输尿管结石嵌塞程度能否更好地预测手术成功率和并发症?一个新的分类系统。

IF 1.9 3区 医学 Q3 UROLOGY & NEPHROLOGY
Emre Şam, Mustafa Yağmur, Muhammed Çağrı Akkuş, Deniz Öztürk Koçakgöl, Büşra Emir, Mehmet Sefa Altay, Fatih Akkaş, Ekrem Güner
{"title":"输尿管结石嵌塞程度能否更好地预测手术成功率和并发症?一个新的分类系统。","authors":"Emre Şam, Mustafa Yağmur, Muhammed Çağrı Akkuş, Deniz Öztürk Koçakgöl, Büşra Emir, Mehmet Sefa Altay, Fatih Akkaş, Ekrem Güner","doi":"10.1186/s12894-025-01912-6","DOIUrl":null,"url":null,"abstract":"<p><strong>Background: </strong>According to our hypothesis, a classification system that grades stone impaction may better predict surgical success and complications. Therefore, we developed a new classification system, and in this study, we aimed to evaluate the effect of stone impaction and its degree on success and complications of ureteroscopic lithotripsy (URS-L), as well as to investigate preoperative factors predicting stone impaction and its degree.</p><p><strong>Methods: </strong>Data of patients over the age of 18 years who underwent URS-L for a single ureteral stone were prospectively collected. First, stone impaction was determined by the primary surgeon using a Likert scale. Subsequently, non-impacted and impacted stones were further divided into two subgroups and classified according to the degree of stone impaction between Grades 1 and 4. Patient characteristics, preoperative non-contrast computed tomography (CT) findings, laboratory values, and intraoperative and postoperative outcomes were analyzed. Stone-free status was defined as the absence of residual stones > 2 mm on non-contrast CT at postoperative month 1.</p><p><strong>Results: </strong>The study included a total of 211 patients. Operative time, ureteral injury, degree of ureteral injury, failure (nephrostomy placement), hospital stay, and stone-free rates differed significantly between impacted and non-impacted stones. When evaluated by degree of impaction, significant differences were identified in operative time, presence of pyuria, ureteral injury, degree of ureteral injury, failure, hospital stay, and stone-free status. Colic severity, time from pain onset to surgery, location (upper ureter), stone volume, peri-calculus ureteral wall thickness (PUWT), and presence of severe hydronephrosis were found to be predictive factors of stone impaction, while female gender, stone location (upper ureter), and PUWT were independent predictors of Grade 4 stones.</p><p><strong>Conclusions: </strong>This study showed that stone impaction and the new classification system are associated with surgical outcomes. Not all non-impacted or impacted stones are the same, and grading according to the interaction of the stone with the ureteral wall can better predict surgical outcomes.</p>","PeriodicalId":9285,"journal":{"name":"BMC Urology","volume":"25 1","pages":"212"},"PeriodicalIF":1.9000,"publicationDate":"2025-08-21","publicationTypes":"Journal Article","fieldsOfStudy":null,"isOpenAccess":false,"openAccessPdf":"https://www.ncbi.nlm.nih.gov/pmc/articles/PMC12372390/pdf/","citationCount":"0","resultStr":"{\"title\":\"Can the degree of ureteral stone impaction better predict surgical success and complications? a new classification system.\",\"authors\":\"Emre Şam, Mustafa Yağmur, Muhammed Çağrı Akkuş, Deniz Öztürk Koçakgöl, Büşra Emir, Mehmet Sefa Altay, Fatih Akkaş, Ekrem Güner\",\"doi\":\"10.1186/s12894-025-01912-6\",\"DOIUrl\":null,\"url\":null,\"abstract\":\"<p><strong>Background: </strong>According to our hypothesis, a classification system that grades stone impaction may better predict surgical success and complications. Therefore, we developed a new classification system, and in this study, we aimed to evaluate the effect of stone impaction and its degree on success and complications of ureteroscopic lithotripsy (URS-L), as well as to investigate preoperative factors predicting stone impaction and its degree.</p><p><strong>Methods: </strong>Data of patients over the age of 18 years who underwent URS-L for a single ureteral stone were prospectively collected. First, stone impaction was determined by the primary surgeon using a Likert scale. Subsequently, non-impacted and impacted stones were further divided into two subgroups and classified according to the degree of stone impaction between Grades 1 and 4. Patient characteristics, preoperative non-contrast computed tomography (CT) findings, laboratory values, and intraoperative and postoperative outcomes were analyzed. Stone-free status was defined as the absence of residual stones > 2 mm on non-contrast CT at postoperative month 1.</p><p><strong>Results: </strong>The study included a total of 211 patients. Operative time, ureteral injury, degree of ureteral injury, failure (nephrostomy placement), hospital stay, and stone-free rates differed significantly between impacted and non-impacted stones. When evaluated by degree of impaction, significant differences were identified in operative time, presence of pyuria, ureteral injury, degree of ureteral injury, failure, hospital stay, and stone-free status. Colic severity, time from pain onset to surgery, location (upper ureter), stone volume, peri-calculus ureteral wall thickness (PUWT), and presence of severe hydronephrosis were found to be predictive factors of stone impaction, while female gender, stone location (upper ureter), and PUWT were independent predictors of Grade 4 stones.</p><p><strong>Conclusions: </strong>This study showed that stone impaction and the new classification system are associated with surgical outcomes. Not all non-impacted or impacted stones are the same, and grading according to the interaction of the stone with the ureteral wall can better predict surgical outcomes.</p>\",\"PeriodicalId\":9285,\"journal\":{\"name\":\"BMC Urology\",\"volume\":\"25 1\",\"pages\":\"212\"},\"PeriodicalIF\":1.9000,\"publicationDate\":\"2025-08-21\",\"publicationTypes\":\"Journal Article\",\"fieldsOfStudy\":null,\"isOpenAccess\":false,\"openAccessPdf\":\"https://www.ncbi.nlm.nih.gov/pmc/articles/PMC12372390/pdf/\",\"citationCount\":\"0\",\"resultStr\":null,\"platform\":\"Semanticscholar\",\"paperid\":null,\"PeriodicalName\":\"BMC Urology\",\"FirstCategoryId\":\"3\",\"ListUrlMain\":\"https://doi.org/10.1186/s12894-025-01912-6\",\"RegionNum\":3,\"RegionCategory\":\"医学\",\"ArticlePicture\":[],\"TitleCN\":null,\"AbstractTextCN\":null,\"PMCID\":null,\"EPubDate\":\"\",\"PubModel\":\"\",\"JCR\":\"Q3\",\"JCRName\":\"UROLOGY & NEPHROLOGY\",\"Score\":null,\"Total\":0}","platform":"Semanticscholar","paperid":null,"PeriodicalName":"BMC Urology","FirstCategoryId":"3","ListUrlMain":"https://doi.org/10.1186/s12894-025-01912-6","RegionNum":3,"RegionCategory":"医学","ArticlePicture":[],"TitleCN":null,"AbstractTextCN":null,"PMCID":null,"EPubDate":"","PubModel":"","JCR":"Q3","JCRName":"UROLOGY & NEPHROLOGY","Score":null,"Total":0}
引用次数: 0

