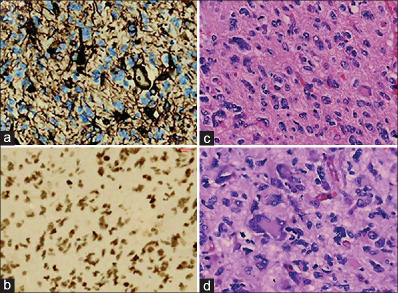
具有间变性特征的多形性黄色星形细胞瘤。

IF 4.8 4区 医学 Q3 CLINICAL NEUROLOGY
Brain Circulation Pub Date : 2025-04-08 eCollection Date: 2025-07-01 DOI:10.4103/bc.bc_71_24
Alejandra A Arévalo-Sáenz, Borja Ferrández-Pujante, Fernando J Rascón-Ramírez
{"title":"具有间变性特征的多形性黄色星形细胞瘤。","authors":"Alejandra A Arévalo-Sáenz, Borja Ferrández-Pujante, Fernando J Rascón-Ramírez","doi":"10.4103/bc.bc_71_24","DOIUrl":null,"url":null,"abstract":"","PeriodicalId":9288,"journal":{"name":"Brain Circulation","volume":"11 3","pages":"236-239"},"PeriodicalIF":4.8000,"publicationDate":"2025-04-08","publicationTypes":"Journal Article","fieldsOfStudy":null,"isOpenAccess":false,"openAccessPdf":"https://www.ncbi.nlm.nih.gov/pmc/articles/PMC12367255/pdf/","citationCount":"0","resultStr":"{\"title\":\"Pleomorphic xanthoastrocytoma with anaplastic features.\",\"authors\":\"Alejandra A Arévalo-Sáenz, Borja Ferrández-Pujante, Fernando J Rascón-Ramírez\",\"doi\":\"10.4103/bc.bc_71_24\",\"DOIUrl\":null,\"url\":null,\"abstract\":\"\",\"PeriodicalId\":9288,\"journal\":{\"name\":\"Brain Circulation\",\"volume\":\"11 3\",\"pages\":\"236-239\"},\"PeriodicalIF\":4.8000,\"publicationDate\":\"2025-04-08\",\"publicationTypes\":\"Journal Article\",\"fieldsOfStudy\":null,\"isOpenAccess\":false,\"openAccessPdf\":\"https://www.ncbi.nlm.nih.gov/pmc/articles/PMC12367255/pdf/\",\"citationCount\":\"0\",\"resultStr\":null,\"platform\":\"Semanticscholar\",\"paperid\":null,\"PeriodicalName\":\"Brain Circulation\",\"FirstCategoryId\":\"3\",\"ListUrlMain\":\"https://doi.org/10.4103/bc.bc_71_24\",\"RegionNum\":4,\"RegionCategory\":\"医学\",\"ArticlePicture\":[],\"TitleCN\":null,\"AbstractTextCN\":null,\"PMCID\":null,\"EPubDate\":\"2025/7/1 0:00:00\",\"PubModel\":\"eCollection\",\"JCR\":\"Q3\",\"JCRName\":\"CLINICAL NEUROLOGY\",\"Score\":null,\"Total\":0}","platform":"Semanticscholar","paperid":null,"PeriodicalName":"Brain Circulation","FirstCategoryId":"3","ListUrlMain":"https://doi.org/10.4103/bc.bc_71_24","RegionNum":4,"RegionCategory":"医学","ArticlePicture":[],"TitleCN":null,"AbstractTextCN":null,"PMCID":null,"EPubDate":"2025/7/1 0:00:00","PubModel":"eCollection","JCR":"Q3","JCRName":"CLINICAL NEUROLOGY","Score":null,"Total":0}
引用次数: 0

摘要

本文章由计算机程序翻译,如有差异,请以英文原文为准。

Pleomorphic xanthoastrocytoma with anaplastic features.

Pleomorphic xanthoastrocytoma with anaplastic features.

Pleomorphic xanthoastrocytoma with anaplastic features.
求助全文
通过发布文献求助,成功后即可免费获取论文全文。 去求助
来源期刊
Brain Circulation
Brain Circulation Multiple-
自引率
5.30%
发文量
31
审稿时长
16 weeks
×
引用
GB/T 7714-2015
复制
MLA
复制
APA
复制
导出至
BibTeX EndNote RefMan NoteFirst NoteExpress
×
提示
您的信息不完整,为了账户安全,请先补充。
现在去补充
×
提示
您因"违规操作"
具体请查看互助需知
我知道了
×
提示
确定
请完成安全验证×
copy
已复制链接
快去分享给好友吧!
我知道了
右上角分享
点击右上角分享
0
联系我们:info@booksci.cn Book学术提供免费学术资源搜索服务,方便国内外学者检索中英文文献。致力于提供最便捷和优质的服务体验。 Copyright © 2023 布克学术 All rights reserved.
京ICP备2023020795号-1
ghs 京公网安备 11010802042870号
Book学术文献互助
Book学术文献互助群
群 号:604180095
Book学术官方微信