抗干扰素γ自身抗体患者的中枢神经系统感染:病例系列和文献综述。

IF 2.2 3区 医学 Q3 CLINICAL NEUROLOGY
Yan Ning, Hanlin Liang, Siqiao Liang, Xiaona Liang, Xuemei Huang, Zhiyi He
{"title":"抗干扰素γ自身抗体患者的中枢神经系统感染:病例系列和文献综述。","authors":"Yan Ning, Hanlin Liang, Siqiao Liang, Xiaona Liang, Xuemei Huang, Zhiyi He","doi":"10.1186/s12883-025-04380-5","DOIUrl":null,"url":null,"abstract":"<p><strong>Background: </strong>Recently, increased reports reveal that anti-interferon-gamma (IFN-γ) autoantibodies (AIGAs) are strongly associated with several severe disseminated infections. However, reports on AIGAs with central nervous system (CNS) infections are rare. Here, we described three AIGAs-positive adults who had persistent or recurrent disseminated infections caused by Talaromyces marneffei (TM), nontuberculous mycobacteria (NTM), mycobacterium tuberculosis (TB), or other pathogens, accompanied with CNS infections. In addition, we conducted a thorough literature review of AIGAs-positive patients with CNS infections.</p><p><strong>Case presentation: </strong>We report three HIV-negative cases of recurrent disseminated infections including CNS, and AIGAs were measured. All patients had no history of underlying diseases or immunosuppression and presented with fever, cough, and headache. They were negative for HIV antibodies but positive for AIGAs. The patients were diagnosed with CNS infections based on cerebrospinal fluid (CSF) examination and next-generation sequencing (NGS). All patients received anti-infective treatment according to different pathogens, and their condition remained stable without recurrence.</p><p><strong>Conclusions: </strong>In adults with severe and recurrent infections of multiple organs without known immunodeficiency, adult-onset immunodeficiency (AOID) associated with AIGAs should be considered. In AIGAs-positive patients, the blood-brain barrier (BBB) may be disrupted, leading to susceptibility to CNS infections.</p>","PeriodicalId":9170,"journal":{"name":"BMC Neurology","volume":"25 1","pages":"345"},"PeriodicalIF":2.2000,"publicationDate":"2025-08-25","publicationTypes":"Journal Article","fieldsOfStudy":null,"isOpenAccess":false,"openAccessPdf":"https://www.ncbi.nlm.nih.gov/pmc/articles/PMC12376722/pdf/","citationCount":"0","resultStr":"{\"title\":\"Central nervous system infections in patients with anti-interferon-γ autoantibodies: case series and review of the literature.\",\"authors\":\"Yan Ning, Hanlin Liang, Siqiao Liang, Xiaona Liang, Xuemei Huang, Zhiyi He\",\"doi\":\"10.1186/s12883-025-04380-5\",\"DOIUrl\":null,\"url\":null,\"abstract\":\"<p><strong>Background: </strong>Recently, increased reports reveal that anti-interferon-gamma (IFN-γ) autoantibodies (AIGAs) are strongly associated with several severe disseminated infections. However, reports on AIGAs with central nervous system (CNS) infections are rare. Here, we described three AIGAs-positive adults who had persistent or recurrent disseminated infections caused by Talaromyces marneffei (TM), nontuberculous mycobacteria (NTM), mycobacterium tuberculosis (TB), or other pathogens, accompanied with CNS infections. In addition, we conducted a thorough literature review of AIGAs-positive patients with CNS infections.</p><p><strong>Case presentation: </strong>We report three HIV-negative cases of recurrent disseminated infections including CNS, and AIGAs were measured. All patients had no history of underlying diseases or immunosuppression and presented with fever, cough, and headache. They were negative for HIV antibodies but positive for AIGAs. The patients were diagnosed with CNS infections based on cerebrospinal fluid (CSF) examination and next-generation sequencing (NGS). All patients received anti-infective treatment according to different pathogens, and their condition remained stable without recurrence.</p><p><strong>Conclusions: </strong>In adults with severe and recurrent infections of multiple organs without known immunodeficiency, adult-onset immunodeficiency (AOID) associated with AIGAs should be considered. In AIGAs-positive patients, the blood-brain barrier (BBB) may be disrupted, leading to susceptibility to CNS infections.</p>\",\"PeriodicalId\":9170,\"journal\":{\"name\":\"BMC Neurology\",\"volume\":\"25 1\",\"pages\":\"345\"},\"PeriodicalIF\":2.2000,\"publicationDate\":\"2025-08-25\",\"publicationTypes\":\"Journal Article\",\"fieldsOfStudy\":null,\"isOpenAccess\":false,\"openAccessPdf\":\"https://www.ncbi.nlm.nih.gov/pmc/articles/PMC12376722/pdf/\",\"citationCount\":\"0\",\"resultStr\":null,\"platform\":\"Semanticscholar\",\"paperid\":null,\"PeriodicalName\":\"BMC Neurology\",\"FirstCategoryId\":\"3\",\"ListUrlMain\":\"https://doi.org/10.1186/s12883-025-04380-5\",\"RegionNum\":3,\"RegionCategory\":\"医学\",\"ArticlePicture\":[],\"TitleCN\":null,\"AbstractTextCN\":null,\"PMCID\":null,\"EPubDate\":\"\",\"PubModel\":\"\",\"JCR\":\"Q3\",\"JCRName\":\"CLINICAL NEUROLOGY\",\"Score\":null,\"Total\":0}","platform":"Semanticscholar","paperid":null,"PeriodicalName":"BMC Neurology","FirstCategoryId":"3","ListUrlMain":"https://doi.org/10.1186/s12883-025-04380-5","RegionNum":3,"RegionCategory":"医学","ArticlePicture":[],"TitleCN":null,"AbstractTextCN":null,"PMCID":null,"EPubDate":"","PubModel":"","JCR":"Q3","JCRName":"CLINICAL NEUROLOGY","Score":null,"Total":0}
引用次数: 0

