约旦医院尿路感染产esbl大肠杆菌blaOXA和blaCTX-M基因的流行病学、抗生素耐药性和分子检测

IF 4.2 2区 生物学 Q2 MICROBIOLOGY
Ayman Alsheikh, Abdalla Abuawwad, Israa Yousef, Dhia'a Abueswailem, Hafez Al-Momani, Walid Aburayyan, Nesrin Seder, Montasir Al-Mansi, Mohammad Al-Najjar, Lana Al-Shoubaki, Yaqeen Rjoub, Nawal Al-Zaa'q
{"title":"约旦医院尿路感染产esbl大肠杆菌blaOXA和blaCTX-M基因的流行病学、抗生素耐药性和分子检测","authors":"Ayman Alsheikh, Abdalla Abuawwad, Israa Yousef, Dhia'a Abueswailem, Hafez Al-Momani, Walid Aburayyan, Nesrin Seder, Montasir Al-Mansi, Mohammad Al-Najjar, Lana Al-Shoubaki, Yaqeen Rjoub, Nawal Al-Zaa'q","doi":"10.1186/s12866-025-04156-4","DOIUrl":null,"url":null,"abstract":"<p><strong>Background: </strong>Urinary tract infections (UTIs) impose significant challenges among patients infected with multidrug-resistant Escherichia coli (E. coli). The emergence of the extended-spectrum beta-lactamase (ESBL) strains complicates the treatment and exacerbates life-threatening infections. The comprehensive analysis of the resistance mechanisms combined with identifying the relevant genes amend the implications encountered with the devastating effects generated by the pathogenic microorganisms. This study sought about the prevalence of ESBL-producing E. coli in UTIs patients in Jordan, focusing on the prevalence of blaOXA and blaCTX-M resistance genes.</p><p><strong>Methods: </strong>A total of 500 urine samples were compiled from patients diagnosed with UTIs between November 2023 and May 2024. The samples were collected from five governmental hospitals distributed in three districts in Jordan (North, Middle, and South). Urine samples were cultured in the microbiology lab and the percentage of E. coli isolates was explored. Later on, isolates were tested for ESBL production using the double disk synergy test. Thus, molecular detection of the blaOXA and blaCTX-M genes was performed using polymerase chain reaction (PCR) assays. Statistical analysis was conducted to assess the prognostic correlation between the prevalence of resistance genes and variables such as location, age, and gender.</p><p><strong>Results: </strong>In the current study, we investigated the prevalence of ESBL-producing E. coli in UTIs across Jordanian hospitals, focusing on the prevalence of the blaOXA and blaCTX-M genes with the correlation with the epidemiological factors. Our findings revealed an overall prevalence of 18% for ESBL- E. coli isolates, with the highest prevalence in the Northern governorates exhibiting 50% (OR = 1.67, 95% CI: 1.103-2.519). Females showed a higher prevalence of the blaOXA gene (62.29%) compared to males (37.7%) (p = 0.008). Moreover, the blaCTX-M gene was universally present in all samples with a prevalence of 98%. The multinomial regression analysis has revealed a significant correlation (p = 0.001) between location on the distribution of the blaOXA gene among the study population.</p><p><strong>Conclusion: </strong>The findings of the current study highlight alarming rates for the prevalence of ESBL-producing E. coli in UTIs across Jordan in general and in the northern districts as specific. Emphasizing the crucial need for effective surveillance, antibiotic stewardship, and infection control strategies. The significant regional variations in resistance rates suggest that localized factors, such as antibiotic misuse and environmental influences combined with the widespread of blaCTX-M and blaOXA genes point to the need for targeted antibiotic resistance surveillance in Jordan.</p>","PeriodicalId":9233,"journal":{"name":"BMC Microbiology","volume":"25 1","pages":"557"},"PeriodicalIF":4.2000,"publicationDate":"2025-08-28","publicationTypes":"Journal Article","fieldsOfStudy":null,"isOpenAccess":false,"openAccessPdf":"https://www.ncbi.nlm.nih.gov/pmc/articles/PMC12392507/pdf/","citationCount":"0","resultStr":"{\"title\":\"Epidemiology, antibiotic resistance, and molecular detection of blaOXA and blaCTX-M Genes in ESBL-Producing Escherichia coli from urinary tract infections in Jordanian hospitals.