同侧多侧儿童伴隐睾:一个罕见的病例报告从资源有限的设置。

IF 1.9 3区 医学 Q3 UROLOGY & NEPHROLOGY
Ashagre Gebremichael Ganta, Wintana Tesfaye Desta
{"title":"同侧多侧儿童伴隐睾:一个罕见的病例报告从资源有限的设置。","authors":"Ashagre Gebremichael Ganta, Wintana Tesfaye Desta","doi":"10.1186/s12894-025-01916-2","DOIUrl":null,"url":null,"abstract":"<p><strong>Background: </strong>Polyorchidism with cryptorchidism is an extremely rare congenital anomaly, particularly in children. Diagnosis and management are significantly more complex in low-middle-income countries (LMICs) due to resource limitations, including absent laparoscopy, increasing risks of torsion, malignancy, and infertility.</p><p><strong>Case presentation: </strong>An 8-year-old male from an LMIC presented with a non-palpable left testis. Preoperative ultrasonography detected an atrophic left intra-abdominal testis but missed a supernumerary testis. Mandatory open exploration (laparoscopy unavailable) revealed two left testes: one severely atrophic/hypoplastic (removed via orchiectomy) and a smaller viable cryptorchid testis (preserved via orchiopexy). Histopathology confirmed benign atrophy.</p><p><strong>Discussion: </strong>In LMICs, reliance on open surgery increases diagnostic/therapeutic challenges. Intraoperative discovery of the supernumerary testis underscores the need for meticulous surgical exploration despite inconclusive imaging. Orchiectomy of the atrophic testis highlights balancing endocrine preservation against malignancy risk. Embryologically, this may result from incomplete transverse division of the genital ridge or aberrant regression. Long-term endocrine follow-up and germinal surveillance are critical, especially amidst resource constraints.</p><p><strong>Conclusion: </strong>Managing concurrent polyorchidism and cryptorchidism in LMICs requires adapted strategies when advanced techniques are inaccessible. Open surgery remains vital diagnostically and therapeutically, necessitating vigilance for supernumerary testes. This case exemplifies balancing orchiectomy for non-viable tissue with orchiopexy for functional preservation, advocating context-sensitive surgical approaches in resource-limited pediatric urology.</p>","PeriodicalId":9285,"journal":{"name":"BMC Urology","volume":"25 1","pages":"219"},"PeriodicalIF":1.9000,"publicationDate":"2025-08-26","publicationTypes":"Journal Article","fieldsOfStudy":null,"isOpenAccess":false,"openAccessPdf":"https://www.ncbi.nlm.nih.gov/pmc/articles/PMC12382272/pdf/","citationCount":"0","resultStr":"{\"title\":\"Ipsilateral polyorchidism with cryptorchidism in a pediatric patient: a rare case report from a resource-limited setting.\",\"authors\":\"Ashagre Gebremichael Ganta, Wintana Tesfaye Desta\",\"doi\":\"10.1186/s12894-025-01916-2\",\"DOIUrl\":null,\"url\":null,\"abstract\":\"<p><strong>Background: </strong>Polyorchidism with cryptorchidism is an extremely rare congenital anomaly, particularly in children. Diagnosis and management are significantly more complex in low-middle-income countries (LMICs) due to resource limitations, including absent laparoscopy, increasing risks of torsion, malignancy, and infertility.</p><p><strong>Case presentation: </strong>An 8-year-old male from an LMIC presented with a non-palpable left testis. Preoperative ultrasonography detected an atrophic left intra-abdominal testis but missed a supernumerary testis. Mandatory open exploration (laparoscopy unavailable) revealed two left testes: one severely atrophic/hypoplastic (removed via orchiectomy) and a smaller viable cryptorchid testis (preserved via orchiopexy). Histopathology confirmed benign atrophy.</p><p><strong>Discussion: </strong>In LMICs, reliance on open surgery increases diagnostic/therapeutic challenges. Intraoperative discovery of the supernumerary testis underscores the need for meticulous surgical exploration despite inconclusive imaging. Orchiectomy of the atrophic testis highlights balancing endocrine preservation against malignancy risk. Embryologically, this may result from incomplete transverse division of the genital ridge or aberrant regression. Long-term endocrine follow-up and germinal surveillance are critical, especially amidst resource constraints.</p><p><strong>Conclusion: </strong>Managing concurrent polyorchidism and cryptorchidism in LMICs requires adapted strategies when advanced techniques are inaccessible. Open surgery remains vital diagnostically and therapeutically, necessitating vigilance for supernumerary testes. This case exemplifies balancing orchiectomy for non-viable tissue with orchiopexy for functional preservation, advocating context-sensitive surgical approaches in resource-limited pediatric urology.</p>\",\"PeriodicalId\":9285,\"journal\":{\"name\":\"BMC Urology\",\"volume\":\"25 1\",\"pages\":\"219\"},\"PeriodicalIF\":1.9000,\"publicationDate\":\"2025-08-26\",\"publicationTypes\":\"Journal Article\",\"fieldsOfStudy\":null,\"isOpenAccess\":false,\"openAccessPdf\":\"https://www.ncbi.nlm.nih.gov/pmc/articles/PMC12382272/pdf/\",\"citationCount\":\"0\",\"resultStr\":null,\"platform\":\"Semanticscholar\",\"paperid\":null,\"PeriodicalName\":\"BMC Urology\",\"FirstCategoryId\":\"3\",\"ListUrlMain\":\"https://doi.org/10.1186/s12894-025-01916-2\",\"RegionNum\":3,\"RegionCategory\":\"医学\",\"ArticlePicture\":[],\"TitleCN\":null,\"AbstractTextCN\":null,\"PMCID\":null,\"EPubDate\":\"\",\"PubModel\":\"\",\"JCR\":\"Q3\",\"JCRName\":\"UROLOGY & NEPHROLOGY\",\"Score\":null,\"Total\":0}","platform":"Semanticscholar","paperid":null,"PeriodicalName":"BMC Urology","FirstCategoryId":"3","ListUrlMain":"https://doi.org/10.1186/s12894-025-01916-2","RegionNum":3,"RegionCategory":"医学","ArticlePicture":[],"TitleCN":null,"AbstractTextCN":null,"PMCID":null,"EPubDate":"","PubModel":"","JCR":"Q3","JCRName":"UROLOGY & NEPHROLOGY","Score":null,"Total":0}
引用次数: 0

