P38脂蛋白在支原体穿透粘附人尿路上皮细胞中的作用。

IF 4.2 2区 生物学 Q2 MICROBIOLOGY
Kaihua Zhang, Weilu Zou, Yanming Chen
{"title":"P38脂蛋白在支原体穿透粘附人尿路上皮细胞中的作用。","authors":"Kaihua Zhang, Weilu Zou, Yanming Chen","doi":"10.1186/s12866-025-04215-w","DOIUrl":null,"url":null,"abstract":"<p><p>Mycoplasma penetrans, a bacterium detected in individuals seropositive for HIV and phylogenetically clustered with M. muris, may contribute to the progression of Acquired Immune Deficiency Syndrome (AIDS). Cellular adhesion is essential for Mycoplasma infection of host cells. M. penetrans exhibits the capacity to adhere to and invade human cells, precipitating diseases of the genital and urinary tracts. However, the proteinaceous mediators of its adhesion remain largely elusive. The P35 family lipoprotein, encoded by the mpl gene, is a prominent surface lipoprotein of M. penetrans. Here, we investigated the role of P38, a member of the P35 family, in the adhesion of M. penetrans to human urothelial cells (SV-HUC-1). We expressed and purified recombinant P38 (rP38) and confirmed its localization using Western blot. Adhesion assays, adhesion inhibition assays, and adhesion competition assays were performed to evaluate the adhesive properties of rP38 and M. penetrans. Our findings indicated that P38 localizes to the cell membrane of M. penetrans. Both rP38 and M. penetrans adhered to SV-HUC-1 cells, with optimal adhesion observed at 60 μg/mL for rP38 and 1 × 10⁷ CCU (Colony-Changing Units)/mL for M. penetrans. Anti-rP38 serum partially inhibited M. penetrans adhesion to SV-HUC-1 cells, and rP38 competed with M. penetrans for binding to SV-HUC-1 cells. These results suggest that P38 may function as an adhesin of M. penetrans, providing insights into its pathogenic mechanisms.</p>","PeriodicalId":9233,"journal":{"name":"BMC Microbiology","volume":"25 1","pages":"566"},"PeriodicalIF":4.2000,"publicationDate":"2025-08-30","publicationTypes":"Journal Article","fieldsOfStudy":null,"isOpenAccess":false,"openAccessPdf":"https://www.ncbi.nlm.nih.gov/pmc/articles/PMC12398969/pdf/","citationCount":"0","resultStr":"{\"title\":\"Role of P38 lipoprotein in Mycoplasma penetrans adhesion to human urothelial cells.\",\"authors\":\"Kaihua Zhang, Weilu Zou, Yanming Chen\",\"doi\":\"10.1186/s12866-025-04215-w\",\"DOIUrl\":null,\"url\":null,\"abstract\":\"<p><p>Mycoplasma penetrans, a bacterium detected in individuals seropositive for HIV and phylogenetically clustered with M. muris, may contribute to the progression of Acquired Immune Deficiency Syndrome (AIDS). Cellular adhesion is essential for Mycoplasma infection of host cells. M. penetrans exhibits the capacity to adhere to and invade human cells, precipitating diseases of the genital and urinary tracts. However, the proteinaceous mediators of its adhesion remain largely elusive. The P35 family lipoprotein, encoded by the mpl gene, is a prominent surface lipoprotein of M. penetrans. Here, we investigated the role of P38, a member of the P35 family, in the adhesion of M. penetrans to human urothelial cells (SV-HUC-1). We expressed and purified recombinant P38 (rP38) and confirmed its localization using Western blot. Adhesion assays, adhesion inhibition assays, and adhesion competition assays were performed to evaluate the adhesive properties of rP38 and M. penetrans. Our findings indicated that P38 localizes to the cell membrane of M. penetrans. Both rP38 and M. penetrans adhered to SV-HUC-1 cells, with optimal adhesion observed at 60 μg/mL for rP38 and 1 × 10⁷ CCU (Colony-Changing Units)/mL for M. penetrans. Anti-rP38 serum partially inhibited M. penetrans adhesion to SV-HUC-1 cells, and rP38 competed with M. penetrans for binding to SV-HUC-1 cells. These results suggest that P38 may function as an adhesin of M. penetrans, providing insights into its pathogenic mechanisms.</p>\",\"PeriodicalId\":9233,\"journal\":{\"name\":\"BMC Microbiology\",\"volume\":\"25 1\",\"pages\":\"566\"},\"PeriodicalIF\":4.2000,\"publicationDate\":\"2025-08-30\",\"publicationTypes\":\"Journal Article\",\"fieldsOfStudy\":null,\"isOpenAccess\":false,\"openAccessPdf\":\"https://www.ncbi.nlm.nih.gov/pmc/articles/PMC12398969/pdf/\",\"citationCount\":\"0\",\"resultStr\":null,\"platform\":\"Semanticscholar\",\"paperid\":null,\"PeriodicalName\":\"BMC Microbiology\",\"FirstCategoryId\":\"99\",\"ListUrlMain\":\"https://doi.org/10.1186/s12866-025-04215-w\",\"RegionNum\":2,\"RegionCategory\":\"生物学\",\"ArticlePicture\":[],\"TitleCN\":null,\"AbstractTextCN\":null,\"PMCID\":null,\"EPubDate\":\"\",\"PubModel\":\"\",\"JCR\":\"Q2\",\"JCRName\":\"MICROBIOLOGY\",\"Score\":null,\"Total\":0}","platform":"Semanticscholar","paperid":null,"PeriodicalName":"BMC Microbiology","FirstCategoryId":"99","ListUrlMain":"https://doi.org/10.1186/s12866-025-04215-w","RegionNum":2,"RegionCategory":"生物学","ArticlePicture":[],"TitleCN":null,"AbstractTextCN":null,"PMCID":null,"EPubDate":"","PubModel":"","JCR":"Q2","JCRName":"MICROBIOLOGY","Score":null,"Total":0}
引用次数: 0