\",\"authors\":\"Ayman Alsheikh, Abdalla Abuawwad, Israa Yousef, Dhia'a Abueswailem, Hafez Al-Momani, Walid Aburayyan, Nesrin Seder, Montasir Al-Mansi, Mohammad Al-Najjar, Lana Al-Shoubaki, Yaqeen Rjoub, Nawal Al-Zaa'q\",\"doi\":\"10.1186/s12866-025-04156-4\",\"DOIUrl\":null,\"url\":null,\"abstract\":\"<p><strong>Background: </strong>Urinary tract infections (UTIs) impose significant challenges among patients infected with multidrug-resistant Escherichia coli (E. coli). The emergence of the extended-spectrum beta-lactamase (ESBL) strains complicates the treatment and exacerbates life-threatening infections. The comprehensive analysis of the resistance mechanisms combined with identifying the relevant genes amend the implications encountered with the devastating effects generated by the pathogenic microorganisms. This study sought about the prevalence of ESBL-producing E. coli in UTIs patients in Jordan, focusing on the prevalence of blaOXA and blaCTX-M resistance genes.</p><p><strong>Methods: </strong>A total of 500 urine samples were compiled from patients diagnosed with UTIs between November 2023 and May 2024. The samples were collected from five governmental hospitals distributed in three districts in Jordan (North, Middle, and South). Urine samples were cultured in the microbiology lab and the percentage of E. coli isolates was explored. Later on, isolates were tested for ESBL production using the double disk synergy test. Thus, molecular detection of the blaOXA and blaCTX-M genes was performed using polymerase chain reaction (PCR) assays. Statistical analysis was conducted to assess the prognostic correlation between the prevalence of resistance genes and variables such as location, age, and gender.</p><p><strong>Results: </strong>In the current study, we investigated the prevalence of ESBL-producing E. coli in UTIs across Jordanian hospitals, focusing on the prevalence of the blaOXA and blaCTX-M genes with the correlation with the epidemiological factors. Our findings revealed an overall prevalence of 18% for ESBL- E. coli isolates, with the highest prevalence in the Northern governorates exhibiting 50% (OR = 1.67, 95% CI: 1.103-2.519). Females showed a higher prevalence of the blaOXA gene (62.29%) compared to males (37.7%) (p = 0.008). Moreover, the blaCTX-M gene was universally present in all samples with a prevalence of 98%. The multinomial regression analysis has revealed a significant correlation (p = 0.001) between location on the distribution of the blaOXA gene among the study population.</p><p><strong>Conclusion: </strong>The findings of the current study highlight alarming rates for the prevalence of ESBL-producing E. coli in UTIs across Jordan in general and in the northern districts as specific. Emphasizing the crucial need for effective surveillance, antibiotic stewardship, and infection control strategies. The significant regional variations in resistance rates suggest that localized factors, such as antibiotic misuse and environmental influences combined with the widespread of blaCTX-M and blaOXA genes point to the need for targeted antibiotic resistance surveillance in Jordan.</p>\",\"PeriodicalId\":9233,\"journal\":{\"name\":\"BMC Microbiology\",\"volume\":\"25 1\",\"pages\":\"557\"},\"PeriodicalIF\":4.2000,\"publicationDate\":\"2025-08-28\",\"publicationTypes\":\"Journal Article\",\"fieldsOfStudy\":null,\"isOpenAccess\":false,\"openAccessPdf\":\"https://www.ncbi.nlm.nih.gov/pmc/articles/PMC12392507/pdf/\",\"citationCount\":\"0\",\"resultStr\":null,\"platform\":\"Semanticscholar\",\"paperid\":null,\"PeriodicalName\":\"BMC Microbiology\",\"FirstCategoryId\":\"99\",\"ListUrlMain\":\"https://doi.org/10.1186/s12866-025-04156-4\",\"RegionNum\":2,\"RegionCategory\":\"生物学\",\"ArticlePicture\":[],\"TitleCN\":null,\"AbstractTextCN\":null,\"PMCID\":null,\"EPubDate\":\"\",\"PubModel\":\"\",\"JCR\":\"Q2\",\"JCRName\":\"MICROBIOLOGY\",\"Score\":null,\"Total\":0}","platform":"Semanticscholar","paperid":null,"PeriodicalName":"BMC Microbiology","FirstCategoryId":"99","ListUrlMain":"https://doi.org/10.1186/s12866-025-04156-4","RegionNum":2,"RegionCategory":"生物学","ArticlePicture":[],"TitleCN":null,"AbstractTextCN":null,"PMCID":null,"EPubDate":"","PubModel":"","JCR":"Q2","JCRName":"MICROBIOLOGY","Score":null,"Total":0}
引用次数: 0

