快速改善的后部可逆性脑病综合征的影像学演变:1例报告。

IF 4.8 4区 医学 Q3 CLINICAL NEUROLOGY
Brain Circulation Pub Date : 2025-03-04 eCollection Date: 2025-07-01 DOI:10.4103/bc.bc_74_24
Yilong He, Langtao He, Yetao Lin, Yitao He
{"title":"快速改善的后部可逆性脑病综合征的影像学演变:1例报告。","authors":"Yilong He, Langtao He, Yetao Lin, Yitao He","doi":"10.4103/bc.bc_74_24","DOIUrl":null,"url":null,"abstract":"<p><p>Posterior reversible encephalopathy syndrome (PRES) is a rare neurological disorder with no specific clinical symptoms in the early stage; thus, early imaging identification is of great importance. A 29-year-old pregnant woman at 37 weeks experienced sudden generalized seizures accompanied by impaired consciousness. Brain computed tomography, conducted around 3 h after the onset, revealed symmetric areas of decreased density in the basal ganglia, brainstem, and suboccipital cortex, along with cerebral swelling. Following treatment with positive inotrope, diuretics, antihypertensives, and dehydration therapy, the patient regained clear consciousness on the 2<sup>nd</sup> day. On the 9<sup>th</sup> day postonset, a follow-up contrast-enhanced magnetic resonance imaging (MRI) showed slightly elevated signals in the bilateral occipital lobes on the T2 fluid-attenuated inversion recovery sequence. A subsequent brain MRI on day 47 postonset indicated no significant abnormal changes. Neuroimaging is pivotal for PRES diagnosis, revealing typical signs of widespread vasogenic edema in the posterior brain white matter, affecting the occipital lobes, cerebellum, brainstem, thalamus, and basal ganglia. With timely treatment, these lesions can partially or completely resolve within days or weeks.</p>","PeriodicalId":9288,"journal":{"name":"Brain Circulation","volume":"11 3","pages":"240-242"},"PeriodicalIF":4.8000,"publicationDate":"2025-03-04","publicationTypes":"Journal Article","fieldsOfStudy":null,"isOpenAccess":false,"openAccessPdf":"https://www.ncbi.nlm.nih.gov/pmc/articles/PMC12367258/pdf/","citationCount":"0","resultStr":"{\"title\":\"The evolving imaging of rapidly improving posterior reversible encephalopathy syndrome: A case report.\",\"authors\":\"Yilong He, Langtao He, Yetao Lin, Yitao He\",\"doi\":\"10.4103/bc.bc_74_24\",\"DOIUrl\":null,\"url\":null,\"abstract\":\"<p><p>Posterior reversible encephalopathy syndrome (PRES) is a rare neurological disorder with no specific clinical symptoms in the early stage; thus, early imaging identification is of great importance. A 29-year-old pregnant woman at 37 weeks experienced sudden generalized seizures accompanied by impaired consciousness. Brain computed tomography, conducted around 3 h after the onset, revealed symmetric areas of decreased density in the basal ganglia, brainstem, and suboccipital cortex, along with cerebral swelling. Following treatment with positive inotrope, diuretics, antihypertensives, and dehydration therapy, the patient regained clear consciousness on the 2<sup>nd</sup> day. On the 9<sup>th</sup> day postonset, a follow-up contrast-enhanced magnetic resonance imaging (MRI) showed slightly elevated signals in the bilateral occipital lobes on the T2 fluid-attenuated inversion recovery sequence. A subsequent brain MRI on day 47 postonset indicated no significant abnormal changes. Neuroimaging is pivotal for PRES diagnosis, revealing typical signs of widespread vasogenic edema in the posterior brain white matter, affecting the occipital lobes, cerebellum, brainstem, thalamus, and basal ganglia. With timely treatment, these lesions can partially or completely resolve within days or weeks.</p>\",\"PeriodicalId\":9288,\"journal\":{\"name\":\"Brain Circulation\",\"volume\":\"11 3\",\"pages\":\"240-242\"},\"PeriodicalIF\":4.8000,\"publicationDate\":\"2025-03-04\",\"publicationTypes\":\"Journal Article\",\"fieldsOfStudy\":null,\"isOpenAccess\":false,\"openAccessPdf\":\"https://www.ncbi.nlm.nih.gov/pmc/articles/PMC12367258/pdf/\",\"citationCount\":\"0\",\"resultStr\":null,\"platform\":\"Semanticscholar\",\"paperid\":null,\"PeriodicalName\":\"Brain Circulation\",\"FirstCategoryId\":\"3\",\"ListUrlMain\":\"https://doi.org/10.4103/bc.bc_74_24\",\"RegionNum\":4,\"RegionCategory\":\"医学\",\"ArticlePicture\":[],\"TitleCN\":null,\"AbstractTextCN\":null,\"PMCID\":null,\"EPubDate\":\"2025/7/1 0:00:00\",\"PubModel\":\"eCollection\",\"JCR\":\"Q3\",\"JCRName\":\"CLINICAL NEUROLOGY\",\"Score\":null,\"Total\":0}","platform":"Semanticscholar","paperid":null,"PeriodicalName":"Brain Circulation","FirstCategoryId":"3","ListUrlMain":"https://doi.org/10.4103/bc.bc_74_24","RegionNum":4,"RegionCategory":"医学","ArticlePicture":[],"TitleCN":null,"AbstractTextCN":null,"PMCID":null,"EPubDate":"2025/7/1 0:00:00","PubModel":"eCollection","JCR":"Q3","JCRName":"CLINICAL NEUROLOGY","Score":null,"Total":0}
引用次数: 0

