机器人辅助上、下泌尿生殖道联合手术,早期功能及肿瘤预后良好——保留神经的根治性前列腺切除术、憩室切除术及输尿管切除术1例

IF 1.9 3区 医学 Q3 UROLOGY & NEPHROLOGY
Jan Lüdecke, Mirjam Naomi Mohr, Till Rasmus Schneider, Joost Wilhelm Voß, Arne Strauß, Lutz Trojan, Mathias Reichert
{"title":"机器人辅助上、下泌尿生殖道联合手术,早期功能及肿瘤预后良好——保留神经的根治性前列腺切除术、憩室切除术及输尿管切除术1例","authors":"Jan Lüdecke, Mirjam Naomi Mohr, Till Rasmus Schneider, Joost Wilhelm Voß, Arne Strauß, Lutz Trojan, Mathias Reichert","doi":"10.1186/s12894-025-01901-9","DOIUrl":null,"url":null,"abstract":"<p><p>INTRODUCTION AND IMPORTANCE: \"Congenital anomalies of the kidney and urinary tract\" (CAKUT) represent a heterogeneous and rare group of disorders affecting the urinary tract. Despite the widespread availability of ultrasound, the diagnosis of congenital urinary tract malformations is often made in adulthood. As a result, CAKUT are typically incidental findings during imaging investigations. This case report represents the first description of a simultaneous surgical therapy of CAKUT and nerve-sparing-prostatectomy, demonstrating that concomitant surgery does not present disadvantages and that a successful nerve-sparing radical prostatectomy can still be performed under NeuroSAFE control. CASE PRESENTATION: In this report, we describe a patient with prostate adenocarcinoma who had an incidental finding of left-sided CAKUT, including kidney aplasia, ureterocele, and bladder diverticulum. The patient underwent a simultaneous nerve-sparing radical prostatectomy, ureterectomy, and diverticulectomy. After catheter removal on day 10 after surgery, the patient demonstrated adequate continence (6gr in 24 h pad test, 450 ml voiding volume, no residual urine). The pathological examination revealed a pT2c pN0 (0/5) R0, GS 3 + 4 = 7a adenocarcinoma of the prostate. The patient expressed high satisfaction with the surgery and its outcomes. CONCLUSION: This case demonstrates for the first time that a combined approach to complex surgeries of both the upper and lower genitourinary tracts, addressing oncological considerations, can be performed safely without compromising early functional or early oncological outcomes.</p>","PeriodicalId":9285,"journal":{"name":"BMC Urology","volume":"25 1","pages":"225"},"PeriodicalIF":1.9000,"publicationDate":"2025-09-02","publicationTypes":"Journal Article","fieldsOfStudy":null,"isOpenAccess":false,"openAccessPdf":"https://www.ncbi.nlm.nih.gov/pmc/articles/PMC12403551/pdf/","citationCount":"0","resultStr":"{\"title\":\"Combined robot-assisted surgery of upper and lower genitourinary tract with excellent early functional and oncological outcome - a case report of a concomitant nerve-sparing radical prostatectomy, diverticulectomy and ureterectomy.\",\"authors\":\"Jan Lüdecke, Mirjam Naomi Mohr, Till Rasmus Schneider, Joost Wilhelm Voß, Arne Strauß, Lutz Trojan, Mathias Reichert\",\"doi\":\"10.1186/s12894-025-01901-9\",\"DOIUrl\":null,\"url\":null,\"abstract\":\"<p><p>INTRODUCTION AND IMPORTANCE: \\\"Congenital anomalies of the kidney and urinary tract\\\" (CAKUT) represent a heterogeneous and rare group of disorders affecting the urinary tract. Despite the widespread availability of ultrasound, the diagnosis of congenital urinary tract malformations is often made in adulthood. As a result, CAKUT are typically incidental findings during imaging investigations. This case report represents the first description of a simultaneous surgical therapy of CAKUT and nerve-sparing-prostatectomy, demonstrating that concomitant surgery does not present disadvantages and that a successful nerve-sparing radical prostatectomy can still be performed under NeuroSAFE control. CASE PRESENTATION: In this report, we describe a patient with prostate adenocarcinoma who had an incidental finding of left-sided CAKUT, including kidney aplasia, ureterocele, and bladder diverticulum. The patient underwent a simultaneous nerve-sparing radical prostatectomy, ureterectomy, and diverticulectomy. After catheter removal on day 10 after surgery, the patient demonstrated adequate continence (6gr in 24 h pad test, 450 ml voiding volume, no residual urine). The pathological examination revealed a pT2c pN0 (0/5) R0, GS 3 + 4 = 7a adenocarcinoma of the prostate. The patient expressed high satisfaction with the surgery and its outcomes. CONCLUSION: This case demonstrates for the first time that a combined approach to complex surgeries of both the upper and lower genitourinary tracts, addressing oncological considerations, can be performed safely without compromising early functional or early oncological outcomes.</p>\",\"PeriodicalId\":9285,\"journal\":{\"name\":\"BMC Urology\",\"volume\":\"25 1\",\"pages\":\"225\"},\"PeriodicalIF\":1.9000,\"publicationDate\":\"2025-09-02\",\"publicationTypes\":\"Journal Article\",\"fieldsOfStudy\":null,\"isOpenAccess\":false,\"openAccessPdf\":\"https://www.ncbi.nlm.nih.gov/pmc/articles/PMC12403551/pdf/\",\"citationCount\":\"0\",\"resultStr\":null,\"platform\":\"Semanticscholar\",\"paperid\":null,\"PeriodicalName\":\"BMC Urology\",\"FirstCategoryId\":\"3\",\"ListUrlMain\":\"https://doi.org/10.1186/s12894-025-01901-9\",\"RegionNum\":3,\"RegionCategory\":\"医学\",\"ArticlePicture\":[],\"TitleCN\":null,\"AbstractTextCN\":null,\"PMCID\":null,\"EPubDate\":\"\",\"PubModel\":\"\",\"JCR\":\"Q3\",\"JCRName\":\"UROLOGY & NEPHROLOGY\",\"Score\":null,\"Total\":0}","platform":"Semanticscholar","paperid":null,"PeriodicalName":"BMC Urology","FirstCategoryId":"3","ListUrlMain":"https://doi.org/10.1186/s12894-025-01901-9","RegionNum":3,"RegionCategory":"医学","ArticlePicture":[],"TitleCN":null,"AbstractTextCN":null,"PMCID":null,"EPubDate":"","PubModel":"","JCR":"Q3","JCRName":"UROLOGY & NEPHROLOGY","Score":null,"Total":0}
引用次数: 0