摘要

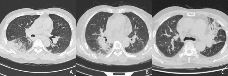
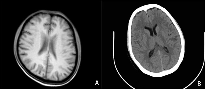
背景:最近,越来越多的报道显示抗干扰素γ (IFN-γ)自身抗体(aiga)与几种严重的播散性感染密切相关。然而,aiga合并中枢神经系统(CNS)感染的报道很少。在这里,我们描述了3例aigas阳性的成年人,他们患有持续或复发的弥散性感染,这些感染由马尔尼菲塔芳香菌(TM)、非结核分枝杆菌(NTM)、结核分枝杆菌(TB)或其他病原体引起,并伴有中枢神经系统感染。此外,我们对aigas阳性的中枢神经系统感染患者进行了全面的文献综述。病例介绍:我们报告了3例hiv阴性的复发性播散性感染,包括中枢神经系统,并测量了aiga。所有患者均无基础疾病史或免疫抑制史,表现为发热、咳嗽和头痛。他们的HIV抗体呈阴性,而aiga呈阳性。根据脑脊液(CSF)检查和下一代测序(NGS)诊断为中枢神经系统感染。所有患者均根据不同病原菌接受抗感染治疗,病情稳定,无复发。结论:在没有已知免疫缺陷的严重和复发性多器官感染的成年人中,应考虑成人发病的免疫缺陷(AOID)与aiga相关。在aigas阳性患者中,血脑屏障(BBB)可能被破坏,导致对中枢神经系统感染的易感性。
本文章由计算机程序翻译,如有差异,请以英文原文为准。

Central nervous system infections in patients with anti-interferon-γ autoantibodies: case series and review of the literature.

Central nervous system infections in patients with anti-interferon-γ autoantibodies: case series and review of the literature.

Central nervous system infections in patients with anti-interferon-γ autoantibodies: case series and review of the literature.

Background: Recently, increased reports reveal that anti-interferon-gamma (IFN-γ) autoantibodies (AIGAs) are strongly associated with several severe disseminated infections. However, reports on AIGAs with central nervous system (CNS) infections are rare. Here, we described three AIGAs-positive adults who had persistent or recurrent disseminated infections caused by Talaromyces marneffei (TM), nontuberculous mycobacteria (NTM), mycobacterium tuberculosis (TB), or other pathogens, accompanied with CNS infections. In addition, we conducted a thorough literature review of AIGAs-positive patients with CNS infections.

Case presentation: We report three HIV-negative cases of recurrent disseminated infections including CNS, and AIGAs were measured. All patients had no history of underlying diseases or immunosuppression and presented with fever, cough, and headache. They were negative for HIV antibodies but positive for AIGAs. The patients were diagnosed with CNS infections based on cerebrospinal fluid (CSF) examination and next-generation sequencing (NGS). All patients received anti-infective treatment according to different pathogens, and their condition remained stable without recurrence.

Conclusions: In adults with severe and recurrent infections of multiple organs without known immunodeficiency, adult-onset immunodeficiency (AOID) associated with AIGAs should be considered. In AIGAs-positive patients, the blood-brain barrier (BBB) may be disrupted, leading to susceptibility to CNS infections.

求助全文
通过发布文献求助,成功后即可免费获取论文全文。 去求助
来源期刊
BMC Neurology
BMC Neurology 医学-临床神经学
CiteScore
4.20
自引率
0.00%
发文量
428
审稿时长
3-8 weeks
期刊介绍: BMC Neurology is an open access, peer-reviewed journal that considers articles on all aspects of the prevention, diagnosis and management of neurological disorders, as well as related molecular genetics, pathophysiology, and epidemiology.
×
引用
GB/T 7714-2015
复制
MLA
复制
APA
复制
导出至
BibTeX EndNote RefMan NoteFirst NoteExpress
×
提示
您的信息不完整,为了账户安全,请先补充。
现在去补充
×
提示
您因"违规操作"
具体请查看互助需知
我知道了
×
提示
确定
请完成安全验证×
copy
已复制链接
快去分享给好友吧!
我知道了
右上角分享
点击右上角分享
0
联系我们:info@booksci.cn Book学术提供免费学术资源搜索服务,方便国内外学者检索中英文文献。致力于提供最便捷和优质的服务体验。 Copyright © 2023 布克学术 All rights reserved.
京ICP备2023020795号-1
ghs 京公网安备 11010802042870号
Book学术文献互助
Book学术文献互助群
群 号:604180095
Book学术官方微信