas, cerebral infarcts, and dorsal myelitis. Paradoxical reactions occurred within an average of 2.5 months from the start of anti-TBC treatment. Conclusion: Our findings underscore the importance of closely monitoring patients following anti-TBC treatment to identify potential complications rapidly. Paradoxical reactions due to exaggerated immune response to Mycobacterium tuberculosis complex antigens should be considered in a thorough differential diagnosis including other CNS infections, granulomatous or neoplastic disorders, treatment failure, or treatment-related toxicities. Ensuring adequate adherence to anti-TBC treatment and immunosuppressants is essential in such cases.

求助全文
通过发布文献求助,成功后即可免费获取论文全文。 去求助
来源期刊
自引率
0.00%
发文量
64
审稿时长
13 weeks
×
引用
GB/T 7714-2015
复制
MLA
复制
APA
复制
导出至
BibTeX EndNote RefMan NoteFirst NoteExpress
×
提示
您的信息不完整,为了账户安全,请先补充。
现在去补充
×
提示
您因"违规操作"
具体请查看互助需知
我知道了
×
提示
确定
请完成安全验证×
copy
已复制链接
快去分享给好友吧!
我知道了
右上角分享
点击右上角分享
0
联系我们:info@booksci.cn Book学术提供免费学术资源搜索服务,方便国内外学者检索中英文文献。致力于提供最便捷和优质的服务体验。 Copyright © 2023 布克学术 All rights reserved.
京ICP备2023020795号-1
ghs 京公网安备 11010802042870号
Book学术文献互助
Book学术文献互助群
群 号:604180095
Book学术官方微信