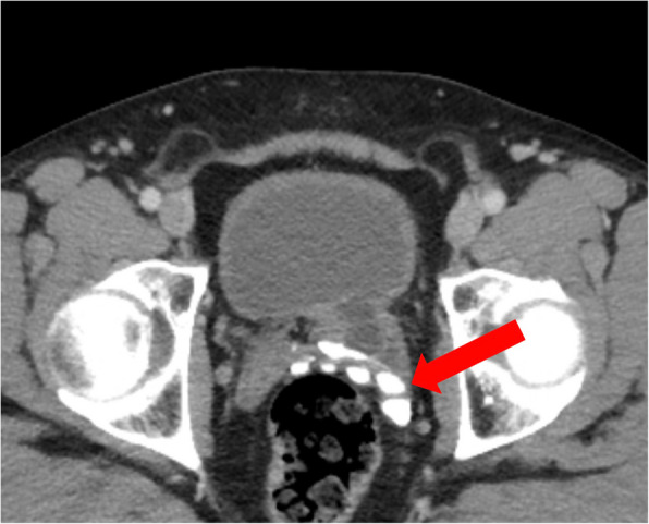
摘要

简介和重要性:“先天性肾脏和尿路异常”(CAKUT)是一种异质性和罕见的影响尿路的疾病。尽管超声广泛可用,先天性尿路畸形的诊断往往是在成年。因此,在成像调查中,CAKUT通常是偶然发现的。本病例报告首次描述了同时手术治疗CAKUT和保留神经的前列腺切除术,表明合并手术并不存在缺点,并且在神经安全控制下仍然可以进行成功的保留神经的根治性前列腺切除术。病例介绍:在这个报告中,我们描述了一个前列腺癌患者,他偶然发现左侧CAKUT,包括肾发育不全,输尿管膨出和膀胱憩室。患者同时行保留神经的根治性前列腺切除术、输尿管切除术和憩室切除术。术后第10天拔管后,患者尿控良好(24 h尿垫试验6gr,排尿量450 ml,无残尿)。病理检查显示pT2c pN0 (0/5) R0, GS 3 + 4 = 7a前列腺腺癌。患者对手术及其结果表示高度满意。结论:该病例首次表明,结合上、下泌尿生殖道的复杂手术,考虑肿瘤因素,可以安全地进行,而不会影响早期功能或早期肿瘤预后。
本文章由计算机程序翻译,如有差异,请以英文原文为准。

