意外急性发作残端阑尾炎在青少年:一个罕见的阑尾切除术后并发症。

IF 0.5 Q4 SURGERY
Case Reports in Surgery Pub Date : 2025-08-22 eCollection Date: 2025-01-01 DOI:10.1155/cris/3546440
Ahmad Fasfoos, Maaweya Jabareen, Wasef Alhroub, Ammar Hassouneh, Dunia Salhab, Aleen Aldabbas, Razan Sobeih, Isra Hamoudah, Islam Ishnawer, Qusai Sobeih
{"title":"意外急性发作残端阑尾炎在青少年:一个罕见的阑尾切除术后并发症。","authors":"Ahmad Fasfoos, Maaweya Jabareen, Wasef Alhroub, Ammar Hassouneh, Dunia Salhab, Aleen Aldabbas, Razan Sobeih, Isra Hamoudah, Islam Ishnawer, Qusai Sobeih","doi":"10.1155/cris/3546440","DOIUrl":null,"url":null,"abstract":"<p><p>Stump appendicitis is a rare but serious complication following an appendectomy, resulting from incomplete removal of the appendix. It often mimics acute appendicitis with nonspecific symptoms, such as abdominal pain, nausea, vomiting, and fever, making diagnosis challenging. Here, we report the case of a 17-year-old male who presented with diffuse abdominal pain, fever, and nausea just 11 days after undergoing an open appendectomy. Physical examination revealed tenderness at the surgical site, and imaging showed inflammatory changes in the right lower quadrant. Exploratory surgery confirmed stump appendicitis due to retained appendiceal tissue, which was resected. The patient recovered uneventfully.</p>","PeriodicalId":9600,"journal":{"name":"Case Reports in Surgery","volume":"2025 ","pages":"3546440"},"PeriodicalIF":0.5000,"publicationDate":"2025-08-22","publicationTypes":"Journal Article","fieldsOfStudy":null,"isOpenAccess":false,"openAccessPdf":"https://www.ncbi.nlm.nih.gov/pmc/articles/PMC12396917/pdf/","citationCount":"0","resultStr":"{\"title\":\"Unexpected Acute-Onset Stump Appendicitis in a Teenager: A Rare Postappendectomy Complication.\",\"authors\":\"Ahmad Fasfoos, Maaweya Jabareen, Wasef Alhroub, Ammar Hassouneh, Dunia Salhab, Aleen Aldabbas, Razan Sobeih, Isra Hamoudah, Islam Ishnawer, Qusai Sobeih\",\"doi\":\"10.1155/cris/3546440\",\"DOIUrl\":null,\"url\":null,\"abstract\":\"<p><p>Stump appendicitis is a rare but serious complication following an appendectomy, resulting from incomplete removal of the appendix. It often mimics acute appendicitis with nonspecific symptoms, such as abdominal pain, nausea, vomiting, and fever, making diagnosis challenging. Here, we report the case of a 17-year-old male who presented with diffuse abdominal pain, fever, and nausea just 11 days after undergoing an open appendectomy. Physical examination revealed tenderness at the surgical site, and imaging showed inflammatory changes in the right lower quadrant. Exploratory surgery confirmed stump appendicitis due to retained appendiceal tissue, which was resected. The patient recovered uneventfully.</p>\",\"PeriodicalId\":9600,\"journal\":{\"name\":\"Case Reports in Surgery\",\"volume\":\"2025 \",\"pages\":\"3546440\"},\"PeriodicalIF\":0.5000,\"publicationDate\":\"2025-08-22\",\"publicationTypes\":\"Journal Article\",\"fieldsOfStudy\":null,\"isOpenAccess\":false,\"openAccessPdf\":\"https://www.ncbi.nlm.nih.gov/pmc/articles/PMC12396917/pdf/\",\"citationCount\":\"0\",\"resultStr\":null,\"platform\":\"Semanticscholar\",\"paperid\":null,\"PeriodicalName\":\"Case Reports in Surgery\",\"FirstCategoryId\":\"1085\",\"ListUrlMain\":\"https://doi.org/10.1155/cris/3546440\",\"RegionNum\":0,\"RegionCategory\":null,\"ArticlePicture\":[],\"TitleCN\":null,\"AbstractTextCN\":null,\"PMCID\":null,\"EPubDate\":\"2025/1/1 0:00:00\",\"PubModel\":\"eCollection\",\"JCR\":\"Q4\",\"JCRName\":\"SURGERY\",\"Score\":null,\"Total\":0}","platform":"Semanticscholar","paperid":null,"PeriodicalName":"Case Reports in Surgery","FirstCategoryId":"1085","ListUrlMain":"https://doi.org/10.1155/cris/3546440","RegionNum":0,"RegionCategory":null,"ArticlePicture":[],"TitleCN":null,"AbstractTextCN":null,"PMCID":null,"EPubDate":"2025/1/1 0:00:00","PubModel":"eCollection","JCR":"Q4","JCRName":"SURGERY","Score":null,"Total":0}
引用次数: 0