摘要

背景:根据我们的假设,对结石嵌塞进行分级的分类系统可以更好地预测手术成功率和并发症。因此,我们建立了一个新的分类系统,在本研究中,我们旨在评估结石嵌塞及其程度对输尿管镜碎石术(URS-L)成功率和并发症的影响,并探讨术前预测结石嵌塞及其程度的因素。方法:前瞻性收集18岁以上单例输尿管结石行URS-L的患者资料。首先,由主治医生使用李克特量表确定结石嵌塞情况。随后,将未嵌塞结石和嵌塞结石进一步分为两个亚组,并根据结石嵌塞程度在1级至4级之间进行分类。分析患者特征、术前CT检查结果、实验室值以及术中和术后结果。无结石状态定义为术后1个月非对比CT上无结石残余bbb20 mm。结果:共纳入211例患者。手术时间、输尿管损伤、输尿管损伤程度、失败(肾造口放置)、住院时间和无结石率在阻生结石和非阻生结石之间存在显著差异。当以嵌套程度评估时,在手术时间、脓尿的存在、输尿管损伤、输尿管损伤程度、失败、住院时间和无结石状态方面发现了显著差异。绞痛的严重程度、从疼痛开始到手术的时间、位置(输尿管上段)、结石体积、结石周输尿管壁厚度(PUWT)和严重肾积水的存在被发现是结石嵌塞的预测因素,而女性、结石位置(输尿管上段)和PUWT是4级结石的独立预测因素。结论:本研究表明,结石嵌塞和新的分类系统与手术结果有关。并非所有的非阻生或阻生结石都是相同的,根据结石与输尿管壁的相互作用进行分级可以更好地预测手术结果。
本文章由计算机程序翻译,如有差异,请以英文原文为准。

Can the degree of ureteral stone impaction better predict surgical success and complications? a new classification system.

Can the degree of ureteral stone impaction better predict surgical success and complications? a new classification system.