摘要

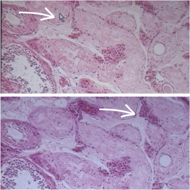
背景:多精伴隐睾是一种极为罕见的先天性异常,尤其在儿童中。在中低收入国家(LMICs),由于资源限制,包括缺乏腹腔镜检查、扭转、恶性肿瘤和不孕症风险增加,诊断和管理要复杂得多。病例介绍:一名8岁男性从LMIC提出了一个不可触及的左睾丸。术前超声检查发现左侧腹内睾丸萎缩,但未发现睾丸多余。强制性开放探查(无法使用腹腔镜)发现两个左侧睾丸:一个严重萎缩/发育不良(通过睾丸切除术切除)和一个较小的可存活的隐睾睾丸(通过睾丸切除术保存)。组织病理学证实为良性萎缩。讨论:在中低收入国家,依赖开放手术增加了诊断/治疗的挑战。术中发现的多余睾丸强调了细致的手术探查的必要性,尽管不确定的图像。萎缩睾丸的睾丸切除术强调平衡内分泌保存与恶性肿瘤的风险。在胚胎学上,这可能是由于生殖嵴的横向分裂不完全或异常退化造成的。长期的内分泌随访和生发监测是至关重要的,特别是在资源有限的情况下。结论:在无法获得先进技术的情况下,管理中低收入国家并发多子痫和隐睾症需要调整策略。开放手术在诊断和治疗上仍然是至关重要的,需要警惕多余的睾丸。本病例说明了在资源有限的儿科泌尿外科中,应平衡切除无活力组织和保留功能的睾丸切除术,提倡对环境敏感的手术方法。
本文章由计算机程序翻译,如有差异,请以英文原文为准。

Ipsilateral polyorchidism with cryptorchidism in a pediatric patient: a rare case report from a resource-limited setting.