摘要

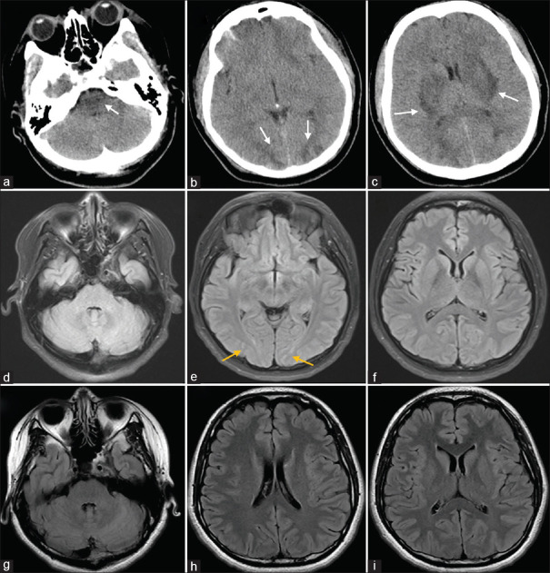
后可逆性脑病综合征(PRES)是一种罕见的神经系统疾病,早期没有特定的临床症状;因此,早期影像学识别是非常重要的。29岁孕妇37周突然全身性癫痫发作伴意识受损。发病后约3小时进行的脑部计算机断层扫描显示基底节区、脑干和枕下皮质密度降低的对称区域,并伴有脑肿胀。经正性肌力、利尿剂、降压药和脱水治疗后,患者于第2天恢复清醒意识。在发病后第9天,随访的磁共振成像(MRI)显示双侧枕叶在T2液体衰减反转恢复序列上有轻微升高的信号。发病后第47天的后续脑MRI显示无明显异常变化。神经影像学是诊断PRES的关键,显示脑后白质广泛血管源性水肿的典型征象,影响枕叶、小脑、脑干、丘脑和基底节区。如果及时治疗,这些病变可以在几天或几周内部分或完全消退。
本文章由计算机程序翻译,如有差异,请以英文原文为准。

The evolving imaging of rapidly improving posterior reversible encephalopathy syndrome: A case report.

The evolving imaging of rapidly improving posterior reversible encephalopathy syndrome: A case report.

Posterior reversible encephalopathy syndrome (PRES) is a rare neurological disorder with no specific clinical symptoms in the early stage; thus, early imaging identification is of great importance. A 29-year-old pregnant woman at 37 weeks experienced sudden generalized seizures accompanied by impaired consciousness. Brain computed tomography, conducted around 3 h after the onset, revealed symmetric areas of decreased density in the basal ganglia, brainstem, and suboccipital cortex, along with cerebral swelling. Following treatment with positive inotrope, diuretics, antihypertensives, and dehydration therapy, the patient regained clear consciousness on the 2nd day. On the 9th day postonset, a follow-up contrast-enhanced magnetic resonance imaging (MRI) showed slightly elevated signals in the bilateral occipital lobes on the T2 fluid-attenuated inversion recovery sequence. A subsequent brain MRI on day 47 postonset indicated no significant abnormal changes. Neuroimaging is pivotal for PRES diagnosis, revealing typical signs of widespread vasogenic edema in the posterior brain white matter, affecting the occipital lobes, cerebellum, brainstem, thalamus, and basal ganglia. With timely treatment, these lesions can partially or completely resolve within days or weeks.

求助全文
通过发布文献求助,成功后即可免费获取论文全文。 去求助
来源期刊
Brain Circulation
Brain Circulation Multiple-
自引率
5.30%
发文量
31
审稿时长
16 weeks
×
引用
GB/T 7714-2015
复制
MLA
复制
APA
复制
导出至
BibTeX EndNote RefMan NoteFirst NoteExpress
×
提示
您的信息不完整,为了账户安全,请先补充。
现在去补充
×
提示
您因"违规操作"
具体请查看互助需知
我知道了
×
提示
确定
请完成安全验证×
copy
已复制链接
快去分享给好友吧!
我知道了
右上角分享
点击右上角分享
0
联系我们:info@booksci.cn Book学术提供免费学术资源搜索服务,方便国内外学者检索中英文文献。致力于提供最便捷和优质的服务体验。 Copyright © 2023 布克学术 All rights reserved.
京ICP备2023020795号-1
ghs 京公网安备 11010802042870号
Book学术文献互助
Book学术文献互助群
群 号:604180095
Book学术官方微信