颅内动脉夹层相关缺血性脑卒中静脉溶栓治疗的安全性和疗效。

IF 2.2 3区 医学 Q3 CLINICAL NEUROLOGY
Wen Yang, Jian-Wei Wang, Mei-Xia Zhang, Hong-Fang Chen
{"title":"颅内动脉夹层相关缺血性脑卒中静脉溶栓治疗的安全性和疗效。","authors":"Wen Yang, Jian-Wei Wang, Mei-Xia Zhang, Hong-Fang Chen","doi":"10.1186/s12883-025-04383-2","DOIUrl":null,"url":null,"abstract":"<p><strong>Background: </strong>The clinical efficacy of intravenous thrombolysis (IVT) for acute ischemic stroke (AIS) associated with intracranial artery dissection (IAD) remains uncertain. This study presents a case of basilar artery dissection (BAD) in a 57-year-old Asian female patient devoid of previous risk factors for stroke who experienced a sudden onset of consciousness disturbance. The patient's clinical condition deteriorated during IVT administration, but subsequent medical intervention and rehabilitative exercises facilitated eventual recovery of daily functioning. MRI eventually identified the etiology of the patient's AIS.</p><p><strong>Conclusion: </strong>AIS related to anterior circulation IAD may pose a relatively high risk of hemorrhagic transformation and symptom exacerbation during the early stages of IVT, but the impact on long-term prognosis remains uncertain. Consequently, further investigation is warranted to assess the safety and efficacy of IVT in such patients.</p>","PeriodicalId":9170,"journal":{"name":"BMC Neurology","volume":"25 1","pages":"376"},"PeriodicalIF":2.2000,"publicationDate":"2025-09-02","publicationTypes":"Journal Article","fieldsOfStudy":null,"isOpenAccess":false,"openAccessPdf":"https://www.ncbi.nlm.nih.gov/pmc/articles/PMC12406453/pdf/","citationCount":"0","resultStr":"{\"title\":\"Safety and outcome of intravenous thrombolysis in ischemic stroke related to intracranial artery dissection.\",\"authors\":\"Wen Yang, Jian-Wei Wang, Mei-Xia Zhang, Hong-Fang Chen\",\"doi\":\"10.1186/s12883-025-04383-2\",\"DOIUrl\":null,\"url\":null,\"abstract\":\"<p><strong>Background: </strong>The clinical efficacy of intravenous thrombolysis (IVT) for acute ischemic stroke (AIS) associated with intracranial artery dissection (IAD) remains uncertain. This study presents a case of basilar artery dissection (BAD) in a 57-year-old Asian female patient devoid of previous risk factors for stroke who experienced a sudden onset of consciousness disturbance. The patient's clinical condition deteriorated during IVT administration, but subsequent medical intervention and rehabilitative exercises facilitated eventual recovery of daily functioning. MRI eventually identified the etiology of the patient's AIS.</p><p><strong>Conclusion: </strong>AIS related to anterior circulation IAD may pose a relatively high risk of hemorrhagic transformation and symptom exacerbation during the early stages of IVT, but the impact on long-term prognosis remains uncertain. Consequently, further investigation is warranted to assess the safety and efficacy of IVT in such patients.</p>\",\"PeriodicalId\":9170,\"journal\":{\"name\":\"BMC Neurology\",\"volume\":\"25 1\",\"pages\":\"376\"},\"PeriodicalIF\":2.2000,\"publicationDate\":\"2025-09-02\",\"publicationTypes\":\"Journal Article\",\"fieldsOfStudy\":null,\"isOpenAccess\":false,\"openAccessPdf\":\"https://www.ncbi.nlm.nih.gov/pmc/articles/PMC12406453/pdf/\",\"citationCount\":\"0\",\"resultStr\":null,\"platform\":\"Semanticscholar\",\"paperid\":null,\"PeriodicalName\":\"BMC Neurology\",\"FirstCategoryId\":\"3\",\"ListUrlMain\":\"https://doi.org/10.1186/s12883-025-04383-2\",\"RegionNum\":3,\"RegionCategory\":\"医学\",\"ArticlePicture\":[],\"TitleCN\":null,\"AbstractTextCN\":null,\"PMCID\":null,\"EPubDate\":\"\",\"PubModel\":\"\",\"JCR\":\"Q3\",\"JCRName\":\"CLINICAL NEUROLOGY\",\"Score\":null,\"Total\":0}","platform":"Semanticscholar","paperid":null,"PeriodicalName":"BMC Neurology","FirstCategoryId":"3","ListUrlMain":"https://doi.org/10.1186/s12883-025-04383-2","RegionNum":3,"RegionCategory":"医学","ArticlePicture":[],"TitleCN":null,"AbstractTextCN":null,"PMCID":null,"EPubDate":"","PubModel":"","JCR":"Q3","JCRName":"CLINICAL NEUROLOGY","Score":null,"Total":0}
引用次数: 0