Ipsilateral polyorchidism with cryptorchidism in a pediatric patient: a rare case report from a resource-limited setting.

Ipsilateral polyorchidism with cryptorchidism in a pediatric patient: a rare case report from a resource-limited setting.

Ipsilateral polyorchidism with cryptorchidism in a pediatric patient: a rare case report from a resource-limited setting.

Background: Polyorchidism with cryptorchidism is an extremely rare congenital anomaly, particularly in children. Diagnosis and management are significantly more complex in low-middle-income countries (LMICs) due to resource limitations, including absent laparoscopy, increasing risks of torsion, malignancy, and infertility.

Case presentation: An 8-year-old male from an LMIC presented with a non-palpable left testis. Preoperative ultrasonography detected an atrophic left intra-abdominal testis but missed a supernumerary testis. Mandatory open exploration (laparoscopy unavailable) revealed two left testes: one severely atrophic/hypoplastic (removed via orchiectomy) and a smaller viable cryptorchid testis (preserved via orchiopexy). Histopathology confirmed benign atrophy.

Discussion: In LMICs, reliance on open surgery increases diagnostic/therapeutic challenges. Intraoperative discovery of the supernumerary testis underscores the need for meticulous surgical exploration despite inconclusive imaging. Orchiectomy of the atrophic testis highlights balancing endocrine preservation against malignancy risk. Embryologically, this may result from incomplete transverse division of the genital ridge or aberrant regression. Long-term endocrine follow-up and germinal surveillance are critical, especially amidst resource constraints.

Conclusion: Managing concurrent polyorchidism and cryptorchidism in LMICs requires adapted strategies when advanced techniques are inaccessible. Open surgery remains vital diagnostically and therapeutically, necessitating vigilance for supernumerary testes. This case exemplifies balancing orchiectomy for non-viable tissue with orchiopexy for functional preservation, advocating context-sensitive surgical approaches in resource-limited pediatric urology.

求助全文
通过发布文献求助,成功后即可免费获取论文全文。 去求助
来源期刊
BMC Urology
BMC Urology UROLOGY & NEPHROLOGY-
CiteScore
3.20
自引率
0.00%
发文量
177
审稿时长
>12 weeks
期刊介绍: BMC Urology is an open access journal publishing original peer-reviewed research articles in all aspects of the prevention, diagnosis and management of urological disorders, as well as related molecular genetics, pathophysiology, and epidemiology. The journal considers manuscripts in the following broad subject-specific sections of urology: Endourology and technology Epidemiology and health outcomes Pediatric urology Pre-clinical and basic research Reconstructive urology Sexual function and fertility Urological imaging Urological oncology Voiding dysfunction Case reports.
×
引用
GB/T 7714-2015
复制
MLA
复制
APA
复制
导出至
BibTeX EndNote RefMan NoteFirst NoteExpress
×
提示
您的信息不完整,为了账户安全,请先补充。
现在去补充
×
提示
您因"违规操作"
具体请查看互助需知
我知道了
×
提示
确定
请完成安全验证×
copy
已复制链接
快去分享给好友吧!
我知道了
右上角分享
点击右上角分享
0
联系我们:info@booksci.cn Book学术提供免费学术资源搜索服务,方便国内外学者检索中英文文献。致力于提供最便捷和优质的服务体验。 Copyright © 2023 布克学术 All rights reserved.
京ICP备2023020795号-1
ghs 京公网安备 11010802042870号
Book学术文献互助
Book学术文献互助群
群 号:604180095
Book学术官方微信