Can the degree of ureteral stone impaction better predict surgical success and complications? a new classification system.

Background: According to our hypothesis, a classification system that grades stone impaction may better predict surgical success and complications. Therefore, we developed a new classification system, and in this study, we aimed to evaluate the effect of stone impaction and its degree on success and complications of ureteroscopic lithotripsy (URS-L), as well as to investigate preoperative factors predicting stone impaction and its degree.

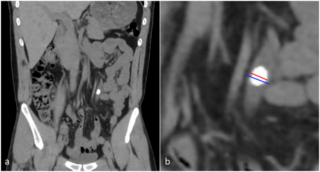
Methods: Data of patients over the age of 18 years who underwent URS-L for a single ureteral stone were prospectively collected. First, stone impaction was determined by the primary surgeon using a Likert scale. Subsequently, non-impacted and impacted stones were further divided into two subgroups and classified according to the degree of stone impaction between Grades 1 and 4. Patient characteristics, preoperative non-contrast computed tomography (CT) findings, laboratory values, and intraoperative and postoperative outcomes were analyzed. Stone-free status was defined as the absence of residual stones > 2 mm on non-contrast CT at postoperative month 1.

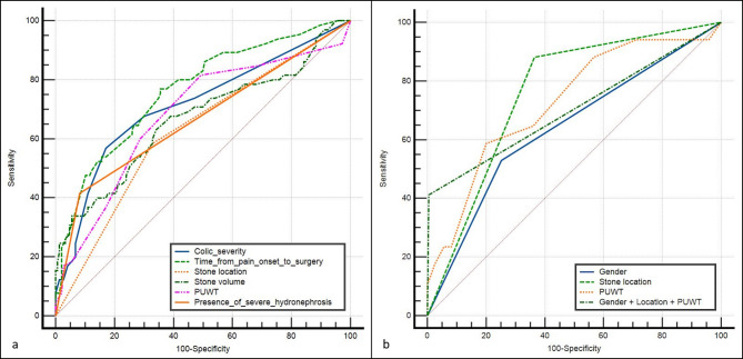
Results: The study included a total of 211 patients. Operative time, ureteral injury, degree of ureteral injury, failure (nephrostomy placement), hospital stay, and stone-free rates differed significantly between impacted and non-impacted stones. When evaluated by degree of impaction, significant differences were identified in operative time, presence of pyuria, ureteral injury, degree of ureteral injury, failure, hospital stay, and stone-free status. Colic severity, time from pain onset to surgery, location (upper ureter), stone volume, peri-calculus ureteral wall thickness (PUWT), and presence of severe hydronephrosis were found to be predictive factors of stone impaction, while female gender, stone location (upper ureter), and PUWT were independent predictors of Grade 4 stones.

Conclusions: This study showed that stone impaction and the new classification system are associated with surgical outcomes. Not all non-impacted or impacted stones are the same, and grading according to the interaction of the stone with the ureteral wall can better predict surgical outcomes.

求助全文
通过发布文献求助,成功后即可免费获取论文全文。 去求助
来源期刊
BMC Urology
BMC Urology UROLOGY & NEPHROLOGY-
CiteScore
3.20
自引率
0.00%
发文量
177
审稿时长
>12 weeks
期刊介绍: BMC Urology is an open access journal publishing original peer-reviewed research articles in all aspects of the prevention, diagnosis and management of urological disorders, as well as related molecular genetics, pathophysiology, and epidemiology. The journal considers manuscripts in the following broad subject-specific sections of urology: Endourology and technology Epidemiology and health outcomes Pediatric urology Pre-clinical and basic research Reconstructive urology Sexual function and fertility Urological imaging Urological oncology Voiding dysfunction Case reports.
×
引用
GB/T 7714-2015
复制
MLA
复制
APA
复制
导出至
BibTeX EndNote RefMan NoteFirst NoteExpress
×
提示
您的信息不完整,为了账户安全,请先补充。
现在去补充
×
提示
您因"违规操作"
具体请查看互助需知
我知道了
×
提示
确定
请完成安全验证×
copy
已复制链接
快去分享给好友吧!
我知道了
右上角分享
点击右上角分享
0
联系我们:info@booksci.cn Book学术提供免费学术资源搜索服务,方便国内外学者检索中英文文献。致力于提供最便捷和优质的服务体验。 Copyright © 2023 布克学术 All rights reserved.
京ICP备2023020795号-1
ghs 京公网安备 11010802042870号
Book学术文献互助
Book学术文献互助群
群 号:604180095
Book学术官方微信