摘要

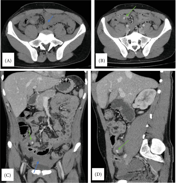
残端阑尾炎是阑尾切除术后罕见但严重的并发症,是由于阑尾切除不全而引起的。它通常与急性阑尾炎相似,但有非特异性症状,如腹痛、恶心、呕吐和发烧,使诊断具有挑战性。在这里,我们报告一个17岁的男性病例,他在接受开放性阑尾切除术后仅11天就出现了弥漫性腹痛,发烧和恶心。体格检查显示手术部位有压痛,影像学显示右下腹部有炎性改变。探查手术证实残端阑尾炎是由于保留阑尾组织,并切除。病人平静地康复了。
本文章由计算机程序翻译,如有差异,请以英文原文为准。

Unexpected Acute-Onset Stump Appendicitis in a Teenager: A Rare Postappendectomy Complication.

Unexpected Acute-Onset Stump Appendicitis in a Teenager: A Rare Postappendectomy Complication.

Unexpected Acute-Onset Stump Appendicitis in a Teenager: A Rare Postappendectomy Complication.

Stump appendicitis is a rare but serious complication following an appendectomy, resulting from incomplete removal of the appendix. It often mimics acute appendicitis with nonspecific symptoms, such as abdominal pain, nausea, vomiting, and fever, making diagnosis challenging. Here, we report the case of a 17-year-old male who presented with diffuse abdominal pain, fever, and nausea just 11 days after undergoing an open appendectomy. Physical examination revealed tenderness at the surgical site, and imaging showed inflammatory changes in the right lower quadrant. Exploratory surgery confirmed stump appendicitis due to retained appendiceal tissue, which was resected. The patient recovered uneventfully.

求助全文
通过发布文献求助,成功后即可免费获取论文全文。 去求助
来源期刊
自引率
0.00%
发文量
60
审稿时长
13 weeks
×
引用
GB/T 7714-2015
复制
MLA
复制
APA
复制
导出至
BibTeX EndNote RefMan NoteFirst NoteExpress
×
提示
您的信息不完整,为了账户安全,请先补充。
现在去补充
×
提示
您因"违规操作"
具体请查看互助需知
我知道了
×
提示
确定
请完成安全验证×
copy
已复制链接
快去分享给好友吧!
我知道了
右上角分享
点击右上角分享
0
联系我们:info@booksci.cn Book学术提供免费学术资源搜索服务,方便国内外学者检索中英文文献。致力于提供最便捷和优质的服务体验。 Copyright © 2023 布克学术 All rights reserved.
京ICP备2023020795号-1
ghs 京公网安备 11010802042870号
Book学术文献互助
Book学术文献互助群
群 号:604180095
Book学术官方微信