摘要

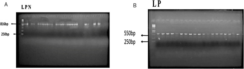
背景:尿路感染(uti)对耐多药大肠杆菌(E. coli)感染患者构成重大挑战。广谱β -内酰胺酶(ESBL)菌株的出现使治疗复杂化,并加剧了危及生命的感染。抗性机制的综合分析结合相关基因的鉴定,修正了病原微生物所产生的破坏性影响所带来的影响。本研究旨在了解约旦尿路感染患者中产生esbl的大肠杆菌的流行情况,重点关注blaOXA和blaCTX-M耐药基因的流行情况。方法:收集2023年11月至2024年5月诊断为uti的患者尿液样本500份。样本是从分布在约旦三个地区(北部、中部和南部)的五家政府医院收集的。尿液样本在微生物实验室培养,并探讨大肠杆菌分离率。随后,使用双盘协同试验对分离株进行ESBL生产测试。因此,采用聚合酶链反应(PCR)方法对blaOXA和blaCTX-M基因进行分子检测。通过统计分析来评估耐药基因的患病率与地点、年龄和性别等变量之间的预后相关性。结果:在本研究中,我们调查了约旦各医院尿路感染中产生esbl的大肠杆菌的流行情况,重点研究了blaOXA和blaCTX-M基因的流行情况及其与流行病学因素的相关性。我们的研究结果显示,ESBL-大肠杆菌分离株的总体患病率为18%,其中北部省份的最高患病率为50% (OR = 1.67, 95% CI: 1.103-2.519)。女性blaOXA基因阳性率为62.29%,高于男性37.7% (p = 0.008)。此外,blaCTX-M基因普遍存在于所有样本中,患病率为98%。多项回归分析显示blaOXA基因在研究人群中的分布与地理位置之间存在显著相关(p = 0.001)。结论:目前的研究结果强调了约旦各地尿路感染中产生esbl的大肠杆菌的流行率令人震惊,特别是在北部地区。强调对有效监测、抗生素管理和感染控制战略的迫切需要。耐药率的显著区域差异表明,局部因素,如抗生素滥用和环境影响,加上blaCTX-M和blaOXA基因的广泛存在,表明需要在约旦进行有针对性的抗生素耐药性监测。
本文章由计算机程序翻译,如有差异,请以英文原文为准。

Epidemiology, antibiotic resistance, and molecular detection of blaOXA and blaCTX-M Genes in ESBL-Producing Escherichia coli from urinary tract infections in Jordanian hospitals.

Epidemiology, antibiotic resistance, and molecular detection of blaOXA and blaCTX-M Genes in ESBL-Producing Escherichia coli from urinary tract infections in Jordanian hospitals.