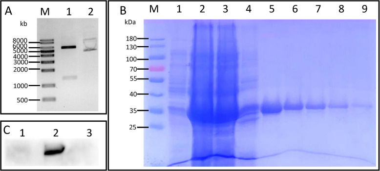
摘要

渗透支原体是一种在HIV血清阳性个体中检测到的细菌,在系统发育上与M. muris聚集在一起,可能有助于获得性免疫缺陷综合征(AIDS)的进展。细胞粘附是支原体感染宿主细胞的必要条件。M. penetrans显示出附着和侵入人体细胞的能力,引发生殖器和泌尿道疾病。然而,其粘附的蛋白质介质在很大程度上仍然难以捉摸。P35家族脂蛋白由mpl基因编码,是外透胞杆菌重要的表面脂蛋白。在这里,我们研究了P38 (P35家族的一员)在渗透芽胞杆菌粘附人尿路上皮细胞(SV-HUC-1)中的作用。我们表达并纯化了重组P38 (rP38),并利用Western blot技术确认了其定位。通过粘附实验、粘附抑制实验和粘附竞争实验来评价rP38和M. penetrans的粘附性能。我们的研究结果表明P38定位于M. penetrans的细胞膜上。rP38和M. penetrans均粘附在SV-HUC-1细胞上,在60 μg/mL的rP38和1 × 10⁷CCU(菌落改变单位)/mL的M. penetrans中观察到最佳粘附。抗rP38血清部分抑制M. penetrans与SV-HUC-1细胞的粘附,rP38与M. penetrans竞争与SV-HUC-1细胞的结合。这些结果提示P38可能作为外穿分枝杆菌的粘附素,为其致病机制提供了新的思路。
本文章由计算机程序翻译,如有差异,请以英文原文为准。

Role of P38 lipoprotein in Mycoplasma penetrans adhesion to human urothelial cells.

Role of P38 lipoprotein in Mycoplasma penetrans adhesion to human urothelial cells.

Role of P38 lipoprotein in Mycoplasma penetrans adhesion to human urothelial cells.

Role of P38 lipoprotein in Mycoplasma penetrans adhesion to human urothelial cells.

Mycoplasma penetrans, a bacterium detected in individuals seropositive for HIV and phylogenetically clustered with M. muris, may contribute to the progression of Acquired Immune Deficiency Syndrome (AIDS). Cellular adhesion is essential for Mycoplasma infection of host cells. M. penetrans exhibits the capacity to adhere to and invade human cells, precipitating diseases of the genital and urinary tracts. However, the proteinaceous mediators of its adhesion remain largely elusive. The P35 family lipoprotein, encoded by the mpl gene, is a prominent surface lipoprotein of M. penetrans. Here, we investigated the role of P38, a member of the P35 family, in the adhesion of M. penetrans to human urothelial cells (SV-HUC-1). We expressed and purified recombinant P38 (rP38) and confirmed its localization using Western blot. Adhesion assays, adhesion inhibition assays, and adhesion competition assays were performed to evaluate the adhesive properties of rP38 and M. penetrans. Our findings indicated that P38 localizes to the cell membrane of M. penetrans. Both rP38 and M. penetrans adhered to SV-HUC-1 cells, with optimal adhesion observed at 60 μg/mL for rP38 and 1 × 10⁷ CCU (Colony-Changing Units)/mL for M. penetrans. Anti-rP38 serum partially inhibited M. penetrans adhesion to SV-HUC-1 cells, and rP38 competed with M. penetrans for binding to SV-HUC-1 cells. These results suggest that P38 may function as an adhesin of M. penetrans, providing insights into its pathogenic mechanisms.

求助全文
通过发布文献求助,成功后即可免费获取论文全文。 去求助
来源期刊
BMC Microbiology
BMC Microbiology 生物-微生物学
CiteScore
7.20
自引率
0.00%
发文量
280
审稿时长
3 months
期刊介绍: BMC Microbiology is an open access, peer-reviewed journal that considers articles on analytical and functional studies of prokaryotic and eukaryotic microorganisms, viruses and small parasites, as well as host and therapeutic responses to them and their interaction with the environment.
×
引用
GB/T 7714-2015
复制
MLA
复制
APA
复制
导出至
BibTeX EndNote RefMan NoteFirst NoteExpress
×
提示
您的信息不完整,为了账户安全,请先补充。
现在去补充
×
提示
您因"违规操作"
具体请查看互助需知
我知道了
×
提示
确定
请完成安全验证×
copy
已复制链接
快去分享给好友吧!
我知道了
右上角分享
点击右上角分享
0
联系我们:info@booksci.cn Book学术提供免费学术资源搜索服务,方便国内外学者检索中英文文献。致力于提供最便捷和优质的服务体验。 Copyright © 2023 布克学术 All rights reserved.
京ICP备2023020795号-1
ghs 京公网安备 11010802042870号
Book学术文献互助
Book学术文献互助群
群 号:604180095
Book学术官方微信