Combined robot-assisted surgery of upper and lower genitourinary tract with excellent early functional and oncological outcome - a case report of a concomitant nerve-sparing radical prostatectomy, diverticulectomy and ureterectomy.

Combined robot-assisted surgery of upper and lower genitourinary tract with excellent early functional and oncological outcome - a case report of a concomitant nerve-sparing radical prostatectomy, diverticulectomy and ureterectomy.

Combined robot-assisted surgery of upper and lower genitourinary tract with excellent early functional and oncological outcome - a case report of a concomitant nerve-sparing radical prostatectomy, diverticulectomy and ureterectomy.

Combined robot-assisted surgery of upper and lower genitourinary tract with excellent early functional and oncological outcome - a case report of a concomitant nerve-sparing radical prostatectomy, diverticulectomy and ureterectomy.

INTRODUCTION AND IMPORTANCE: "Congenital anomalies of the kidney and urinary tract" (CAKUT) represent a heterogeneous and rare group of disorders affecting the urinary tract. Despite the widespread availability of ultrasound, the diagnosis of congenital urinary tract malformations is often made in adulthood. As a result, CAKUT are typically incidental findings during imaging investigations. This case report represents the first description of a simultaneous surgical therapy of CAKUT and nerve-sparing-prostatectomy, demonstrating that concomitant surgery does not present disadvantages and that a successful nerve-sparing radical prostatectomy can still be performed under NeuroSAFE control. CASE PRESENTATION: In this report, we describe a patient with prostate adenocarcinoma who had an incidental finding of left-sided CAKUT, including kidney aplasia, ureterocele, and bladder diverticulum. The patient underwent a simultaneous nerve-sparing radical prostatectomy, ureterectomy, and diverticulectomy. After catheter removal on day 10 after surgery, the patient demonstrated adequate continence (6gr in 24 h pad test, 450 ml voiding volume, no residual urine). The pathological examination revealed a pT2c pN0 (0/5) R0, GS 3 + 4 = 7a adenocarcinoma of the prostate. The patient expressed high satisfaction with the surgery and its outcomes. CONCLUSION: This case demonstrates for the first time that a combined approach to complex surgeries of both the upper and lower genitourinary tracts, addressing oncological considerations, can be performed safely without compromising early functional or early oncological outcomes.

求助全文
通过发布文献求助,成功后即可免费获取论文全文。 去求助
来源期刊
BMC Urology
BMC Urology UROLOGY & NEPHROLOGY-
CiteScore
3.20
自引率
0.00%
发文量
177
审稿时长
>12 weeks
期刊介绍: BMC Urology is an open access journal publishing original peer-reviewed research articles in all aspects of the prevention, diagnosis and management of urological disorders, as well as related molecular genetics, pathophysiology, and epidemiology. The journal considers manuscripts in the following broad subject-specific sections of urology: Endourology and technology Epidemiology and health outcomes Pediatric urology Pre-clinical and basic research Reconstructive urology Sexual function and fertility Urological imaging Urological oncology Voiding dysfunction Case reports.
×
引用
GB/T 7714-2015
复制
MLA
复制
APA
复制
导出至
BibTeX EndNote RefMan NoteFirst NoteExpress
×
提示
您的信息不完整,为了账户安全,请先补充。
现在去补充
×
提示
您因"违规操作"
具体请查看互助需知
我知道了
×
提示
确定
请完成安全验证×
copy
已复制链接
快去分享给好友吧!
我知道了
右上角分享
点击右上角分享
0
联系我们:info@booksci.cn Book学术提供免费学术资源搜索服务,方便国内外学者检索中英文文献。致力于提供最便捷和优质的服务体验。 Copyright © 2023 布克学术 All rights reserved.
京ICP备2023020795号-1
ghs 京公网安备 11010802042870号
Book学术文献互助
Book学术文献互助群
群 号:604180095
Book学术官方微信