Epidemiology, antibiotic resistance, and molecular detection of blaOXA and blaCTX-M Genes in ESBL-Producing Escherichia coli from urinary tract infections in Jordanian hospitals.

Background: Urinary tract infections (UTIs) impose significant challenges among patients infected with multidrug-resistant Escherichia coli (E. coli). The emergence of the extended-spectrum beta-lactamase (ESBL) strains complicates the treatment and exacerbates life-threatening infections. The comprehensive analysis of the resistance mechanisms combined with identifying the relevant genes amend the implications encountered with the devastating effects generated by the pathogenic microorganisms. This study sought about the prevalence of ESBL-producing E. coli in UTIs patients in Jordan, focusing on the prevalence of blaOXA and blaCTX-M resistance genes.

Methods: A total of 500 urine samples were compiled from patients diagnosed with UTIs between November 2023 and May 2024. The samples were collected from five governmental hospitals distributed in three districts in Jordan (North, Middle, and South). Urine samples were cultured in the microbiology lab and the percentage of E. coli isolates was explored. Later on, isolates were tested for ESBL production using the double disk synergy test. Thus, molecular detection of the blaOXA and blaCTX-M genes was performed using polymerase chain reaction (PCR) assays. Statistical analysis was conducted to assess the prognostic correlation between the prevalence of resistance genes and variables such as location, age, and gender.

Results: In the current study, we investigated the prevalence of ESBL-producing E. coli in UTIs across Jordanian hospitals, focusing on the prevalence of the blaOXA and blaCTX-M genes with the correlation with the epidemiological factors. Our findings revealed an overall prevalence of 18% for ESBL- E. coli isolates, with the highest prevalence in the Northern governorates exhibiting 50% (OR = 1.67, 95% CI: 1.103-2.519). Females showed a higher prevalence of the blaOXA gene (62.29%) compared to males (37.7%) (p = 0.008). Moreover, the blaCTX-M gene was universally present in all samples with a prevalence of 98%. The multinomial regression analysis has revealed a significant correlation (p = 0.001) between location on the distribution of the blaOXA gene among the study population.

Conclusion: The findings of the current study highlight alarming rates for the prevalence of ESBL-producing E. coli in UTIs across Jordan in general and in the northern districts as specific. Emphasizing the crucial need for effective surveillance, antibiotic stewardship, and infection control strategies. The significant regional variations in resistance rates suggest that localized factors, such as antibiotic misuse and environmental influences combined with the widespread of blaCTX-M and blaOXA genes point to the need for targeted antibiotic resistance surveillance in Jordan.

求助全文
通过发布文献求助,成功后即可免费获取论文全文。 去求助
来源期刊
BMC Microbiology
BMC Microbiology 生物-微生物学
CiteScore
7.20
自引率
0.00%
发文量
280
审稿时长
3 months
期刊介绍: BMC Microbiology is an open access, peer-reviewed journal that considers articles on analytical and functional studies of prokaryotic and eukaryotic microorganisms, viruses and small parasites, as well as host and therapeutic responses to them and their interaction with the environment.
×
引用
GB/T 7714-2015
复制
MLA
复制
APA
复制
导出至
BibTeX EndNote RefMan NoteFirst NoteExpress
×
提示
您的信息不完整,为了账户安全,请先补充。
现在去补充
×
提示
您因"违规操作"
具体请查看互助需知
我知道了
×
提示
确定
请完成安全验证×
copy
已复制链接
快去分享给好友吧!
我知道了
右上角分享
点击右上角分享
0
联系我们:info@booksci.cn Book学术提供免费学术资源搜索服务,方便国内外学者检索中英文文献。致力于提供最便捷和优质的服务体验。 Copyright © 2023 布克学术 All rights reserved.
京ICP备2023020795号-1
ghs 京公网安备 11010802042870号
Book学术文献互助
Book学术文献互助群
群 号:604180095
Book学术官方微信