摘要

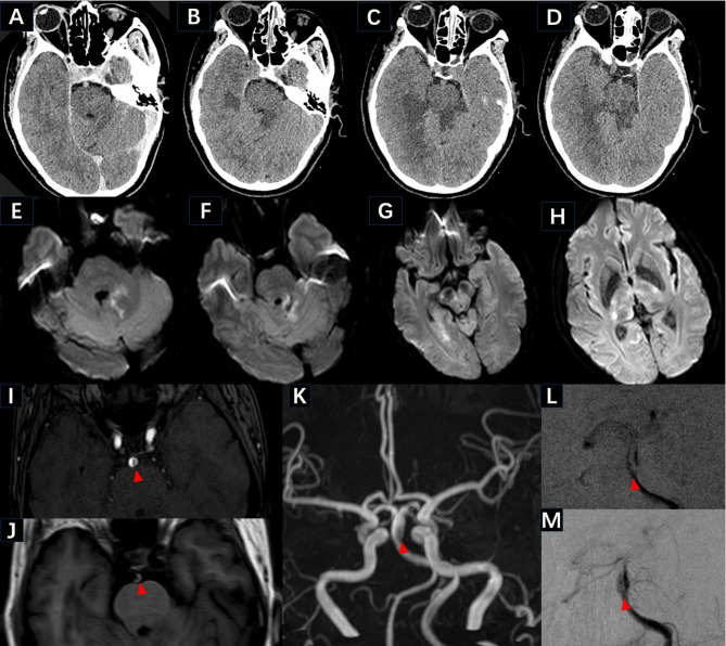
背景:静脉溶栓(IVT)治疗急性缺血性脑卒中(AIS)合并颅内动脉夹层(IAD)的临床疗效尚不确定。本研究报告一例基底动脉夹层(BAD),患者为57岁的亚洲女性,既往无卒中危险因素,但突然出现意识障碍。患者的临床状况在静脉注射期间恶化,但随后的医疗干预和康复锻炼促进了日常功能的最终恢复。MRI最终确定了患者AIS的病因。结论:AIS与前循环IAD相关,在IVT早期可能存在较高的出血转化和症状加重风险,但对远期预后的影响尚不确定。因此,有必要进一步研究IVT在此类患者中的安全性和有效性。
本文章由计算机程序翻译,如有差异,请以英文原文为准。

Safety and outcome of intravenous thrombolysis in ischemic stroke related to intracranial artery dissection.

Safety and outcome of intravenous thrombolysis in ischemic stroke related to intracranial artery dissection.

Safety and outcome of intravenous thrombolysis in ischemic stroke related to intracranial artery dissection.

Background: The clinical efficacy of intravenous thrombolysis (IVT) for acute ischemic stroke (AIS) associated with intracranial artery dissection (IAD) remains uncertain. This study presents a case of basilar artery dissection (BAD) in a 57-year-old Asian female patient devoid of previous risk factors for stroke who experienced a sudden onset of consciousness disturbance. The patient's clinical condition deteriorated during IVT administration, but subsequent medical intervention and rehabilitative exercises facilitated eventual recovery of daily functioning. MRI eventually identified the etiology of the patient's AIS.

Conclusion: AIS related to anterior circulation IAD may pose a relatively high risk of hemorrhagic transformation and symptom exacerbation during the early stages of IVT, but the impact on long-term prognosis remains uncertain. Consequently, further investigation is warranted to assess the safety and efficacy of IVT in such patients.

求助全文
通过发布文献求助,成功后即可免费获取论文全文。 去求助
来源期刊
BMC Neurology
BMC Neurology 医学-临床神经学
CiteScore
4.20
自引率
0.00%
发文量
428
审稿时长
3-8 weeks
期刊介绍: BMC Neurology is an open access, peer-reviewed journal that considers articles on all aspects of the prevention, diagnosis and management of neurological disorders, as well as related molecular genetics, pathophysiology, and epidemiology.
×
引用
GB/T 7714-2015
复制
MLA
复制
APA
复制
导出至
BibTeX EndNote RefMan NoteFirst NoteExpress
×
提示
您的信息不完整,为了账户安全,请先补充。
现在去补充
×
提示
您因"违规操作"
具体请查看互助需知
我知道了
×
提示
确定
请完成安全验证×
copy
已复制链接
快去分享给好友吧!
我知道了
右上角分享
点击右上角分享
0
联系我们:info@booksci.cn Book学术提供免费学术资源搜索服务,方便国内外学者检索中英文文献。致力于提供最便捷和优质的服务体验。 Copyright © 2023 布克学术 All rights reserved.
京ICP备2023020795号-1
ghs 京公网安备 11010802042870号
Book学术文献互助
Book学术文献互助群
群 号:604180095
Book学术官方微信